Medlem i

12 years 10 months
Indholdselementer
Billede
Sidebar placering
Venstrestillet


Vi bringer en sygehistorie, som illustrerer værdien af ultralydkontraststoffer, idet de synliggjorde levermetastaser, som ellers ville være blevet overset. Tillige kunne metastaserne biopteres vejledt af det kontrastforstærkede ultralydbillede.

Ultralydskanning (US) er ofte det billeddiagnostiske førstevalg ved mistanke om levermetastaser. Der er nu udviklet kontraststoffer til brug ved US, som øger både sensitivitet og specificitet ved diagnostik af fokal patologi i leveren. Vi bringer en sygehistorie, som illustrerer dette.

Sygehistorie

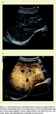
Sygehistorien omhandler en 67-årig kvinde med biopsiverificeret coloncancer. En blodprøve havde vist forhøjede leverenzymer, og der blev derfor rejst mistanke om levermetastaser. En konventionel (almindelig) abdominal US viste en normal stor lever med ganske let uregelmæssigt parenkymtegning, men ingen fokale forandringer (Figur 1A ). US blev nu gentaget efter en standarddosis af ultralydkontrastmidlet Sonovue (Bracco, Italien), der blev administreret intravenøst. Denne kontrastforstærkede US viste adskillige (ca. 10) fokale forandringer i begge leverlapper med et for metastaser typisk udvaskningsmønster under kontrastskanningen (Figur 1B ). Der blev foretaget finnåls-aspirationsbiopsi, som blev vejledt af den kontrastforstærkede US, og svaret fra patologerne viste adenokarcinom, der var foreneligt med metastase fra patientens coloncancer.

Diskussion

Diagnostik og monitorering af levermetastaser udgør en væsentlig del af den onko-radiologiske produktion. Den konventionelle US har en sensitivitet for diagnostik af levermetastaser på ca. 60%, hvorimod kontrastforstærkningen øger sensitiviteten til ca. 80%, hvilket er på niveau med de øvrige modaliteter (computertomografi, magnetisk resonans-skanning og positronemissionstomografi/computertomografi) [1-3]. I den aktuelle sygehistorie var levermetastaserne iso-ekkoiske og dermed falsknegative ved den konventionelle US. Den efterfølgende kontrastforstærkning gjorde dem synlige og dermed tilgængelige for ultralydvejledt biopsi [4].

Der findes desværre ikke snitbilleddiagnostiske modaliteter med en sensitivitet på 100%. Ved mistanke om en falsknegativ undersøgelse kan man gentage undersøgelsen med en anden modalitet eller som i vores tilfælde supplere den almindelige US med kontrastforstærkning, hvilket bør være standardprocedure ved undersøgelse for levermetastaser. Denne anbefaling støttes af sammenslutningen af europæiske ultralydselskaber EFSUMB [5].


Torben Lorentzen , Kirurgisk Gastroenterologisk Afdeling, Herlev Hospital, DK-2730 Herlev.

E-mail: torben.lorentzen@dadlnet.dk

Antaget: 16. maj 2008

Interessekonflikter: Ingen



Sidebar placering
Venstrestillet
Article type
Journal
Magazine
Section
References

<ol class="Litt-list">
<li>Larsen LP, Rosenkilde M, Christensen H et al. The value of contrast enhanced ultrasonography in detection of liver metastases from colorectal cancer: a prospective double-blinded study. Eur J Radiol 2007;62:302-7.</li>
<li>Glover C, Douse P, Kane P et al. Accuracy of investigations for asymptomatic colorectal liver metastases. Dis Colon Rectum 2002;45:476-84.</li>
<li>Schlottmann K, Klebl F, Zorger N et al. Contrast-enhanced ultrasound allows for interventions of hepatic lesions which are invisible on convential B-mode. J Gastroenterol. 2004;42:303-10.</li>
<li>Nilsson A, Krause J. Targeted tumour biopsy under contrast-enhanced ultrasound guidance. Eur Radiol 2003;13:L239-40.</li>
<li>EFSUMB Study Group. Guidelines for the use of contrast agents in ultrasound. Ultraschall Med 2004;25:249-56.</li>
</ol>

Woodwing Id
272179
Fil
English summary

Summary Diagnosis and biopsy of liver metastases using ultrasound contrast agent Ugeskr L&aelig;ger 2009;171(11):907 In the presented case, liver metastases were not visible on conventional ultrasound imaging. After a contrast agent was given, multiple metastases were seen, and an ultrasound-guided biopsy was performed, guided by the contrast image.

Bib ref
Ugeskr Læger 2009;171(11):907
Authors

Overlæge Torben Lorentzen & overlæge Bjørn Skjoldbye Herlev Hospital, Kirurgisk Gastroenterologisk Afdeling

0 likes
Read time
3