Medlem i

12 years 10 months
Indholdselementer

Dislokation af hofteledsalloplastik er almindeligt forekommende på de fleste skadestuer. I denne kasuistik beskrives en yderst sjælden tilstand: bilateral luksation af total hofteledsalloplastik (THA) efter fald på en trappe.

 

SYGEHISTORIE

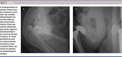
En 77-årig mand, som havde et alkoholoverforbrug, hjertesygdom og nedsat syn, blev indbragt som skadepatient med smerter i begge hofter efter at være faldet få trin på en trappe. Han havde i hhv. 1995 og 2007 fået bilateral THA. Angiveligt havde han ikke haft nogen tidligere luksationer. Ved den objektive undersøgelse fandtes højre underekstremitet at være indadroteret, og den venstre var flekteret. Trochanterpartiet var bagudtrukket på begge sider. Patienten var svært smerteforpint; smerterne stammede primært fra højre hofte. En røntgenoptagelse viste bilateral bagre dislokation uden tegn til frakturer (Figur 1). Røntgenoptagelsen var vanskeliggjort af svære smerter hos patienten. Fem timer efter ankomsten blev han anæsteseret, hvorefter proteserne kunne reponeres, begge ved vertikalt træk med patienten i rygleje. Proteserne blev testet og fundet stabile til 40 graders udadrotation på 90 graders fleksion og 0 graders adduktion. Repo-

sitionen blev dokumenteret ved peroperativ gennemlysning. Patienten blev mobiliseret frit efter opvågning, men havde dog behov for krykkestokke. Ved en røntgenkontrol sås begge proteser in situ; der var ingen frakturtegn og god stilling af protesekomponenterne. Patienten blev vurderet af hhv. en fysio- og e ergoterapeut. Bevægerestriktionerne blev genopfrisket, og der blev udleveret hjælpemidler, hvorefter han kunne udskrives efter en samlet indlæggelsestid på fire døgn. Der blev ikke foretaget yderligere opfølgning, men han blev genindlagt efter 11 mdr. og efter yderligere 14 dage med luksation på højre side. Begge gange pga. overskridelse af bevægerestriktionerne og uden traume. En efterfølgende ambulant kontrol mhp. vurdering af mulig revison af den højresidige THA mundede ud i fortsat konservativ behandling.

Sidebar placering
Venstrestillet
Billede
Sidebar placering
Venstrestillet

 

 

DISKUSSION

I Danmark indsættes der årligt ca. 9.000 primære THA og 1.300 revisions-THA. Primære THA indsættes hovedsageligt hos patienter med artrose; i mindre omfang som følge af fraktur [1]. Hertil kommer et antal hemialloplastikker som følge af disloceret collum femoris fraktur. Ledskred som komplikation i forbindelse med THA sker hos 2-4%, oftest når der ved operationen var anvendt bagre adgang [2]. Luksationer sker oftest inden for tre mdr. postoperativt, og tre fjerdedele af alle luksationer sker inden for det første år efter indsættelsen af THA [2]. Enkelte får gentagne luksationer, hvilket oftest medfører revision. Hyppigheden øges ved gentagne indgreb [2].

Luksationer forekommer, når protesen kommer i yderstillinger – især hyperfleksion med samtidig indadrotation, hvor protesehovedet kan føres ud af ledskålen. De hyppigste årsager er uhensigtsmæssige

bevægelser (samtidig fleksion, adduktion og indad-

rotation), f.eks. ved påtagning af strømper, og fald. Patienterne er ofte ældre eller demente personer, men tendensen til luksationer øges også ved f.eks. alkoholoverforbrug [2]. Suboptimal eller ukorrekt placering af komponenterne disponerer ligeledes til luksationer [2].

Dislokation opleves oftest som meget smertefuld. Patienten har en fejlstillet underekstremitet (typisk semiflekteret og indadroteret), hofteleddet kan ikke flektere og rotere, og der er smerter i den dislocerede side. Differentialdiagnostisk skal man overveje periprotetisk fraktur, og patienten udredes derfor altid med røntgenfotografering af den relevante hofte.

Luksation af THA kan medføre påvirkning af nerveforsyningen i underekstremiteten, og akut reposition er derfor nødvendig [2]. Repositionen kan oftest udføres lukket, men åben reposition kan være nødvendig. Der kan benyttes enten kortvarig rus eller fuld anæstesi. Hvis der ikke er komplicerende faktorer, kan patienten mobiliseres som vanligt efter reposition [2, 3]. Bilateralt ledskred af THA er en sjælden tilstand, som ikke tidligere er beskrevet, hvorimod der er flere observationer af bilaterale, traumatiske luksationer hos raske, oftest yngre personer, der havde haft større traumer [4, 5]. Patienter med bilateral THA og traume har i reglen kun luksation i den ene side [2]. Der er naturlige variationer i stabiliteten af alloplastikker, og dette – sammen med traumets art – er formentlig årsagen til, at kun den ene alloplastik lukserer. Hos patienten i sygehistorien var der et større traume. Vi antager, at luksationerne ikke er opstået samtidigt, men som en konsekvens af to på hinanden umiddelbart følgende distorsioner i forbindelse med faldet.

 

KORRESPONDANCE: Niels Jørgen Thomsen, Tietgensgade 70, 1., 1704

København V. E-mail: niels@babel.dk

ANTAGET: 22. januar 2013

Publiceret på Ugeskriftet.dk: 1. juli 2013

INTERESSEKONFLIKTER: ingen.

Sidebar placering
Venstrestillet
Article type
Journal
Magazine
Section
References

<h2>LITTERATUR</h2>
<ol type="d">
<li><p>Overgaard S, red. Dansk hoftealloplastik register. Årsrapport 2012:143. www.dhr.dk/Ny%20mappe/rapporter/DHR%20%C3%A5rsrapport%202012%<br>20fina…;
<li><p>Kjærsgaard-Andersen P, red. Total hoftealloplastik. Referenceprogram. København: Dansk Ortopædisk Selskab og Dansk Selskab for Hofte- og Knæalloplastik, 2006.</p></li>
<li><p>Patel PD, Potts A, Froimson MI. The dislocating hip arthroplasty: prevention and treatment. J Arthroplasty 2007;22(suppl 1):86-90.</p></li>
<li><p>Singh AP, Sidhu AS. Traumatic bilateral hip dislocation with bilateral sciatic nerve palsy. Chin J Traumatol 2010;13:126-8.</p></li>
<li><p>Lopez-Sanchez M, Kovacs-Kovacs N. Bilateral asymmetric traumatic hip dislocation in an adult. J Emerg Med 2006;31:429-31.</p></li>
</ol>

Woodwing Id
25188
Conflict of interest
English title
Bilateral traumatic dislocation of both total hip arthroplasties
English summary

A 77-year-old man was brought to the emergency department after a fall on stairs. X-rays showed bilateral dislocation of both total hip arthroplasties (THA). Dislocation of THA occurs in 2-4% of the patients, most often within three months post-operatively, and for three fourths of the cases within the first year, often due to lack of observing movement restrictions, fails or malpositions of the components. Bilateral THA dislocation is a rare occurrence. It may be assumed that the dislocations did not occur simultaneously but rather as two successive dislocations.

Authors workplaces

1) Ortopædkirurgisk Afdeling, Køge Sygehus
2) Ortopædkirurgisk Afdeling, Bispebjerg Hospital

Ugeskr Læger 2014;176:V11120674

Bib ref
Ugeskr Læger 2014;176:V11120674
Authors

Niels Jørgen Thomsen1, Nasir Musa Al-Mashkur2 & Jesper Hvolris2

0 likes