Medlem i

12 years 10 months
Indholdselementer

Doege-Potters syndrom (DPS) er et sjældent paraneoplastisk syndrom, der er karakteriseret ved hypoglykæmi pga. sekretion af insulin-like growth factor (IGF)-II fra en solitær fibrøs tumor (SFT) [1-5].

SFT er sjældne, som oftest benigne tumorer, der udgør 2% af bløddelstumorer, primært lokaliseret torakalt og abdominalt [1-3]. Afhængig af lokalisation kan patienten opleve kompressionssymptomer, og ved udbredt sygdom kan der forekomme almensymptomer.

Hypoglykæmi ses hos < 5% af patienterne med SFT, primært relateret til malignitet og med en diameter > 10 cm [2, 3, 5]. Symptomerne kan være konfusion, sløvhed, synkope, tremor, åndenød og svedeture [1]. Biokemisk påvises der supprimerede insulin- og C-peptid-niveauer [2]. IGF-II er forhøjet og virker ved at: 1) supprimere glukoneogenesen i lever samt lipolyse i fedtceller, 2) supprimere dannelsen af insulin, glukagon og væksthormon, 3) øge glukoseoptaget i muskelceller ved at aktivere insulinreceptorer og 4) stimulere cellevæksten [4].

Bodnar et al [1] angiver differentialdiagnostisk udredning af hypoglykæmi.

Anbefalet behandling ved DPS er kulhydratrige måltider samt kontinuerlig intravenøs (i.v.) indgift af glukose og prednisolon, sidstnævnte hæmmer produktionen af IGF-II og mindsker masseffekten [2, 5]. Den eneste kurative behandling er operation [1-5]. Recidivrisikoen øges ved en diameter > 10 cm, grad II-III og irradikal operation. Adjuverende strålebehandling kan muligvis have en effekt [2, 4, 5].

SYGEHISTORIE

En 70-årig, tidligere rask kvinde blev bragt ukontaktbar til hospitalet. Hun havde igennem to uger haft forvirring, træthed, rysten, åndenød og hjertebanken, som aftog efter måltider. Ved ankomsten var hun stabil og havde et blodtryk på 155/84 mmHg, en temperatur på 35,9 °C, 92 pulsslag pr. minut og 97% iltmætning. De biokemiske resultater var upåfaldende fraset en blodsukkerværdi på 1,8 mmol/l. Initialt blev der påbegyndt behandling med 20% glukose, 250 ml givet over 30 min. Herefter blev der kontinuerligt givet 5-10% glukose i.v.

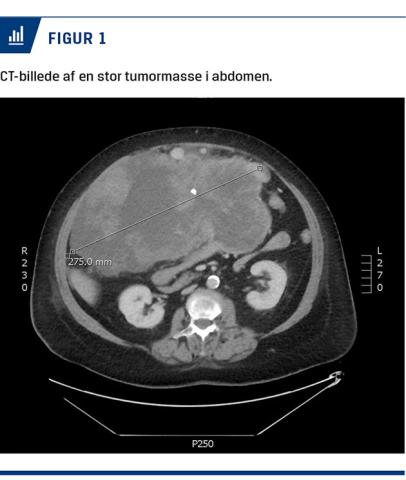
Objektivt fandt man udfyldning i abdomen, hvilket patienten var under udredning for, idet hun over fire måneder havde taget 17 kg på og havde tyngdefornemmelse. En CT havde vist en tumor, der udgik fra ventriklen og målte 30 × 17 × 25 cm (Figur 1), det drejede sig formentlig om en gastrointestinal stromatumor, men der var endnu ikke svar på en biopsi.

Sidebar placering
Venstrestillet
Billede
Sidebar placering
Venstrestillet

Patienten blev tilset af en endokrinolog, som efter litteratursøgning fik mistanke om IGF-II-medieret hypoglykæmi. Endokrinologen ordinerede 20% glukoseinfusion med 50-100 ml/timen og blodsukkermåling hver tredje time indtil operation.

Ved eksplorativ laparatomi blev der foretaget tu-moreksstirpation af en solid, cystisk, indkapslet tumor adhærent til curvatura major og colon transversum. Tumordiameteren var 30 cm og vægten 7 kg. Det postoperative forløb var ukompliceret med udtrapning af glukoseinfusion over fem dage med normalt blodsukkerniveau til følge.

Histologien viste en malign, solitær, fibrøs grad III-tumor uden sikker radikalitet.

Patienten overgik til kontrolforløb og var en måned senere i god almentilstand, peformancestatus 0. CT af thorax, abdomen og det lille bækken (CT-TAB) var uden tegn til recidiv. Man afstod fra adjuverende strålebehandling pga. manglende evidens.

CT-TAB tre måneder senere viste lungemetastaser og recidiv i venstre side af abdomen. Patienten havde mavesmerter, men havde ikke oplevet hypoglykæmi. Ved en biopsi bekræftede man recidiv. Man påbegyndte palliativ kemoterapi i form af pegyleret liposomalt doxorubicin, men sygdommen var progredieret efter to måneder, og patienten fik herefter tre ugers behandling med paclitaxel, hvorefter hun igen blev indlagt med svær hypoglykæmi. En fornyet CT-TAB bekræftede svær progression og en tumordiameter > 17 cm. Palliativ resektion var ikke mulig pga. indvækst, metastaser og dårlig almentilstand. Patienten fik palliativ strålebehandling mod abdomen og senere pazopanib med kortvarig effekt.

DISKUSSION

Selv om DPS ikke tidligere er beskrevet i dansk litteratur, blev diagnosen stillet tidligt hos patienten i sygehistorien, og hun blev opereret. Først da recidivet nåede en vis størrelse, opstod der igen hypoglykæmi. Patienten fik pallierende kemoterapi uden respons. I litteraturen foreligger der ingen anbefalede kemoregimer, idet SFT anses for at være relativ kemoresistent [5].

SFT med DPS er en sjælden, men vigtig differentialdiagnose til stor tumor med samtidig uforklaret hypo-glykæmi. Udredning for hypoglykæmi har i nogle tilfælde forsinket operation, hvilket kan være fatalt. Operation er den eneste kurative behandling, men inoperable patienter kan få prednisolon som understøttende behandling [5]. Der kan forekomme andre paraneoplastiske syndromer ved SFT (f.eks. Bamberger-Maries syndrom) [3]. Enhver større tumor med samtidige paraneoplastiske fænomener bør føre til resektion af tumoren, uanset om den vurderes som benign eller ej. Dette kan som oftest ophæve paraneoplasien.

Korrespondance: Astrid Uttenthal Larsen.
E-mail: astriduttenthal@gmail.com

Antaget: 4. juli 2019

Publiceret på Ugeskriftet.dk: 9. september 2019

Interessekonflikter: ingen. Forfatternes ICMJE-formularer er tilgængelige sammen med artiklen på Ugeskriftet.dk

Litteraturliste: Findes i artiklen publiceret på Ugeskriftet.dk

Sidebar placering
Venstrestillet
Article type
Journal
Magazine
Section
References

LITTERATUR

  1. Bodnar TW, Acevedo MJ, Pietropaolo M. Management of non-islet-cell tumor hypoglycemia: a clinical review. J Clin Endocrinol Metab 2014;99:713-22.

  2. Strâmbu IR, Leonte DG, Bolca CN. Large pleural tumor revealed by severe hypoglycemia: Doege-Potter syndrome. Rom J Morphol Embryol 2017;58:287-91.

  3. Meng W, Zhu HH, Li H et al. Solitary fibrous tumors of the pleura with Doege-Potter syndrome: a case report and three-decade review of the literature. BMC Res Notes 2014;11:515

  4. Ahluwalia N, Attia R, Green A et al. Doege-Potter syndrome. Ann R Coll Surg Engl 2015;97:e105-7.

  5. Han G, Zhang Z, Shen X et al. Doege-Potter syndrome: a review of the literature including a new case report. Medicine (Baltimore) 2017;96:e7417.

Woodwing Id
1
Fil
Conflict of interest
English summary

Astrid Uttenthal Larsen & Hanne Krogh Rose:

Doege-Potter syndrome is a solitary fibrotic tumour often leading to hypoglycaemia

Ugeskr Læger 2019;181:V02190082

Doege-Potter syndrome is a rare paraneoplastic syndrome, in which a solitary fibrotic tumour secretes insulin-like growth factor II leading to hypoglycaemia. In this case report, a 70-year-old woman known with a big intra-abdominal tumour was admitted to hospital, unconscious with a blood sugar of 1.8 mmol/l. She was treated with intravenous glucose until surgery, which cured her temporarily. After four months she had relapse and no effect of chemotherapy. Surgery is the only curative treatment for Doege-Potter syndrome, which is important to remember, if a patient has unexplained hypoglycaemia and a tumour.

Authors workplaces

1) Medicinsk Afdeling, Regionshospitalet Viborg 2) Kræftafdelingen, Aarhus Universitets-hospital

Ugeskr Læger 2019;181:V02190082
Bib ref
Ugeskr Læger 2019;181:V02190082
Article number
V02190082
Authors

Astrid Uttenthal Larsen1 & Hanne Krogh Rose2

0 likes