Medlem i

12 years 10 months
Indholdselementer

Tilstanden central pontinmyelinolyse (CPM) blev først beskrevet i 1959 af Adams et al [1] og forbundet med alkoholisme, mens selve den kliniske diagnose først blev etableret i 1969 [2]. Først i 1970‘erne blev tilstanden forbundet med hyponatriæmi. Indledningsvis blev det fremhævet, at tilstanden kun ramte alkoholikere, men efterfølgende er tilstanden set hyppigt også hos levertransplanterede og malnutrierede patienter. I nyere tid er der foretaget flere mindre patientstudier, hvor man har påvist, at tilstanden kan forekomme ved selv normal eller forhøjet natriumkoncentration og nok snarere skyldes hurtige og store ændringer i natriumbalancen, specielt hos patienter, der er disponerede for tilstanden [1].

Hyponatriæmi er i sig selv en hyppigt forekommende tilstand, der findes i mild grad hos op mod 30% af alle hospitaliserede patienter og i sværere grad hos op mod 4% (S-natriumkoncentration < 130 mmol/l). Årsagerne er mange: diuretika, diarré, vomitus, hjertesvigt, nyresvigt, alkoholoverforbrug, leversvigt, hormonforstyrrelser m.m., og tilstanden medfører en bred vifte af neurologiske symptomer fra diffus utilpashed til koma og død afhængig af sværhedsgraden af hyponatriæmien [3].

FYSIOLOGI

Vand bevæger sig frit og hurtigt over blod-hjerne-barrieren, mens endotelcellerne, basale lamina og astrocytter begrænser distributionen af elektrolytter som natrium, kalium og klor. Under perioder med hyponatriæmi efterlades interstitiet i hjernen hypoosmolært [4], hvilket medfører, at vand drives ind i gliacellerne gennem aquaporinkanaler, og der opstår cerebralt ødem. Dette kan i sig selv udløse neurogent lungeødem med hypoksi, som igen forværrer hjernens evne til at adaptere til hyponatriæmien med
risiko for yderligere cerebralt ødem og til sidst herniering [5]. Denne negative cirkel ses ved akut hyponatriæmi og kræver ofte hurtig korrektion af natriumbalancen, gerne med hyperton natriumklorid. Ved akut hyponatriæmi ses alvorlige symptomer allerede ved S-natriumkoncentration < 120-125 mmol/l med kramper, cerebralt ødem, koma og død [5, 6]. Den mere almindeligt forekommende tilstand er kronisk hyponatriæmi, der er opstået over > 2-3 døgn. Denne kan være asymptomatisk selv ved koncentrationer under 110 mmol/l. Hjernens adaptation ved hyponatriæmi er i den akutte fase tab af natrium og derefter kalium (i løbet af timer). Ved vedvarende hyponatriæmi begynder andre organiske osmolytter at bevæge sig ud i ekstracellulærrummet, specielt myoinositol, taurin, kreatinin, fosfokreatinin, glutamat, glutamin og glycerolfosforylkolin. Disse stoffer skaber isoosmolalitet over de næste dage, og udadstrømningen er normalt komplet efter få dage [1, 6], hvorefter hjernen er mest følsom for osmotisk demyeliniseringssyndrom (ODS), specielt da tilbagestrømningen af stofferne under korrektion af natriumbalancen tager betydelig længere tid end tilstrømningen og er uafhængig af korrektionshastigheden [7].

Sidebar placering
Venstrestillet
Billede
Sidebar placering
Venstrestillet

PATOFYSIOLOGI

Hurtig korrektion af kronisk hyponatriæmi medfører en hurtigere stigning i den ekstracellulære osmolalitet end i den intracellulære, idet elektrolytterne fordeles frit. De intracellulære koncentrationer af de
organiske stoffer er lave, og derved sker der en nettoskrumpning af hjernens celler [1]. Pons er specielt følsom, formentlig på grund af det tætte netmønsterarrangement mellem aksoner og gliaceller med tætte forbindelser. Disse forbindelser er meget følsomme for væskeændringer på grund af nedsat mekanisk fleksibilitet, og muligvis fordi oligodendrocytterne ligger tæt på den velvaskulariserede grå substans. Årsagen til demyelinisering er formentlig en blanding af osmotisk og toksisk stress med forstyrrelse af blod-hjerne-barrieren og passage af neurotoksiske komplementkomponenter [1, 2, 4, 6, 7]. Endelig findes der observationer, der tyder på, at det osmotiske insult udløser apoptose i myelinproducerende celler [7], og der findes nyere kliniske studier og dyrestudier, hvor man har påvist en frigivelse af blandt andet cytokiner fra osmotisk stressede vaskulære endoteliale celler, hvilket har medført skade på myelinet [8]. Der findes endvidere en del ekstrapontine områder, specielt i de basale ganglier, som kan afficeres både med og uden samtidig affektion af pons. Man skelner derfor mellem CPM og ekstrapontinmyelinolyse (EPM). Efter opdagelsen af alvorlig osmotisk stress i ætiologien
opstod den alternative betegnelse ODS, som dækker begge tilstande, da de ofte er til stede samtidig
[1, 2, 8].

OSMOTISK DEMYELINISERINGSSYNDROM

Myelinolyse er mere sandsynlig efter korrektion af kronisk end efter korrektion af akut hyponatriæmi. Samtidig er der en sammenhæng mellem risikoen for ODS og graden af hyponatriæmi, idet de fleste tilfælde er observeret hos patienter med S-natriumkoncentration < 120 mmol/l [7, 9, 10]. I studier har man påvist en prævalens på 0,3% hos patienter fra hospitaler i byområder (både centralsygehuse og universitetshospitaler) og 0,25% i obduktionsrapporter for voksne [2], hvorimod der er fundet helt op mod 30% prævalens i post mortem-studier af alkoholikere og levertransplanterede [4]. Den hyppigste årsag er leversvigt (alkoholoverforbrug i op til 40% af tilfældene), levertransplantation samt malnutrition og samtidig korrektion af hyponatriæmi. Specielt hastigheden af korrektionen synes at have betydning [1, 2, 4, 9]. Alkoholmisbrug medfører øget dannelse af frie radikaler, nedsat scavenger-funktion, specielt C- og
E-vitamin samt ændret NO-metabolisme (scavengers, herunder C- og E-vitamin neutraliserer/omdanner frie radikaler til mindre toksiske stoffer, antioxidanter), hvilket øger apoptose ved samtidig metabolisk påvirkning og samlet set øger risikoen for skade på centralnervesystemet [4].

Korrektion af hyponatriæmi er en væsentlig risikofaktor for udviklingen af ODS; således har man i forsøg med dyr påvist læsioner hos 71% ved induceret kronisk hyponatriæmi og efterfølgende korrektion med natriumkoncentration >14 mmol/l i det første døgn, hvorimod vedvarende hyponatriæmi ikke i sig selv medførte skader [9]. I sammenligning af patientstudier har man fundet neurologiske symptomer i 50% af tilfældene med hyponatriæmi (natriumkoncentration < 105) og korrektion med natriumkoncentration > 18 mmol/l over 48 timer [7]. Nyere undersøgelser tyder på, at høj karbamidkoncentration har en beskyttende effekt, idet dialysepatienter sjældent får ODS, og i forsøg med uræmiske rotter fik disse ikke ODS trods hurtig korrektion. Derimod fandt man hurtigere optagelse i hjernen af de organiske osmolytter, specielt myoinositol [5, 7]. Samtidig er der fundet flere eksempler på ODS blandt patienter, der ikke havde hyponatriæmi, hvilket tyder på, at hastigheden og størrelsen af skift i natriumkoncentrationen er vigtigere i udviklingen af ODS end hyponatriæmi [2, 11, 12].

SYMPTOMER OG DIAGNOSE

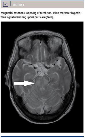
Symptomerne på EPM er akinesi, ataksi, katatoni, desorientering, dysartri, dystoni, ekstrapyramidale symptomer, emotionel labilitet, parkinsonisme, myokloni, rigiditet, tremor m.m. CPM-symptomer er pseudobulbær lammelse, quadriparese, quadriplegi, svaghed i tunge og ansigt, tab af tale- og synkeevne, psykiatriske forstyrrelser, bevidsthedsforstyrrelser, dysartri, dysfasi, spastisk paraparese, tetraparese, epileptiske anfald, hypotension og i ekstreme tilfælde locked-in-syndrom. Oftest er der symptomer på CPM med eller uden EPM [1, 2, 10]. Forløbet er ofte bifasisk med neurologiske symptomer på grund af hyponatriæmi, bedring ved korrektion og derefter forværring efter få dage. Forandringerne er først synlige på magnetisk resonans (MR)-skanning efter 2-4 uger, hvor man kan se hyperintense T2-vægtede billeder (se Figur 1 som eksempel) og hypointense T1-vægtede billeder (T2-vægtede billeder fremhæver den transverselle magnetisering, hvor T1-vægtning fremhæver den longitudinale). Den egentlige diagnose stilles ud fra symptomer, forandringer set på MR-skanning og udelukkelse af anden metabolisk/cerebral årsag.

Sidebar placering
Venstrestillet
Billede
Sidebar placering
Venstrestillet

PROGNOSE

Prognosen varierer i forskellige undersøgelser. I en undersøgelse har man fundet, at mortaliteten i 2000 var 50% inden for de første to uger, 90% inden for seks måneder og blandt de overlevende var der varierende grad af neurologiske deficit. Ny evidens tyder dog på en bedre prognose, og en større del med ODS overlever, hvis der ikke tilstøder sekundære komplikationer såsom pneumoni, sepsis, dyb venetrombose og lungeemboli. Hovedparten af de overlevende har dog fortsat permanente og ofte svære neurologiske skader [1, 2, 9, 10]. Prognostiske indikatorer for et dårligt slutstadie er svær hyponatriæmi, lav udgangsscore på Glasgow komaskala, samtidig hypokaliæmi, sepsis og andre metaboliske sygdomme, hypoksi og hepatisk encefalopati [2, 13]. Der er ingen sammenhæng mellem sværhedsgraden af forandringer set på MR-skanningerne og symptomer eller prognose [14].

BEHANDLING

Der findes kun enkelte observationsstudier om egentlig behandling af ODS. Til gengæld er der klare retningslinjer for, hvordan hyponatriæmi korrigeres med henblik på at undgå ODS.

I de nyeste kliniske retningslinjer anbefaler man maksimal korrektion af hyponatriæmi med natriumkoncentration < 10 mmol/l i de første 24 timer og
< 18 mmol/l inden for de første 48 timer (evidensgrad 1B). Ved for hurtig korrektion anbefales gennedsættelse af natriumkoncentrationen med hypotone væsker inden for de første 12 timer (evidensgrad 2C) [5, 10, 15, 16]. Samtidig foreslås understøttende terapi, der først afsluttes efter 6-8 uger, idet en del patienter kommer sig efter flere ugers svære neurologiske symptomer.

I observationsstudier er der påvist effekt på ODS ved behandling med thyrotropin releasing hormone, muligvis på grund af potensering af L-dopa-effekten og øget regional blodgennemstrømning. Derudover er der beskrevet positive resultater af behandling af ODS med plasmaferese, steroid alene eller sammen med plasmaferese og immunglobulin givet intravenøst, men der foreligger ingen konsensus om behandlingen. Plasmaferese og immunglobulin menes at virke ved at nedsætte de myelintoksiske substanser [1, 2, 8].

Andre behandlingsmodaliteter indeholder anvendelse af dexamethason til beskyttelse mod induktion og progression af demyelinisering blandt andet ved at stabilisere blod-hjerne-barrieren, anvendelse af myoinositol under korrektionen af hyponatriæmi og behandling med karbamid, idet uræmi beskytter mod myelinolyse ved at øge den cerebrale optagelse af organiske osmolytter [5, 7].

Ved alkoholisme er det muligt, at C- og E-vitamin beskytter ved at reducere oksidativ medieret apoptose, hvorfor der foreslås behandling med højdosis tiamin ved ankomsten til hospitalet og behandling med E-vitamin, i mindre grad C-vitamin samt højenergi, hurtigt metaboliserbar føde og samtidig glukose eventuelt gennem flere uger, idet ODS først udvikles flere dage efter indlæggelsen [4]. Herudover er der stillet kontroversielle forslag om at vente med alkoholafvænning, til hyponatriæmien er behandlet, idet abstinenser i sig selv kan prædisponere for ODS.

KONKLUSION

Der findes en del studier og review, der understøtter teorien om, at sværhedsgraden af hyponatriæmi og alkoholisme/leverskade er de væsentligste prædisponerende faktorer for ODS. Tilstanden har oftest et bifasisk forløb med bedring af symptomer efter behandling af hyponatriæmien og efter få dage progredierende neurologiske symptomer. Tilstanden remitterer ofte helt eller delvis i løbet af otte uger, men oftest med permanente neurologiske skader. Diagnosen stilles ud fra symptomerne og patologiske forandringer set på MR-skanninger.

Behandlingen rettes primært mod prævention, ved at en eventuel korrektion af hyponatriæmi skal foregå langsomt (natriumkoncentration < 10 mmol/l i første døgn og < 18 mmol/l i de næste to døgn), og en for hastig korrektion skal behandles umiddelbart med hypotone væsker, indtil overkorrektionen er behandlet. Samtidig bør man undgå store og hurtige skift i natriumkoncentration hos alle patienter, specielt da man i flere studier i nyere tid har påvist, at selv patienter, der ikke har hyponatriæmi, kan rammes af tilstanden. Der bør derfor også være øget opmærksomhed på tilstanden hos hypotensive og septiske patienter, der har behov for massiv væsketerapi, hvilket medfører overhydrering og hypernatriæmi – en tilstand, der forekommer på intensivafdelinger, hvor væsketerapi med isoton natriumklorid er en grundlæggende behandling ved hypovolæmisk shock. Der findes endnu ingen valideret behandling af ODS, men der findes flere mulige behandlingsmodaliteter til bedring af prognosen, herunder steroid, plasmaferese, immunglobulin m.m.

Yderligere studier er påkrævet for at afdække det reelle omfang af ODS blandt intensivpatienter under/efter massiv væsketerapi og blandt leversyge samt for at undersøge, om det bør medføre skærpet opmærksomhed på den nuværende væsketerapi og medføre eventuelle ændringer i behandlingsstrategi hos risikogrupper.

KORRESPONDANCE: Kenn Dornonville de la Cour, Bådvej 71, 5240 Odense NØ.
E-mail: kenn_nielsen@yahoo.dk

ANTAGET: 24. oktober 2012

FØRST PÅ NETTET: 7. januar 2013

INTERESSEKONFLIKTER:

TAKSIGELSER: Tak til Radiologisk Afdeling, Odense Universitetshospital, for levering af billedmateriale.

Sidebar placering
Venstrestillet
Article type
Journal
Magazine
Section
References

<div class="story story_litteratur" id="B8AA8749-A3EF-447F-85E6-F9EE9E882956">
<h2>LITTERATUR</h2>
<ol type="d">
<li><p>Brown WD. Osmotic demyelination disorders: central pontine and extrapontine myelinolysis. Curr Opin Neurol 2000;13:691-7.</p></li>
<li><p>Lampl C, Yazdi K. Central pontine myelinolysis. Eur Neurol 2002;47:3-10.</p></li>
<li><p>Reynolds RM, Seckl JR. Hyponatraemia for the clinical endocrinologist. Clin Endocrinol 2005;63:366-74.</p></li>
<li><p>Ashrafian H, Davey P. A review of the causes of central pontine myelinosis: yet another apoptotic ilness? Eur J Neurol 2001;8:103-9.</p></li>
<li><p>Sterns RH, Silver S, Kleinschmidt-DeMasters BK et al. Current perspectives in the management of hyponatremia: prevention of CPM. Expert Rev Neurother 2007;7:1791-7.</p></li>
<li><p>Samuels MA, Seifter JL. Encephalopathies caused by electrolyte disorders. Semin Neurol 2011;31:135-8.</p></li>
<li><p>Sterns RH, Silver SM. Brain volume regulation in response to hypo-osmolality and its correction. Am J Med 2006;119:12-6.</p></li>
<li><p>Hurley RA, Filley CM, Taber KH. Central pontine myelinolysis: a metabolic disorder of myelin. J Neuropsych Clin Neurosci 2011;23:368-74.</p></li>
<li><p>Laureno R, Karp BI. Myelinolysis after correction of hyponatremia. Ann Int Med 1997;126:57-62.</p></li>
<li><p>Sterns RH. Osmotic demyelination syndrome and overly rapid correction of <br>hyponatremia. www.uptodate.com (4. jan 2012).</p></li>
<li><p>Chang Y, An D-H, Xing Y et al. Central pontine and extrapontine myelinolysis associated with acute hepatic dysfunction. Neurol Sci 2012;33:673-6.</p></li>
<li><p>Pietrini V, Mozzani F, Crafa P et al. Central pontine and extrapontine myelinolysis despite careful correction of hyponatraemia: clinical and neuropathological findings of a case. Neurol Sci 2010;31:227-30.</p></li>
<li><p>Kallakatta RN, Rahakrishnan A, Fayaz RK. Clinical and functional outcome and factors predicting prognosis in osmotic demyelination syndrome in 25 patients. J Neurol Neurosurg Psychiatry 2011;82:326-31.</p></li>
<li><p>Graff-Radford J, Fugate JE, Kaufmann TJ et al. Clinical and radiologic correlations of central pontine myelinolysis syndrome. Mayo Clin Proc 2011;86:<br>1063-7.</p></li>
<li><p>Sterns RH, Hix JK, Silver S. Treatment of hyponatremia. Curr Opin Nephrol <br>Hypertens 2010;19:493-8.</p></li>
<li><p>Biswas M Davies JS. Hyponatraemia in clinical practice. Postgrad Med J 2007;83:373-8.</p></li>
</ol>
</div>

Woodwing Id
14849
Conflict of interest
Authors workplaces

Anæstesiologisk Afdeling, Odense Universitetshospital, Svendborg Sygehus

Authors

Kenn Dornonville de la Cour

0 likes
Read time
10