Medlem i

12 years 10 months
Indholdselementer

Livstruende astma er kendetegnet ved hyperkapni og/eller behov for mekanisk ventilation. Ved livstruende astma, som ikke responderer på initial behandling, kan respiratorbehandling være nødvendig (hos 4% af patienterne). Dette er forbundet med øget mortalitet hos disse patienter sammenlignet med hos patienter, som ikke ventileres mekanisk (7% vs. 0,2%) [1]. Livstruende astma er præget af inflammationsbetinget dynamisk hyperinflation og luftvejsokklusion med mucus-plugs, hvilket resulterer i øget deadspace, ventilations-perfusions-mismatch og i svære tilfælde hæmodynamisk kompromittering.

Ekstrakorporal membranoxygenering (ECMO) kan i selekterede tilfælde bruges til behandling af akut lungesvigt, heriblandt ved livstruende astma. Formålet med behandlingen er at understøtte den svigtende lungefunktion, indtil patienten er diagnostisk afklaret, og kurativ behandling virker [2].

Ved venovenøs ECMO (VV-ECMO) indføres et dobbeltlumenkateter perkutant via v. jugularis dxt., således at patientens veneblod dræneres gennem et veneben. Venebenet er forbundet med en pumpe, som sender blodet gennem en kunstig lunge, oxygenatoren, og herfra returneres det iltede blod til patienten via det dobbeltløbede kateters arterieben. Kateteret placeres, så blodet via arteriebenet sendes med retning mod trikuspidalklappen for at reducere opblanding af iltet og uiltet blod.

Her præsenteres en sygehistorie, hvor VV-ECMO blev brugt som understøttende behandling hos en patient med livstruende astma.

SYGEHISTORIE

En 36-årig mand, der havde haft svær astma siden barndommen, var let undervægtig (BMI: 19) og havde skizofreni samt dårlig komplians, blev indlagt akut med livstruende astma. Ved ankomsten viste en analyse af arterielt blodgas en arteriel kuldioxidtension (PaCO2) på 19 kPa med en pH på 6,94 og en ilttension (PaO2) på 17 kPa. Patienten blev akut tilkoblet respirator, og der blev iværksat behandling med kortidsvirkende beta2-agonist, methylprednisolon, ketamin, magnesiumsulfat og theophyllin. Initialt indtrådte der nogen bedring med fald i PaCO2-
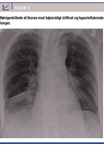
niveauet. En røntgenundersøgelse af thorax viste hyperinflaterede lunger og et højresidigt infiltrat (Figur 1). Man påbegyndte empirisk antibiotisk behandling med cefuroxim pga. leukocytose og et C-reaktivt proteinniveau på 67 mg/l. Efter 12 timer blev patienten atter svært bronkospastisk og hypotensiv. Da ventilation med et toptryk på 40 cm H2O og en frekvens på 10 kun gav små tidalvolumina og hypotension, forsøgte man håndventilation med sevofluran og adrenalininfusion (0,2 mikrogram/kg/min), men PaCO2-niveauet steg til 22 kPa med en pH på 6,90.

Man besluttede at tilbyde patienten VV-ECMO behandling. Han blev kanyleret som beskrevet ovenfor og tilsluttet et ECMO-system med en blodgennemstrømning på 4 l/min og en ilttilførsel til oxygenatoren på 4,5 l/min. Efter tre timers ECMO-behandling var PaCO2-niveauet 5,8 kPa, pH var 7,46, og PaO2-
niveauet var 12,3 kPa.

Sidebar placering
Venstrestillet
Billede
Sidebar placering
Venstrestillet

Inotropien kunne aftrappes, den antibiotiske behandling intensiveredes, og den bronkolytiske behandling bibeholdtes. Resultaterne af bronkoskopi og ekkokardiografi var upåfaldende. Patienten bedredes i de følgende dage (Figur 2), og på tiendedagen kunne ECMO-behandlingen seponeres.

Sidebar placering
Venstrestillet
Billede
Sidebar placering
Venstrestillet

DISKUSSION

Incidensen af respiratorbehandling hos patienter, der har livstruende astma og er indlagt på en intensivafdeling, angives til at være omkring 60% i en amerikansk undersøgelse. De hyppigste komplikationer er elektrolytforstyrrelser (17-35%), hypotension (5,4%), pneumoni (2,9%) og barotraumer (2,5%) [3].

VV-ECMO-behandling af patienter med livstruende astma vil effektivt kunne fjerne patientens kuldioxid og normalisere pH-værdien. Det intratorakale tryk kan nedsættes i takt med, at respiratorens inspiratoriske tryk kan reduceres, således at kredsløbspåvirkning undgås. Risikoen for barotraume reduceres, ligesom en iværksat inotropibehandling kan aftrappes. Ved ECMO-behandling sikres patienten også mod alvorlig hypoksæmi.

Patienten i sygehistorien blev tilbudt ECMO-behandling, da der ikke var bedring af sygdomsbilledet og tegn til alvorlige bivirkninger af respiratorbehandlingen. Efter påbegyndelse af ECMO rettede patienten sig såvel respiratorisk som hæmodynamisk.

På afdelingen har man med samme gode resultat behandlet yderligere to voksne patienter med livstruende astma.

ECMO-behandling kan kompliceres af blødning, tromboemboli og kateterrelaterede infektioner. De to første komplikationer er dog reduceret betydelig ved brug af VV-ECMO og heparinbeklædte slangesystemer.

De ECMO-systemer, der blev brugt hos de tre patienter kunne køre med en blodgennemstrømning på 3,5-4 l/min og dermed også tilføre tilstrækkelig ilt (140-340 ml/min) til at undgå hypoksi ved hypoksisk lungesvigt [4].

Ved hyperkapnisk lungesvigt uden iltningsproblemer er en blodgennemstrømning på 0,5-2 l/min gennem oxygenatoren tilstrækkelig til at udlufte patientens kuldioxid. I dag findes der kommercielle, mindre ECMO-systemer, der er godkendt til sådan behandling af hyperkapnisk lungesvigt. Disse systemer vil ikke kunne bruges ved hypoksisk lungesvigt [5].

Patienter med svær og behandlingsresistent livstruende astma kan med fordel behandles med VV-ECMO, indtil den antiinflammatoriske og kurative behandling virker. Nye mindre, ekstrakorporale systemer kan blive potentielle redskaber i behandlingen af hyperkapnisk lungesvigt.

Korrespondance: Marie Vejen, Medicinsk Afdeling, Amager Hospital, Italiens-
vej 1, 2300 København S. E-mail: marie_vejen@mail.com

Antaget: 15. juli 2014

Publiceret på Ugeskriftet.dk: 6. oktober 2014

Interessekonflikter:

Sidebar placering
Venstrestillet
Journal
Magazine
Section
References

<h2>Litteratur</h2>
<ol type="d">
<li><p>Krishnan V, Diette GB, Rand CS et al. Mortality in patients hospitalized for astma exacerbations in the Unites States. Am J Respir Crit Care Med 2006;174;633-8.</p></li>
<li><p>Barlett RH. Physiology of extracorporeal life support. I: Annich G, Lynch W, MacLaren G et al, red. Extracorporeal cardiopulmonary support in critical care. Ann Habour, Michigan: Extracorporeal Life Support Organisation, 2012:41-58.</p></li>
<li><p>Peters J, Stupka EJ, Singh H et al. Status asthmaticus in the medical intensive careunit: a 30-year experience. Respir Med 2012;106:344-8. </p></li>
<li><p>Terragni P, Maiolo G, Raneieri VM. Role and potentials of low CO(2) removal system in mechamical ventilation. Curr Opin Crit Care 2012;18:93-8.</p></li>
<li><p>Jung C, Lauten A, Pfeifer R et al. Pumpless extracorporeal lung assist for the treatment of severe, refractory status astmaticus. J Astma 2011;48:111-3.</p></li>
</ol>

Woodwing Id
40216
Fil
Conflict of interest
English title
Extracorporeal membrane oxygenation treatment for a patient with life-threatening asthma
English summary

This is a case report of a young male with life-threatening asthma presenting hypercapnia and respiratory acidosis despite mechanical ventilation and intense broncholytic medication. He was treated with venovenous extracorporeal membrane oxygenation (VV-ECMO) through a double-lumen catheter placed in the right jugular vein. This patient, as well as two other comparable patients, improved respiratory and circulatory within 3 h of VV-ECMO treatment. Smaller low-flow ECMO devices for CO2 removal are emerging but attention should be kept on the fact, that they are not capable of oxygenation.

Authors workplaces

1) Medicinsk Afdeling, Amager Hospital
2) Anæstesiologisk-intensiv Afdeling I, Aarhus Universitetshospital

Ugeskr Læger 2014;176:V05140296

Bib ref
Ugeskr Læger 2014;176:V05140296
Article number
V05140296
Authors

Marie Vejen1, Aage Christiansen2 & Jacob Greisen2

0 likes