Medlem i

12 years 10 months
Indholdselementer

Tuberkulose (tb) er en infektionssygdom, som primært er forårsaget af Mycobacterium tuberculosis. Tb er på verdensplan på topti over årsager til død, med 9,9 mio., der udviklede tb, og 1,3 mio. rapporterede dødsfald i 2020 [1]. Globalt er omtrent 2 mia. inficeret med M. tuberculosis, hvoraf de fleste har latent tb. Livstidsrisikoen for progression til aktiv tb er 2-10% [2].

Sygdomme forårsaget af denne aerobe og syrefaste bacille kan præsentere sig forskelligt, oftest som lungetuberkulose. Hæmatogen spredning kan lede til ekstrapulmonal tb såsom miliær tb, tuberkuløs lymfadenitis, tuberkuløs spondylitis (Potts sygdom) samt cerebrale manifestationer som tuberkuløs meningitis, encefalitis, tuberkulomer og tuberkuløse abscesser. Cerebrale manifestationer udgør 5-10% af ekstrapulmonær tb-tilfældene, har en høj mortalitet og rammer i høj grad patienter med hiv [3].

Tuberkulomer forekommer både med og uden tb-meningitis og kan være både solitære, multiple, kaseøse (solid eller flydende) og nonkaseøse. Symptomer på tuberkulomer afhænger af placeringen af processen og kan være fokale neurologiske symptomer, epilepsi og generelle symptomer på forhøjet intrakranielt tryk [3].

SYGEHISTORIE

En 28-årig gravid kvinde (i 37. uge), som i øvrigt var sund og rask, blev henvist af egen oftalmolog til oftalmolog i sygehusregi pga. to ugers anamnese med dobbeltsyn. Oftalmologisk og neurologisk undersøgelse viste venstresidig abducensparese. Der var intet papilødem. Patienten beskrev, at hun havde haft snurrende og sovende fornemmelse i venstre side igennem et år. Hun var af mellemøstlig herkomst, flygtet til Europa og havde bl.a. haft ophold i en flygtningelejr. På henvisningstidspunktet havde hun boet i Danmark i to år, forudgået af fire år i Norge. Hun havde ved indlæggelsen ingen tegn på infektion, svækket immunforsvar eller øvrige symptomer. Almindelige blodprøver var normale.

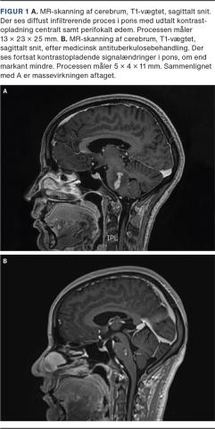
En MR-skanning af hjernen viste en diffust infiltrerende og kontrastopladende proces i pons (Figur 1A) samt to punktate kontrastopladende forandringer i hhv. højre og venstre frontallap. De primære diagnostiske overvejelser var malignitet, herunder astrocytom/gliom og lymfom.

Sidebar placering
Venstrestillet
Billede
Sidebar placering
Venstrestillet

I neurokirurgisk regi blev der foretaget stereotaktisk biopsi af den pontine proces. Neuropatologerne fandt intet tumorvæv, men i stedet kæmpeceller, nekrotiserende granulomatøs inflammation samt spredte syrefaste stave, som kunne tyde på tb. En PCR-test for tb var på biopsien inkonklusiv pga. sparsomt materiale. Efterfølgende blev patienten udredt for tb (med mikroskopi, PCR, dyrkning, Quantiferon-test) samt ventrikelskyl. Kun Quantiferon-testen var positiv.

Der blev indledt antituberkuløs behandling med rifampicin, isoniazid, pyrazinamid og ethambutol i initialfasen (to måneder) efterfulgt af kontinuationsfasen med rifampicin og isoniazid (otte måneder) samt prednisolon i fire måneder. Efter endt behandling havde patienten kun let abducensparese. En kontrolskanning 15 måneder efter behandlingsstart viste væsentligt aftagende størrelse af det pontine tuberkulom samt aftagende perifokalt ødem (Figur 1B). De punktate forandringer var ligeledes aftaget i størrelse.

Diskussion

Kruse et al nævner relevansen i at screene flygtninge i højrisikogrupper ved ankomst til Danmark [2]. Langholz et al taler ligeledes for målrettet screening og diskuterer en række udfordringer ved håndteringen af tb blandt asylansøgere, herunder nævnes, at helbredsundersøgelsen er frivillig og ikke gennemføres hos omtrent halvdelen, ligesom opfølgning og informationsudveksling sektorerne imellem fungerer suboptimalt [4].

To tredjedele af de anmeldte tilfælde i Danmark i perioden 1995-2017 blev fundet blandt indvandrere [2]. I 2019 var 205 ud af 284 anmeldte tilfælde blandt indvandrere eller efterkommere heraf [5]. Sygehistorien illustrerer vigtigheden i tb-screening for relevante risikogrupper. Hvis patienten i sygehistorien var blevet diagnosticeret for tb, og der var blevet påbegyndt relevant behandling år tilbage ved ankomsten til Danmark (eller Norge), kunne den alvorlige, invaliderende og potentielt livstruende neuroinfektion være undgået.

Med denne kasuistik ønsker vi at belyse tb og intracerebrale tuberkulomer, hvilket er en sjælden ekstrapulmonal manifestation af tb i den vestlige verden, men som i tb-endemiske områder udgør en væsentlig del af de intrakranielle rumopfyldende processer. Med den senere tids udvikling i migration til den vestlige verden er tb, herunder også de ekstrapulmonale manifestationer, relevant at have in mente for en række forskellige specialer.



Korrespondance Patrick Offendal. E-mail: patrick@offendal.dk
Antaget 13. januar 2022
Publiceret på ugeskriftet.dk 28. marts 2022
Interessekonflikter ingen. Forfatternes ICMJE-formularer er tilgængelige sammen med artiklen på ugeskriftet.dk
Referencer findes i artiklen publiceret på ugeskriftet.dk
Artikelreference Ugeskr Læger 2022;184:V11210867

Sidebar placering
Venstrestillet
Article type
Journal
Magazine
Section
References

Referencer

  1. WHO. Global Tuberculosis Report 2021.

  2. Kruse A, Wejse C, Jensen ET et al. Tuberkulosebekæmpelse i Danmark – et nationalt tuberkuloseprogram 2018 https://www.ssi.dk/-/media/arkiv/indhold/dk-dansk/sygdomsleksikon/tb-guideline_dk_2018.pdf?la=da (15. feb 2022)

  3. Rock RB, Olin M, Baker CA et al. Central nervous system tuberculosis: pathogenesis and clinical aspects. Clin Microbiol Rev. 2008;21(2):243-61.

  4. Kristensen KL, Nørredam M, Lillebæk T et al. Tuberkulose blandt asylansøgere. Ugeskr Læger. 2018;180:V11170828.

  5. Statens Serum Institut. Tuberkulose - opgørelse over sygdomsforekomst, 2021. www.ssi.dk/sygdomme-beredskab-og-forskning/sygdomsovervaagning/t/tuberkulose---opgoerelse-over-sygdomsforekomst-2019-20 (15. feb 2022).

Woodwing Id
68493
Fil
Conflict of interest
English title
Cerebral manifestationsof tuberculosis
English summary

Patrick Offendal, Rune Rasmussen & Marianne Juhler

Ugeskr Læger 2022;184: V11210867

Almost two billion people are infected with M. Tuberculosis. The most common manifestation of TB is pulmonary; however, severe manifestations of TB can affect the central nervous system. This case report describes a young refugee with onset of sixth nerve palsy and an MRI consistent with a pontine tumor. Stereotactic biopsy showed giant cells and acid-fast rods, Quantiferon test was positive, thus fulfilling the criteria for tuberculoma. The patient immediately began antituberculous treatment and slowly recovered. The purpose of this article was to elucidate the necessity of screening migrants from TB-endemic areas.

Authors workplaces

Afdelingen for Hjerne- og Nervekirurgi, Københavns Universitetshospital – Rigshospitalet

Ugeskr Læger 2022;184:V11210867

Bib ref
Ugeskr Læger 2022;184:V11210867
Article number
V11210867
Authors

Patrick Offendal, Rune Rasmussen & Marianne Juhler

0 likes