Medlem i

12 years 10 months
Indholdselementer
Billede
Sidebar placering
Venstrestillet


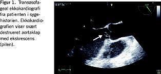
I sygehistorien omtales en 60-årig mand, der blev indlagt med dyspnø, sepsis og meningitis af ukendt bakteriel ætiologi. En transtorakal ekkokardiografi viste ekskrescenser på aortaklappen og svær aortainsufficiens. Patienten blev akut opereret med indsættelse af en mekanisk aortaklap. Ved en polymerasekædereaktion (PCR)-undersøgelse af væv fra den bortopererede native klap blev der påvist Streptococcus pneumoniae -DNA. PCR til påvisning af bakteriel DNA på bortopererede hjerteklapper er blevet mere tilgængelig og kan i mange tilfælde give den bakterielle ætiologi ved dyrkningsnegativ endokarditis.

Endokarditis er en forholdsvis sjælden sygdom med ca. 500 tilfælde årligt i Danmark [1]. Incidensen er stigende især blandt mænd og ældre. Selv i dag medfører endokarditis lange og ofte komplicerede indlæggelser. Ca. 50% af de patienter, der bliver henvist til et tertiært center, opereres, og mortaliteten under indlæggelse er 10-25% [1]. Påvisning af den mikrobiologiske ætiologi er af største vigtighed både for diagnose og behandling af endokarditis.

Vi præsenterer et tilfælde af dyrkningsnegativ endokarditis, som viser brugbarheden af DNA-baseret diagnostik med polymerasekædereaktion (PCR) udført på væv fra en bortopereret hjerteklap.

Sygehistorie

En 60-årig mand, der havde reumatoid artritis og pacemaker, blev indlagt med almen sygdomsfornemmelse gennem flere uger. Patienten var forinden af egen læge sat i behandling med penicillin på mistanke om pneumoni, og han var ved indlæggelsen konfus, rodende og højfebril med en temperatur på 38,6 grader, hypotensiv (blodtryk 90/38 mmHg) og takykard (puls 175/min). Der blev initialt taget et enkelt sæt (en aerob plus en anaerob kolbe) til bloddyrkning før påbegyndelse af antibiotisk behandling med penicillin, gentamicin og metronidazol. Pga. de cerebrale symptomer blev patienten lumbalpunkteret. Lumbalpunkturen viste purulent meningitis med > 6.000 leukocytter, lav glukoseværdi og forhøjet proteinværdi i spinalvæsken. En røntgenundersøgelse af thorax viste højresidig pneumoni. Transtorakal ekkokardiografi (TTE) blev udført, da der var kardial mislyd og lungestase. Man fandt en normal systolisk pumpefunktion med oscillerende ekskrescenser på aortaklappen og svær aortainsufficiens. Ved supplerende transøsofageal ekkokardiografi bekræftede man TTE-fundene (Figur 1). Både bloddyrkning og spinalvæske var uden vækst af bakterier.

Patienten blev akut opereret, og der blev indsat en mekanisk aortaklap. Ved operationen fandt man delvis destruktion og prolaps af højre semilunær flig med en ca. 10 mm. lang ekskrescens. En lignende ekskrescens blev fundet i kommissuren mellem den højre og venstre klapflig. Da der ikke forelå positive bloddyrkninger, blev væv fra den native klap sendt til PCR. DNA blev ekstraheret fra makroskopisk forandret væv, og der blev udført PCR med amplifikation af de første ca. 530 bp af det bakterielle 16 S rRNA-gen. Amplifikationsproduktet blev DNA-sekventeret, og ved sammenligning af basesekvensen med kendte sekvenser i National Center for Biotechnology Information (NCBI) databasen stillede vi diagnosen Streptococcus pneumonia. Rutinemæssig dyrkning og mikroskopi af vævet var negativ. Patienten blev sat i intravenøs behandling med sammenlagt to ugers gentamicin og seks ugers penicillin og kunne udskrives i velbefindende ca. halvanden måned efter indlæggelsen.

Diskussion

Bakteriel endokarditis er en alvorlig infektionssygdom, der ud over destruktion af hjerteklapper kan medføre en række komplikationer: hjerteinsufficiens, embolier (især til hjernen), arytmier, nyreinsufficiens, mykotiske aneurismer og ved højresidig endokarditis: pulmonale embolier/infiltrat. I den her omtalte sygehistorie er det overvejende sandsynligt, at den påviste endokarditis var opstået som følge af den pneumoni, som patientens praktiserende læge havde diagnosticeret. Meningitten har været en del af sygdomsbilledet, opstået enten på septisk baggrund eller på basis af inficerede mikroembolier fra aortaklappen. Ud over beskadigelse af endotelet med dannelse af mikrotromber spiller også immunologiske processer en vigtig patofysiologisk rolle ved endokarditis. På grund af den kroniske bindevævslidelse og tilstedeværelse af fremmed materiale i hjertet havde patienten derfor været prædisponeret til at få endokarditis.

I Danmark er 5-10% af alle endokarditistilfælde dyrkningsnegative, og i nogle lande er dette tal væsentligt højere [1]. Årsagen er oftest, at patienterne har fået antibiotisk behandling før bloddyrkningen. Negative resultater kan også skyldes, at infektionen er forårsaget af mikroorganismer, der ikke kan dyrkes eller er meget langsomt voksende. Det er af største vigtighed at stille den mikrobiologiske diagnose både for valg af den rette antibiotiske behandling og for prognosen.

Siden starten af 1990'erne har det været muligt at lave PCR med efterfølgende DNA-sekventering på bortopererede hjerteklapper fra endokarditispatienter [2]. Det er en metode, der er under forsat udvikling, men inden for de seneste år er metoden blevet mere tilgængelig. I flere studier har man evalueret brugbarheden af PCR til at påvise bakterie-DNA på bortopererede hjerteklapper. Der er ikke fundet nævneværdige kontaminationsproblemer, og i disse mindre opgørelser er der fundet en sensitivitet på 41-65% og en specificitet på > 90% [2-4]. Dette overgår resultater af almindelig dyrkning af klapmateriale. Man kan ved PCR også detektere vanskeligt dyrkbare bakterier blandt andet mycoplasma-species, coxiella burnetii og svampe.

Bloddyrkning vil forsat være det vigtigste redskab til påvisning af bakteriel ætiologi i forbindelse med endokarditis, og det er derfor af største vigtighed, at disse patienter får foretaget et sufficient antal bloddyrkninger med sufficient blodvolumen før påbegyndelse af antibiotisk behandling. PCR er kun relevant ved dyrkningsnegativ endokarditis. PCR foretages på vævsprøver, og metoden er derfor foreløbig forbeholdt endokarditispatienter, der undergår hjerteklapoperation. Påvisning og identifikation af bakterielt DNA i blod er kasuistisk omtalt, men metoden har begrænset følsomhed og er aldrig blevet valideret ved endokarditis. Nye DNA-oprensningsteknikker og præamplifikation åbner mulighed for, at man i fremtiden mere generelt vil kunne anvende PCR-metoden på prøvematerialer m ed ekstrem lav koncentration af bakterielt DNA, herunder blod [5].


Niels Eske Bruun, Kardiologisk Afdeling P, Gentofte Hospital, DK-2900 Hellerup. E-mail: nibru@geh.regionh.dk

Antaget: 27. februar 2007

Interessekonflikter: Ingen


Artiklen bygger på en større litteraturgennemgang. En fuldstændig litteraturliste kan fås ved henvendelse til forfatterne.



Sidebar placering
Venstrestillet
Article type
Journal
Magazine
Section
References

<ol class="Litt-list">
<li>Bruun NE, Elming H, Furrsted K et al. Infektiøs endokardit: diagnose og behandling. Cardiologisk Forum 1 (suppl);2007.</li>
<li>Kotilainen P, Heiro M, Jalava J et al. Aetiological diagnosis of infective endocarditis by direct amplification of rRNA genes from surgically removed valve tissue. Ann Med 2006;38:263-73.</li>
<li>Breitkopf C, Hammel D, Scheld HH et al. Impact of a molecular approach to improve the microbiological diagnosis of infective heart valve endocarditis. Circulation 2005;22:1415-21.</li>
<li>Greub G, Lepidi H, Clarisse R et al. Diagnosis of infectious endokarditis in patients undergoing valve surgery. The Am J Med 2005;118:230-8.</li>
<li>Zucol F, Ammann RA, Berger C et al. Real-time quantitative broad-range PCR assay for detection of the 16S rRNA gene followed by sequencing for species identification. J Clin Microbiol 2006;44:2750-9.</li>
</ol>

Woodwing Id
246404
Fil
Bib ref
Ugeskr Læger 2008;170(39):3070
Authors

Reservelæge Rasmus Vedby Rasmussen, overlæge Michael Kemp, overlæge Jette M. Bangsborg, afdelingslæge Anne Vinther Kjerulf, overlæge John Brochorst Christensen & overlæge Niels Eske Bruun Gentofte Hospital, Kardiologisk Afdeling P og Thoraxkirurgisk Afdeling R, Statens Serum Institut, Afdeling for Bakteriologi, Mykologi og Parasitologi, og Herlev Hospital, Klinisk Mikrobiologisk Afdeling

0 likes