Medlem i

12 years 10 months
Indholdselementer
Billede
Sidebar placering
Venstrestillet


Peroral indtagelse af fremmedlegemer forekommer accidentelt eller med forsæt pga. håb om sekundær sygdomsgevinst, suicidalønske eller sygelig trang (pica) [1]. Diagnosen stilles som regel anamnestisk og ved røntgenundersøgelse. De fleste mindre fremmedlegemer passerer spontant og ukompliceret [1, 2]. Beskrevne komplikationer er tarmobstruktion, absces og perforation evt. med fistulering [1, 2]. Intoksikation og mortalitet er set i sjældne tilfælde [3].

Sygehistorie

Patienten var en 17-årig institutionsboende psykomotorisk retarderet dreng med pica. Patienten var kendt i urologisk regi gennem to år pga. recidiverende urinvejsinfektioner (UVI) med makroskopisk hæmaturi, febrilia og turevise ukarakteristiske, stærke abdominalsmerter uden kendt årsag.

I udredningsforløbet fandt man ved primær intravenøs urografi intet andet end en kendt medullær svampenyre. Dog blev der påvist fire røntgentætte elementer fordelt over abdomen; disse skiftede lokalisation ved efterfølgende urografier og blev tilskrevet per os indtagne sølvpapirkugler. Renografi viste normale forhold. Ved gentagne cystoskopier fandt man betydelige mængder pus og detritus i en i øvrigt normal vesica. Resultatet af en urodynamisk undersøgelse tydede på detrusor-sphincter dyssynergi. Tentativ alfa1 -receptor-blokade havde nogen effekt på vandladningen og smerteanfaldene.

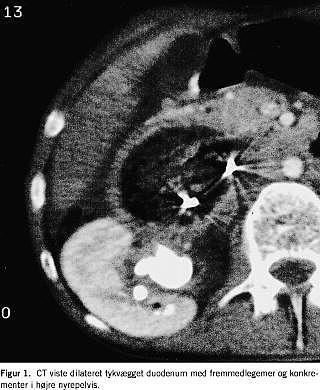
Indlæggelsen skyldtes enterokok-UVI. Patienten var febril, men alment upåvirket og med normal tarmfunktion. Biokemi: C-reaktivt protein 168 mg/l, leukocytter 13,9 × 109 ml-1 og hæmoglobin 5,0 mmol/l. Ved skanning sås der i tarmen røntgentæt materiale, som også passerede over i de højresidige urinveje i pelvisområdet (Figur 1 ). Derudover sås der luft i højre pyelogram og luft i blæren.

Undersøgelse af tyndtarmspassagen viste betydelig dilatation af duodenums andet og tredje stykke, hvor kontrasten retineredes med et kun ganske lille overløb i jejunum, men der sås ingen forbindelse til nyrepelvis.

I abdominalkirurgisk regi blev der foretaget amotio corpora alieni duodeni i generel anæstesi. Ved endoskopi fandt man duodenum svært dilateret til ca. 10 cm pga. en lumenobstruerende phytobezoar og talrige fremmedlegemer i andet stykke. Da materialet ikke kunne fjernes endoskopisk, blev der foretaget duodenotomi mellem første og andet stykke. Fra ventrikel og duodenum blev der fjernet i alt 32 småsten, op til ca. 2 × 3 × 4,5 cm, samt en 10 cm stor duodenal bezoar bestående af smågrene og flere op til 10 cm lange elektriske ledninger med kobbertråd og plastisolering, en kvart blyant, plastikknapper og et 20 cm langt snørebånd med plastikhætte. Lateralt i bunden af duodenums andet stykke var en 3-4 mm bred perforation og fistulering omkring en kvist, ca. 2 × 70 mm, som sad fastkilet i højre nyrebækken. Via fistlen strømmede der kontinuerligt urin ud i duodenum. Ved et forsigtigt træk blev kvisten fjernet i et stykke. Den renale spids var inkrusteret i kalk. Den duodenopelvine fistel blev lukket transduodenalt ved gennemstikning. Ved en efterfølgende røntgengennemlysning sås der et 4-5 cm stort konkrement i pelvis, hvorfor der blev anlagt JJ-kateter til aflastning af nyren i tre uger. Per- og postoperativt blev der behandlet med antibiotisk trestofsbehandling (metronidazol, penicillin og gentamicin) i otte døgn. Det postoperative forløb var ukompliceret.

En intravenøs urografi efter fem uger viste tre større konkrementer i højre nyrepelvis, som blev forsørget ved perkutan nefrolitotripsi. Efter det abdominale indgreb var patienten i betydelig bedring og havde øget sin legemsvægt med flere kilo.

Diskussion

Fistler mellem nyrer/urinveje og duodenum er sjældne [4, 5], de skyldes hyppigst nyrepatologi [5]. Vi har set en sådan fistel forårsaget af duodenale fremmedlegemer, hvilket kun er beskrevet et par gange før [2]. Symptomer og fund i form af abdominalsmerter, almen svækkelse, vægttab, feber, pyuri og hæmaturi er fremtrædende ved duodenorenale fistler. Ofte har symptomerne stået på i måneder eller år, før den korrekte diagnose stilles [5]. Retrograd pyelografi er beskrevet som den bedste diagnostiske metode [5]. I dette tilfælde var CT af abdomen afgørende for diagnosen, og den synes at være velindiceret hos patienter med pica og ovennævnte symptomer, såfremt de sædvanlige initiale undersøgelser ikke afklarer diagnosen.

I det her beskrevne såvel som i tidligere beskrevne tilfælde kunne tilstanden kureres ved simpel lukning af fistlen [5].

Det er vigtigt at ihukomme risici for komplikationer ved indtagelse af fremmedlegemer. Ved ukarakteristiske symptomer hos personer med pica eller børn må man være opmærksom på komplikationer fra fremmedlegemer i mave-tarm-kanalen.


Jais Oliver Berg, Kløvervænget 24C, lejl. 2, DK-5000 Odense. E-mail: joberg@dadlnet.dk

Antaget: 12. februar 2004

Interessekonflikter: Ingen angivet



Sidebar placering
Venstrestillet
Article type
Journal
Magazine
Section
References

<ol class="Litt-list">
<li>Mikkelsen JH, Lund PS, Morsing IM et al. Fremmedlegemer i gastrointestinalkanalen. Ugeskr Læger 1982;144:1019-21.</li>
<li>Pickard LR, Tepas JJ, Agarwal BL et al. Duodeno-renal fistula: an uncommon complication of an ingested foreign body. J Pediatr Surg 1980;15:337-8.</li>
<li>Yelin G, Taff ML, Sadowski GE. Copper toxicity following massive ingestion of coins. Am J Forensic Med Pathol 1987;8:78-85.</li>
<li>Shiff BM, Welling RE, Rege P. Rare case of left-sided ureteroduodenal fistula. Dig Surg 2000;17:283-4.</li>
<li>Rodney K, Maxted WC, Pahira JJ. Pyeloduodenal fistula. Urology 1983;22: 536-9.</li>
</ol>

Woodwing Id
261407
Fil
English summary

Summary Duodenal-renal fistula as a complication of duodenal foreign bodies Ugeskr L&aelig;ger 2004;166:3006-3007 We describe a rare case of a physically and mentally retarded young man with pica who had a huge duodenal phytobezoar complicated by a fistula to the right renal pelvis. He initially presented with recurrent urinary tract infections of unknown origin and uncharacteristic attacks of abdominal pain. The condition was successfully managed by surgical removal of multiple foreign bodies in the stomach and duodenum and closure of the fistula.

Bib ref
Ugeskr Læger 2004;166(35):3006-3007
Authors

Læge Jais Oliver Berg Aalborg Sygehus Syd, Kirurgisk Gastroenterologisk Afdeling A

0 likes
Read time
4