Medlem i

12 years 10 months
Indholdselementer

Klinisk hjertestop hos børn er kun sjældent forårsaget af kardiel sygdom. Cystisk tumor i atrioventrikulær (AV)-knuden (CTAVN) er en sjælden årsag til tredjegrads AV-blok og hjertestop, og kun få tilfælde er tidligere beskrevet hos børn [1].

SYGEHISTORIE

En niårig, tidligere rask pige blev indbragt efter klinisk hjertestop. Hun var samme dag i skolen besvimet kortvarigt. Efterfølgende blev hun tilset og fundet upåvirket af egen læge. Et par timer senere fandt forældrene pigen slap og respirationsløs i hjemmet og bragte hende tilbage til egen læge. Denne fandt klinisk hjertestop og gav basal genoplivning. Ved lægeambulancens ankomst havde pigen tredjegrads AV-blok og bradykardi. På intensivafdelingen blev der påbegyndt isoprenalininfusion, og pigen blev lagt i respirator. Herefter var der fortsat tredjegrads AV-blok, intermitterende ventrikeltakykardi og ventrikelflimren, hvorefter der blev implanteret en temporær pacemaker. Ved ekkokardiografi fandtes venstre ventrikel dilateret, og pumpefunktionen var let nedsat (50%). Toksikologisk blodprøvescreening og flere hold koronarenzymer ved indlæggelsen var negative. En computertomografi (CT) af cerebrum viste normale forhold. En CT af thorax viste, at der var bilaterale infiltrative lungeforandringer og bilateral pleural væskeansamling, men billedet var inkonklusivt med hensyn til årsagerne til AV-blokket. Barnet blev nedkølet i henhold til gældende instruks. Efter to døgns indlæggelse fik pigen, trods intensiv terapi, multiorgansvigt og døde.

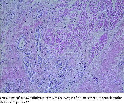
På grund af den uventede død blev der foretaget retslægeligt ligsyn med efterfølgende retslægelig obduktion. Ved obduktionen blev de kliniske fund bekræftet. Derudover var de postmortelle virologiske og bakteriologiske undersøgelser negative. Der blev påvist lungebetændelse. Grundet pigens alder ansås medfødt AV-blok ikke som muligt, og moderen blev derfor ikke undersøgt for Sjögrens syndrom antistof A og Sjögrens syndrom antistof B. Pigens myokardie var uden specifikke histopatologiske forandringer, men ved undersøgelse af hjertets ledningssystem blev påvist en tumor på AV-knudens plads. Histopatologisk var denne tumor tubulær til acinær i struktur, beklædt med et kubisk epitel, stedvist med overgangslignende epitel og omgivet af et fibrøst stroma. Der var hverken cellulær pleomorfi eller mitoser. I randzonerne var et kronisk betændelsesinfiltrat. Immunhistokemiske undersøgelser tydede på celler af endodermal oprindelse.

Det blev konkluderet, at dødsårsagen måtte antages at være en hjerterytmeforstyrrelse forårsaget af en CTAVN, slutteligt kompliceret med lungebetændelse samt multiorgansvigt.

Sidebar placering
Venstrestillet
Billede
Sidebar placering
Venstrestillet

Diskussion

CTAVN er en embryologisk rest med celler af endodermal oprindelse og er placeret i AV-knuden i bunden af det interatriale septum. CTAVN er en sjælden årsag til AV-blok, hjertestop og pludselig død. Der er rapporteret om under 100 tilfælde. 75% er kvinder, ofte tidligere raske, og alderen varierer fra 0 til 80 år, medianalderen er 38 år [1]. De fleste CTAVN findes ved obduktion. Omkring halvdelen af tumorerne er synlige, men ofte er det nødvendigt at undersøge hjertets ledningssystem for at finde tumoren [2].

CTAVN er i nogle undersøgelser associeret med andre embryonale eller medfødte misdannelser som midtlinjedefekter i hjerne, øsofagus eller thyroidea. Den symptomudløsende årsag er ofte ukendt [1].

I tilfældet i sygehistorien fandt man tredjegrads AV-blok, hvilket sjældent ses hos børn. De fleste tilfælde er medfødte, forårsaget af maternelle antistoffer ved lupus erythematosus disseminatus eller Sjögrens syndrom hos moderen. Tilstanden kan også forekomme som led i komplekse medfødte hjertefejl eller opstå efter operation af medfødte hjertefejl, f.eks. lukning af en ventrikelseptumdefekt. Hos børn uden strukturel hjertesygdom kan tredjegrads AV-blok ses som komplikation til myokarditis, endokarditis og hjertetumorer [3].

Symptomer på tredjegrads AV-blok kan være træthed, irritabilitet og fysisk uudholdenhed, men også synkope, hjertestop og pludselig død. Diagnosen stilles ved elektrokardiografi [3].

Hvis der er mistanke om, at patienten lider af CTAVN, kan der udføres kardiovaskulær magnetisk resonans-skanning, hvormed man kan påvise større tumorer [4]. Findes tumoren præmortalt, er der beskrevet få, men vellykkede operative fjernelser af denne. Behandlingen er vanskelig, og oftest har patienten efterfølgende brug for en permanent pacemaker [5].

Denne sygehistorie viser betydningen af en sufficient obduktion med tilhørende supplerende undersøgelser. Mikroskopi af hjertets ledningsbundt var i dette tilfælde udslagsgivende for dødsårsagsdiagnosen og kan anbefales ved klinisk mistanke om hjertelidelse, også i tilfælde af et strukturelt normalt hjerte.

src="/LF/images_ufl/ufl_bla.gif">
Frederikke Kasper , Hobrovej 136, 9560 Hadsund. E-mail: frka@rn.dk

ANTAGET: 6. juli 2011

FØRST PÅ NETTET: 26. september 2011

INTERESSEKONFLIKTER: ingen


Sidebar placering
Venstrestillet
Article type
Journal
Magazine
Section
References

<ol class="Litt-list">
<li>Veinot JP. Cardiac tumors of adipocytes and cystic tumor of the atrioventricular node Semin Diagn Pathol 2008;25:34-8.</li>
<li>Burke AP, Virmani R. Tumors and tumor-like conditions of the heart. I: Silver MD, Gottlieb AL, Schoen FJ, red. Cardiovascular pathology. 3rd ed. Philadelphia: Churchill Livingstone, 2001:585-7.</li>
<li>Fischbach P, Frias P, Strieper M et al. Natural history and current therapy for complete heart block in children and patients with congenital heart disease. Congenit Heart Dis 2007;2:224-34.</li>
<li>Tran T, Starnes V, Wang X et al. Cardiovascular magnetic resonance diagnosis af cystic tumor of the atrioventricular node. J Cardiovasc Magn Reson 2009;11:13.</li>
<li>Saito S, Kobayashi J, Tagusari O et al. Successful excision of a cystic tumor of the atrioventricular nodal region. Circ J 2005;69:1293-4.</li>
</ol>

Woodwing Id
256219
Fil
English summary

Summary Cystic tumour of the atrioventricular node in a nine year-old girl Ugeskr L&aelig;ger 2011;173(14):947-948 Cystic tumour of the atrioventricular node (CTAVN) is a rare type of cardiac tumour. We report a case of a previously healthy nine year-old girl, presenting with syncope caused by complete AV block. Despite intensive treatment, she died of multiple organ failure after two days. Infectious and congenital AV block were ruled out. Histology of the conduction system showed that a microscopic CTAVN was the cause of death. CTAVN is a rare cause of AV block and cardiac arrest, but should be considered in cases of unexplained death.

Bib ref
Ugeskr Læger 2012;174(14):947-948
Authors

Frederikke Kasper 1 , Seija Marjaana Ylijoki-Sørensen 2 , Jytte Banner Lundemose 2 & Lia Mendes Pedersen 1 1) Børneafdelingen, Aarhus Universitetshospital, Aalborg Sygehus 2) Retsmedicinsk Institut, Aarhus Universitet

0 likes
Read time
5