Medlem i

13 years 1 month
Indholdselementer

Actinomycosis er en langsomt progredierende infektion, der er forårsaget af anaerobe bakterier, hyppigt Actinomyces israeli med ledsageflora i form af den gramnegative Actinobacillus actinomycetem-comitans, som normalt koloniserer mundhulen, colon og vagina. Når mikroorganismen invaderer vævet, dannes mikrokolonier i form af små, synlige korn (svovlgranula), som ligner knust peber. De læsioner, der skyldes actinomycosis er purulente foci, der er omgivet af tæt bindevævsdannelse. Den kan krydse naturlige anatomiske afgrænsninger, hvor der kan dannes fistler. Infektion med denne bakterie kan vise sig i stort set alle organer og på mange forskellige måder, derfor misdiagnosticeres sygdommen ofte.

Den cervikofaciale actinomykose (50-70% af actinomycosis) følger oftest efter en tandekstraktion, et traume eller oral kirurgi. Sygdommen viser sig ved en hævelse ved kæben med abscesdannelse, der eventuelt er recidiverende med fisteldannelse.

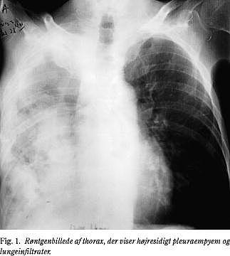
Den torakale actinomykose (ca. 15%) med pulmonal infektion som følge af aspiration viser sig som en langsomt progredierende proces, som både kan inddrage lungeparenkymet og pleura (Fig. 1). Patienterne har symptomer i form af brystsmerter, feber, vægttab og hoste. Ofte ses ingen specifikke radiologiske forandringer, og alle lungelapper kan være afficeret.

Den abdominale actinomykose (ca. 20%) er en følge af abdominal infektion som fx appendicitis eller infektion i endocervikal antikonception, der har været placeret i over et år. Den ses sjældent efter diverticulitis eller efter abdominaltraumer med tarmperforation. Symptomerne er ofte vage og uspecifikke med feber, vægttab, ændret afføringsmønster og vaginal blødning med fornemmelse af en udfyldning. Ofte kan der gå måneder til år før diagnosen stilles.

Sygdommen er specielt beskrevet hos patienter med nedsat immunfunktion, såsom patienter i steroidbehandling, hos organtransplanterede og hiv-smittede patienter.

Diagnostik

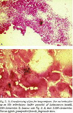
Mikroskopi: grampositiv, forgrenet bakterie (Fig. 2. A). Biopsi fra granulationsvævet viser en ydre zone af granulationsvæv og et centralt purulent materiale med neutrofile leukocytter, lymfocytter og plasmaceller omgivet af svovl-granula, der består af konglomerater af mikroorganismen (Fig. 2. B). Ofte kan der findes mange granula. Actinomyces skal dyrkes anaerobt i mindst fem dage.

Behandling

Actinomycosis behandles med penicillin i høje doser i en længere periode, som injektion af penicillin 10-20 mio. IE dagligt i 4-6 uger fulgt af tabletbehandling med penicillin eller amoxicillin 500 mg fire gange dagligt i op til et år. Ved penicillinallergi kan anvendes et tetracyclin, makrolid eller clindamycin. Dette bør kombineres med kirurgisk intervention ved absces.



Reprints not available. Correspondence: Henrik Permin, epidemiklinikken M5132, H:S Rigshospitalet, DK-2100 København Ø. E-mail: rh01813rh.dk.

Antaget den 15. november 2001.

H:S Rigshospitalet, Finsencentret, epidemiklinikken M og klinisk mikrobiologisk afdeling.


Sidebar placering
Venstrestillet
Billede
Sidebar placering
Venstrestillet
Billede
Sidebar placering
Venstrestillet
Article type
Journal
Magazine
Section
Woodwing Id
261963
Bib ref
Ugeskr Læger 2002;164(09):
Authors

Henrik Permin & Niels Høiby

0 likes
Read time
2