Medlem i

12 years 10 months
Indholdselementer
Billede
Sidebar placering
Venstrestillet


Der præsenteres en sygehistorie, hvor der et udvikledes et transmesenterielt hernie fire uger efter venstresidig laparoskopisk nefrektomi, foretaget via transperitoneal adgang pga. nyretumor.

Diagnosticering af et internt hernie gøres bedst ved computertomografi, om end der ved denne metode er lav sensitivitet. Hvis der er mistanke om, at der forekommer et internt hernie, tilrådes hurtig kirurgisk indgriben.

Et internt hernie defineres som en protrusion af tarm igennem en normal eller abnorm peritoneal/mesenterial åbning intraabdominalt. De hyppigst forekommende interne hernier er paraduodenale, pericøkale, ved foramen Winslowii, transmesenterielle eller intersigmoidale [1]. Diagnosen internt hernie er vigtig at stille hurtigt, men det kan besværliggøres af, at symptomer og radiologiske tegn ofte vil være slørede på grund af en nylig overstået operation. Diagnosen stilles bedst ved computertomografi (CT) med peroral kontrast, hvor sensitiviteten angives til 16-48% [2-3]. De tegn, der bør lede opmærksomheden mod muligheden for et internt hernie, er dilaterede tarmslynger proksimalt for en peritoneal/mesenterial åbning, et tæt forløb af mesenteriale blodkar, og en abnorm placering af anastomose, identificeret ved staplerclips. Endelig kan en fortykket broksæk udvikle sig med tiden og erkendes på CT.

Sygehistorie

En 62-årig mand blev indlagt akut efter et døgn med kraftige smerter i venstre side af abdomen. Patienten var fire uger forud for aktuelle indlæggelse blevet laparoskopisk nefrektomeret på venstre side for en fire centimeter stor tumor ved nedre nyrepol. Der blev foretaget transperitoneal adgang med mobilisation af venstre colonfleksur og colon descendens. Indgrebet blev beskrevet som ukompliceret. I efterforløbet udviklede patienten urinvejsinfektion, som blev behandlet med antibiotika. Mikroskopi viste renalcellekarcinom af papillifer type pT1 med frie resektionsrande, N0, M0.

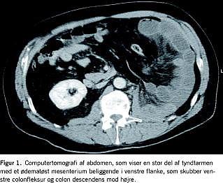
Ved den aktuelle indlæggelse fandtes patienten tydeligt smertepåvirket og klamtsvedende, blodtryk 187/106 mmHg, puls 60, temperatur 35,7 °C. Abdomen var direkte øm svarende til venstre nyreloge. Akut computertomografi af abdomen med intravenøs og peroral kontrast viste sequelae efter venstresidig nefrektomi i form af koagler eller hæmatom og fri væske intraabdominalt samt tegn på intern herniering af en stor del af tyndtarmen med ødematøst mesenterium til venstre flanke. Tyndtarmskonglomeratet skubbede venstre colonfleksur og colon descendens mod højre (Figur 1 ). Patienten blev akut laparotomeret, der fandtes blodtingeret væske intraabdominalt og 125 cm dilateret, men vitalt tyndtarmskonglomerat som havde hernieret sig igennem en 5 cm stor defekt i mesenteriet af venstre colonfleksur. Tyndtarmskonglomeratet blev reponeret, resektion fandtes ikke indiceret, og defekten blev lukket uden brug af mesh. Det postoperative forløb var ukompliceret, og patienten kunne udskrives efter syv dage.

Diskussion

Transmesenterielle hernier forekommer hyppigst hos børn og hos voksne efter operation [1]. Det er den type hernie, som hyppigst udvikler inkarceration. Det sker ved 30-40% af alle interne hernier [1]. Diagnosen transmesenterielt hernie stilles bedst ved computertomografi med peroral kontrast, men sensitiviteten er ofte lav på grund af en varieret lokalisation af herniet og mangel på fortykket broksæk. Der bør hurtigt foretages laparoskopi eller laparotomi ved mistanke om internt hernie. Et internt hernie er forbundet med en morbiditet på 12-15% og en mortalitet på 0,5-2% [3, 4], men ved udvikling af inkarceration er beskrevet en mortalitet på op til 50% trods operation [1].

Denne sygehistorie viser, at man bør overveje diagnosen internt hernie hos patienter med uspecifikke subileussymptomer, især hos patienter som nylig har gennemgået kirurgi med manipulation af mesenterium for eksempel tarmresektion med anastomose (ikke alle kirurger suturerer defekt i mesenterium) eller efter bariatriske operationer. Vi finder det vigtigt, at kirurger og radiologer har kendskab til tegnene for et internt hernie ved CT.


Lars Ulrich Hansen , Urologisk Afdeling L, Odense Universitetshospital, DK-5000 Odense C. E-mail: luhansen@hotmail.com

Antaget: 21. februar 2008

Interessekonflikter: Ingen



Sidebar placering
Venstrestillet
Article type
Journal
Magazine
Section
References

<ol class="Litt-list">
<li>Martin LC, Merkle EM, Thompson WM. Review of internal hernias: radiographic and clinical findings. Am J Roentgenol 2006;186:703-17.</li>
<li>Reddy SA, Yang C, McGinnis LA et al. Diagnosis of transmesocolic internal hernia as a complication of retrocolic gastric bypass: CT imaging criteria. AJR Am J Roentgenol 2007;189:52-5.</li>
<li>Ghiassi S, Nguyen SQ, Divino CM et al. Internal hernias: clinical findings, management, and outcomes in 49 nonbaratric cases. J Gastrointest Surg 2007;11:291-5.</li>
<li>Higa KD, Ho T, Boone KB. Internal hernias after laparoscopic Roux-en-Y gastric bypass: incidence, treatment and prevention. Obes Surg 2003;13:350-4.</li>
</ol>

Woodwing Id
272813
Fil
English summary

Summary Computer tomographic diagnosis of an internal hernia Ugeskr L&aelig;ger 2009;171(1):34-35 A case is presented in which a transmesenteric hernia developed four weeks after transperitoneal laparoscopic left nephrectomy. The diagnosis of an internal hernia is best established by computer tomography; however, the signs have low sensitivity, and on suspicion of an internal hernia, early laparoscopy or laparotomy is recommended.

Bib ref
Ugeskr Læger 2009;171(1):34-35
Authors

Overlæge Bassam Mahdi, overlæge Lars Ulrich Hansen & 1. reservelæge Erik Zimmermann-Nielsen Odense Universitetshospital, Røntgendiagnostisk Afdeling, Urologisk Afdeling og Kirurgisk Afdeling

0 likes
Read time
4