Medlem i

13 years 1 month
Indholdselementer
Billede
Sidebar placering
Venstrestillet
Billede
Sidebar placering
Venstrestillet


Viden om strukturelle og funktionelle cerebrale forhold er af stor betydning hos patienter med epilepsi. Det er muligt at identificere strukturelle abnormiteter hos 80% af patienterne med refraktær partiel epilepsi ved hjælp af MR-skanninger [1].

Funktionelle forandringer belyses traditionelt med EEG, men en række billeddiagnostiske metoder såsom PET og SPECT spiller også en væsentlig rolle.

MR-skanning

I 1970'erne og 1980'erne var CT den foretrukne billeddiagnostiske metode til udredning af epilepsi. Den vigtigste indikation var udredning for tilgrundliggende årsager såsom infarkt, tumor og blødninger. Med introduktion af MR i slutningen af 1980'erne fik man en metode, med hvilken man i langt højere grad var i stand til at udrede epilepsipatienter grundet metodens genuine kontrastmuligheder og multiplanare egenskaber. Herigennem blev der dannet baggrund for en langt mere differentieret diagnostik af disse patienter, idet selv tidligere ikkebilleddiagnosticerbare tilstande nu kunne påvises [2]. Kongenitte strukturelle misdannelser såsom migrationsdefekter, hæmangiomer m.m. og en række metaboliske sygdomme og syndromer kompliceret af epilepsi kan således i dag diagnosticeres med MR. Hertil kommer endvidere, at metoden indeholder en række kvantificeringsmuligheder af stor betydning for påvisningen af mesial temporal sklerose (MTS), som formentlig er den hyppigste årsag i terapiresistent temporallapsepilepsi, og som har gode operative behandlingsmuligheder. Her i landet anvendes CT stadig i udredningen, men erstattes i disse år mere og mere af MR, efterhånden som MR-kapaciteten udbygges. I MR-sammenhæng er det vigtig at gøre sig klart, at en negativ MR-undersøgelse ikke er nogen garanti for, at resultatet kan betragtes som normalt, medmindre undersøgelsen er gennemført specifikt ud fra den givne problemstilling. En rutinemæssig MR-oversigtsskanning er således i epilepsimæssig sammenhæng ikke sjældent værdiløs. De klinisk tilgængelige MR-muligheder, som findes i dag og kan udføres overalt af betydning for epilepsiudredning, er:

  1. MR-billeddannelse

  2. Hippocampusvolumetri

  3. Relaksometri

  4. Spektroskopi

De tre sidste er kvantitative metoder af speciel betydning for udredningen af MTS.

MR-billeddannelse

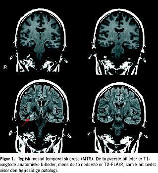
Udviklingen inden for MR har givet en række muligheder for langt hurtigere skanningssekvenser end dem, der var gældende for år tilbage. Det er i den sammenhæng vigtig at gøre sig klart, at ikke alle sekvenser er lige følsomme til påvisning af patologi. Ud fra de fysiske principper for sekvenserne må man umiddelbart antage, at de hurtige har dårligere kontrastfølsomhed og dermed lavere diagnostisk sikkerhed [3]. Dette gælder specielt for de hurtige T2-sekvenser, som mange steder er standard i dag. I udredningen af epilepsipatienter bør man derfor sikre sig, at man ud over hurtige »anatomiske« sekvenser også gør brug af mere tidskrævende kontrastmæssigt potente sekvenser som T2-FLAIR (fluid-attenuated inversion-recovery ) (Figur 1 ). Af hensyn til muligheden for at påvise strukturelle misdannelser er det endvidere vigtigt, at udredningen omfatter en tredimensional optagelse med submillimetertynde snit. Til karakteriseringen af en læsion er det vigtigt, at undersøgelsen omfatter såvel T2- som T1-vægtede sekvenser. Indgift af intravenøs kontrast er normalt kun nødvendig i forbindelse med vurderingen af en påvist tumors differentieringsgrad.

Hippocampusvolumetri

Metoden er tidligere beskrevet i Ugeskrift for Læger [4]. Den bør optimalt anvendes i tilfælde med temporallapsepilepsi eller mistanke herom. I tilfælde med MTS vil man finde reduceret volumen af hippocampus på den relevante side og oftest tillige reduceret volumen af den samsidige temporallap. Fra normalmaterialer ved man, at der er en stor variation i den normale hippocampusstørrelse, idet den er afhængig af såvel alder som side. Metoden er derfor kun velegnet til udredning af ensidige forandringer, idet den modsatte side anvendes som reference. Absolutte mål som vurderingsgrundlag er yderst usikre. Bilaterale forandringer er derfor vanskeligt diagnosticerbare. I diagnosticeringen af en ensidig hippocampusatrofi er det afgørende, at der foreligger tynde koronale snit udført vinkelret på hippocampus. I de tilfælde kan man med temmelig stor sikkerhed visuelt diagnosticere tilstanden uden brug af en egentlig volumenmåling [5].

Relaksometri

En relaksometrisk undersøgelse kan udføres med al gængs MR-udstyr i dag. Det er en speciel sekvens, hvor billedet er opbygget af pixels med direkte målte T2-værdier i vævet. Man kan således direkte på billedet udmåle vævets T2-relaksationstid. Denne værdi er forhøjet i tilfælde af gliosedannelse og kan derfor anvendes som kvantificeringsmetode i forbindelse med MTS, hvor der er gliosedannelse i hippocampus. Man kan anvende de absolutte værdier, og metoden er derfor velegnet til påvisning af bilaterale forandringer og anvendes i øvrigt typisk som en yderligere verifikation af fund ved den volumetriske undersøgelse [6]. Såfremt man ønsker at fravælge en egentlig volumetrisk undersøgelse af hippocampus, er relaksometrien en undersøgelse, der vil kunne stå alene, såfremt den resultatmæssig er entydig. Undersøgelsen er apparaturafhængig og fordrer således et normalmateriale udført lokalt. Præoperativt bør den dog være suppleret med en egentlig volumetri.

Spektroskopi

Protonspektroskopi er også en kvantificeringsmetode velegnet til påvisning af bilaterale hippocampusforandringer ved MTS og i øvrigt som yderligere verifikation af såvel de volumetriske som relaksometriske fund. Figur 2A viser et normalt spektrum. N-acetylaspartat (NAA) er en markør for neuroner, idet det kun findes her. Kreatin kan anvendes som referencetop, idet den ikke ændres i forbindelse med sygelige processer. Kolin er en markør for myelin. Ved myelinolyse stiger den. Ved MTS er der neurontab og myelinolyse, hvorfor NAA-toppen formindskes og kolintoppen stiger. Derfor anvendes forholdet NAA/(kolin + kreatin) som måleredskab til påvisning af MTS. Metoden er yderst sensitiv med en meget lille standarddeviation og dermed yderst potent til påvisning af såvel unilateral som bilateral MTS (Figur 2B).

Sidebar placering
Venstrestillet
Billede
Sidebar placering
Venstrestillet

Funktionelle undersøgelser

Funktionsændringer i hjernen hos epilepsipatienter vurderes normalt med EEG, men anvendelse af funktionelle billeddannende teknikker bidra ger også diagnostisk. I klinisk praksis er det specielt SPECT og PET, der spiller en rolle. Forskningsmæssigt arbejder man med en række metoder baseret på ændringer i hjernens elektromagnetiske aktivitet og specielle MR-teknikker bl.a. fMRI, som er en funktionel MR-undersøgelse, hvormed man på baggrund af iltet blods magnetiske egenskaber er i stand til at lokalisere aktiverede områder.

De funktionelle billeddannende undersøgelser bliver kun brugt til en mindre gruppe af epilepsipatienter. Det er først og fremmest patienter, hvor kendskab til topografien er vigtig, f.eks. kandidater til epilepsikirurgi, hvor klinik og EEG giver fingerpeg om et focus, men resultatet af en MR-skanning viser normale forhold. Endvidere benyttes de beskrevne metoder med henblik på placering af dybdeelektroder og behandlingsoptimering [7]. Der er i praksis to hovedindikationer for funktionelle skanninger. Den ene er lokalisering af det iktale focus, hvorfra den elektriske anfaldsaktivitet udgår, den anden er kortlægning af såkaldte elokvente områder, dvs. områder af cortex, som har eksplicit betydning for f.eks. bevægelse, sprog eller hukommelse. Man skelner endvidere mellem interiktale skanninger, der er foretaget mellem anfald, og iktale skanninger, der belyser forholdene under et anfald.

Ved SPECT-skanning indsprøjtes et radioaktivt gammaemiterende sporstof typisk 99m Tc-mærket hexamethyl propylen-amin-oxim (HMPAO) intravenøst. Metoden giver et øjebliksbillede af den regionale cerebrale blodgennemstrømning umiddelbart efter injektionen, men selve skanningen kan godt foregå flere timer senere. Hvis sporstoffet indsprøjtes umiddelbart i forbindelse med start af et partielt epileptisk anfald, ser man ofte øget aktivitet i det epileptogene focus, mens der i dette område ses nedsat eller normal aktivitet på en interiktal skanning. Oftest foretages både en iktal og en interiktal skanning, og de sammenholdes. Det er muligt at foretage SPECT på en række større danske sygehuse.

I forbindelse med PET indsprøjtes der ligeledes et radioaktivt sporstof. Dette udsender positroner, som ved vekselvirkning med elektroner i kroppen udsender to gammakvanter. Velegnede PET-faciliteter findes i Danmark på Rigshospitalet og på Århus Sygehus. Metoden er resursekrævende.

De to mest anvendte sporstoffer er 18 F-mærket fluorodeoxyglukose (FDG) som mål for metabolisme og 15 O-mærket vand som mål for blodgennemstrømning. FDG er en glukoseanalog, som optages i neuroner over ca. en halv time. Hvor meget, der optages i forskellige regioner, afspejler således metabolismen i disse områder. Tidsvinduet er alt for langt til, at man kan gøre sig forhåbninger om at registrere de funktionelle ændringer af metabolismen ved starten af epileptiske anfald, men metoden kan vise defekt optagelse i det epileptiske focus ved interiktale optagelser. Blodgennemstrømningsmålinger måler over tidsvinduer på ca. 90 sekunder, hvilket giver mulighed for identifikation af elokvente områder.

Iktal SPECT, specielt kombineret med interiktal SPECT, har betydning, når operationsindikationen skal stilles. Specielt har man mulighed for at substrahere den interiktale SPECT fra den iktale SPECT og superponere dette forskelsbillede på en strukturel MR-skanning. Denne metode kaldes subtraction ictal SPECT co-registered to MRI (SISCOM). Værdien af interiktal SPECT uden ledsagende iktal SPECT synes at være ret begrænset. Interiktal PET og iktal SPECT har sammenlignelig sensitivitet mht. til focuslateralisering hos patienter med temporallapsepilepsi (75-95%) [8], men iktal SPECT er at foretrække, når der ikke foreligger MR-påviste abnormiteter [9]. Både PET er SPECT har større følsomhed ved ensidige end ved dobbeltsidige forandringer [7]. Ønsker man at identificere elokvent cortex spiller flowmålinger med PET en vis rolle, ligesom man må forvente, at specielle MR-teknikker vil få tiltagende betydning i fremtiden.

Specielt SPECT benyttes hyppigt klinisk pga. muligheden for iktal focuslokation. Indikationen afhænger en del af epilepsitype og øvrige diagnostiske fund og muligheder. Blandt de patienter, der vurderes med henblik på epilepsikirurgi i Danmark, får to ud af tre foretaget SPECT. Den fremtidige brug af PET og SPECT afhænger dels af udviklingen inden for andre billeddannende undersøgelsesmetoder, dels af nye retningslinjer vedrørende brug af blandt andet intrakraniale elektroder.


Troels W. Kjær, Neurofysiologisk Klinik NF3063, H:S Rigshospitalet, DK-2100 København Ø. E-mail: neurology@dadlnet.dk

Antaget: 25. juni 2004

Interessekonflikter: Ingen angivet




Sidebar placering
Venstrestillet
Article type
Journal
Magazine
Section
References

<ol class="Litt-list">
<li>Rugg-Gunn FJ, Eriksson SH, Symms MR et al. Diffusion tensor imaging of cryptogenic and acquired partial epilepsies. Brain 2001;124:627-36.</li>
<li>King AK, Newton MR, Jackson GJ et al. Epileptology of the first-seizure presentation:a clinical, electroencephalographic, and magnetic resonance study of 300 consecutive patients.</li>
<li>Lancet 1998;352:1007-11.</li>
<li>Jack CR jr, Rydberg CH, Krecke KN et al. Comparison of FLAIR and spin echo MR imaging in the diagnosis of mesial temporal sclerosis. Radiology 1996;199:367-73.</li>
<li>Christensen T, Pedersen B, Jensen FT. MR-skanning ved kompleks partiel epilepsi. Ugeskr Læger 1996;158:5624-6.</li>
<li>Sørensen JS, Jensen FT, Andersen PB et al. Er visuel bedømmelse af MR-skanning tilstrækkelig ved udredning af patienter med temporallapsepilepsi? Ugeskr Læger 2001;163:6271-4.</li>
<li>Jackson GD, Connelly A, Duncan JS et al. MRI detection of hippocampal pathology in temporal lobe epilepsy: Increased sensitivity using quantative T2 relaxometry. Neurology 1993; 43:1793-9.</li>
<li>Henry TR, van Heertum RL. Positron emission tomography and single photon emission computed tomography in epilepsy care. Semin Nucl Med 2003;33:88-104.</li>
<li>Rosenow F, Luders H. Presurgical evaluation of epilepsy. Brain 2001;124:1683-700.</li>
<li>Ho SS, Berkovic SF, Berlangieri SU et al. Comparison of ictal SPECT and interictal PET in the presurgical evaluation of temporal lobe epilepsy. Ann Neurol 1995;37:738-45.</li>
</ol>

Woodwing Id
267334
Fil
English summary

Summary Imaging as a tool in the diagnosis of epilepsy Ugeskr L&aelig;ger 2004;166:3912-3915 Structural and functional imaging plays a central role in the workup of patients with epilepsy. State-of-the-art imaging techniques include magnetic resonance imaging (MRI), MR hippocampal volumetry, relaxometry, MR spectroscopy (MRS), single-photon emission computed tomography (SPECT) and positron emission tomography (PET). Functional imaging may be performed to identify the zone of ictal onset or to identify the eloquent cortex. The appropriateness of the various methods varies from patient to patient, depending on the clinical problem presented and the results of other tests.

Bib ref
Ugeskr Læger 2004;166(44):3912-3915
Authors

Afdelingslæge Troels Wesenberg Kjær & overlæge Thorkil Christensen H:S Rigshospitalet, Neurofysiologisk Klinik, og Aalborg Sygehus, Røntgenafdelingen

0 likes
Read time
9