Medlem i

13 years 1 month
Indholdselementer
Billede
Sidebar placering
Venstrestillet
Billede
Sidebar placering
Venstrestillet


I de senere årtier har der i befolkningen været en stigende efterspørgsel efter skønhedskirurgi. Til udbedring af aldersrelaterede ændringer i bløddelsvæv og hud kan der anvendes injektion af bløddelsfyldere. Injektionerne udføres primært af sygeplejersker, læger uden subspeciale, plastikkirurger, øre-næse-hals-læger og hudlæger. Bløddelsfyldere anvendes desuden til behandling af traume- og hiv-patienter. Sidstnævnte kan få lipoatrofi i ansigtet som følge af den antiretrovirale behandling [1].

Der eksisterer i dag et bredt spektrum af bløddelsfyldere. Uanset hvilket produkt man vælger, er det vigtigt, at det er nemt at administrere, samtidig med at det giver et kosmetisk godt resultat. Materialet må hverken være toksisk, immunogent eller karcinogent, og det skal være 100% sterilt. Nogle bløddelsfyldere har fået deres egen niche, mens andre efterhånden er blevet fravalgt pga. komplikationer [2, 3].

Inddeling

Kosmetiske bløddelsfyldere kan anvendes til injektion i enten subcutis eller dermis, afhængigt af produktets oprindelse. Biologiske produkter kan være autologe (væv eller dyrkede celler fra patienten selv), allogene (væv fra kadavere) eller xenogene (væv fra dyr eller deres produkter). Autolog fedttransplantation er tidskrævende, og resultaterne er varierende pga. en uforudsigelig resorptionshastighed [4].

Syntetiske produkter er langt de hyppigst anvendte. De udgøres enten af nedbrydelige eller permanente polymergeler eller af langsomt nedbrydelige eller permanente kombinationsgeler bestående af mange små hårde fragmenter opslemmet i en nedbrydelig transportgel.

Fordi materialerne varierer i deres biologiske og kemiske egenskaber kan interaktionen med det omgivende væv medføre forskellige komplikationer [5]. En beskrivelse af de vigtigste polymer- og kombinationsgeler ses nedenfor.

Sidebar placering
Venstrestillet
Billede
Sidebar placering
Venstrestillet



Permanente syntetiske produkter

I 1960'erne blev silikonegel introduceret til skønhedskirurgi. Forbruget af silikonegel er faldende, hvilket skyldes konkurrencen fra de nyere fyldningsgeler samt risikoen for inflammatoriske noduli og granulomer og risikoen for migration [2, 3, 5]. Silikonegel er hydrofob og ligger som små afrundede dråber i vævet.

Polyakrylamidgel blev ved sin introduktion primært anvendt i det tidligere Sovjetunionen [5], men er siden 2000 blevet anvendt først i Europa og derefter i Australien, Korea, Japan og Indien [4, 6]. Gelen består af 2,5% polyakrylamid og 97,5% vand, der er i konstant udveksling med vandmolekyler i omgivelserne. Gelen ligger rundt om bindevævsfibre og fedtceller som en integreret del af vævet [5-7]. Af polyakrylamidgeler kan bl.a. nævnes Aquamid.

En opslæmning af kollagen og små, ikkenedbrydelige mikrosfærer af polymethylmethacrylat (Artecoll) blev markedsført i 1991 [5]. Mikrosfærerne ligger i vævet som små, runde, ens kugler omgivet af en intenderet fremmedlegemereaktion med fibrose. Anvendelsen har været begrænset af, at 1-5% af de patienter, der udsættes for bovint kollagen, potentielt sensibiliseres [8]. Priktest skal foretages før injektionen og bør gentages efter 1-2 uger, idet 1-2% vil få allergiske reaktioner trods negativ initialtest.

En opslæmning af den nedbrydelige hyaluronsyre og ikkenedbrydelige mikrofragmenter af polyhydroxyethylmethacrylat/ethylmethacrylat (DermaLive) [5] blev markedsført i 1998 og har siden været anvendt til permanent bløddelsfyldning fortrinsvis i Europa. Fragmenterne ligger ligesom kuglerne i vævet, omgivet af en intenderet fremmedlegemereaktion med fibrose.

Nedbrydelige syntetiske produkter

Zyderm og Zyplast er nedbrydelige bløddelsfyldere, der næsten udelukkende er baseret på bovint kollagen. Siden deres introduktion på markedet i henholdsvis 1981 og 1985 har de været anvendt til behandling af mere end 1,5 mio. patienter. Deres anvendelse er i dag aftagende.

En opslæmning af det nedbrydelige sukkerstof mannitol og degraderbare mikropartikler af det langsomt nedbrydelige carbomethoxycellulose- polylactic syre (New-Fill) blev introduceret for få år siden [5]. Ligesom de øvrige kombinationsgeler opnås den kosmetiske effekt via en fremmedlegemereaktion med følgende fibrose. Mikropartiklerne nedbrydes langsomt over ca. tre år.

Alloderm, Cymetra og Dermalogen er alle eksempler på bløddelsfyldere, der er udvundet af væv fra mennesker, men deres anvendelse er stærkt begrænset.

Restylane, Perlane, Hylaform, Hyalite, Captique, Reviderm og Esthelis er eksempler på hyaluronsyrebaserede geler. Hyaluronsyre er et mukopolysakkarid, der findes naturligt i bl.a. bindevæv, synovialvæske og corpus vitreum. Hyaluronsyrebaserede bløddelsfyldere er de hyppigst anvendte til midlertidig rynkereduktion.

Valg af bløddelsfylder

Den konstante udvikling af nye produkter bevirker, at den behandlende terapeut kontinuerligt skal revurdere sit valg af bløddelsfyldere. Kvaliteten af indgrebet afhænger af terapeutens erfaring og omhu, patientens samarbejdsvillighed og materialets egenskaber. Varigheden og heterogeniteten af de forskellige produkter giver muligheden for at vælge forskellige fyldere ud fra den anatomiske region og patientens ønsker. Nogle terapeuter foretrækker at injicere hurtigt resorberende materialer initialt for senere at gentage proceduren med en permanent bløddelsfylder. Patienten bør informeres om varigheden af den valgte bløddelsfylder og om dens bivirkninger, så indgrebet kan foretages på et velovervejet grundlag.

Kontraindikationer

Terapeuten skal forholde sig kritisk til alle patienter, der søger behandling. I anamnesen bør der især lægges vægt på aktuelle lidelser og nylige operationer eller behandlinger, der kan forårsage bakteriæmi. Som regel vil producenten af bløddelsfylderen vedlægge en oversigt over tilstande, der kontraindicerer injektion. Nedsat immunforsvar, autoimmune sygdomme, kortikosteroidbehandling, graviditet, igangværende infektion, antibiotikabehandling, sukkersyge eller aktiv hudsygdom bør som regel kontraindicere indgrebet [5, 7].

Det er afgørende for det endelige resultat, at injektionen foregår under strengt sterile forhold. Patienterne skal efter indgrebet informeres om at undgå at eksponere området for bakterier ved f.eks. berøring eller anvendelse af makeup.

Komplikationer

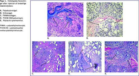
Alle bløddelsfyldere kan medføre komplikationer, men de varierer i hyppighed og sværhedsgrad afhængig af produktvalg. Eksempler på histologiske ændringer kan ses i Figur 1 .

Akutte og oftest for bigående komplikationer omfatter ødem, rødme, ømhed og kløe. Mere alvorlige komplikationer, der karakteristisk optræder 2-3 uger efter injektionen, er bakteriel infektion. Disse er sjældne ( < 0,1%). De ses efter injektion af vandopløselige geler, såsom kollagener, hyaluronsyre og polyakrylamidgel.

Komplikationer på længere sigt er ligeledes sjældne og omfatter bl.a. hårde granulomer (Figur 2 ) eller noduli, fibrose, keloiddannelse, dysæstesi, migration samt fistulering og ulceration [5, 9]. Disse ses efter injektion af silikonegel og kombinationsgelerne [5]. Fremmedlegemereaktion er et normalt vævsrespons på et injiceret fremmedlegeme. Omfanget af dette respons afhænger af den injicerede mængde, materialets biologiske egenskaber og tilstedeværelse af bakterier. Såfremt injektionen har været usteril, kan der opstå fremmedlegemeinfektion. Denne ses mikroskopisk som en blanding af det injicerede materiale, makrofager og kæmpeceller. Ofte finder man ingen bakterier, hverken ved dyrkning eller mikroskopi [5, 9], og reaktionen tolkes ofte fejlagtigt som en forsinket allergisk reaktion. Meget tyder imidlertid på, at granulomdannelse skyldes bakteriel vækst i en biofilm omkring de injicerede mikropartikler eller de hydrofobe silikonedråber og en heraf følgende aragtig fibrose [5].

Håndtering af komplikationer

Der er ikke bred enighed om behandlingen af komplikationer efter injektion med bløddelsfyldere. Producenterne har ofte forskellige behandlingsrekommandationer, og det påhviler derfor den behandlende terapeut at stille en hurtig diagnose og initiere den korrekte behandling. Mange terapeuter forsøger ofte initialt behandling med kortikosteroid i form af systemisk indgift eller som injektion, idet reaktionerne tolkes som allergiske. Disse er imidlertid sjældne, men er set efter injektion med bl.a. Artecoll og DermaLive [6, 9].

Der er generel enighed om, at sene komplikationer efter injektion skyldes bakteriel infektion. Korrekt behandling består derfor i oral indgift af et bredspektret antibiotikum, f.eks. quinoloner 500 mg × 2 dagligt i 5-45 dage, afhængig af sværhedsgrad [7]. Ikke steroide antiinflammatoriske stoffer og kortikosteroid er kontraindicerede, idet de kan svække det immunologiske respons og øge infektionen.


Jacob Pontoppidan Thyssen, Porcelænshaven 5H, 2. th. DK-2000 Frederiksberg.

E-mail: pthyssen@hotmail.com

Antaget: 12. september 2006

Interessekonflikter: Ingen angivet




Sidebar placering
Venstrestillet
Article type
Journal
Magazine
Section
References

<ol class="Litt-list">
<li>Gooderham M, Solish N. Use of hyaluronic acid for soft tissue augmentation of HIV-associated facial lipodystrophy. Dermatol Surg 2005;31:104-8.</li>
<li>Rudolph CM, Soyer HP, Schuller-Petrovic S et al. Foreign body granulomas due to injectable aethetic microimplants. Am J Surg Pathol 1999;23:113-7.</li>
<li>Requena C, Izquierdo MJ, Navarro M et al. Adverse reactions to injectable aesthtic microimplants. Am J Dermatopathol 2001;23:197-202.</li>
<li>Castor SA, Wyatt CT, Papay FA. Lip augmentation with Alloderm acellular allogenic dermal graft and fat autograft: A comparison wiht autologous fat injection alone. Aesth Plast Surg 1999;23:218-23.</li>
<li>Christensen L, Breiting V, Janssen M et al. Adverse reactions to injectable soft tissue permanent fillers. Aesthetic Plast Surg 2005;29:34-48.</li>
<li>Christensen LC, Breiting VB, Aasted A et al. Long term effects of polyacrylamide hydrogel (PAAG, Interfall/Contura SA) in human breast tissue. Plast Reconstr Surg 2003;111:1883-8.</li>
<li>Christensen L, Breiting V, Vuust J et al. Adverse reactions following injection with a permanent facial filler, polyacryl amide hydrogel (Aquamid) causes and treatment. European Journal of Plastic Surgery 2006, online.</li>
<li>Kamer FM, Churukian MM. Clinical use of injectable collagen. Arch Otolaryngol 1984;110:93-8.</li>
<li>Thyssen JP, Menné T. Allergic reaction to hydroxyethylmethacrylate following intradermal filler injection. Contact Dermatitis 2005;52:341-2.</li>
</ol>

Woodwing Id
242035
Fil
Bib ref
Ugeskr Læger 2007;169(23):2198-2201
Authors

Læge Jacob Pontoppidan Thyssen, overlæge Lise H. Christensen & overlæge Claus O.C. Zachariae Gentofte Hospital, Dermatologisk Afdeling, og Bispebjerg Hospital, Patologisk Afdeling

0 likes