Medlem i

13 years 1 month
Indholdselementer
Billede
Sidebar placering
Venstrestillet
Billede
Sidebar placering
Venstrestillet


Spontan ruptur af øsofagus (Boerhaaves syndrom) er en sjælden og livstruende tilstand, som såvel diagnostisk som behandlingsmæssigt er udfordrende. Tidlig diagnose og behandling er af afgørende betydning for prognosen, men tilstanden diagnosticeres ikke sjældent sent i forløbet.

Sygehistorier

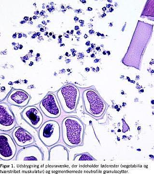
I. En 71-årig mand med asthma bronchiale blev indlagt akut med svære venstresidige brystsmerter opstået efter et kraftigt hosteanfald. Ved indlæggelsen fandt man subkutant emfysem på venstre thoraxhalvdel, diskret venstresidig pleuraekssudat, dyspnø og febrilia. På mistanke om pneumoni med empyem blev der behandlet med relevant antibiotika. Tre døgn senere viste en røntgenundersøgelse af thorax total venstresidig pneumothorax. Ved anlæggelse af pleuradræn udtømte man en tyk, brunlig væske, der ved cytologisk undersøgelse bestod af et purulent materiale med store mængder vegetabilske føderester (Figur 1 ). Syv døgn efter de primære symptomer blev der foretaget øsofagografi med vandig kontrast, hvorved der blev påvist en øsofagopleural fistel. Ved en akut venstresidig torakotomi fandt man en 15 mm lang ruptur i venstre side af den distale del af øsofagus og svært inficerede lokale forhold. Efter oprensning blev læsionen sutureret primært, og samtidig blev der gastroskopisk anlagt en covered stent (Ultraflex). På grund af lækage blev der lagt yderligere to stent, uden man opnåede tæt øsofagus, og på 27. døgn efter debutsymptomerne døde patienten.

II. En 45-årig mand med kronisk alkoholisme blev indlagt akut med svære, øvre, højresidige abdominalsmerter, opkastninger og febrilia. En røntgenundersøgelse af thorax gav mistanke om højresidig pneumoni med empyem. Ved pleuracentese blev der udtømt pus, som ved dyrkning viste vækst af E. coli -bakterier og gærsvampe. På grund af vedvarende febrilia trods relevant antibiotisk behandling og drænage af pleurahulen blev der udført CT med peroral kontrast 17 døgn efter debut af de primære symptomer, hvorved der blev påvist en ruptur af øsofagus. Ved akut thorakotomi fandt man en 20 mm lang læsion i højre side af den distale del af øsofagus og svært inficeret pleura og mediastinum. Efter oprensning blev læsionen sutureret og ultraflex-stent blev anlagt gastroskopisk. Det postoperative forløb blev kompliceret af lækage og mediastinitis, hvorfor der blev suppleret med yderligere en stent 14 dage efter den primære operation og rethorakotomi med oprensning og drænage via T-dræn 49 dage efter den primære operation. Otteogtres døgn efter den primære operation og 85 døgn efter debut af de primære symptomer var patienten i almen bedring og blev overflyttet til hjemsygehus. Der blev planlagt fjernelse af stent efter ca. 3 mdr.

Diskussion

Boerhaaves syndrom blev beskrevet første gang i 1724 af den hollandske læge Hermann Boerhaave, som ved obduktion af den hollandske flådes admiral, baron Jan van Wassenaer, fandt føderester i venstre pleurahule og en ruptur i den distale øsofagus. Dødsfaldet var forudgået af et langvarigt måltid, som blev afsluttet med selvinduceret opkastning [1]. Tilstanden er siden blevet velbeskrevet, men endvidere blevet kendt for ofte at blive diagnosticeres sent i forløbet, hvilket er relateret til en dårlig prognose.

Spontan øsofagusruptur opstår i mere end 80% af tilfældene i den distale del af øsofagus, oftest på venstre side. Spontan øsofagusruptur udløses hyppigst af opkastning, men der er beskrevet få tilfælde udløst af hoste, defækation, hikke og andre tilstande, der er relateret til forøget intraabdominalt tryk. Symptomerne på øsofagusruptur er dyspnø og intense brystsmerter, der ofte har udstråling til ryggen, epigastriet eller substernalt [1]. Symptomerne giver anledning til talrige differentialdiagnoser som akut myokardieinfarkt, pneumoni, pleuropneumoni, pneumothorax, lungeemboli, pericariditis, dissekerende aortaaneurisme, ulcus pepticum, rumperet subfrenisk abscess, øsofagitis og appendicitis [1].

Røntgen af thorax viser hydrothorax i 80-90% af tilfældene [1]. Påvisning af føderester eller ventrikelsekret med pH < 6, stort indhold af amylase og pladeepitelceller i det drænerede materiale vil være diagnostisk, men det er en sjældent udført undersøgelse. Diagnosen stilles i de fleste tilfælde ved øsofagografi med peroral vandig kontrast (Figur 2 ).

Ubehandlet fører Boerhaaves syndrom til mediastinitis med sepsis og dødelig udgang i nærved 100% af tilfældene [1]. Mortaliteten er meget afhængig af tiden fra ruptur til behandlingen iværksættes. Flere forfattere beskriver en mortalitet på 25% i de tilfælde, hvor adækvat behandling påbegyndes inden for 12 timer efter rupturen, men mortaliteten stiger efter henholdsvis 12 timer, 24 timer og 48 timer til 36%, 65% og 75-89% [2, 3]. Behandlingen er først og fremmest kirurgisk med oprensning, primær sutur og drænage [4]. Hvis operationen foretages mere end 24 timer efter rupturen, kan anvendelsen af selvekspanderende metalstent være en mulig effektiv behandling [5]. På grund af faren for disciplinering, indvækst af granulationsvæv og stenose skal stenten fjernes inden for 4-9 uger, enten gastroskopisk eller ved en minilaparotomi via ventriklen.


Doris Ejersbo Schledermann, Patologisk Institut, Vejle Sygehus, Kabbeltoft 25, DK-7100 Vejle.
E-mail: dorsch@vs.vejleamt.dk

Antaget: 13. august 2004

Interessekonflikter: Ingen angivet


  1. Janjua KJ. Boerhaave's syndrome. Postgrad Med J 1997;73:265-70.
  2. Whitehead R, ed. Gastrointestinal and oesophageal pathology. 2. udgave. Edinburgh: Churchill Livingstone, 1995:370-1.
  3. Brauer RB, Liebermann-Meffert D, Stein HJ et al. Boerhaave's syndrome: analysis of the literature and report of 18 new cases. Dis Esophag 1997;10: 64-8.
  4. Lawrence DR, Ohri SK, Moxon RE et al. Primary esophageal repair for Boerhaave's syndrome. Ann Thorac Surg 1999;67:818-20.
  5. Chung MG, Kang DH, Park DK et al. Successful treatment of Boerhaave's syndrome with endoscopic insertion of a self-expandable metallic stent. Endoscopy 2001;33:894-7.



Sidebar placering
Venstrestillet
Article type
Journal
Magazine
Section
References

<ol class="Litt-list">
<li>Janjua KJ. Boerhaave's syndrome. Postgrad Med J 1997;73:265-70.</li>
<li>Whitehead R, ed. Gastrointestinal and oesophageal pathology. 2. udgave. Edinburgh: Churchill Livingstone, 1995:370-1.</li>
<li>Brauer RB, Liebermann-Meffert D, Stein HJ et al. Boerhaave's syndrome: analysis of the literature and report of 18 new cases. Dis Esophag 1997;10: 64-8.</li>
<li>Lawrence DR, Ohri SK, Moxon RE et al. Primary esophageal repair for Boerhaave's syndrome. Ann Thorac Surg 1999;67:818-20.</li>
<li>Chung MG, Kang DH, Park DK et al. Successful treatment of Boerhaave's syndrome with endoscopic insertion of a self-expandable metallic stent. Endoscopy 2001;33:894-7.</li>
</ol>

Woodwing Id
269338
Fil
English summary

Summary Boerhaave's syndrome: A life-threatening condition which is often diagnosed too late Ugeskr L&aelig;ger 2004;166: 4486-4488 We describe two cases of spontaneous rupture of the oesophagus (Boerhaave's syndrome). A favorable outcome depends on early surgery, but the diagnosis is often delayed. The lesion may be confirmed by a contrast study of the oesophagus.

Bib ref
Ugeskr Læger 2004;166(49): 4486-4488
Authors

Reservelæge Doris Ejersbo Schledermann & 1. reservelæge Henrik Vad Odense Universitetshospital, Patologisk Institut og Thoraxkirurgisk Afdeling

0 likes
Read time
5