Medlem i

12 years 10 months
Indholdselementer

Whipples sygdom (WS) er en sjælden infektionssygdom, der er forårsaget af bakterien Tropheryma whipplei og har en årlig incidens på 1-6:10.000.000 [1, 2]. Sygdommen rammer overvejende kaukasider og med overvægt af midaldrende mænd. Tilstanden kan ses som klassisk WS, kronisk lokal infektion, akut selvlimiterende sygdom eller asymptomatisk bærertilstand [1, 2]. Ved klassisk WS dominerer gastrointestinale symptomer og vægttab ofte undertiden ledsaget af anæmi, ledgener og lymfadenopati [1, 2].

SYGEHISTORIE

En 48-årig mand, der havde haft anoksisk hjerneskade fra fødslen, men i øvrigt var rask, indlagdes i oktober 2019 pga. vægttab, mavesmerter, opkastninger og diarré. I 2016 var han blevet udredt i mave-tarm-medicinsk regi pga. let mikrocytær anæmi og forhøjet C-reaktivt protein (CRP)-niveau. Der blev foretaget gastro-, kolono- og kapselenteroskopi uden fund af en årsag. Der var ingen anamnese med ledgener. I 2019 blev han henvist til CT af thorax og abdomen i en kræftpakke. Der var mistanke om lymfom pga. forstørrede lymfeknuder over og under diafragma. Bronkoskopi, bronkoalveolær lavage og endobronkial ultralydundersøgelse var uden tegn på malignitet, men der blev fundet granulomer, som vurderedes at være forenelige med sarkoidose. Biokemisk sås svær anæmi, let leukocytose og væsentlig forhøjelse af CRP-niveauet (50-170 mg/l).

Sidebar placering
Venstrestillet
Billede
Sidebar placering
Venstrestillet

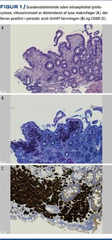
På indikationen sarkoidose blev der påbegyndt behandling med prednisolon 25 mg/dag. Patienten udviklede voldsom diarré, opkastninger, mavesmerter og yderligere vægttab. Han blev indlagt, og man observerede da en højresidig abducensparese, hvorfor man fik mistanke om neurosarkoidose. Der blev udredt ekstensivt med bl.a. cøliakiscreening, laktosegen- og chromogranin A-test, fæcescalprotectin (FC) og afføringsprøver, som alle viste normale forhold fraset FC (300-1.750 mg/kg). Pga. forhøjet FC-niveau, fremtrædende gastrointestinale gener og anæmi blev der udført MR-skanning af tyndtarmen samt kolono- og gastroskopi. MR-skanningen var uden tegn på inflammatorisk tarmsygdom (IBD), og koloskopien var makroskopisk normal. Gastroskopisk bemærkedes, at duodenums slimhinde havde et tydeligt patologisk udseende med hvidlige forandringer, hvilket blev tolket som duodenitis. Histologien fra duodenum og ileum viste granulær ansamling af periodic acid-Schiff (PAS)-positive makrofager og var negativ for Ziehl-Neelsen-farvning. Morfologisk var materialet karakteristisk for WS (Figur 1) og ved en polymerasekædereaktion (PCR) bekræftedes diagnosen. I forløbet blev der udført MR-skanning af cerebrum, lumbalpunktur, transtorakal ekkokardiografi mhp. udelukkelse af Whipple-endokarditis og punktur af et hævet ankelled – alle uden abnorme fund. PCR på cerebrospinalvæsken var negativ for T. whipplei.

Sidebar placering
Venstrestillet
Billede
Sidebar placering
Venstrestillet

Patienten blev overflyttet til en infektionsmedicinsk afdeling til undersøgelse for immundefekt. Man fandt T-celle-lymfopeni, men normal CD4/CD8-ratio og normal reaktivitet efter stimulation med fytohæmagglutinin. Som beskrevet i litteraturen [4] var der forhøjet immunglobulin A-niveau. Øvrige immundefektundersøgelser var upåfaldende. Han blev behandlet intravenøst med ceftriaxon og overgik herefter til peroral behandling med doxycyclin og chloroquin i 12 måneder. Steroidbehandlingen blev løbende aftrappet.

DISKUSSION

WS er en yderst sjælden sygdom, der nemt forveksles med andre mere hyppigt forekommende sygdomme som sarkoidose, malignitet, IBD og reumatologiske lidelser [3].

Ved klassisk WS beskrives en prodromalfase med ledgener, der ofte forekommer flere år før de gastrointestinale symptomer. Det langstrakte forløb med et ukarakteristisk klinisk billede medfører en væsentlig risiko for diagnostisk forsinkelse, hvilket estimeres til gennemsnitligt at være seks år [2]. Påbegyndelse af immunsupprimerende behandling for anden mistænkt sygdom kan lede til forværring og demaskering af WS [1, 4].

T. whipplei er en almindeligt forekommende bakterie, og det anslås, at omkring 50% af den europæiske befolkning har antistoffer mod T. whipplei [2]. At blot få primært inficerede udvikler klassisk WS, tyder på, at værtsafhængige faktorer som genetisk prædisposition eller immundefekt er af betydning for udvikling af WS [1, 4]. Ved mistanke om WS skal der udføres primært PCR for T. whipplei på to materialer (afføring, blod eller spyt). Ved positivt udfald skal der udføres gastroskopi mhp. duodenalbiopsier til PAS-farvning og PCR.

Behandlingen består af intravenøst givet ceftriaxon/meropenem i 14 dage efterfulgt af peroral behandling med sulfametoxazol, trimetoprim/doxycyclin og chloroquin i 12 måneder. Behandlingen monitoreres med seksmånedersintervaller vha. PCR på duodenalbiopsi/afføring. Tendensen går mod noninvasive strategier i takt med, at PCR-teknikkerne forbedres. Er patienten fortsat PCR-positiv, udstrækkes behandlingen. Der er risiko for recidiv [1, 2], som der dog ikke kan gives et validt estimat på.



KORRESPONDANCE: Nurcan Aydemir. E-mail: nuayd@hotmail.com, nay@regionsjaelland.dk
ANTAGET: 26. august 2020
PUBLICERET PÅ UGESKRIFTET.DK: 19. oktober 2020
INTERESSEKONFLIKTER: ingen. Forfatternes ICMJE-formularer er tilgængelige sammen med artiklen på Ugeskriftet.dk
LITTERATUR: Findes i artiklen publiceret på Ugeskriftet.dk

Sidebar placering
Venstrestillet
Article type
Journal
Magazine
Section
References

Litteratur

  1. Marth T, Moos V, Müller et al. Tropheryma whipplei infection and Whipple’s disease. Lancet Infect Dis 2016;16:13-22.

  2. Dolmans R, Edwin Boel CH, Lacle M et al. Clinical manifestations, treatment, and diagnosis of tropheryma whipplei infections. Clin Microbiol Rev 2017;30:529-724.

  3. Dzirlo L, Hubner M, Müller C et al. A mimic of sarcoidosis. Lancet 2007;369:1832.

  4. Marth T. Systematic review: Whipple’s disease (Tropheryma whipplei infection) and its unmasking by tumour necrosis factor inhibitors. Aliment Pharmacol Ther 2015;41:709-24.

  5. Apstein M. Whipple’s disease. UpToDate 2019. https://www.uptodate.com/contents/whipples-disease?search=Apstein,%20M.%20et%20al.%20(2019).%20Whipple%E2%80%99s%20Disease.&source=search_result&selectedTitle=1~150&usage_type=default&display_rank=1 (26. feb. 2020),

Woodwing Id
30961
Fil
Conflict of interest
English title
Unmasking of Whipples disease after start of prednisolone therapy
English summary

Camilla Grauslund, Nurcan Aydemir, Signe Lehn & Terese Katzenstein

Unmasking of Whipples disease after start of prednisolone therapy

Ugeskr Læger 2020;182:V05200321

Whipples disease (WD) is a rare infectious disease with an annual incidence of 1-6:10.000.000. It is mostly found in middle aged, Caucasian males. The causative bacterial agent Tropheryma whipplei (TW) is common, but only few infected with TW develop actual WD pointing to host factors as essential. We present a case story of classic WD seen in a 48-year-old man presumed to have sarcoidosis and therefore treated with prednisolone which caused WD to flare up and ultimately unmask the disease.

Authors workplaces

1) Medicinsk Afdeling, Slagelse Sygehus, 2) Patologisk Afdeling, Roskilde Sygehus, 3) Infektionsmedicinsk Afdeling, Rigshospitalet

Ugeskr Læger 2020;182:V05200321

Bib ref
UgeskrLæger 2020;182:V05200321
Article number
V05200321
Authors

Camilla Grauslund1, Nurcan Aydemir1, Signe Lehn2 & Terese Katzenstein3

0 likes