Medlem i

12 years 10 months
Indholdselementer
Billede
Sidebar placering
Venstrestillet


Den hyppigste infektionsrelaterede dødsårsag hos svært immunsupprimerede patienter er invasiv infektion med skimmelsvamp. Incidensen i denne højrisikogruppe er 10-20%, mortaliteten er over 50%. De fleste infektioner forårsages af Aspergillus- species. Vi beskriver et sjældent tilfælde af invasiv infektion med Fusarium solani, som en 74-årig kvinde med akut lymfoblastær leukæmi fik under induktionsbehandlingen med kemoterapi. Vi beskriver sygdomsforløbet og diskuterer patogenese, kliniske karakteristika og behandling ved invasiv fusariose.

Immunsuppressiv behandling, herunder kemoterapi, øger risikoen for invasiv skimmelsvampeinfektion (ISI). Mest udsatte er patienter med hæmatologisk malignitet (især akut leukæmi) og dem, som gennemgår allogen knoglemarvstransplantation. I denne højrisikogruppe vil 10-20% få ISI med over 50% mortalitet, hyppigst forårsaget af Aspergillus-species. Skimmelsvamp er dermed en væsentlig årsag til infektionsrelateret død hos svært immunsupprimerede [1].

I denne sygehistorie beskrives en patient, der havde en akut lymfoblastær leukæmi og fik en meget sjældent forekommende ISI med Fusarium solani. Infektionen responderede midlertidigt på kombinationsbehandling med voriconazol, liposomalt amphotericin B (AMB) og terbinafin.

Sygehistorie

En 74-årig, tidligere rask kvinde fik diagnosticeret præ-B akut lymfoblastær leukæmi og indledte induktionskemoterapi (dag 1) med cyclophosphamid, daunorubicin, vincristin, asparaginase og kontinuerlig prednisolon. Patienten havde neutrofile granulocytter under 0,5 mia./l fra diagnosetidspunktet til dag 25 og fik derfor svampeprofylakse i form af fluconazol.

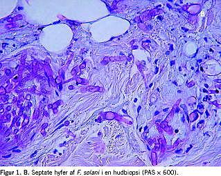
Dag 20 fik patienten et universelt eksantem bestående af 1 cm brede, røde og ømme noduli tydeligst på ekstremiteterne (Figur 1A). Udslættet progredierede trods antibakteriel behandling. En stansebiopsi viste infiltration af skimmelsvamp (Figur 1B). Fluconazol blev da skiftet til voriconazol, og i fem dage sås ingen nytilkomne elementer. I en bloddyrkning blev der fundet vækst af Fusarium-species. På mistanke om kolonisering af patientens centrale venekateter (CVK) blev dette fjernet. Der fandtes abscedering og vækst af Fusarium. Dag 29 fik patienten et smertende, inflammeret venstre øje. En computertomografi (CT) viste panoftalmi, og dag 35 blev patienten vitrektomeret. I materialet fandtes ligeledes Fusarium.

Sidebar placering
Venstrestillet
Billede
Sidebar placering
Venstrestillet

Trods normaliseret granulocyttal og ophør af immunsuppressiv behandling inklusive prednisolon oplevede patienten i de følgende uger forværring af udslættet. Supplerende behandling med AMB havde kun kortvarig effekt. På baggrund af kasuistisk meddelelse [2] suppleredes behandlingen med terbinafin 200 mg to gange dagligt fra dag 55. Artsbestemmelsen viste nu F. solani.

Med kombinationen af voriconazol, AMB og terbinafin opretholdt man status quo i tre uger. I fravær af bedring udtrappedes først AMB, senere voriconazol. Fra dag 98 blev patienten alene behandlet med terbinafin. Infektionen persisterede i huden, indtil patienten døde dag 288 af leukæmirelaps.

Pga. infektionen blev der ikke givet immunsuppressiv behandling ud over induktionskemoterapien.

Diskussion

Fusarium-species er kendt i alle klimazoner som jordsaprofytter og plantepatogener. Infektioner hos mennesker er sjældne; F. solani er det hyppigste isolat. Hos immunkompetente er fusariose i reglen overfladisk og traumatisk betinget. Invasiv infektion ses næsten kun hos svært immunsupprimerede patienter. Blandt neutropene patienter med hæmatologisk malignitet, som tegner sig for over 90% af tilfældene, anslås incidensen til at være 0,2-1,2% [1]. I Danmark er der hidtil kun beskrevet fire tilfælde [3]. Hos disse patienter fører en svigtende eliminering af inhalerede svampesporer til etablering af respiratoriske foci, som kan optræde subklinisk i form af langvarig, antibiotikaresistent feber. Ved disseminering til øvrige organer koloniseres især ekstremitetshud (50-70%), evt. som ecthyma gangraenosum. Karakteristisk er endvidere en høj frekvens af positive bloddyrkninger (50-70%) modsat ved invasiv aspergillose (0-5%), som ligeledes kun sjældent dissemineres til huden (< 10%) [1].

Fusarium-species er notorisk multiresistente. Bedst dokumenteret virkning har AMB, voriconazol og posaconazol [4]. Caspofungin er uvirksomt. I kombination med AMB eller azoler er der beskrevet in vitro-følsomhed for terbinafin [5].

Mortaliteten blandt højrisikopatienter er uanset behandling over 70%, højest ved persisterende neutropeni og steroidbehandling. Afgørende for effektiv behandling er endvidere kirurgisk sanering af svampefoci [1].

Den beskrevne patient var ude af sin neutropene fase allerede fem dage efter klinisk debut af fusariose, og prednisolon var endeligt seponeret yderligere ni dage senere.

Trods sanering af svampefoci (CVK og corpus vitreum) og behandling med tre forskellige antimykotika formåede patienten ikke at eliminere infektionen. Det fatale forløb må tilskrives såvel svampens virulens og resistens som det faktum, at infektionen forhindrede yderligere behandling af leukæmien.

Dissemineret fusariose er en sjælden tilstand. Ved persisterende neutropen feber trods bredspektret antibakteriel behandling og forekomst af karakteristiske kutane elementer bør muligheden for fusariose overvejes. Bloddyrkning og hudbiopsi vil ofte give diagnosen.


Niels Emil Ulrich He rmansen, Hæmatologisk Klinik, Rigshospitalet, DK-2100 København Ø. E-mail: hermansen@dadlnet.dk

Antaget: 2. februar 2007

Interessekonflikter: Ingen



Sidebar placering
Venstrestillet
Article type
Journal
Magazine
Section
References

<ol class="Litt-list">
<li>Lionakis MS, Kontoyiannis DP. Fusarium infections in critically ill patients. Semin Respir Crit Care Med 2004;25:159-69.</li>
<li>Rothe A, Seibold M, Hoppe T et al. Combination therapy of disseminated Fusarium oxysporum infection with terbinafine and amphotericin B. Ann Hematol 2004;83:394-7.</li>
<li>Jensen TG, Gahrn-Hansen B, Arendrup M et al. Fusarium fungaemia in immunocompromised patients. Clin Microbiol Infect 2004;10:499-501.</li>
<li>Raad II, Haychem RY, Herbrecht R et al. Posaconazole as salvage treatment for invasive fusariosis in patients with underlying hematologic malignancy and other conditions. Clin Infect Dis 2006;42:1398-403.</li>
<li>Ortoneda M, Capilla J, Pastor FJ et al. In vitro interactions of licensed and novel antifungal drugs against Fusarium spp. Diagn Microbiol Infect Dis 2004;48:69-71.</li>
</ol>

Woodwing Id
263485
Fil
English summary

Summary Invasive mould infection in patient with acute lymphoblastic leukaemia Ugeskr L&aelig;ger 2008;170(37):2892 Invasive mould infections are a major cause of infectious mortality in highly immunosuppressed patients. Incidence in this high risk group is 10-20% with a death rate in excess of 50%. Most invasive moulds are Aspergillus spp. We present a case of a 74-year-old woman with acute lymphoblastic leukaemia who developed a rare disseminated mould infection with Fusarium solani during induction chemotherapy. We present the case story and discuss the pathogenesis, clinical characteristics and treatment of invasive fusariosis.

Bib ref
Ugeskr Læger 2008;170(37):2892
Authors

Klinisk assistent Niels Emil Ulrich Hermansen, professor Elisabeth Methner Ralfkiær & overlæge Lars Kjeldsen Rigshospitalet, Hæmatologisk Klinik og Patologiafdelingen

0 likes
Read time
5