Medlem i

12 years 10 months
Indholdselementer
Billede
Sidebar placering
Venstrestillet


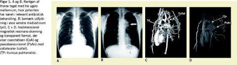
Ved coarctatio aortae (CoA) forstås en forsnævring på aorta descendens lige før eller efter indmundingen af ductus arteriosus. CoA er en af de hyppigste kongenitte hjertesygdomme og erkendes typisk hos den nyfødte som hjertesvigt eller manglende puls i femoralarterierne og senere hos i øvrigt symptomløse børn eller voksne grundet manglende eller svækket puls i femoralarterierne. Man bør altid være opmærksom på CoA ved hypertension hos børn og yngre voksne. Yderst sjældent fremtræder sygdommen mere drastisk, hvor komplikationer i forbindelse med CoA kan være første tegn: endarteritis, cerebral hæmoragi eller aortaaneurisme [1]. Kendskab til tilstanden er en forudsætning for diagnose og behandling af en potentielt katastrofal komplikation. Vi præsenterer derfor en sådan sjælden sygehistorie.

Sygehistorie

En 18-årig mand blev indlagt efter ti dages febrilia, opkastninger, ledsmerter og hævelse af højre ankelled. Tolv dage tidligere havde han bidt sig i tungen med efterfølgende halvanden times kraftig blødning. Objektivt fandt man blodtryk (BT) på 140/65 mmHg, puls 96, temperatur 39,3°C. Ved stetoskopi hørtes en systolisk mislyd over prækordiet med udstråling til carotiderne. Der blev beskrevet pulse i aa radiales og aa dorsales pedes. Paraklinisk fandt man C-reaktivt protein på 148 og leukocytter på 20,5. Et elektrokardiogram viste sænkningsreaktion uden tegn på venstre ventrikel-hypertrofi. Ankelledet punkteredes uden positive fund. Intravenøs behandling med penicillin 5 MIE ×4 og gentamycin 120 mg×2 blev påbegyndt og senere skiftet til diclosil efter bloddyrkningssvar (staphylococcus aureus ). Ekkokardiografi udført på et lokalsygehus gav mistanke om endokarditis på tricuspidalklap, og patienten blev henvist til Rigshospitalet til transtorakal (TTE) og transøsofageal ekkokardiografi (TEE). Endokarditis kunne ikke bekræftes, men antibiotikabehandlingen blev anbefalet fortsat på lokalsygehuset. Patienten blev udskrevet tre uger efter indlæggelsen med normalt resultat af røntgenundersøgelse af thorax (Figur 1A ) til intravenøs antibiotisk behandling foretaget af en hjemmesygeplejerske. En måned senere klagede patienten over hoste og synkebesvær. En røntgenundersøgelse af thorax viste nu nytilkommen breddeøget øvre mediastinum (Figur 1B). En efterfølgende computertomografi (CT) med kontrast (Figur 1C) viste betydelig dilateret aorta, der begyndte før arcus, bredte sig til efter arcus og målte 8 ×10 ×7cm. Patienten blev overflyttet til Cardiologisk Afdeling på Rigshospitalet. Han var upåvirket, uden smerter og havde et BT på 180/80 mmHg. Ved stetoskopi hørtes fortsat kraftig systolisk mislyd over prækordiet. Der blev beskrevet normal puls i ekstremiteterne. TTE viste ingen forandringer i hjertet og i de første 3-4 cm af aorta. Man havde således stadigvæk ingen forklaring på den systoliske mislyd. Infektionsparametre var normaliserede. Mistanke om usurer ved eftergranskning af røntgenoptagelsen af thorax og en meget lille aorta descendens på CT'en vakte endelig mistanke om CoA. Ved fornyet objektiv undersøgelse føltes nu ingen puls i femoralarterierne! Ny TTE og magnetisk resonans (MR)-skanning (Figur 1C+D) bekræftede mistanken om CoA kompliceret med et aneurisme og store kollateraler til aortaaneurismet. Ved akut venstresidig torakotomi fandtes CoA på det typiske sted lige efter venstre a. subclavia med kun to millimeters åbning og direkte herunder en 1-2 cm stor åbning til et mykotisk pseudoaneurisme beliggende i venstre lunges overlap. Selve aneurismet målte 10 cm. Distale aorta descendens målte 8 mm. Ved operationen blev CoA og aneurismet reseceret, og aorta descendens blev rekonstrueret med en rørprotese. På den første postoperative dag var patienten uklar og havde nedsat kraft og sensibilitet i højre arm. Symptomerne remitterede dog hurtigt, og patienten blev udskrevet i velbefindende otte dage efter operationen med metoprolol mod hypertension.

Kommentar

Denne voksne patient havde coarctatio aortae, en medfødt hjertesygdom, kompliceret ved endarteritis med stafylokokker og et mykotisk pseudoaneurisme. Patienten gennemgik en omfattende udredning, før diagnosen blev stillet. Først da det voksende aneurisme henledte opmærksomheden på aorta descendens blev mistanken om CoA vakt. Ved flere ekkokardiografier afsløredes CoA eller det voksende aneurisme ikke. Ved en CT påvistes aneurismet og en meget lille aorta descendens, hvilket faktisk var det, der gav mistanke om den rette diagnose. Ved TTE udført efter at mistanken var rejst påvistes CoA, og en MR-skanning gav den endelige og fulde diagnose.

Dette forløb er sjældent med de nutidige behandlingsprincipper [2, 3], men er kendt fra tidlige opgørelser over spontanforløbet for CoA med en middellevetid på kun 31 år [1, 2]. Dødsårsagerne var følgesygdomme af hypertension (tidlig koronararteriosklerose, cerebrale aneurismer, endarteritis med ruptur og aortaaneurismer [1, 2]).

Mistanken om CoA skal vækkes ved forekomst af arteriel hypertension hos børn og yngre voksne, ved forskel i pulskvalitet mellem over og underekstremiteter, ved manglende puls i femoralarterier og/eller ved systolisk mislyd. Diagnosen kan i langt de fleste tilfælde stilles med TTE, alternativt suppleres med MR-skanning eller invasiv undersøgelse. I de tidlige opgørelser over kirurgisk behandling af CoA var overlevelsen signifikant bedre end ved spontanforløbet, men fortsat betydelig dårligere end for baggrundsbefolkningen [4]. Senere opgørelser, hvor operationen udførtes, mens patienten var betydelig yngre, viser en postoperativ overlevelse, som nærmede sig baggrundsbefolkningens [2, 5]. Behandling er indiceret i alle aldre, når diagnosen er stillet, og er overvejende kirurgisk med resektion af en del af aorta og reanastomose med eller uden (hos børn) brug af protesemateriale. Primær behandling med ballondilatation og samtidig endoluminal stentning bruges i stigende grad hos både børn og voksne


Summary

Coarctation aortae in a teenager presenting as mycotic pseudoaneurysm

Ugeskr Læger 2006;168(35):2922-2923

Since the introduction of surgical treatment for coarctation aortae, presentation of the disease with postcoarctation mycotic pseudoaneurysm has become rare. We report an 18-year-old male with endarteritis caused by Staphylococcus aureus treated with appropriate antibiotics. Later the patient developed an irritative cough and problems with swallowing. CT and MRI of the chest demonstrated a postcoarctation pseudoaneurysm. After acute surgery with resection of the coarctation and pseudoaneurysm and insertion of a tube graft, the patient had an uneventful postsurgical course.


Henrik Ørbæk Andersen , Thoraxkirurgisk Afdeling RT, 2152, H:S Rigshospitalet, DK-2100 København Ø. E-mail: hoandersen@dadlnet.dk

Antaget: 20. juni 2005

Interessekonflikter: Ingen angivet

Taksigelser: Tak til overlæge Susanne Frevert , Diagnostisk Radiologisk Klinik, Karsektionen på Rigshospitalet for hjælp med MR-skanning.



Sidebar placering
Venstrestillet
Article type
Journal
Magazine
Section
References

<ol class="Litt-list">
<li>Campbell M. Natural history of coarctation of the aorta. Br Heart J 1970;32:633-40.</li>
<li>Jenkins NP, Ward C. Coarctation of the aorta: natural history and outcome after surgical treatment. Q J Med 1999;92:365-71.</li>
<li>Barth H, Moosdorf R, Schranz D et al. Mycotic pseudoaneurism of the aorta in children. Pediatr Cardiol 2000;21:263-6.</li>
<li>Presbitero P, Demarie D, Villani M et al. Long term results (15-30 years) of surgical repair of aortic coarctation. Br Heart J 1987;57:462-7.</li>
<li>Brouwer MHJ, Erasmus ME, Ebels T et al. Influence of age on survival, late hypertension, and recoarctation in elective aortic coarctation repair. J Thor Cardiovasc Surg 1994;108:25-31.</li>
</ol>

Woodwing Id
255065
Fil
English summary

Summary Coarctation aortae in a teenager presenting as mycotic pseudoaneurysm Ugeskr L&aelig;ger 2006;168(35):2922-2923 Since the introduction of surgical treatment for coarctation aortae, presentation of the disease with postcoarctation mycotic pseudoaneurysm has become rare. We report an 18-year-old male with endarteritis caused by Staphylococcus aureus treated with appropriate antibiotics. Later the patient developed an irritative cough and problems with swallowing. CT and MRI of the chest demonstrated a postcoarctation pseudoaneurysm. After acute surgery with resection of the coarctation and pseudoaneurysm and insertion of a tube graft, the patient had an uneventful postsurgical course.

Bib ref
Ugeskr Læger 2006;168(35):2922-2923
Authors

Overlæge Henrik Ørbæk Andersen, overlæge Morten H. Helvind & afdelingslæge Niels Grove Vejlstrup H:S Rigshospitalet, Hjertecentret, Thoraxkirurgisk Afdeling RT, Cardiologisk Afdeling B, og Pædiatrisk Afdeling

0 likes
Read time
6