Medlem i

13 years 1 month
Indholdselementer

Virusassocieret hæmofagocytosesyndrom (VAHS) er en sjælden tilstand med en dårlig prognose. Syndromet er karakteriseret ved feber, cytopeni i perifert blod, hyperferritinæmi og forekomst af hæmofagocyterende makrofager i knoglemarven samt organinfiltration i milt eller lever, hvilket resulterer i hepatosplenomegali og påvirket leverfunktion. VAHS er resultatet af en massiv aktivering og proliferation af makrofager, som er udløst af et abnormt immunrespons på en viral infektion. De aktiverende makrofager udskiller inflammatoriske cytokiner, der forårsager de kliniske fund ved VAHS [1]. VAHS kompliceret med akut nyresvigt forekommer sjældent og er kun sparsomt beskrevet i litteraturen. Det menes at være associeret med en dårligere prognose [2]. Oftest er nyresvigt beskrevet hos børn med hereditær hæmofagocytose-syndrom. I denne sygehistorie beskrives et tilfælde med VAHS og akut nyresvigt hos en voksen patient med kronisk lymfatisk leukæmi (CLL).

SYGEHISTORIE

En 60-årig mand, der havde CLL, blev indlagt højfebril med udtalt splenomegali og hepatomegali. Patienten havde aldrig fået behandling for sin leukæmi og var i øvrigt rask. Blodprøver taget på indlæggelsesdagen viste som tidligere let trombocytopeni, 85 × 109 trombocytter/l og marginalt nedsat hæmoglobinkoncentration på 7,3 mmol/l. Leukocyttallet var 29,4 × 109/l og lavere end vanligt. Initialt var der mistanke om progression eller transformering af CLL pga. den betydelige hepatosplenomegali. Imidlertid viste
blodprøverne under de første dage af indlæggelsen tiltagende pancytopeni med fald i trombocytkoncentrationen til 13 × 109/l, stigende levertal med P-alaninaminotransferasekoncentration på 558 U/l, P-laktatdehydrogenase (LDH)-koncentration på 1.040 U/l og P-basisk fosfatase-koncentration på 147 U/l.
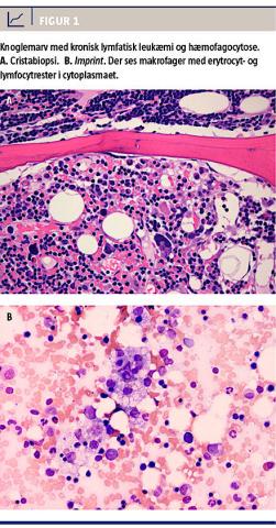
Koagulationsfaktorerne forblev normale under hele forløbet, men der var aftagende nyrefunktion. P-ferritinkoncentrationen var svært forhøjet, 40.300 mikrogram/l (referenceværdi: 12-300 mikrogram/l), hvilket gav mistanke om hæmofagocytosesyndrom. En knoglemarvsundersøgelse viste CLL uden transformering, og der var en infiltrationsgrad på ca. 20% af hæmofagocyterende makrofager i områder af marven (Figur 1). På mistanke om, at hæmofagocytosesyndromet var virusassocieret, blev der herefter påbegyndt behandling med intravenøst administreret
ganciclovir. Frigørelsen af cytokiner og dermed
dæmpet immunreaktion søgtes bremset med højdosisprednisolon 100 mg dagligt og immunglobulin 40 g dagligt givet intravenøst i tre dage. Undersøgelse for Epstein-Barr-virus, hiv samt hepatitis A-, B- og C-virus var alle negative. En polymerasekædereaktions- og antistofundersøgelse for cytomegalovirus viste aktiv infektion. Daglige blodprøver viste hurtigt progredierende nyresvigt, og patienten fik oliguri og betydelig overhydrering. Efter ni dages indlæggelse var P-kreatininniveauet steget fra 86 mikromol/l til 491 mikromol/l, og der blev påbegyndt hæmodialyse. Efter få dages behandling fik patienten det markant bedre og blev afebril. Dette var ledsaget af et fald i
P-ferritinkoncentrationen allerede inden for 1-2 dage, faldende P-LDH-koncentration og stigende blodpladetal. Efter 28 dage blev han udskrevet i sin habituelle tilstand med normal leverfunktion, en
P-kreatininkoncentration på 112 mikromol/l og en
P-ferritinkoncentration på 697 mikrogram/l.

Sidebar placering
Venstrestillet
Billede
Sidebar placering
Venstrestillet

DISKUSSION

De mangfoldige måder, som hæmofagocytosesyndrom kan manifestere sig på, gør diagnostikken svær uanset årsagen. Betydelig forhøjet P-ferritinkoncentration hos en patient, som har vedvarende feber, bør bevirke, at man får mistanke om hæmofagocytosesyndrom. Et stærkt forhøjet ferritinniveau (> 30.000 mikrogram/l) er en næsten patognomonisk markør med både høj sensitivitet og specificitet for hæmofagocytosesyndrom, uanset udløsende årsag [3]. En høj koncentration i blodet af opløseligt differentieringskompleks (CD)163 er foruden forhøjet ferritinkoncentration en markør for hæmofagocytosesyndrom. Analyse af CD163 foretages kun få steder i Danmark og blev ikke anvendt i denne sygehistorie. Da hæmofagocyterende makrofager ikke nødvendigvis er til stede ved indlæggelse, bør fravær af disse i knoglemarven ikke forsinke påbegyndelse af behandling ved mistanke om hæmofagocytosesyndrom [1]. Den hurtige diagnostik og målrettede behandling af den udløsende årsag til hæmofagocytosesyndromet hos denne patient var formentlig afgørende for den vellykkede behandling. Der blev ikke foretaget nyrebiopsi i dette tilfælde, så den eksakte årsag til nyreinsufficiensen er ukendt. En gennemgang af litteraturen giver ikke noget sikkert bud på årsagen til nyrepåvirkning [2]. Der er i andre undersøgelser ikke fundet infiltration af makrofager i nyrebiopsier, og nyrepåvirkningen anses for at være forårsaget af den systemiske cytokinstorm [2]. Vi valgte at udlade ciclosporinbehandling pga. den akutte nyreinsufficiens.

Nyere undersøgelser tyder ellers på, at ciclosporin i kombination med prednisolon er effektiv i
behandling af hæmofagocytosesyndrom uanset årsag, dog stadig med fokus på at behandle den udløsende årsag og supprimere den hyperinflammatoriske aktivitet, der forårsager den livstruende tilstand [1, 4].

KORRESPONDANCE: Julie Broe, Hæmatologisk Afdeling, Herlev Hospital, Herlev Ringvej 75, 2730 Herlev. E-mail: broejulie@gmail.com

ANTAGET: 14. januar 2013

Publiceret på Ugeskriftet.dk: 8. juli 2013

INTERESSEKONFLIKTER:

Sidebar placering
Venstrestillet
Article type
Journal
Magazine
Section
References

<h2>
<h2>LITTERATUR </h2>
<ol type="d">
<li><p>Janka GE. Familial and acquired hemophagocytic lymphohistiocytosis. Annu Rev Med 2012;63:233-46.</p></li>
<li><p>Thanuat O, Delahousse M, Fakhouri F et al. Nephrotic syndrome associated with hemophagocytic syndrome. Kidney Int 2006;69:1892-8.</p></li>
<li><p>Jordan MB, Allen CE, Weitzman S et al. How I treat hemophagocytic lymfohistiocytosis. Blood 2011;118:4041-52.</p></li>
<li><p>Shabbir M, Lucas J, Lazarchick J et al. Secondary hemophagocytic syndrome in adults: a case series of 18 patients in a single institution and a review of literature. Hemotol Oncol 2011;29:100-6.</p></li>
</ol>
</h2>

Woodwing Id
44767
Fil
Conflict of interest
English title
Cytomegalovirus-associated haemophagocytic syndrome and acute renal failure in a patient with chronic lymphocytic leukaemia
English summary

A 60-year-old man with chronic lymphocytic leukaemia was admitted to our department with fever and hepatospleno&shy;megaly. Laboratory findings revealed hyperferritinaemia of 40,300 microgram/l and both liver and renal dysfunction. A bone marrow biopsy showed haemophagocytosis consistent with haemophagocytic syndrome. The serology was compatible with acute Cytomegalovirus infection. The patient received therapy with ganciclovir, prednisolone and gamma globulin, and the acute renal failure was treated with haemodialysis. The patient responded well to the treatment and was discharged after a month with normal lever and renal function.

Authors workplaces

1) Hæmatologisk Afdeling, Herlev Hospital
2) Patologisk Afdeling, Herlev Hospital

Ugeskr Læger 2014;176:V10120603

Bib ref
Ugeskr Læger 2014;176:V10120603
Article number
V10120603
Authors

Julie Broe1, Anne Falensteen Lauritzen2 & Per Boye Hansen1

0 likes