Medlem i

13 years 1 month
Indholdselementer
Billede
Sidebar placering
Venstrestillet


Desmoplastisk fibrom (DF) er en meget sjælden, benign knogletumor, der er langsomtvoksende, lokalt destruktiv og hyppigst optræder i lange rørknogler.

Der præsenteres et usædvanligt tilfælde i mandiblen hos en 58-årig kvinde, hvor tumor havde spredt sig til regio paroti- deomasseterica.

Kliniske, histologiske og radiologiske fund diskuteres.

Sygehistorie

En 58-årig tidligere rask kvinde blev indlagt til venstresidig parotidektomi pga. mistanke om pleomorft adenom. Patienten havde, ud over tiltagende hævelse over venstre angulus mandibulae samt en generende fornemmelse ved tygning, ingen symptomer. Objektivt kunne man palpere en fast knudedannelse i venstre parotisregion.

CT, ortopantomografi, UL- og MR-scanning viste, at det drejede sig om en proces med forkalkninger, der var uadskillelige fra mandiblen. Desuden var der tegn på destruktion af corticalis.

Via parotidektomiincision blev det meste af den superficielle del af gld. parotis fjernet, og man kunne herefter konstatere en benhård tumorproces på ydersiden af ramus mandi-bulae. Tumoren blev fjernet in toto.

Det postoperative forløb var ukompliceret, og patienten blev recidivfri.

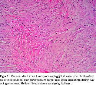
Histologisk var tumoren opbygget af nærmest tenformede celler samt kollagent bindevæv i hvirvlede fasikulære strøg stedvis med tendens til koncentrisk lejring omkring karstrukturer. Tumoren var relativ celletæt, og de tenformede fibroblastlignende celler var ensartede uden mitosefigurer (Figur 1 ). Vævsstykket i relation til knoglevævet antog et aggresssivt vækstmønster, idet man fandt de tenformede tumorceller i knoglemarven. I periferien af læsionen sås fibroblaster, som voksede ind mellem normalt udseende trabekulært knoglevæv. Den histologiske diagnose var forenelig med desmoplastisk fibrom.

Diskussion

DF er en sjælden, benign tumor. Incidensen er 0,1- 0,3% af alle benigne knogletumorer [1-3] og 0,06% af alle knogletumorer [3]. Tilstanden er beskrevet første gang i 1958. Indtil 1980 var der kun rapporteret om i alt 48 tilfælde af DF i knogler. Disse var hovedsageligt lokaliseret til rørknoglers metafyser [2-4].

DF rammer alle aldersgrupper og har ikke nogen kønsprædilektion.

Ætiologien er ukendt, men traumer og genetiske faktorer har været foreslået [2].

DF repræsenterer det intraossøse tilfælde af desmoid tumor i blødt væv. Selv om DF beskrives som en benign, langsomtvoksende, ikkemetastaserende tumor, er den lokal destruktiv med ekspansiv vækst til tider med gennembrud af cortex. Enkelte tilfælde af malign transformation til osteosarkom er beskrevet [5]. De kliniske symptomer er uspecifikke. Der er rapporteret om smerte, hævelse og spontan fraktur. Recidivtendensen er meget høj, ca. 55% ved curettage og 17-35% ved vid kirurgisk excision [2].

Røntgenologisk optræder tumor som et veldefineret uni- eller multilokulært, irregulært, radiolucent område med trabekeltegning og varierende sklerotisk margin [1, 4]. Til tider ses kortikal udtynding og knogledestruktion [2, 3, 5]. Mens CT giver det bedste indtryk af knogledestruktionen, viser MR-skanning grænsen mellem intraossøs tumor og normal knoglemarv samt giver et indtryk af den ekstraossøse tumorkomponent [1].

Histologisk er DF karakteriseret af et modent fibrøst væv bestående af tenformede, ensartede fibroblaster med lav eller ingen mitotisk aktivitet. Fibroblasterne er ligeligt fordelt i stromaet. De kollagene fibre er tæt pakkede og ligger i parallelle bundter [2, 4].

Den eneste rekommanderede behandling er vid kirurgisk excision, der inkluderer en margin af sundt væv [5] evt. med efterfølgende genopbygning og knogletransplantation. Stråleterapi kan overvejes i inoperable tilfælde.

På grund af tumorens lokale aggressivitet og høje recidivtendens er differentieringen fra andre tumorer yderst vigtigt.

Differentialdiagnoser

Radiologiske: differentialdiagnoser kæmpecellegranulom, ameloblastom, aneurysmal knoglecyste, hæmangiom, fibrøs dysplasi, umodent ossificerende fibrom og myksom.

Histologiske differentialdiagnoser: fibrosarkom og osteo-sarkom [2, 3].

Konklusion

DF er en usædvanlig tumor, som både radiologisk og histologisk er vanskelig at skelne fra en malign tumor. Cytomorfologisk har tumoren et benignt udseende, men ved knoglevævet ses tumoren at vokse aggressivt, nærmest infiltrativt ind i dette. MR-skanning viser ligeledes tegn på aggressiv vækst med destruktion af corticalis og opladning i bløddele. Patienter med DF bør følges tæt både radiologisk og klinisk.

Korrespondance: Tandlæge Jytte Buhl, Afdelingen for Tand-, Mund- og Kæbekirurgi, Århus Kommunehospital, DK-8000 Århus C. E-mail: jbibu@get2net.dk

Antaget: 30. juli 2003

Interessekonflikt: Ingen angivet




Sidebar placering
Venstrestillet
Article type
Journal
Magazine
Section
References

<ol class="Litt-list">
<li>Vanhoenacker FM, Hauben E, De Beuckeleer LH et al. Desmoplastic fibroma of bone: MRI features. Skeletal Radiol 2000;29:171-5.</li>
<li>Kaplan J, Torske R. Pathologic quiz case. Arch Pathol Lab Med 2002;126: 107-8.</li>
<li>Barbashina V, Karabakhtsian R, Aisner S et al. Desmoplastic fibroma of the rib. Arch Pathol Lab Med 2002;126:721-2.</li>
<li>Bakaeen G, Rajab LD. Desmoplastic fibroma of the mandible: report of a case. Int J Paediatr Dent 1999;9:117-21.</li>
<li>Smith ML, Williams KJ, Gruss JS. Desmoplastic fibroma of the zygoma. Plast Reconstr Surg 1999;103:1964-9.</li>
</ol>

Woodwing Id
257375
Fil
English summary

Summary Desmoplastic fibroma of the mandible Ugeskr L&aelig;ger 2004;166:281-282 Desmoplastic fibroma of bone is a very rare benign tumor. Although considered a benign lesion, it is locally destructive, can extend into the soft tissues and has a high rate of local recurrence after incomplete surgical excision. We present a case of desmoplastic fibroma of the mandible in a 58-year-old woman. The clinical history and the radiological and pathologic findings are presented.

Bib ref
Ugeskr Læger 2004;166(04):281-282
Authors

Tandlæge Jytte Buhl, overlæge Ulrik Pedersen, overlæge Torben Steiniche & reservelæge Vibeke Fink-Jensen Århus Universitetshospital, Århus Kommunehospital, Afdelingen for Tand-, Mund- og Kæbekirurgi, Øre-næse-hals-afdelingen, Patologisk Institut og Radiologisk Afdeling.

0 likes
Read time
4