Medlem i

12 years 10 months
Indholdselementer

Når et barn fødes med en misdannelse, og mater under hele graviditeten har indtaget medicin, bør man altid overveje, om det kan skyldes en teratogen effekt. Vi har derfor fundet det af interesse at beskrive et barn, som blev født med mb. Hirschsprung, hvor mater før og under graviditeten havde været i behandling med den selektive serotoningenoptagelseshæmmer (SSRI) citalopram.

SYGEHISTORIE

En 19-årig nullipara, der to år forud for og under hele graviditeten havde været i behandling med citalopram 20 mg/dagl., fødte efter en ukompliceret graviditet en pige til terminen. Fødselsvægten var 3.060 g, og der blev givet apgarscore 10 efter et minut og fem minutter.

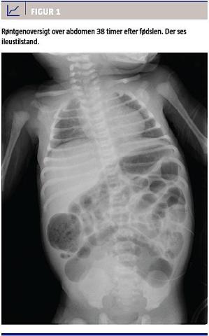
På grund af manglende mekoniumafgang blev der 38 timer efter fødslen foretaget en røntgenoversigt over abdomen, hvorved man fandt en ilieustilstand (Figur 1). Ved laparotomi fandt man dilateret tarm ned til den peritoneale omslagsfold ved rectosigmoideum, hvorfor man på mistanke om mb. Hirschsprung anlagde en descendendostomi med blindlukning af rectum. Diagnosen blev senere bekræftet ved en biopsi fra rectum. Postoperativt fik barnet adominalt kompartmentsyndrom og måtte reopereres med resektion af et 3 cm langt stykke iskæmisk tyndtarm. Herefter var der er et ukompliceret forløb.

Sidebar placering
Venstrestillet
Billede
Sidebar placering
Venstrestillet

DISKUSSION

10-15% af de gravide oplever depression i forbindelse med graviditeten, og behandling med SSRI-præparater er relativt almindelig. Således var i alt 1.900 gravide kvinder i behandling med SSRI i 2010 [1]. Generelt anbefaler man dog, at behandlingen undlades i første trimester.

Ætiologien bag mb. Hirschsprung er ukendt, men lidelsen skyldes formentlig en manglende migration af neuralkamsceller under organogenesen i 5.-12. graviditetsuge. Da migrationen foregår kraniokaudalt begynder sygdommen altid analt og medfører aganglionose af et varierende stykke tarm. I nærværende sygehistorie omfattede sygdommen rectosigmo

deum, hvilket sker i ca. 80% af tilfældene. Hele colon kan også omfattes med en incidens på ca. 11%.

Alle SSRI-præparater udviser signifikant passage over placentabarrieren, og passagen er mest udtalt for citalopram, hvor den føtale blodkoncentration nærmer sig 89% af moderens.

I dyreforsøg har man påvist, at serotonin (5-HT) spiller en rolle i både migration [2], udvikling og overlevelse af tidlige enteriske nerveceller [3], og at 5-HT er en væsentlig vækstfaktor for det enteriske nervesystem helt frem til den postnatale periode [4].

Teorien peger således imod en mulig skadelig effekt af SSRI på udviklingen af det enteriske nervesystem. Der er ikke tidligere blevet bekræftet tilfælde af mb. Hirschsprung ved maternelt brug af SSRI-præparater. Der foreligger imidlertid ikke nogen epidemiologiske studier, hvor man specifikt har undersøgt korrelationen mellem indtagelse af SSRI under graviditeten og udviklingen af mb. Hirschsprung hos fosteret. Der findes dog et studie, der omfattede 99,4% af alle graviditeter i Danmark i perioden 1997-2009, hvor der blev fundet en signifikant øget risiko for udvikling af medfødte misdannelser i fosterets tarmsystem og moderens indtagelse af SSRI med en oddsratio på 1,80 (95% sikkerhedsinterval: 1,04-3,12) [5].

I farmakoepidemiologiske studier undersøges primært data fra medicinordination, der ikke nødvendigvis kan sidestilles med indtagelse på grund af mange forhold herunder patientkomplians. I [5] peges der også på dette som en svaghed.

I en kohorteundersøgelse omfattende 228.876 graviditeter i USA bekræftes det yderligere, at der er en del problemer forbundet med denne metode. Undersøgelsen viste, at en stor del (75%) af kvinderne ophørte med indtagelse af SSRI før eller meget tidligt i graviditeten, og at kun 0,9% af kvinderne faktisk købte medicinen under hele graviditeten [6]. Dette forhold kunne tages til indtægt for en underestimering af den mulige teratogene effekt af SSRI.

Den normale tarmmotilitet er afhængig serotoninerg signalering, og da SSRI-præparater øger mængden af 5-HT i synapsekløften, kunne dette tænkes at forstyrre den normale serotoninerge signalering. Dette kunne være en medvirkende årsag til den udtalte ileustilstand med udvikling af kompartmentsyndrom, der blev observeret i denne syge

historie.

Korrespondance: Sebastian Werngreen Nielsen, Hesseløgade 42, 3., 2. dør, 2100 København Ø. E-mail: sebastian@werngreen.com.

Antaget: 5. august 2013

Publiceret på Ugeskriftet.dk: 9. december 2013

Interessekonflikter: Forfatternes ICMJE-formularer er tilgængelige sammen med artiklen på

Ugeskriftet.dk

Sidebar placering
Venstrestillet
Article type
Journal
Magazine
Section
References

<h2>
<h2>Litteratur</h2>
<ol type="d"><li><p>Sundhedsstyrelsen. Oversigtsnotat om SSRI, 21. oktober 2011. </p></li></ol>
</h2>
<ol type="d">
<li><p>http://<br>laegemiddelstyrelsen.dk/da/topics/bivirkninger-og-forsoeg/bivirkninger/<br>nyheder/notat-om-behandling-med-antidepressiv-me--typen-ssri (4. okt 2013).</p></li>
<li><p>Hansson SR, Mezey E, Hoffman BJ. Serotonin transporter messenger RNA expression in neural crest-derived structures and sensory pathways of the developing rat embryo. Neuroscience 1999;89:243-65.</p></li>
<li><p>Li Z, Chalazonitis A, Huang YY et al. Essential roles of enteric neuronal serotonin in gastrointestinal motility and the development/survival of enteric dopaminergic neurons. J Neurosci 2011;31:8998-9009.</p></li>
<li><p>Gershon MD. 5-hydroxytryptamine (serotonin) in the gastrointestinal tract. Curr Opin Endocrinol Diabetes Obes 2013;20:14-21.</p></li>
<li><p>Jimenez-Solem E, Andersen JT, Petersen M et al. Exposure to selective serotonin reuptake inhibitors and the risk of congenital malformations: a nationwide cohort study. BMJ Open 2012;2:e001148.</p></li>
<li><p>Hayes RM, Wu P, Shelton RC et al. Maternal antidepressant use and adverse outcomes: a cohort study of 228,876 pregnancies. Am J Obstet Gynecol 2012;207:<br>49.e1-9.</p></li>
</ol>

Woodwing Id
43675
Fil
Conflict of interest
English title
Citalopram taken during pregnancy and the child born with Ugeskr Laeger 2014;176:V03130178
English summary

A woman treated with citalopram during the entirety of her pregnancy bore a child with Hirschsprung&rsquo;s disease. Theories on the development of the enteric nervous system support a possible negative effect of SSRI usage. Epidemiological studies confirm a correlation between pregnant women&rsquo;s use of SSRIs and congenital malformations of their children&rsquo;s digestive system, but not specifically Hirschsprung&rsquo;s disease. Certain limitations in these studies might explain this lack of specificity.

Authors workplaces

1) Børneafdelingen, Næstved Sygehus
2) Kirurgisk Afdeling A, Odense Universitetshospital

Ugeskr L
æger 2014;176:V03130178

Article number
V03130178
Authors

Sebastian Werngreen Nielsen1 & Niels Qvist2

0 likes