Medlem i

12 years 10 months
Indholdselementer

Kardiovaskulær sygdom kan manifestere sig på mange måder. Et sjældent symptom er hæshed som følge af parese af nervus laryngeus recurrens [1]. Sammenhængen mellem kardiovaskulær sygdom og parese af nervus laryngeus recurrens blev først beskrevet af Norbert Ortner (1865-1935) i 1897 efter observation af patienter med hæshed og dilateret venstre atrium som følge af mitralstenose [2]. Nervus laryngeus recurrens afgår fra nervus vagus og har et forskelligt forløb på henholdsvis højre og venstre side. På venstre side løber nerven under aortabuen og passerer ligamentum arteriosum og arteria pulmonalis. Her er nerven særligt udsat for kompression, hvilket beskrives som den tilgrundliggende årsag til Ortners syndrom. Herefter ascenderer nerven langs trachea og øsofagus, hvorefter den passerer glandula thyroidea inden indtræden i larynx. På højre side passerer nerven højre arteria subclavia. Parese af nervus laryngeus recurrens kan ud over stemmebåndsparesen medføre dyspnø, dysfagi og risiko for aspirationspneumonier [1].

I dag kendes Ortners syndrom også som det kardiovokale syndrom og omfatter kardiovaskulære sygdomme som torakale aortaaneurismer, sygdomme, der er relateret til hjerteklapperne, pulmonal hypertension og medfødte hjertesygdomme [1].

I denne kasuistik beskrives et tilfælde af Ortners syndrom, hvor en patient fik nyopstået hæshed som følge af et torakalt aortaaneurisme.

SYGEHISTORIE

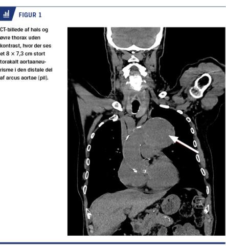
En 87-årig mand henvendte sig til en specialpraktiserende øre-næse-hals-læge pga. hæshed og intermitterende svigt af stemmen gennem to uger. Han havde ingen smerter, klumpfølelse i halsen, hoste eller åndenød. Patienten havde forhøjet blodtryk og var i medicinsk behandling for dette. Endvidere havde han været hospitalsindlagt for et rumperet infrarenalt aortaaneurisme og flere gange pga. akut myokardieinfarkt. Ved objektiv undersøgelse med fiberlaryngoskopi konstateredes venstresidig stemmebåndsparese, hvorfor han blev henvist til et lokalsygehus i kræftpakkeforløb under mistanke om cancer thyroidea. På den lokale øre-næse-hals-afdeling viste en ultralydundersøgelse af halsen en forstørret venstre lap af glandula thyroidea, men ingen afgrænset tumor. Der blev foretaget finnålsbiopsi, som gav mistanke om follikulær neoplasi, og patienten blev viderehenvist til en højtspecialiseret afdeling med henblik på operation. I overensstemmelse med retningslinjerne for pakkeforløb ved stemmebåndsparese blev der ud over objektiv undersøgelse, fiberskopi og ultralydskanning af halsen foretaget en CT af hals og øvre thorax. Skanningen viste normale forhold på halsen, men afslørede et 8 × 7,3 cm stort torakalt aortaaneurisme (Figur 1). Ved akut karkirurgisk tilsyn blev han vurderet at være inoperabel. Pga. begrænset mistanke om malignitet og fund af årsag til paresen blev der afstået fra hemityroidektomi, og patienten fortsatte i et kontrolforløb.

Sidebar placering
Venstrestillet
Billede
Sidebar placering
Venstrestillet

DISKUSSION

Ortners syndrom er en sjælden årsag til parese af nervus laryngeus recurrens. Hyppigere forekommer paresen iatrogent i forbindelse med operationer på hals og lunger eller pga. maligne tilstande i glandula thyreoidea, lunger og øsofagus [3]. Ofte findes der ingen årsag til paresen.

Denne sygehistorie henleder opmærksomheden på at inddrage kardiovaskulære lidelser i de differentialdiagnostiske overvejelser, når en patient henvender sig med hæshed og stemmeændringer – især når årsagen ikke er oplagt. Lammelsen kan, som hos patienten i sygehistorien, være det eneste symptom på alvorlig kardiovaskulær lidelse, og grundig udredning af patienter med kardiovaskulære risikofaktorer er derfor essentiel. Rygning er en risikofaktor for udvikling af torakale aortaaneurismer, og det kan tænkes, at udvikling af hæshed tilskrives rygning eller tidligere rygning, hvorfor andre årsager som Ortners syndrom ikke overvejes. Dette kan bidrage til underdiagnosticering og sen erkendelse af alvorlig sygdom.

Langsomt indsættende eller partiel skade på nervus laryngeus recurrens medfører imidlertid ikke nødvendigvis tydelige symptomer [4]. Derfor kan det være relevant for læger, som behandler og ser patienter med kardiovaskulære sygdomme og risikofaktorer, at være opmærksomme på stemmeændringer. I disse tilfælde er henvisning til en specialpraktiserende øre-næse-hals-læge essentiel for at diagnosen kan stilles, eller anden alvorlig sygdom kan udelukkes. Ved parese af nervus laryngeus recurrens kan der tilbydes behandling i form af logopædi, kirurgi og synketræning med henblik på genoprettelse af normal stemmefunktion samt forebyggelse af dyspnø, dysfagi og pneumonier.

Korrespondance: Anna Meta Dyrvig Kristensen.
E-mail: metakristensen93@hotmail.com

Antaget: 28. september 2018

Publiceret på Ugeskriftet.dk: 19. november 2018

Interessekonflikter: ingen. Forfatternes ICMJE-formularer er tilgængelige sammen med artiklen på Ugeskriftet.dk

Sidebar placering
Venstrestillet
Article type
Journal
Magazine
Section
References

LITTERATUR

  1. Mulpuru SK, Vasavada BC, Punukollu GK. Cardiovocal syndrome: a systematic review. Heart Lung Circ 2018;17:1-4.

  2. Ortner N. Recurrenslahmung bei mitral Stenose. Wien Klin Wochenschr 1897;753-5.

  3. Zangirolami ACA, Oliveira F, Tepedino MS. Ortner‘s syndrome: secondary laryngeal paralysis caused by a great thoracic aorta aneurysm. Int Arch Otorhinolaryngol 2015;19:180-2.

  4. Subramaniam V, Herle A, Mohammed N et al. Ortner‘s syndrome: case series and literature review. Braz J Otorhinolaryngol 2011;77: 559-62.

Woodwing Id
1
Fil
Conflict of interest
English summary

Anna Meta Dyrvig Kristensen, Mikkel Kaltoft &
Mikkel Christian Alanin:

The cardiovocal syndrome

Ugeskr Læger 2018;180:V06180443

Ortner’s syndrome, also known as the cardiovocal syndrome, refers to left recurrent laryngeal nerve palsy and hereby hoarseness due to cardiovascular disease. The palsy arises from compression of the nerve, as it passes between the aortic arch and the pulmonary artery. This case report describes a patient, who presented with hoarseness and recurrent laryngeal nerve palsy due to an 8 × 7.3 cm thoracic aortic aneurism, and it shows the importance of including cardiovascular diseases in the differential diagnosis of hoarseness in patients with cardiovascular risk factors.

Authors workplaces
Øre-næse-halskirurgisk og Audiologisk Klinik, Rigshospitalet

Ugeskr Læger 2018;180:V06180443
Bib ref
Ugeskr Læger 2018;180:V06180443
Article number
V06180443
Authors

Anna Meta Dyrvig Kristensen, Mikkel Kaltoft & Mikkel Christian Alanin

0 likes