Medlem i

12 years 10 months
Indholdselementer

ECT er en effektiv og skånsom behandling af svær depression, mani og andre akutte neuropsykiatriske tilstande som delirium og katatoni. Herpes simplex-virus type 1 (HSV1) er den hyppigste årsag til infektiøs encefalitis med 10-15 tilfælde om året i Danmark. Autoimmun encefalitis (AE) med immunglobulin (Ig)G-antistoffer rettet mod N-methyl-d-aspartat-receptoren (NMDAR) ses som en komplikation hos 27% af patienterne med HSV1-encefalitis [1]. Typiske symptomer ved anti-NMDAR-AE er svære neuropsykiatriske symptomer med agitation, hallucinationer, vrangforestillinger, angst og katatoni samt kognitive deficit, krampeanfald, svingende bevidsthedsniveau og autonom dysregulering [2].

SYGEHISTORIE

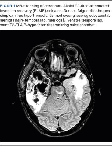
En 27-årig mand blev indlagt med postherpetisk anti-NMDAR-AE. Ved vurdering var han delirøs, psykotisk og til fare for sig selv og andre. Det var nødvendigt at bæltefiksere ham, og han blev dobbeltindlagt i psykiatrisk og neurologisk regi.På indlæggelsestidspunktet var han under rehabilitering for HSV1-encefalitis, som var debuteret 11 uger forinden med hovedpine, feber og konfusion. Diagnosen blev bekræftet ved fund af et leukocytniveau (totalt/mononukleære) på 278/275 × 106/l og HSV1-DNA i cerebrospinalvæsken, og han blev behandlet med intravenøst givet aciclovir. Tilstanden blev kompliceret af livstruende hjerneødem, og der blev foretaget dekompressiv højresidig hemikraniektomi. Efter fem ugers indlæggelse var han stabil og blev overflyttet til genoptræning. Her var han fortsat kognitivt påvirket med svær amnesi og apraksi, men søvnen var stabil, og han gik uden støtte samt spiste og drak selvstændigt. Tre til fire uger inde i rehabiliteringsforløbet udviste han tiltagende katatone symptomer i form af spisestop, partiel mutisme, stereotype bevægelser, mekanisk monoton tale, negativisme, agitation og udadreagerende adfærd. Han var også tiltagende psykotisk samt havde vrangforestillinger og synshallucinationer. Der blev foretaget MR-skanning af hjernen (Figur 1), og lumbalpunktur blev gentaget, hvorved man fandt et let forhøjet leukocytniveau (totalt/mononukleære) på 13/13 × 106/l), forhøjet proteinniveau (1,14 g/l), negativ HSV1-DNA, men positiv NMDAR-IgG-antistof.

Sidebar placering
Venstrestillet
Billede
Sidebar placering
Venstrestillet

Der blev iværksat immunsupprimerende behandling med plasmaferese, højdosisbinyrebarkhormon og rituximab. Der var sparsom effekt på de psykotiske og katatone symptomer af den psykofarmakologiske behandling trods stigende doser af olanzapin og lorazepam på op til 15 mg/døgn (ækvivalent til 75 mg diazepam/døgn). Patienten var svært udadreagerende, og flere personaler kom til skade, til trods for at han var fikseret med bælte og remme. ECT blev overvejet, men udsat pga. reimplantation af en kranieplade efter kraniektomi. Pga. svær katatoni blev det vurderet, at han befandt sig i en potentielt livstruende tilstand, og der blev ordineret ECT med tvang. Patienten fik tre en bloc-behandlinger efterfulgt af en serie på ni behandlinger. Dette havde eklatant effekt, og efter påbegyndelse afECT var der ingen flere voldelige episoder. Patienten var fortsat lukket i kontakten og uforudsigelig, hvorfor bæltet og remmene gradvist blev løsnet og kunne seponeres efter fire behandlinger. Patienten lå bæltefikseret i 46 dage i alt. Han begyndte at spise, blev mere talende og bedre i kontakten. Han blev tilbageflyttet til en genoptræningsafdeling, hvor han fik yderligere fire ambulante ECT-behandlinger. Totalt blev der givet 16 ECT-behandlinger. Seks måneder efter endt ECT-serie var han fortsat præget af kognitive deficit, men i fremgang.

DISKUSSION

Behandlingen af neuropsykiatriske symptomer ved anti-NMDAR-AE er en udfordrende opgave, som kompliceres af, at patienter med disse symptomer har øget risiko for ekstrapyramidale bivirkninger og malignt neuroleptikasyndrom ved behandling med antipsykotika. Derfor anbefales andengenerationsantipsykotika (f.eks. risperidon og olanzapin) frem for førstegenerationsantipsykotika (f.eks. haloperidol). Katatoni kan forsøges behandlet med benzodiazepin. Der kan være behov for store doser benzodiazepin for at bryde den katatone tilstand ved anti-NMDAR-AE, med risiko for at patienten udvikler delirium. ECT kan derfor være et godt behandlingsalternativ [3]. ECT tåles generelt godt, virker hurtigt og har få bivirkninger sammenlignet med psykofarmakologisk behandling [4]. Det er usikkert, hvordan ECT virker ved anti-NMDAR-AE. Dyreforsøg har tidligere vist, at ECT opregulerer NMDA-receptoren [5] og påvirker GABA’erge og dopaminerge neurtransmittere, som kan være dysregulerede ved katatone tilstande. ECT bør overvejes til patienter med katatoni ved anti-NMDAR-AE.



KORRESPONDANCE: Håkon Olafsen Waaler. E-mail: haawaa@rm.dk
ANTAGET: 25. november 2020
PUBLICERET PÅ UGESKRIFTET.DK: 18. januar 2021
INTERESSEKONFLIKTER: ingen. Forfatternes ICMJE-formularer er tilgængelige sammen med artiklen på Ugeskriftet.dk
LITTERATUR: Findes i artiklen publiceret på Ugeskriftet.dk

Sidebar placering
Venstrestillet
Article type
Journal
Magazine
Section
References

Litteratur

  1. Armangue T, Spatola M, Vlagea A et al. Frequency, symptoms, risk factors, and outcomes of autoimmune encephalitis after herpes simplex encephalitis: a prospective observational study and retrospective analysis. Lancet Neurol 2018;17:760-72.

  2. Wandinger KP, Saschenbrecker S, Stoecker W, Dalmau J. Anti-NMDA-receptor encephalitis: a severe, multistage, treatable disorder presenting with psychosis. J Neuroimmun 2011;231:86-91.

  3. Luchini F, Medda P, Mariani MG et al. Electroconvulsive therapy in catatonic patients: efficacy and predictors of response. World J Psychiatry 2015;5:182-92.

  4. Tørring N, Sanghani SN, Petrides G et al. The mortality rate of electroconvulsive therapy: a systematic review and pooled analysis. Acta Psychiatr Scand 2017;135:388-97.

  5. Watkins CJ, Pei Q, Newberry NR. Differential effects of electroconvulsive shock on the glutamate receptor mRNAs for NR2A, NR2B and mGluR5b. Brain Res Mol Brain Res 1998;61:108-13.

Woodwing Id
37149
Fil
Conflict of interest
English title
ECT in autoimmune encephalitis
English summary

Håkon Olafsen Waaler & Thomas Harbo

Ugeskr Læger 2021;183:V09200703

In this case report, a 27-year-old male presented at a department of neurology with postherpetic anti-N-methyl-d-aspartate (NMDA) receptor autoimmune encephalitis. The patient was psychotic and exhibited symptoms of akinetic and excited catatonia. He was mechanical restrained for a total of 46 days due to violent behaviour. He was treated with olanzapine and lorazepam up to 15 mg/day without effect on catatonic and behavioural symptoms. ECT was initiated, and the patient received a total of 16 treatments. He responded well to the treatment, and the violent behaviour resolved completely after the first treatment. ECT should be considered for catatonia in anti-NMDA-receptor autoimmune encephalitis.

Authors workplaces

1) Afdeling for Psykoser, Aarhus Universitetshospital, Psykiatrien, 2) Neurologisk Afdeling, Aarhus Universitetshospital

Ugeskr Læger 2021;183:V09200703

Bib ref
Ugeskr Læger 2021;183:V09200703
Article number
V09200703
Authors

Håkon Olafsen Waaler1 & Thomas Harbo2

0 likes