Medlem i

12 years 10 months
Indholdselementer
Billede
Sidebar placering
Venstrestillet


En 34-årig kvinde blev indlagt med smerter under højre ribbens-kurvatur. Den tentative diagnose var galdesten, men de paraklini-
ske undersøgelser støttede ikke diagnosen. Røntgen af thorax
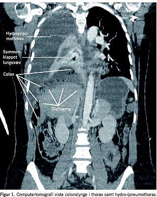
viste en helt hvid højre lunge. En senere computertomografi afslø-rede en colonslynge i thorax og hæmo-/pneumothorax. Almentil-standen blev akut forværret, og hun blev - i et billede af livtruende sepsis - flyttet til en operationsfacilitet, hvor man ved åben torakotomi fandt et inkarcereret kongenit diafragmahernie. Efter operationen blev patienten udskrevet i velbefindende med midler-tidig stomi.


Patienter, som præsenterer sig med smerter omkring højre ribbenskurvatur, er særdeles almindelige i såvel den medicinske som den kirurgiske modtagelse. Differentialdiagnoserne er mange, og man vil ofte tænke i hyppige diagnoser, hvilket nedenstående sygehistorie er et eksempel på.

Sygehistorie

En 34-årig tidligere rask kvinde indlægges på kirurgisk afdeling efter fire dages anamnese med smerter under højre ribbenskurvatur. Smerterne var af konstant karakter med turevise forværringer og med udstråling til højre skulder. Smerterne var forsøgt behandlet med diclofenac uden nævneværdig effekt. Der var ingen opkastninger eller feber. Mistanken gik initialt på galdestenssygdom. Patienten havde normal biokemi. Natten til tredje indlæggelsesdøgn forværredes patientens almentilstand, og hun blev klamtsvendende og bleg med tarkykardi. Smerterne var nu lokaliseret retrosternalt gående over i venstre thoraxhalvdel og var morfika-krævende. Man havde mistanke om en kardiopulmonal genese, og patienten blev overflyttet til Kardiologisk Afdeling. Elektrokardiogram viste iskæmi i laterale prækordialafledninger, men man fandt normale koronarenzymer og upåfaldende telemetri. Arteriepunktur viste tegn på let hyperventilation. Liggende røntgenoptagelse af thorax viste en hvid højre lunge og begge diagfragmakupler fandtes upåfaldende.

Den efterfølgende morgen blev der foretaget ekkokardiografi, som var normal. Computertomografi afslørede højresidig hydro-/pneumothorax (Figur 1 ). Endvidere sås en 11 × 7,5 × 6 cm stor kavitet med væskespejl, som strakte sig paramediastinalt og ned til diafragma. Den tentative diagnose var lungeabsces. Der anlagdes pleuradræn, hvori der udtømtes 1.000 ml tyndtflydende, rødbrun og ildelugtende væske. Patienten overflyttedes til Thoraxkirurgisk Afdeling.

På Thoraxkirurgisk Afdeling blev der foretaget åben torakotomi. Her fandt man en perforeret caecum/colon ascendens, som hernierede op gennem en defekt på ca. 2 × 2 cm lateralt i den højre diafragmakuppel (centrum tendineum). Herniet reponeredes intraabdominalt, der foretoges ileo-caecal resektion med terminal ileostomi. Den endelige diagnose var således kongenit diafragmahernie med inkarceret colonindhold.

Patienten kom sig og blev udskrivet velbefindende med henblik på tilbagelægning af stomien i rolig fase.

Diskussion

I denne sygehistorie rapporteres om en yngre kvinde, som først relativt sent i et deteriorerende sygdomsforløb fik stillet den rette diagnose. Først efter computertomografi samles interessen om et intratorakalt kirurgisk problem. Patienten blev herefter overflyttet til den relevante afdeling, hvor den endelige diagnose stilles.

Cirka 3,30 pr. 10.000 børn fødes med kongenit diafragmahernie [1]. Tilstandens alvor afspejles i en mortalitet (inklusive »skjult dødelighed«) på op mod 60% [2, 3]. De hernier, som giver symptomer, afslører sig oftest som respiratorisk distress hos den nyfødte. Dog ses recidiverende lungeinfektioner og gastrointestinale symptomer hos en undergruppe af udiagnosticerede patienter med hernier [1]. Disse kan i nogle tilfælde lede tanken i retning af diagnosen, men vil formentlig oftest vildlede klinikeren til at tænke i andre diagnostiske baner. Hos 10% stilles diagnosen først senere i livet [2].

Røntgenoptagelse af thorax vil ofte ikke afsløre diagnosen. Derfor fremhæves vigtigheden af at supplere med computertomografi i tilfælde, hvor der ikke foreligger en klar patologi.

Der er tidligere rapporteret enkelte eksempler, hvor ikkeperforerede hernier har simuleret pleuraeffusion, og hvor blind drænage af pleura ville medføre en iatrogen perforation af colon intratorakalt [4].

I vores tilfælde havde patienten ikke haft symptomer eller været ude for relevante traumer gennem sine 34 leveår. Først da herniet inkarcererede og perforerede til pleurahulen, udviklede hun sepsis med hurtig forværring af almentilstanden. Der forelå ingen traumer i anamnesen, som kunne lede tankerne i retning af et diagfragmahernie.

Trods sygdommens udtalte sjældenhed illustrerer denne sygehistorie, hvor vigtigt det er at tænke diffentialdiagnostisk, når anamnese, kliniske og parakliniske resultater ikke stemmer samt gøre brug af computertomografi eller anden avanceret modalitet tidligt ved et uafklaret sygdomsbillede.

Korrespondance. Anders Hejmdal , Organkirurgisk Afdeling, Sygehus Øst - Køge, DK-4600 Køge. E-mail: hejmdal@dadlnet.dk

Antaget: 5. juni 2008

Interessekonflikter: Ingen




Sidebar placering
Venstrestillet
Article type
Journal
Magazine
Section
References

<ol class="Litt-list">
<li>Torfs CP, Curry CJ, Bateson TF et al. A population-based study of congenital diaphragmatic hernia. Teratology 1992;46:555-65.</li>
<li>Robinson PD, Fitzgerald DA. Congenital diphragmatic hernia. Pediatr Respir Rev 2007;8:323-35.</li>
<li>Skari H, Bjornland K, Haugen G et al Congenital diaphragmatic hernia: A meta-analysis of mortality factors. J Pediatr Surg 2000;35:1187-97.</li>
<li>Kumar RV, Ramana DV, Gopal PR. Giant Morgagnian hernia masquerading as pleural effusion. J Indian Med Assoc 2004;102:98-9.</li>
</ol>

Woodwing Id
272880
Fil
English summary

Summary Diaphragmatic hernia - admitted under the gall stone diagnosis Ugeskr L&aelig;ger 2009;171(1):33-34 A 34-year old woman was admitted with pain in the upper right abdomen. The tentative diagnosis was gall stones, but none of the paraclinical results supported this diagnosis. A chest x-ray showed a completely white right lung. A later computertomography showed a colon-loop in the thorax and haemo-/pneumothorax. The patient's condition deteriorated, a life-treatening state of sepsis developed and she was transferred to a surgery facility where an incarcerated congenital diaphragmatic hernia was established. After surgery she was discharged with a temporary ostomy, but otherwise feeling well.

Bib ref
Ugeskr Læger 2009;171(1):33-34
Authors

Reservelæge Anders Hejmdal, konstitueret overlæge Akram Dakhil & 1. reservelæge Thomas Boel Sygehus Øst, Køge, Organkirurgisk Afdeling

0 likes
Read time
4