Medlem i

13 years 1 month
Indholdselementer
Billede
Sidebar placering
Venstrestillet
Billede
Sidebar placering
Venstrestillet
Billede
Sidebar placering
Venstrestillet


Præterm fødsel, defineret som fødsel før 37 fulde uger, forekommer i Danmark i knap 5% af alle graviditeter og er fortsat hovedårsagen til den perinatale mortalitet og morbiditet. Problemer i forbindelse med præmaturitet forekommer dog hovedsageligt hos børn, der er født før 32. uge, og denne definition for meget for tidlig fødsel anvendes derfor ofte i litteraturen som den klinisk relevante definition. I Danmark fødes ca. 1% før 32. uge. Præterme fødsler kan inddeles i: iatrogene som udgør ca. 30%, og spontane, præterme veer ca. 35% og preterm prelabor rupture of the membranes ca. 35%.

Identifikation af gravide, der er i risiko for præterm fødsel, allerede tidligt i graviditeten er et vigtigt skridt på vejen til forebyggelse. Der er en række kendte risikofaktorer for præterm fødsel: tidligere præterm fødsel eller sen abort, flerfoldgraviditet, alder, BMI, race, socio-økonomiske forhold og livstilskarakteristika (rygning m.m.). Men risikovurdering baseret på anamnestiske oplysninger har ikke vist sig at være anvendelig, blandt andet fordi ca. 40% af de gravide, der føder prætermt, ikke har kendte risikofaktorer. Kombinationer af anamnestiske og kliniske risikofaktorer har hidtil heller ikke vist sig at være tilstrækkeligt sensitive eller specifikke til klinisk anvendelse.

I de senere år er der udviklet flere biokemiske test, som kan bidrage til forudsigelse af præterm fødsel. Tilstedeværelse af føtal fibronectin i cervix/vagina i 20.-34. uge har vist sig at være en væsentlig prædiktor for præterm fødsel [1]. Markører for bakteriel vaginose (bl.a. høj koncentration af interleukiner, anaerob flora og fravær af Lactobacillus i vaginalsekret) er associeret til præterm fødsel [2]. Desuden er serumkoncentrationen af blandt andet: relaxin, alfaføtoprotein, progesteron, corticotropin-releasing hormone (CRH), C-reaktivt protein (CRP), cytokiner og østradiol i spyt fundet at være relateret til præterm fødsel. Alle test har dog hver for sig for lav sensitivitet og specificitet til klinisk anvendelse.

De nugældende behandlingsmuligheder ved identifikation af højrisikogravide er begrænsede. Den initiale behandling omfatter tokolyse, steroidbehandling og transport til et sygehus med et neonatalafsnit. Tokolyse forlænger kun graviditeten kortvarigt og langtidstokolyse har endnu ikke vist sig at forlænge graviditeten eller bedre det perinatale resultat. Den mere langsigtede/forebyggende behandling omfatter aflastning og eventuelt anlæggelse af cerclage. Effekten af disse behandlinger er dog fortsat kontroversiel og uden klar evidens. I et nyere Cochrane-review af cerclagestudier konkluderes det, at i fem ud af seks randomiserede studier har der ikke kunnet påvises effekt af cerclage [3]. Der er ingen prospektive, randomiserede undersøgelser af effekten af aflastning blandt singletongravide.

Måling af cervix

Præmatur modning af de cervikale forhold vurderet ved vaginal eksploration var en af de første markører til prædiktion af præterm fødsel. Sensitiviteten og den positive prædiktive værdi ved undersøgelsen er dog lav, og der er ligeledes lav korrelation mellem forskellige undersøgere (interobservatørvariation: ca. 50%).

For nogle år siden blev ultralydundersøgelse af cervix introduceret som en mere objektiv metode til vurdering af cervix. Der er anvendt flere metoder til undersøgelsen - transabdominalt, transperinealt og transvaginalt. Den transvaginale metode synes at give det mest præcise mål. I studier, hvor man har sammenlignet vurdering af cervix ved vaginal eksploration og måling af cervix ved transvaginal ultralydskanning (TVUS), har man vist, at man ved brug af TVUS signifikant bedre kan identificere de gravide, der føder prætermt (Tabel 1 ). TVUS har bedre sensitivitet, specificitet og bedre prædiktive værdier, og ved standardiseret teknik er der lav interobservatørvariation (5-10%). De gravides accept af transvaginal ultralydskanning synes generelt at være god.

Teknik ved transvaginal ultralydskanning af cervix

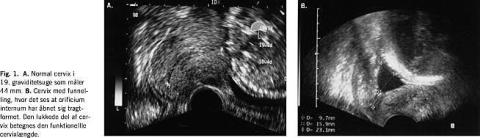
Undersøgelsen foretages med tom blære. Kvinden ligger på et gynækologisk leje eller på et almindeligt leje med en skråpude under sædet. Cervikalkanalen, orificium internum og eksternum identificeres i sagitalt snit, og cervix måles fra orificium internum til orficium eksternum (Fig. 1 ). Der bør observeres i nogle minutter med henblik på at observere eventuelle dynamiske forandringer af cervix. Eventuelt appliceres et tryk på fundus uteri.

Der er lavet flere studier, hvor man har inddraget vurdering af funnelling (tragtdannelse/dilatation af orificium internum) (Fig. 1). Funnelling er dog stort set altid til stede samtidig med en kort cervix, og vurdering af funnelling synes ikke at bidrage yderligere til prædiktionen af spontan præterm fødsel end måling af den funktionelle cervixlængde (den lukkede del af cervix).

Ultralydskanning af cervix og screening for præterm fødsel

I adskillige studier har man vist association mellem kort cervix og risiko for præterm fødsel - både i uselekterede populationer og i lav- og højrisiko populationer [5]. Studierne er forskellige i design og derfor ofte svære at sammenligne. Der er forskel på, hvornår i graviditeten cervix er undersøgt (12.-30. uge), det er forskelligt, hvornår cervix defineres som kort (10-30 mm), sammensætningen af de undersøgte populationer er forskellig, og de statistiske bearbejdninger er varierende. Studierne viser dog samstemmende, at jo kortere cervix desto større risiko for spontan præterm fødsel.

Som mål for en screeningstests præcision anvendes sensitivitet, specificitet og prædiktive værdier. Formentlig på grund af design- og populationsforskelle findes sensitivitet, specificitet og prædiktive værdier at variere meget mellem de forskellige studier (Tabel 2 ).

Screening af cervixlængde i den generelle population

Iams et al foretog den første store undersøgelse af 2.915 lavrisikogravide i 24. og 28. uge [6]. Længden af cervix observeredes normalfordelt med en gennemsnitslængde på 35,2 mm (SD: ± 8,3 mm) i 24. uge. Den relative risiko (RR) for fødsel før 35. uge var på 9,5 for en cervixlængde under 22 mm (5% percentilen) i 24. uge. Studiet viste desuden, at jo kortere cervix desto større risiko for præterm fødsel. Samme kontinuerlige sammenhæng findes i en undersøgelse af 6.877 gravide udført af Hassan et al [7] samt i flere mindre studier. Trods en stærk association med præterm fødsel illustrerer dette studie også tydeligt problemerne med at etablere en god biomarkør for præterm fødsel i en lavrisikopopulation. Ved at anvende en cervixlængde på < 25 mm som tærskelværdi, kunne 15% af de præterme fødsler identificeres, men mindre end hver tredje kvinde med en cervix < 25 mm fødte før 32. uge. Det vil sige at totredjedele af de gravide, der ville blive placeret i en risikogruppe, først fødte efter 32. uge. Hvis man anvendte en cervixlængde på < 15 mm som tærskelværdi, ville kun 8% af de præterme fødsler blive identificeret, men andelen af gravide, der fejlagtigt ville blive placeret i risikogruppen, ville falde til cirka 50%. Cervixlængden har således utvivlsomt stærk association med præterm fødsel, men den kliniske anvendelighed i en lavrisikopopulation er fortsat under evaluering.

Screening af cervixlængde i højrisikopopulationen

Højrisikopopulationen omfatter typisk gravide, der tidligere har født prætermt eller aborteret sent samt flerfoldgravide. Ultralydskanning af cervix i gruppen af gravide med høj risiko for præterm fødsel har ligeledes i flere studier vist en klar sammenhæng mellem kort cervix og præterm fødsel [5, 8].

Generelt er cervixlængden blandt højrisikogravide en bedre markør, end den er blandt lavrisikogravide med både højere sensitivitet og positiv prædiktiv værdi (Tabel 2). I nogle studier har man dog fulgt udviklingen af cervix ved jævnlige undersøgelser i løbet af graviditeten, hvilket er medvirkende til en højere sensitivitet, men lavere positiv prædiktiv værdi (Tabel 2).

Den optimale gestationsalder ved undersøgelsen, det nødvendige antal undersøgelser gennem graviditeten samt tærskelværdien for cervixlængde er dog ikke veldefinerede.

Anvendelse af ultralydskanning af cervix ved truende præterm fødsel

Det er ofte vanskeligt at afgøre, om en gravid er i egentlig fødsel, når hun kommer med præterme kontraktioner. Ved truende for tidlig fødsel er ultralydundersøgelse af cervix mere præcis end vaginal eksploration til at identificere de gravide, der ender med at føde prætermt.

I et blindet randomiseret studie fandt Vendittelli et al [9], at en cervixlængde på < 30 mm havde en sensitivitet på 89% og en positiv prædiktiv værdi på 13% for præterm fødsel. Endvidere har ultralydundersøgelsen af cervix ved symptomer på truende præterm fødsel en høj negativ prædiktiv værdi på ca. 97%.

Konklusion

Det er efterhånden veletableret, at cervixlængde er en stærk markør for præterm fødsel, og at ultralydundersøgelse af cervix kan være anvendelig i forbindelse med en risikovurdering for præterm fødsel. Da sensitiviteten af undersøgelsen er lav kan ultralydundersøgelse af cervix ikke stå alene ved identifikation af kvinder, der er i høj risiko for præterm fødsel. Ligeledes vil undersøgelser med positive prædiktive værdier på mellem 6% og 45% placere mange normale gravide i en risikogruppe. Kombination med andre faktorer såsom måling af føtal fibronectin, andre biokemiske og endokrinologiske markører, obstetrisk anamnese samt livsstilsfaktorer kan formentligt medvirke til at bedre identifikationen. En undersøgelse fra 2001 [10] viste, at der kun er et lille overlap mellem de stærkeste biokemiske markører, hvilket tyder på en additiv effekt af at kombinere flere markører. Endvidere er udforskningen af mulig genetisk prædisposition først lige begyndt.

Det er et væsentligt problem i forbindelse med eventuel screening for præterm fødsel, at der mangler effektiv behandling. Før screening for præterm fødsel accepteres, må det vises, at intervention kan ændre resultatet.

I februar 2003 publicerede da Fonseca et al resultaterne fra et randomiseret studie, hvor de vurderer effekten af vaginal progesteron (fra 24.-34. uge) til at forebygge præterm fødsel hos en gruppe højrisikogravide. Incidensen af præterm fødsel reduceredes signifikant hos de gravide, der fik progesteron, i forhold til hos dem, der fik placebo. Disse resultater medfører formentligt fornyet optimisme omkring interventionsstudier. Endvidere er det erkendt, at der må være mange veje, der fører til præterm fødsel, og såfremt man med screeningstest kan identificere de forskellige undergrupper af risikogravide, vil det åbne mulighederne for at målrette interventionen.

Den ideelle test til eventuel screening for præterm fødsel må således være en kombination af flere markører, og her spiller transvaginal undersøgelse af cervix formentlig en afgørende rolle.


Kirsten Puk Sandager, Gynækologisk-obstetrisk Afdeling Y, Skejby Sygehus, Århus Universitetshospital, DK-8200 Århus N.

Antaget den 7. oktober 2003.

Århus Universitetshospital, Skejby Sygehus, Gynækologisk-obstetrisk Afdeling Y.


Ovenstående artikel bygger på en større litteraturgennemgang end litteraturlistens ti numre. En fuldstændig litteraturliste kan fås ved henvendelse til forfatteren.


  1. Goldenberg RL, Mercer BM, Iams JD et al. The preterm prediction study: patterns of cervicovaginal fetal fibronectin as predictors of spontaneous preterm delivery. National Institute of Child Health and Human Development Maternel-Fetal Medicine Units Network. Am J Obstet Gynecol 1997;177:8-12.
  2. Hillier SL, Martius J, Krohn M et al. A case control study of chorioamnionic infection and histologic choroiamnionitis in prematurity. N Engl J Med 1988;319:972-8.
  3. Drakeley AJ, Roberts D, Alfirevic Z. Cervical stitch (cerclage) for preventing pregnancy loss in women (Cochrane Review). I: The Cochrane Library, Issue 1, 2003. Oxford: Update Software.
  4. Berghella V, Tolosa JE, Kuhlman K et al. Cervical sonography compared with manual examination as a predictor of preterm delivery. Am J Obstet Gynecol 1997;177:723-30.
  5. Leitich H, Brunbauer M, Kaider A et al. Cervical length and dilatation of the internal os detected by vaginal ultrasonography as markers for preterm delivery: a systematic review. Am J Obstet Gynecol 1999;181:1465-72.
  6. Iams JD, Goldenberg RL, Meis PJ et al. The length of the cervix and the risk of spontaneous premature delivery. N Engl J Med 1996;334:567-72.
  7. Hassan SS, Romero R, Berry SM et al. Patients with an ultrasonographic cervical length ≤ 15 mm have nearly a 50% risk of early spontaneous preterm delivery. Am J Obstet Gynecol 2000;182:1458-67.
  8. Owen J, Yost N, Berghella V et al. Mid-trimester endovaginal sonography in women at high risk for spontaneous preterm birth. JAMA 2001;286:1340-8.
  9. Vendittelli F, Mamelle N, Munoz F et al. Transvaginal ultrasonogr aphy of the uterine cervix in hospitalized women with preterm labor. Int J Gynaecol Obstet 2001;72:117-25.
  10. Goldenberg RL, Iams JD, Mercer BM et al. The preterm prediction study: toward a multi-marker test for spontaneous preterm birth. Am J Obstet Gynecol 2001;185:643-51.




Sidebar placering
Venstrestillet
Article type
Journal
Magazine
Section
References

<ol class="Litt-list">
<li>Goldenberg RL, Mercer BM, Iams JD et al. The preterm prediction study: patterns of cervicovaginal fetal fibronectin as predictors of spontaneous preterm delivery. National Institute of Child Health and Human Development Maternel-Fetal Medicine Units Network. Am J Obstet Gynecol 1997;177:8-12.</li>
<li>Hillier SL, Martius J, Krohn M et al. A case control study of chorioamnionic infection and histologic choroiamnionitis in prematurity. N Engl J Med 1988;319:972-8.</li>
<li>Drakeley AJ, Roberts D, Alfirevic Z. Cervical stitch (cerclage) for preventing pregnancy loss in women (Cochrane Review). I: The Cochrane Library, Issue 1, 2003. Oxford: Update Software.</li>
<li>Berghella V, Tolosa JE, Kuhlman K et al. Cervical sonography compared with manual examination as a predictor of preterm delivery. Am J Obstet Gynecol 1997;177:723-30.</li>
<li>Leitich H, Brunbauer M, Kaider A et al. Cervical length and dilatation of the internal os detected by vaginal ultrasonography as markers for preterm delivery: a systematic review. Am J Obstet Gynecol 1999;181:1465-72.</li>
<li>Iams JD, Goldenberg RL, Meis PJ et al. The length of the cervix and the risk of spontaneous premature delivery. N Engl J Med 1996;334:567-72.</li>
<li>Hassan SS, Romero R, Berry SM et al. Patients with an ultrasonographic cervical length ≤ 15 mm have nearly a 50% risk of early spontaneous preterm delivery. Am J Obstet Gynecol 2000;182:1458-67.</li>
<li>Owen J, Yost N, Berghella V et al. Mid-trimester endovaginal sonography in women at high risk for spontaneous preterm birth. JAMA 2001;286:1340-8.</li>
<li>Vendittelli F, Mamelle N, Munoz F e<span class="Emphasis" type="Regular">t al. Transvaginal ultrasonogr</span> aphy of the uterine cervix in hospitalized women with preterm labor. Int J Gynaecol Obstet 2001;72:117-25.</li>
<li>Goldenberg RL, Iams JD, Mercer BM et al. The preterm prediction study: toward a multi-marker test for spontaneous preterm birth. Am J Obstet Gynecol 2001;185:643-51.</li>
</ol>

Woodwing Id
250481
Fil
Bib ref
Ugeskr Læger 2003;165(46):4415-4418
Authors

Kirsten Puk Sandager, Ida Vogel, Poul Thorsen & Niels Uldbjerg

0 likes