Medlem i

13 years 1 month
Indholdselementer
Billede
Sidebar placering
Venstrestillet
Billede
Sidebar placering
Venstrestillet


Langvarige og komplicerede procedurer hos multitraumatiserede patienter giver ofte utilfredsstillende resultater og en høj mortalitet. Grunden til dette er bl.a., at der hos en del af de multitraumatiserede patienter samtidig udvikles en livstruende kombination af hypotermi, koagulopati og metabolisk acidose. Denne kombination nedsætter patienternes fysiologiske reservekapacitet, gør, at de ikke er i stand til at gennemgå langvarige operationer, og medfører ofte død. Efterfølgende er det vist, at en ændret behandlingsstrategi med et afbrudt primært stabiliserende operationsforløb, kaldet damage control surgery (DCS), synes at nedsætte mortaliteten hos disse multitraumatiserede patienter betydeligt. DCS omfatter en kortvarig kontrollerende operation, herefter tilstrækkelig stabilisering på intensivafdeling og til sidst en reoperation, hvor der foretages de endelige procedurer og definitiv lukning af abdomen.

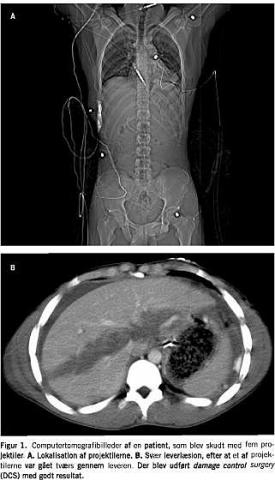
Mortaliteten er ofte meget høj ved store, akutte operationer hos multitraumatiserede patienter [1-3]. Dette skyldes en livsfarlig triade af metabolisk acidose, koagulopati og hypotermi [4]. Da hypotermien og forstyrrelser af koagulationen synes at være afgørende, har man forsøgt at ændre behandlingsforløbet ved en ændret strategi, kaldet damage control surgery (DCS). Dette princip er beskrevet næsten samtidig af forskellige grupper i begyndelsen af 1990'erne [1, 2, 5-8]. »Den afbrudte laparotomi«, eller »damage control surgery« blev kendt som princip, efter at Rotondo et al i 1993 påviste en overlevelse på over 70% hos en gruppe multitraumatiserede patienter, som blev behandlet med DCS [1, 2]. Disse 13 patienter havde foruden multiple kvæstelser også koagulopati, hypotermi og acidose [1, 2]. DCS-strategien angives at omhandle seks faser: Fase 0-5 [3]. De forskellige faser består af: fase 0) præhospitalbehandling og tidlig patientudvælgelse til DCS, fase 1-2) laparotomien med vurdering af behovet for DCS og udførelsen af den midlertidige lukning, fase 3) stabilisering på intensivafdeling, fase 4) endelig operation og rekonstruktion og fase 5) til sidst definitiv lukning af abdomen [3, 8-13]. I forskellige studier er det vist, at DCS hos multitraumatiserede patienter antages at nedsætte mortaliteten betydeligt [1, 2, 9, 12-17]. Vi har fundet det af interesse at gennemgå litteraturen for at se, om man efter ti års anvendelse af DCS-metoden kan opstille nogle behandlingsanbefalinger og resultater ved anvendelsen (Figur 1 ).

Materiale og metoder

Litteratursøgning og gennemgang af den fundne litteratur er foretaget systematisk. Litteraturen er fundet på MEDLINE, Pubmed og i The Cochrane library ved søgning foretaget i maj 2003 og gentaget i januar 2004 med søgeordene: damage og control og surgery. Den udvalgte litteraturs sprog er begrænset til engelsk, fransk, hollandsk, dansk og de øvrige nordiske sprog. Alle studier og systematiske oversigtsartikler, som omhandler DCS, er inddraget. Manuel gennemgang af litteraturlister fra de systematiske oversigtsartikler og relevante enkelte studier er også inddraget. Der blev ikke fundet kontrollerede studier, og alle studier har således evidensniveau III eller IV (styrke C og D).

Damage control surgery fase 0: Den præhospitale behandling og tidlig patientudvælgelse til DCS

Som anført omfatter DCS seks faser. Fase 0 består af den præhospitale behandling, som antages at have en stor betydning for patienterne [18]. Fase 0 indebærer hurtig kontrol over luftvejene og vejrtrækningen, anlæggelse af store intravenøse adgange, beskyttelse af patienten mod varmetab og hurtig transport til hospitalet [3, 18]. Det er vigtigt, at man allerede præhospitalt overvejer DCS ud fra patientens vitalparametre og skadens omfang, og en tæt kontakt til modtagende skadestue og operationsgang er derfor yderst vigtigt [3, 18, 19]. Blødning fra større karlæsioner er en væsentlig årsag til død hos traumepatienter og ved cirkulatorisk kollaps præhospitalt kan det være en fordel at køre patienten direkte til operationsgangen i stedet for først til skadestuen [19].

Damage control surgery fase 1 og 2: Patientudvælgelse til DCS og selve udførelsen af DCS samt intraoperativ revurdering af anvendelsen af DCS og midlertidig lukning

DCS fase 1 og fase 2 består af akut eksplorativ laparotomi, primært med henblik på blødningskontrol, kontrol af kontaminering og den efterfølgende beslutning om eventuel afbrydelse af operationen og midlertidig lukning [2, 4, 9, 13, 16]. Indikationen for afbrudt laparotomi kan influeres af mange ting, specielt den tilstedeværende kirurgiske ekspertise, flere samtidige store traumer og fund under operationen [13]. Moore et al [13]) har opstillet seks væsentlige årsager til et afbrudt operativt forløb: 1) manglende mulighed for at opnå hæmostase på grund af progredierende koagulopati, 2) massiv blødning fra store retroperitoneale vener (retrohepatisk cava og bækkenvener), 3) nødvendige større tidsrøvende kirurgiske indgreb (pancreas- og leverresektioner), 4) store ekstraabdominale livstruende blødninger, 5) nødvendigheden af en second-look- operation på grund af marginal blodforsyning til f.eks. tarmen og 6) manglende mulighed for primær lukning på grund af stort reperfusionsødem.

Under den primære laparotomi skal det således afgøres, om der er behov for DCS ud fra ovenstående kriterier og målbare parametre som:

  • temperatur under 35 °C,

  • pH < 7,3 eller

  • forværring i basedeficit,

  • koagulopati,

  • blodtransfusionbehov over ti portioner,

  • (forventet) operationstid over 90 minutter,

  • hæmodynamiske instabilitet eller komplicerede og multiple viscerale læsioner [1, 3].

Operationsforløbet: Ved damage control- laparotomien begynder man som ved konventionel traumekirurgi med en stor midlinjeincision. Herefter fjernes koagler og tarmindhold, og der foretages pakning med servietter i abdomens fire kvadranter [1, 2, 12]. Dette kan sædvanligvis klares på mindre end fem minutter.Der skabes derved foreløbig kontrol over blødningen, og kirurgen opnår god fornemmelse af, hvorfra blødningen stammer [12]. Efter pakning og blødningskontrol skal der under den første operation foretages kontrol af kontaminering fra tarmen og urinve jene. Tarmene gennemgås systematisk fra Treitz' ligament til rectum [12]. Ved simple tarmlæsioner kan der foretages reparative procedurer, men ved mere komplekse læsioner og ved risiko for, at der skal udføres større reparative procedurer, skal der foretrækkes hurtigere løsninger, som for eksempel afstapling af beskadigede tarmsegmenter og midlertidige blindlukning [1-4, 9, 12]. Anastomoser og stomier kan afvente den endelige operation [1-4, 9, 12]. Ekstern drænage kan bruges ved læsioner af ductus pancreaticus, ductus choledochus og ureter [20, 21]. Efter kontrol for kontaminering fjernes servietterne fra abdomens fire kvadranter. Fjernelse af servietterne påbegyndes i den kvadrant, som er længst væk fra den største blødning. Blødninger fra venerne kan ofte kontrolleres med ligering af karrene og intraabdominal pakning med servietter [22]. Miltlæsioner behandles med splenektomi ved flere samtidigt blødende læsioner, og levertraumerne behandles initialt bedst med anterior pakning efter løsning af leveren. Arterielæsioner nødvendiggør rekonstruktion, men denne kan foretages ved reoperationen, efter at der ved den primære operation er anlagt temporære intraarterielle stent eller ballonkatetre i større kar [18, 22-25]. Ved persisterende blødning foretages der på ny pakning med servietter, specielt over læderede solide organer og alle dissektionsflader. Intraabdominal pakning er brugt i mange år for at kontrollere blødning fra leverlæsioner og for nylig også for at kontrollere retroperitoneale blødninger og bækkenblødninger [9, 20, 24, 26]. Angiografi mhp. embolisering af blødende kar har også vist sig at være en vigtig del af behandlingen af multitraumatiserede patienter med leverlæsioner og retroperitoneale læsioner [18, 20, 25, 27].

Abdomen skal lukkes midlertidigt, helst med operationsinstrumenter/klemmer/evt. »lus«, vacuum pack- system eller lukning af huden alene [2, 4, 16, 18]. Lagvis lukning af abdomen tager længere tid, og lukning af fascien øger muligvis risikoen for abdominalt kompartmentsyndrom [2, 4]. Ved massivt reperfusionsødem kan det være umuligt at få aproksimation af bugvæggen, og det anbefales i denne situation at indsy en plastikpose eller en mèche [28]. Mest optimalt skal damage control- operationen afvikles inden for 20-30 minutter, og i hvert fald på under en time [2, 9].

Damage control surgery fase 3: stabilisering på intensivafdeling

Den tredje fase af DCS består af stabilisering af patienten på en intensivafdeling. Hypotermi, som er forsøgt korrigeret fra påbegyndelsen af behandlingen og videre under operationen, skal korrigeres yderligere. Opvarmningsteknikker er brug af total body- patientvarmer (bair-hugger) og væskevarmer. Hvis dette ikke er tilstrækkeligt, kan der anvendes kontinuerlig pleuradrænlavage eller kontinuerlig venovenøs eller arteriovenøs kropsopvarming [2, 4, 13]. Profylaksen mod hypotermien begynder allerede ved den initiale behandling med indgift af udelukkende varme væsker og opvarmet blod. Valg af anæstesipræparat er ligeledes vigtigt; for eksempel producerer sevofluran signifikant mindre hypotermi end propofol [12, 29, 30]. Foruden kontrol af hypotermi skal der foretages korrektion af koagulopati og metabolisk acidose i den tredje fase af DCS, primært ved at give blodprodukter og regulering af blodtryk og cardiac output [2, 3, 9, 14]. Under denne opvarmning er det essentielt at sikre sig mod abdominalt kompartmentsyndrom ved måling af det intraabdominale tryk, f.eks. ved blæretryksmålinger [13]. Tegn på abdominalt kompartmentsyndrom vil være abdominal hypertension (blæretryk > 35 mmHg) og tegn på tiltagende hypoksi eller progredierende oliguri [13]. Patienterne skal reopereres under dette forløb, hvis deres tilstand bliver ustabil. Indikationer for ikkeplanlagt reoperation er pågående intraabdominal blødning, abdominalt kompartmentsyndrom, iskæmisk væv og medfølgende metabolisk forværring eller ukontrollerbar intraabdominal infektion [13].

Damage control surgery fase 4: endelig operation og rekonstruktion

Den fjerde fase af DCS består af reoperation, og denne foretages optimalt, når koagulopati, hypotermi og metabolisk acidose er fuldstændig korrigeret. Det er vanskeligt at afgøre, hvornår det bedste reoperationstidspunkt er, men reoperationen foretages oftest inden for de første 24 timer; den kan dog foretages senere [11-13]. Hvis der ved den primære operation har været betydeligt ødem og så svære skader, at man primært har foretaget laparostomi, er det imidlertid nødvendigt at vente 48-72 timer før et lukningsforsøg på grund af nødvendig resorption af ødemet [2, 4, 9]. Under reoperationen fjernes servietterne, der foretages endelig hæmostase og endelig kirurgi på de tilstedeværende læsioner. Det kan lejlighedsvis være nødvendigt at foretage en ny pakning under reoperationen og at udskyde den endelige rekonstruktion til en senere reoperation.

Damage control surgery fase 5: lukning af abdomen

Lukning af abdomen ved reoperationen hos DCS-patienter er ikke nødvendigvis nemt. Svært visceralt ødem kan besværliggøre lukning af fascien ved reoperationen, men i 85% af alle tilfælde lykkes det at lukke fascien. Hvis huden, men ikke fascien kan lukkes, må man acceptere et stort ventralt hernie og planlægge en operation 9-12 måneder senere [2]. Man har forsøgt at indsætte en kunststofmèche i fascien, men det har vist sig, at dette ofte medfører fistulering, uanset om der vælges resorberbart materiale eller ikkeresorberbart materiale [13, 28]. Hvis hverken huden eller fascien kan lukkes, foretages der en rekonstruktion af abdomens væg i forskellige stadier [4, 28].

Diskussion

Hos en del af de multitraumatiserede patienter udvikles der en kombination af metabolisk acidose, hypotermi og deraf følgende progredierende koagulopati [2, 4, 9, 12, 13, 16, 17]. Dette forløb er hos multitraumatiserede patienter ofte letalt, og Ferrara et al har rapporteret om en mortalitet på 90% hos multitraumatiserede patienter med denne kombination [31]. Metabolisk acidose opstår, fordi blødningen forårsager en hypovolæmi, som forværrer hypoperfusionen i vævene og iltmangelen på cellulært niveau [3, 16, 17]. Hypotermi hos disse multitraumatiserede patienter forårsages af varmetab pga. fordampning og strålingsvarmetab til omgivelsen, nedsat varmeproduktion samt infusion af kolde væsker [3, 8, 13]. Det er næsten umuligt at opnå normotermi hos traumepatienter under operation, hvis patientens thorax eller abdomen er åbent [9]. Hypotermi opstår hos en femtedel af alle multitraumatiserede patienter, og hos de patienter, som samtidig får foretaget laparotomi, er op til 46% hypoterme i den postoperative periode [2, 9]. Hypotermi er forbundet med hjerteproblemer og øget mortalitet, foruden at det er en medvirkende faktor til koagulopati [2, 3, 9, 13, 16]. Nedsat kropstemperatur resulterer i dysfunktion af koagulationskaskaden og trombocytter samt øget fibrinolytisk aktivitet [3, 13, 14, 17]. Ud over hypotermi medvirker også andre faktorer til koagulopati, herunder specielt fortynding af koagulationsfaktorer og trombocytter pga. væsketerapi, nedsat totalcalcium og ioniseret calcium, shock og metabolisk acidose [2, 3, 13, 14].

DCS skønnes at være nødvendigt hos omkring 10% af alle traumepatienter, der får foretaget laparotomi [2, 4, 9, 14]. Det centrale spørgsmål er, hos hvilke patienter der skal foretages DCS.

Er pH først under 7,3 og kernetemperaturen under 35 °C, er processen i gang og kan være vanskelig at stoppe. En tidlig erkendelse af tilstande, hvor det er påkrævet at foretage DCS, er derfor vigtig, således at man kan påbegy nde DCS-procedurer, før der er opstået en ukorrigerbar situation. DCS-behandlingen skal allerede påbegyndes præhospitalt [18]. Fysiologiske data vedrørende hypotermi, koagulopati eller acidose vil vise, om patienten har behov for DCS. Derudover anbefales det at overveje DCS hos traumepatienter ved forventet primær operationstid over 90 minutter eller ved præoperativ forværring af base deficit [2]. Ud fra retrospektive studier er der fundet, at DCS bør anvendes, hvis der er givet ti eller flere enheder blod inden for fire timer [2, 4, 9]. Den opererende kirurg bør derfor sikre sig et løbende kendskab til patientens vitalpatrametre, specielt transfusionsbehov og pH.

Der opstår et spørgsmål om, på hvilke hospitaler DCS-behandling skal foregår, idet man ikke på alle hospitaler i Danmark har mulighed for at gennemføre DCS-fase 3-5. Weinberg et al undersøgte en gruppe traumepatienter, der på grund af blødning fik foretaget akut laparotomi på et lokalhospital og efterfølgende blev overflyttet til et regionalt traumecenter [32]. Mortaliteten i denne gruppe var ikke højere end i en gruppe patienter, der primært blev behandlet på traumecentret. Den gennemsnitlige tid fra ankomst på lokalhospitalet til ankomst på traumecenter var i dette studie 12 timer og oversteg sjældent 24 timer [32]. På baggrund af dette studie kan det i Danmark anbefales, at såfremt transporttiden til et traumecenter overstiger kort tid, foretages DCS fase 1 og 2 samt påbegyndelse af fase 3 på et lokalt hospital. Patienten overflyttes til et traumecenter, når der er opnået hæmodynamisk stabilitet, og de vigtigste vitalparametre er korrigeret. Det vil hyppigst være tilfældet nogle timer efter den primære stabiliserende operation.

I forhold til traditionelle kirurgiske teknikker nedsætter anvendelsen af DCS signifikant mortaliteten hos multitraumatiserede patienter med koagulopati, hypotermi og metabolisk acidose [1, 15]. Stone et al fandt en overlevelse på 65% efter DCS og en overlevelse på 7% efter konventionel traumebehandling i en historisk kontrolgruppe [14]. Rotondo et al fandt i et retrospektiv studie en overlevelse på 77% efter DCS og en overlevelse på 11% efter konventionel traumebehandling hos multitraumatiserede patienter med stor vaskulær skade og to eller flere organlæsioner [1]. Hos patienter med mindre læsioner fandt man i dette studie imidlertid ingen forskel i mortaliteten [1, 2, 14]. Mortaliteten af DCS hos multitraumatiserede patienter er angivet i Tabel 1 .

Der foreligger ingen kontrollerede studier af DCS, og alle anbefalinger i denne artikel bygger således kun på studier med evidensniveau III eller IV (styrke C eller D). Det er en svaghed, men det er imidlertid usandsynligt, at der foretages randomiserede studier i fremtiden.

Desværre foreligger der kun få studier af DCS fra andre europæiske lande, idet langt de fleste studier omhandler tilpasning af DCS hos traumepatienter i USA, hvor erfaring med traumer generelt må formodes at være større også på de mindre hospitaler. Endvidere kan der være en forskel i traumeårsager og patientpopulationen.

DCS-principper har oprindelig været brugt hos patienter, som fik foretaget laparotomi, men DCS er nu også blevet tilpasset traumepatienter med skader uden for abdomen [24, 26, 34, 35]. Brug af DCS-principper er ikke kun begrænset til traumepatienter, men kan være indiceret ved andre operationer pga. kompleksitet, uventet blødning eller komplikationer [17, 36]. DCS har også været anvendt ved obstetriske komplikationer [37].

Anvendelse af DCS er ledsaget af et betydeligt antal komplikationer, ikke overraskende hvis man tager den fysiologiske tilstand hos disse multitraumatiserede patienter i betragtning [2, 4, 38, 39]. Komplikationer i forbindelse med DCS inkluderer sårinfektion (5-100%), intraabdominale abscesser (0-83%), ruptur (9-25%), galdelækage (8-33%), enterokutane fistler (2-67%) og multiorgansvigt (20-33%) (Tabel 1). Abdominalt kompartmentsyndrom er beskrevet hos 2-36% af patienterne [4, 33, 40].

Konklusion

Kombinationen af hypotermi, metabolisk acidose og deraf følgende koagulopati er livstruende hos multitraumatiserede patienter. DCS-behandling af disse patienter nedsætter mortaliteten i forhold til ved den traditionelle kirurgiske behandling.

Ved anvendelse af DCS i sådanne situationer tager man i stedet for at prioritere kirurgisk anatomiske reparative procedurer specielt hensyn til patientens fysiologiske tilstand og reservekapacitet.


Luit Penninga, Kirurgisk Gastroenterologisk Afdeling C, H:S Rigshospitalet, DK-2100 København Ø.
E-mail: luitpenninga@hotmail.com

Antaget: 8. december 2004

Interessekonflikter: Ingen angivet

Ovenstående artikel bygger på en større litteraturgennemgang. En fuldstændig litteraturliste kan fås ved henvendelse til forfatterne


  1. Rotondo MF, Schwab CW, McGonical MD et al. Damage control: an approach for improved survival in exsanguinating penetrating abdominal injury. J Trauma 1993;35:375-82.
  2. Shapiro MB, Jenkins DH, Schwab CW et al. Damage control: collective review. J Trauma 2000;49:969-78.
  3. Hoey BA, Schwab CW. Damage control surgery. Scand J Surg 2002;91:92-103.
  4. Moore EE. Staged laparotomy for hypothermia, acidosis and coagulopathy. Am J Surg 1996;172:405-10.
  5. Burch JM, Ortiz VB, Richardson RJ et al. Abbreviated laparotomy and planned reoperation for critically injured patients. Ann Surg 1992;215:476-84.
  6. Carillo C, Fogler RJ, Shaftan GW. Delayed gastrointestinal reconstruction following massive abdominal trauma. J Trauma 1993;233-5.
  7. Morris JA Jr, Eddy VA, Blinman TA et al. The staged celiotomy for trauma. Ann Surg 1993;217:576-84.
  8. Hirshberg A, Wall MJ Jr, Mattox KL. Planned reoperation for trauma: a two year experience with consecutive patients. J Trauma 1994;37:365-9.
  9. Kouraklis G, Spirakos S, Glinavou A. Damage control surgery: an alternative approach for the management of critically injured patients. Surg Today 2002;32:195-202.
  10. Eiseman B, Moore EE, Meldrum DR et al. Feasibility of damage control surgery in the management of military combat casualties. Arch Surg 2000;135: 1323-7.
  11. Hirshberg A, Walden R. Damage control for abdominal trauma. Surg Clin North Am 1997;77:813-20.
  12. Brasel KJ, Weigelt JA. Damage control in trauma surgery. Curr Opin Crit Care 2000;6:276-80.
  13. Moore EE, Burch JM, Franciose RJ et al. Staged physiologic restoration and damage control surgery. World J Surg 1998;22:1184-91.
  14. Rotondo MF, Zonies DH. The damage control sequence and underlying logic. Surg Clin North Am 1997;77:7
Sidebar placering
Venstrestillet
Article type
Journal
Magazine
Section
References

<ol class="Litt-list">
<li>Rotondo MF, Schwab CW, McGonical MD et al. Damage control: an approach for improved survival in exsanguinating penetrating abdominal injury. J Trauma 1993;35:375-82.</li>
<li>Shapiro MB, Jenkins DH, Schwab CW et al. Damage control: collective review. J Trauma 2000;49:969-78.</li>
<li>Hoey BA, Schwab CW. Damage control surgery. Scand J Surg 2002;91:92-103.</li>
<li>Moore EE. Staged laparotomy for hypothermia, acidosis and coagulopathy. Am J Surg 1996;172:405-10.</li>
<li>Burch JM, Ortiz VB, Richardson RJ et al. Abbreviated laparotomy and planned reoperation for critically injured patients. Ann Surg 1992;215:476-84.</li>
<li>Carillo C, Fogler RJ, Shaftan GW. Delayed gastrointestinal reconstruction following massive abdominal trauma. J Trauma 1993;233-5.</li>
<li>Morris JA Jr, Eddy VA, Blinman TA et al. The staged celiotomy for trauma. Ann Surg 1993;217:576-84.</li>
<li>Hirshberg A, Wall MJ Jr, Mattox KL. Planned reoperation for trauma: a two year experience with consecutive patients. J Trauma 1994;37:365-9.</li>
<li>Kouraklis G, Spirakos S, Glinavou A. Damage control surgery: an alternative approach for the management of critically injured patients. Surg Today 2002;32:195-202.</li>
<li>Eiseman B, Moore EE, Meldrum DR et al. Feasibility of damage control surgery in the management of military combat casualties. Arch Surg 2000;135: 1323-7.</li>
<li>Hirshberg A, Walden R. Damage control for abdominal trauma. Surg Clin North Am 1997;77:813-20.</li>
<li>Brasel KJ, Weigelt JA. Damage control in trauma surgery. Curr Opin Crit Care 2000;6:276-80.</li>
<li>Moore EE, Burch JM, Franciose RJ et al. Staged physiologic restoration and damage control surgery. World J Surg 1998;22:1184-91.</li>
<li>Rotondo MF, Zonies DH. The damage control sequence and underlying logic. Surg Clin North Am 1997;77:761-77.</li>
<li>Stone HH, Strom PR, Mullins RJ. Management of the major coagulopathy with onset during laparotomy. Ann Surg 1983;197:532-5.</li>
<li>Poortman P, Meeuwis JD, Leenen JPH. Multitraumapatiënten: de principes van `damage control surgery'. Ned Tijdschr Geneesk 2000;144:1337-41.</li>
<li>Bowley DM, Barker P, Boffard KD. Damage control surgery - concepts and practice. J R Army Med Corps 2000;146:176-82.</li>
<li>Johnson JW, Gracias VH, Schwab W et al. Evolution in damage control surgery for exsanguinating penetrating abdominal injury. J Trauma 2001;51: 261-71.</li>
<li>Nicholas J, Rix EP, Easley KA. Changing patterns in the management of penetrating abdominal trauma: the more things change, the more they stay the same. J Trauma 2003;55:1095-110.</li>
<li>Asensio JA, Demetriades D, Chahwan S et al. Approach to the management of complex hepatic injuries. J Trauma 2000;48:66-9.</li>
<li>Coburn M. Damage control for urologic injuries. Surg Clin North Am 1997; 77:821-34.</li>
<li>Pourmoghadam KK, Fogler RJ, Shaftan GW. Ligation, an alternative for control of exsanguination in major vascular injuries. J Trauma 1997;43:126-31.</li>
<li>Aucar JA, Hirshberg A. Damage control for vascular injuries. Surg Clin North Am 1997;77:853-62.</li>
<li>Porter JM, Ivatury RR, Nassoura ZE. Extending the horizons of `damage control' in unstable trauma patients beyond the abdomen and gastrointestinal tract. J Trauma 1997;42:559-61.</li>
<li>Johnson JW, Gracias VH, Gupta R et al. Hepatic angiography in patients undergoing damage control surgery. J Trauma 2002;52:1102-6.</li>
<li>Henry SM, Tornetta P , Scalea TM. Damage control for devastating pelvic and extremity injuries. Surg Clin North Am 1997;77:879-95.</li>
<li>Kushimoto S, Arai M, Aiboshi J et al. The role of interventional radiology in patients requiring damage control laparotomy. J Trauma 2003;54:171-6.</li>
<li>Schachtrupp A, Fackeldey V, Klinge U et al. Temporary closure of the abdominal wall (laparostomy). Hernia 2002;6:155-62.</li>
<li>Ham AA, Coveler LA. Anesthetic considerations in damage control surgery. Surg Clin North Am 1997;77:909-20.</li>
<li>Ikeda T, Sessler DI, Kikura M et al. Less core hypothermia when anesthesia is induced with inhaled sevoflurane than with intravenous propofol. Anaesth Anal 1999;88:921-4.</li>
<li>Ferrara A, MacArthur J, Wright H. Hypothermia and acidosis worsen coagulopathy in the patient requiring massive transfusion. Am J Surg 1990;160: 515-20.</li>
<li>Weinberg JA, McKinley K, Petersen SR et al. Trauma laparotomy in a rural setting before transfer to a regional center: Does it save lives? J Trauma 2003 54:823-8.</li>
<li>Raeburn CD, Moore EE, Biffl Wl et al. The abdominal compartment syndrome is a morbid complication of postinjury damage control surgery. Am J Surg 2001;182:542-6.</li>
<li>Wall MJ Jr, Soltero E. Damage control for thoracic injuries. Surg Clin North Am 1997;77:863-78.</li>
<li>Pape HC, Giannoudis P, Krettek C. The timing of fracture treatment in polytrauma patients: relevance of damage control orthopedic surgery. Am J Surg 2002:183:622-9.</li>
<li>Finlay IG, Edwards TJ, Lambert AW. Damage control laparotomy. Br J Surg 2004;91:83-5.</li>
<li>Moise KJ Jr, Belfort MA. Damage control for the obstetric patient. Surg Clin North Am 1997;77:835-52.</li>
<li>Walker ML. The damage control laparotomy. J Natl Med Assoc 1995;87:119-22.</li>
<li>Martin RR, Byrne M. Postoperative care and complications of damage control surgery. Surg Clin North Am 1997;77:929-42.</li>
<li>Ertel W, Oberholzer A, Platz A et al. Incidence and clinical pattern of the abdominal compartment syndrome after `damage control' laparotomy in 311 patients with severe abdominal and/or pelvic trauma. Crit Care Med 2000; 28:1747-53.</li>
</ol>

Woodwing Id
273472
Fil
English summary

Summary Damage control surgery in multiply traumatised patients. Ugeskr L&aelig;ger 2005;167:3403-3407 The results of extensive and prolonged surgical procedures performed in multi trauma patients are often poor. These patients may develop the lethal combination of metabolic acidosis, coagulopathy and hypothermia, which reduces their physiological reserve capacity. The `damage control surgery' (DCS) approach is known to reduce the mortality rate in multi trauma patients. DCS consists of a short primary operation to control bleeding and prevent contamination. Thereafter, resuscitation is performed in the intensive care unit. Finally, reoperation and definitive repair of lesions are done.

Bib ref
Ugeskr Læger 2005;167(36):3403-3407
Authors

Læge Luit Penninga, læge Elisabeth Irene Penninga & overlæge Lars Bo Svendsen H:S Rigshospitalet, Kirurgisk Gastroenterologisk Afdeling C

0 likes
Read time
17