Medlem i

12 years 10 months
Indholdselementer

Normaltrykshydrocefalus (NPH) er karakteriseret ved triaden gang- og balancebesvær, kognitiv dysfunktion og vandladningsproblemer samt påvisning af udvidede hjerneventrikler. NPH kan behandles med indsættelse af en ventrikuloperitoneal shunt (VPS), og det er derfor vigtigt, at læger har kendskab til tilstanden, så der sikres tidlig henvisning til højtspecialiserede centre mhp. udredning og evt. behandling. I Danmark foretages dette på universitetshospitalerne i København, Odense, Aarhus og Aalborg.

Sidebar placering
Venstrestillet
Hovedbudskaber
  • Triadesymptomerne ved idiopatisk normaltrykshydrocefalus (iNPH) er gang- og balancebesvær, vandladningsproblemer samt kognitiv dysfunktion.

  • Patogenesen er uklar, men vaskulære og neurodegenerative tilstande menes at indgå.

  • iNPH er kirurgisk behandlelig, men det er vanskeligt at udvælge patienter, der har gavn af shuntoperation.

Ombryd tekst
0
Brødtekst
  • Triadesymptomerne ved idiopatisk normaltrykshydrocefalus (iNPH) er gang- og balancebesvær, vandladningsproblemer samt kognitiv dysfunktion.

  • Patogenesen er uklar, men vaskulære og neurodegenerative tilstande menes at indgå.

  • iNPH er kirurgisk behandlelig, men det er vanskeligt at udvælge patienter, der har gavn af shuntoperation.

Prævalensen af NPH stiger med alderen og er 0,2% i aldersgruppen 70-79 år og 5,9% i aldersgruppen >80 år [1].

I denne artikel ønsker vi at skabe overblik over patogenese, symptomatologi, diagnostiske test og behandling af NPH.

PATOGENESE

De fleste patienter med NPH har ingen kendt udløsende årsag, og deres sygdom klassificeres derfor som idiopatisk NPH (iNPH). Sekundær NPH ses efter f.eks. subaraknoidalblødning eller meningitis [2] og omtales ikke yderligere her.

iNPH blev beskrevet i 1965 hos en gruppe patienter med et gennemsnitligt intrakranielt tryk (ICP) på 13 mmHg [3], som er definitorisk normalt. Nye undersøgelser tyder dog på, at fysiologisk normalt ICP er omkring 0 mmHg [4] og dermed, at ICP ved iNPH er let-moderat forhøjet.

Normal cirkulation af cerebrospinalvæske (CSV) er vist i Figur 1. Ved iNPH er der ubalance mellem CSV-produktion og resorption, men de præcise patofysiologiske mekanismer er uafklarede. Nyere studier tyder på, at clearance af CSV via det glymfatiske system er kompromitteret. Det fører til ophobning af CSV i det interstitielle væv og nedsat eftergivelighed (komplians) af hjernevævet. Ved iNPH er pulsationsamplituden i CSV og ICP øget, hvilket er foreneligt med den nedsatte komplians[2, 6]. Shuntbehandling kan normalisere ICP-pulsationsamplituden, hvilket indikerer, at hjernevævets komplians og den glymfatiske clearance af CSV stiger efter shunt [6]. iNPH skyldes dog ikke udelukkende abnorme biohydrauliske forhold i CSV, da anden patologi ofte også indgår i tilstanden.

Sidebar placering
Venstrestillet
Billede
Sidebar placering
Venstrestillet

Vaskulær patologi

Vaskulære risikofaktorer er hyppigeved iNPH, og det er foreslået, at iNPH kunne være en form for vaskulær demens [7].På hjerneskanninger ses der ofte i den hvide substansudbredte forandringer, der kan være kroniske iskæmiske forandringer [8]. Forandringerne er udtalt i den periventrikulære hvide substans, hvor blodgennemstrømningen er nedsat.En mulig sammenhæng er, at kroniske ændringer i hjertets pumpefunktion, som f.eks. ved hypertension, medfører ændringer i balancen mellem CSV-produktion og resorption. Dette fører til diffusion af CSV til hjerneparenkymet og dermed periventrikulært ødem og iskæmi [2]. Drænage af CSV med indsættelse af VPS ved iNPH øger blodgennemstrømningen bl.a. i den periventrikulære hvide substans og korrelerer til bedring af symptomerne[9].

Degenerativ hjernesygdom

Neurodegenerativ sygdom indgår muligvis i iNPH. Betaamyloidaflejring som ved Alzheimers sygdom (AD) ses hos 50-75% af patienterne med iNPH [10-12], men også Lewy body-patologi og atypisk parkinsonpatologi er beskrevet [12]. Lavt betaamyloidniveau i CSV er typisk ved AD, men ses også ved iNPH. Clearance af betaamyloid er muligvis nedsat ved iNPH, da beta-amyloidniveauet stiger efter indsættelse af VPS. Derimod er niveauerne af andre AD-biomarkører som tau og fosforylerettau normale ved iNPH, men ofte forhøjede ved AD [13]. Skelnen mellem iNPH og neurodegenerative sygdomme er vanskelig, da der ikke eksisterer anerkendte patologiske kriterier for iNPH [10].

KLINISKE KARAKTERISTIKA

Den kliniske triade ved iNPH er gang- og balanceproblemer, kognitiv dysfunktion og vandladningsbesvær. Den fulde triade behøver ikke at være til stede for at diagnosen kan stilles[14]. Det kliniske billede overlapper med flere andre sygdomme og vanskeliggør diagnostikken (Tabel 1).

Sidebar placering
Venstrestillet
Billede
Sidebar placering
Venstrestillet

Gangbesvær

Subjektivt gang- og balancebesvær er den hyppigste gene ved iNPH, og ved klinisk undersøgelse ses gangen at være påvirket hos ca. 70% [15]. Det er som oftest det første symptom, og fravær af dette gør iNPH mindre sandsynlig. Den typiske »NPH-gang« er bredsporet med nedsat skridtlængde, fodløft og tempo. Fødderne kan være udadroterede og vendingerne er usikre samten bloc(≥ 3 skridt pr. vending). Gangen er »futtende« eller med »gluefeet« pga. det nedsatte fodløft. Balancen er typisk dårlig med påvirket linegang og evt. retropulsion. Ved kraftundersøgelse er kræfterne i underekstremiteterne ofte normale [14], og der er sjældent tegn på ataksi. I udtalte tilfælde har patienten mistet sin gangfunktion, og stående balance er meget usikker med faldtendens, der ofte er bagoverrettet.

Lignende gangforstyrrelser ses også ved andre tilstande, såsom Parkinsons sygdom. Her er kropsholdningen dog som oftest foroverbøjet og gangen typisk smalsporet med nedsat medsving af armene. I praksis kan det være svært at skelne mellem gangforstyrrelserne, og parkinsonistisk gang kan ses hos patienter, der opfylder kriterierne for iNPH [15]. Lumbal spinalstenose kan også give en bredsporet gang, men her er der ofte ryg- og bensmerter [16].

Kognitive deficit

De kognitive problemer ved iNPH giver nedsat mentalt tempo, nedsat opmærksomhed og apati. Eksekutive funktioner (bl.a. evnen til planlægning og udførelse af målrettede aktiviteter) kan være påvirket. Hukommelsen er som oftest mindre påvirket end ved AD [17]. Ved fremskreden iNPH ses der global påvirkning.

Vandladningsproblemer

Bydende vandladningstrang, såkaldt urge, ses ofte tidligt ved iNPH og er rapporteret hos op mod 90%. Med tiden kan urininkontinens ses. Ved urodynamiske undersøgelser kan man evt. påvise overaktivitet af detrusormusklen [18]. Vandladningsproblemer er hyppige i den ældre befolkning og ses bl.a. ved nedre urinvejsinfektioner og prostatahyperplasi,derfor vægtes dette triadesymptom lavere end de øvrige ved iNPH [14].

Hovedpine

Hovedpine er ikke en del af symptomkomplekset ved iNPH [14], idet ICP er normalt eller kun let forhøjet. Tilstedeværelsen af hovedpine giver mistanke om obstruktiv hydrocefalus med forhøjet ICP [19].

RADIOLOGISKE KENDETEGN

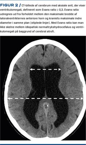
For at man kan stille diagnosen iNPH, skal der være påvist ventrikulomegali med forhøjet Evans ratio (Figur 2). Ventriklerne bliver større med alderen, og ca. 20% af personerne over 70 år har billeddiagnostisk ventrikulomegali[20]. MR-skanning foretrækkes frem for CT ved udredning af iNPH, da karakteristika udover ventrikulomegali kan visualiseres med MR-skanning.

Sidebar placering
Venstrestillet
Billede
Sidebar placering
Venstrestillet

Flere studier har vist, at særlige MR-skanningskendetegn kan bruges til forudsigelse af respons på VPS. En spids corpus callosum-vinkel og tilstedeværelse af såkaldte disproportionately enlarged subarachnoid space hydrocephalus (DESH)-tegn (Figur 3) ser ud til at have størst prognostisk værdi [8, 21]. Tilstedeværelsen af DESH opfattes af mange som central ved iNPH, og en subklassificering i DESH og non-DESH er blevet foreslået [22].

Forandringer i den periventrikulære hvide substans ses ofte, men det er svært at skelne mellem ødem og kronisk iskæmi [10]. Det diskuteres, om tilstedeværelsen af disse forandringer i den hvide substans har prognostisk betydning for respons på VPS [8, 21].

En vigtig radiologisk differentialdiagnose er obstruktiv hydrocefalus, som ofte skyldes en rumopfyldende proces eller malformation. De radiologiske fund afhænger af obstruktionens placering. Udover ventrikulomegali kan man se en hvælvende og tynd corpus callosum samt nedaddisplacering af gulvet i tredje ventrikel. Forsnævring af aqueductus cerebri kan visualiseres på MR-skanninger med sagittale, T2-vægtede, flowfølsomme sekvenser, hvorved en relativ stenose kan påvises [19].

Sidebar placering
Venstrestillet
Billede
Sidebar placering
Venstrestillet

UNDERSTØTTENDE DIAGNOSTISKE TEST

I Danmark udføres der taptest (TT) og/eller lumbal infusionstest (LIT) rutinemæssigt ved udredning af iNPH på specialafdelinger.

Ved TT udføres der en almindelig lumbalpunktur med drænage af ca. 40 ml CSV. Denne test simulerer mekanismen ved VPS. Bestemmelse af ganghastighed og evt. kognitive test udføres før og efter TT. I et europæisk, multicenterstudie undersøgte man, om TT kunne bruges til forudsigelse af outcome 12 måneder efter VPS. Den positive prædiktive værdi var 88%, og den negative prædiktive værdi var 18% hos patienter med billeddiagnostiske og kliniske tegn på iNPH [23]. Alternativt benyttes et lumbalt dræn til kontinuerlig drænage over flere døgn, men den prædiktive værdi er sparsomt belyst, og komplikationsraten er højere end ved TT [24].

Med LIT kan man muligvis øge den diagnostiske sikkerhed og forudsige respons på VPS. Ved LIT måles ICP under infusion af Ringers væske igennem nåle anlagt i spinalkanalen. Resistance to outflow(Rout) udtrykker forholdet mellem trykstigning og infusionshastighed, hvilket teoretisk indikerer den kraniospinale evne til at absorbere væske [25]. Rout-værdier over 16-18 mmHg/ml/min indikerer nedsat evne til absorption og understøtter mistanken om iNPH. I studier har man påvist omtrent samme høje positive og lave negative prædiktive værdier som for TT [11]. Derudover er der rejst tvivl om, hvorvidt man med LIT kan forudsige, hvem der responderer på VPS i tilfældet af negativt resultat af TT[11].

En mere invasiv test er måling af ICP med registrering af bl.a. pulsationsamplitude. Forhøjet pulsationsamplitude er påvist at kunne prædiktere respons på VPS [6], men evidensen er sparsommere end for TT og LIT [24][22].

Diskrepansen mellem TT og LIT er høj (55%). I kombination er testene gode til forudsigelse af et positivt outcome efter shunt, hvis en eller begge er positive [26]. Patienterne bør informeres om, at en positiv test øger chancen for effekt af VPS, men at en negativ test ikke udelukker effekt.

Udarbejdelse af diagnostiske kriterier for iNPH har været vanskelig. De ældre kriterier var primært baseret på kliniske symptomer og ventrikulomegali samt fravær af obstruktiv hydrocefalus [14]. De nyere kriterier inkluderer enten en positiv TT eller DESH-forandringer set på MR-skanning[22].

BEHANDLING

Behandlingen er operation med implantation af et ventilreguleret drænsystem, der leder CSV til absorption andetsteds. I Danmark benytter man hovedsageligt VPS. Alternativer er ventrikuloatrial eller lumboperitoneal shunt. Der er ikke forskel på behandlingerne mht. effekt [27]. VPS bør generelt tilbydes patienter, der har symptomer, billeddiagnostik forenelig med iNPH samt et positivt resultat af TT og/eller LIT. For patienter med billeddiagnostiske og kliniske tegn på iNPH, men negativt resultat af TT eller LIT, kan en pragmatisk tilgang være nødvendig med tæt kontrol mhp. progression af symptomer og evt. gentagne TT.

Omkring 75% af patienterne opnår en positiv effekt indenfor et år postoperativt [28]. Gangen forbedres hos 75% [27], og 62% har opnået en ≥ 20% øgning af ganghastigheden tre måneder postoperativt [11]. 62% opnår bedring af kognitionen[27]. En metaanalyse viste signifikant bedring af hukommelse og psykomotorisk tempo samt en forbedring på mini mental state examination med gennemsnitligt 2,2 point [17]. Urge og inkontinens bedredes hos 55% [27].

Andelen, der har effekt af operation, falder med tiden. Således er der effekt på gangfunktionen hos 83% seks måneder postoperativt, men kun hos 40% efter fem år. Andelen med varig effekt på kognitive effektmål er endnu lavere [29].

Respons på shuntoperation er muligvis uafhængig af alder, hvis patienterne selekteres ud fra omhyggelige kriterier. Komorbiditeter såsom diabetes mellitus, perifer karsygdom, apopleksi eller tidligere transitorisk cerebral iskæmi og tilstedeværelse af AD-patologi er associeret med dårligere outcome[24, 30].

Der ses postoperativt subduralt hæmatom som følge af overdrænage hos 10% af patienterne efter VPS. Kirurgisk evakuering af hæmatomet er nødvendigt hos under 1,5% [27]. Intracerebral hæmoragi ses hos 0,2%, infektion hos 3,5% og den overordnede perioperative mortalitet er 0,2% i nyere opgørelser. En metaanalyse viste behov for shuntrevision hos 18% pga. shuntdysfunktion (followup 3-78 måneder) [27, 28]. Brug af shunt med postoperativ regulerbar drænagehastighed nedsætter behovet for shuntrevision og frekvensen af subdurale ansamlinger [27].

KONKLUSION

Ætiologien ved iNPH er ikke klarlagt. Overlap med vaskulære og neurodegenerative tilstande gør udvælgelsen af patienter til shuntoperation vanskelig. Trods dette er andelen af patienter, der har effekt af en shuntoperation, høj. I mangel af bedre supplerende undersøgelser er omhyggelig vurdering af kliniske tegn (og her især gangforstyrrelse) kombineret med neuroradiologisk erfaring fortsat hjørnestenen i diagnostikken. iNPH har klassisk være anset som en reversibel årsag til demens, men langtidsstudier viser, at effekten af VPS ofte svinder med tiden. Der er derfor behov for bedre prognostiske markører for langtidseffekten af VPS.



Korrespondance: Gorm Thorlacius-Ussing. E-mail: gorm_ussing@hotmail.com
Antaget: 17. marts 2020
Publiceret på Ugeskriftet.dk: 4. maj 2020
Interessekonflikter: ingen. Forfatternes ICMJE-formularer er tilgængelig sammen med artiklen på Ugeskriftet.dk
Litteratur: Findes i artiklen på Ugeskriftet.dk

Sidebar placering
Venstrestillet
Article type
Journal
Magazine
Section
References

Litteratur

  1. Jaraj D, Rabiei K, Wikkelso C et al. Prevalence of idiopathic normal-pressure hydrocephalus. Neurology 2014;82:1449-54.

  2. Brautigam K, Vakis A, Tsitsipanis C, Pathogenesis of idiopathic normal pressure hydrocephalus: a review of knowledge. J Clin Neurosci 2019;61:10-3.

  3. Hakim S, Adams RD. The special clinical problem of symptomatic hydrocephalus with normal cerebrospinal fluid pressure. J Neurol Sci 1965;2:307-27.

  4. Pedersen SH, Lilja-Cyron A, Juhler M et al. The relationship between intracranial pressure and age-chasing age-related reference values. World Neurosurg 2018;110:e119-e123.

  5. Bothwell SW, Janigro D, Patabendige A. Cerebrospinal fluid dynamics and intracranial pressure elevation in neurological diseases. Fluids Barriers CNS 2019;16:9.

  6. Eide PK, Sorteberg W. Outcome of surgery for idiopathic normal pressure hydrocephalus: role of preoperative static and pulsatile intracranial pressure. World Neurosurg 2016;86:186-93.

  7. Israelsson H, Carlberg B, Malm J et al. Vascular risk factors in INPH: a prospective case-control study (the INPH-CRasH study). Neurology 2017;88:577-85.

  8. Virhammar J, Laurell K, Larsson EM et al. Preoperative prognostic value of MRI findings in 108 patients with idiopathic normal pressure hydrocephalus. AJNR Am J Neuroradiol 2014;35:2311-8.

  9. Ziegelitz D, Arvidsson J, Starck G et al. Pre-and postoperative cerebral blood flow changes in patients with idiopathic normal pressure hydrocephalus measured by computed tomography (CT)-perfusion. J Cereb Blood Flow Metab 2016;36:1755-66.

  10. Espay AJ, Da Prat GA, Lang AE et al. Deconstructing normal pressure hydrocephalus: ventriculomegaly as early sign of neurodegeneration. Ann Neurol 2017;82:503-13.

  11. Junkkari A, Luikku AJ, Leinonen V et al. The Kuopio idiopathic normal pressure hydrocephalus protocol: initial outcome of 175 patients. Fluids Barriers CNS 2019;16:21.

  12. Cabral D, Beach TG, Sabbagh MN et al. Frequency of Alzheimer's disease pathology at autopsy in patients with clinical normal pressure hydrocephalus. Alzheimers Dement 2011;7:509-13.

  13. Graff-Radford NR. Alzheimer CSF biomarkers may be misleading in normal-pressure hydrocephalus. Neurology 2014;83:1573-5.

  14. Relkin N, Marmarou A, Black PM et al. Diagnosing idiopathic normal-pressure hydrocephalus. Neurosurgery 2005;57(suppl 3):S4-16.

  15. Morel E, Armand S, Allali G et al. Is frontal gait a myth in normal pressure hydrocephalus? J Neurol Sci 2019;402:175-9.

  16. Katz JN, Dalgas M, Lipson SJ et al. Degenerative lumbar spinal stenosis. Diagnostic value of the history and physical examination. Arthritis Rheum 1995;38:1236-41.

  17. Peterson KA, Savulich G, Sahakian BJ et al. The effect of shunt surgery on neuropsychological performance in normal pressure hydrocephalus: a systematic review and meta-analysis. J Neurol 2016;263:1669-77.

  18. Krzastek SC, Robinson SP, Klausner AP et al. Improvement in lower urinary tract symptoms across multiple domains following ventriculoperitoneal shunting for idiopathic normal pressure hydrocephalus. Neurourol Urodyn 2017;36:2056-63.

  19. Langner S, Fleck S, Kirsch M et al., Diagnosis and differential diagnosis of hydrocephalus in adults. Rofo 2017;189:728-39.

  20. Jaraj D, Rabiei K, Wikkelso C et al. Estimated ventricle size using Evans index: reference values from a population-based sample. Eur J Neurol 2017;24:468-74.

  21. Shinoda N, Hirai O, Ueno Y et al. Utility of MRI-based disproportionately enlarged subarachnoid space hydrocephalus scoring for predicting prognosis after surgery for idiopathic normal pressure hydrocephalus: clinical research. J Neurosurg 2017;127:1436-42.

  22. Mori E, Ishikawa M, Arai H et al. Guidelines for management of idiopathic normal pressure hydrocephalus: second ed. Neurol Med Chir (Tokyo) 2012;52:775-809.

  23. Wikkelso C, Hellstrom P, Tans JT et al. The European iNPH Multicentre Study on the predictive values of resistance to CSF outflow and the CSF Tap Test in patients with idiopathic normal pressure hydrocephalus. J Neurol Neurosurg Psychiatry 2013;84:562-8.

  24. Halperin JJ, Kurlan R, Gloss D et al. Practice guideline: idiopathic normal pressure hydrocephalus: response to shunting and predictors of response: report of the Guideline Development, Dissemination, and Implementation Subcommittee of the American Academy of Neurology. Neurology 2015;85:2063-71.

  25. Kahlon B, Sundbarg G, Rehncrona S. Lumbar infusion test in normal pressure hydrocephalus. Acta Neurol Scand 2005;111:379-84.

  26. Kahlon B, Sundbarg G, Rehncrona S. Comparison between the lumbar infusion and CSF tap tests to predict outcome after shunt surgery in suspected normal pressure hydrocephalus. J Neurol Neurosurg Psychiatry 2002;73:721-6.

  27. Giordan E, Palandri G, Elder BD et al. Outcomes and complications of different surgical treatments for idiopathic normal pressure hydrocephalus: a systematic review and meta-analysis. J Neurosurg 2018;1:1-13 ).

  28. Toma AK, Papadopoulos MC, Watkins LD et al. Systematic review of the outcome of shunt surgery in idiopathic normal-pressure hydrocephalus. Acta Neurochir (Wien) 2013;155:1977-80.

  29. Kahlon B, Sjunnesson J, Rehncrona S. Long-term outcome in patients with suspected normal pressure hydrocephalus. Neurosurgery 2007;60:327-32.

  30. Hamilton R, Patel S, Trojanowski JQ et al. Lack of shunt response in suspected idiopathic normal pressure hydrocephalus with Alzheimer disease pathology. Ann Neurol 2010;68:535-40.

Woodwing Id
18679
Fil
Conflict of interest
English title
Diagnosis and treatment of normal pressure hydrocephalus
English summary

Gorm Thorlacius-Ussing, Kristian Steen Frederiksen, Anders Vedel Holst, Marianne Juhler & Steen Gregers Hasselbalch:

Ugeskr Læger 2020;182:V12190710

This review summarises the current knowledge of normal pressure hydrocephalus (NPH), which is considered to be a reversible cause of dementia. Early identification is important to select patients for surgical treatment with ventricular shunting. The symptoms of NPH are gait disturbance, cognitive dysfunction and urinary incontinence. NPH is diagnosed by a combination of the clinical presentation and neuroimaging and preferably supported by cerebrospinal fluid tests. The pathophysiology is not well described and a significant overlap with degenerative and small vessel brain diseases exist, making selection of patients for surgery difficult.

Authors workplaces

1) Neurologisk Klinik, Nationalt Videnscenter for Demens, Rigshospitalet, 2) Neurokirurgisk Klinik, Rigshospitalet

Ugeskr Læger 2020;182:V12190710

Bib ref
UgeskrLæger 2020;182:V12190710
Article number
V12190710
Authors

Gorm Thorlacius-Ussing1, Kristian Steen Frederiksen1, Anders Vedel Holst2, Marianne Juhler2 & Steen Gregers Hasselbalch1

0 likes