Medlem i

12 years 10 months
Indholdselementer

Isoleret bækkenvenetrombose er en relativt sjælden tilstand, der kan overses ved UL-skanning af vena femoralis [1, 2]. Prædisponerende faktorer er kasuistisk beskrevet [1]. Særligt er nævnt patologi i bækkenregionen, f.eks. inflammatorisk tarmsygdom, traume, malignitet, kirurgi og kejsersnit. Tilstanden er også beskrevet hos patienter, der ikke havde andre risikofaktorer end brug af p-piller. Venstresidig bækkenvenetrombose er ofte forårsaget af stenose i vena iliaca [3].

SYGEHISTORIE

En 17-årig kvinde henvendte sig på skadestuen pga. pludseligt opståede lændesmerter med udstråling til venstre underekstremitet to dage tidligere. Hun var normalvægtig og havde ingen risikofaktorer for dyb venøs trombose (DVT), ud over at hun havde taget andengenerations-p-piller igennem tre måneder.

Ved en objektiv undersøgelse fandt man, at hele venstre underekstremitet til lyskeniveau var let hævet, men ellers upåfaldende uden varme eller rødme. Blodprøver var inden for normalområdet fraset D-dimerkoncentration på 16 mg/l (referenceværdi: < 0,5 mg/l) og C-reaktivt proteinkoncentration på
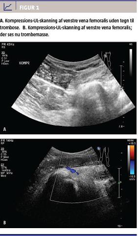
29 mg/l (referenceværdi: < 10 mg/l). Patienten var afebril, der var normalt resultat af elektrokardiogram og upåfaldende arteriegasanalyse. En UL-skanning samme dag viste ikke tegn til trombose i vena poplitea eller v. femoralis (Figur 1A).

Patienten blev sendt hjem, men genhenvist tre dage senere pga. forværring af symptomerne med tiltagende smerter i lænden og lysken. Ved en objektiv undersøgelse blev der fundet hævelse af hele venstre underekstremitet til lyskeniveau og rødme/varme ved de dybe vener på femur. UL-skanning af venstre underekstremitet og nedre abdomen blev gentaget, og her blev der påvist trombose af v. poplitea, v. femoralis, v. iliaca externa og communis til v. cava inferior, som ikke var inddraget (Figur 1B).

Pga. tromboseret v. poplitea var det ikke muligt at udføre akut kateterbaseret trombolyse. Patienten blev indlagt og behandlet med lavmolekylært heparin i terapeutisk dosering. Ved en fornyet UL-skanning af v. poplitea få dage senere fandt man denne åben, og hun blev overflyttet til en karkirurgisk afdeling. Her blev hun behandlet med kateterbaseret trombolyse og efterfølgende stentanlæggelse af en tilgrundliggende stenose i venstre v. iliaca communis.

Trombofiliscreening var upåfaldende. Der blev planlagt 12-månedersantikoagulationsbehandling pga. stentanlæggelse.

Sidebar placering
Venstrestillet
Billede
Sidebar placering
Venstrestillet

DISKUSSION

Patienten havde med overvejende sandsynlighed haft en isoleret bækkenvenetrombose ved den initiale henvendelse, idet hele benet var hævet til lyskeniveau, og der var højt D-dimerniveau, selvom UL-skanning gav negativt resultat.

Kompressions-UL-skanning har høj sensitivitet mhp. påvisning af førstegangs-DVT i v. poplitea og v. femoralis [4], men undersøgelsen har lav sensitivitet, når det drejer sig om påvisning af isoleret bækkenvenetrombose ved skanning af v. femoralis [1, 2].

Man anbefaler generelt reskanning efter en uge, hvis den første UL-sundersøgelse er negativ, og der er klinisk tegn til DVT og forhøjet D-dimer [4]. Denne strategi kan, som dette tilfælde illustrerer, igangsættes for sent, idet tromben var hastigt progredierende, og allerede efter tre dage var der udtalt trombosering af hele venstre underekstremitet.

I en lignende sygehistorie præsenteret af Bra-mante et al. [5], foreslås det, at man supplerer UL-undersøgelsen, hvis man har mistanke om bækken

venetrombose (hævelse til lyskeniveau). Der foreslås følgende: medskanning af bækkenvener, opmærksomhed på dilateret v. femoralis, som kræver betydelig kraft at komprimere, ophævet respirationssynkron Doppler-flow eller turbulent flow i v. femoralis. Alle er tegn, der kan indikere mere proksimal DVT.

En UL-skanning bør altid inkludere skanning af bækkenvener og v. cava inferior. Er undersøgelsen inkonklusiv, kan reskanning efter 12 timers faste forsøges. Hvis dette pga. f.eks. adipositas ikke er muligt, kan supplerende billeddiagnostik anvendes, f.eks. MR- eller CT-venografi [2].

I studiet af Broholm et al [3] skønnes det, at ca. 15% af samtlige DVT-tilfælde er iliofemorale tromboser, og der henvises kun 15-20 patienter årligt til kateterbaseret trombolyse. Det anslås, at der burde være omkring 200 mulige kandidater årligt. Isoleret bækkenvenetrombose er, omend sjælden, alvorlig med høj risiko for lungemboli og posttrombotisk syndrom, og som illustreret i denne sygehistorie hurtigt progredierende og skal haves in mente ved hævelse til lyskeniveau og negativ UL-skanning.

Korrespondance: Morten Roos Stenberg, Medicinsk Afdeling, Odense
Universitetshospital, Svendborg Sygehus, Valdemarsgade 53, 5700 Svendborg.
E-mail: m_stenberg@dadlnet.dk

Antaget: 18. september 2013

Publiceret på Ugeskriftet.dk: 13. januar 2014

Interessekonflikter: ingen.

Sidebar placering
Venstrestillet
Article type
Journal
Magazine
Section
References

<h2>
<h2>LITTERATUR</h2>
<ol type="d">
<li><p>Wileman J. Preventing deaths in ambulatory care from isolated pelvic vein deep vein thrombosis: mortality and mortality meetins have a key role. Acute Medicine 2011;10:83-4.</p></li>
<li><p>Spritzer CE, Arata MA, Freed KS. Isolated pelvic deep venous thrombosis: relative frequency as detected with MR imaging. Radiology 2001;219:521-5.</p></li>
<li><p>Broholm R, Just S, Jørgensen M et al. Akut iliofemoral venøs trombose bør behandles med kateterbaseret trombolyse. Ugeskr Læger 2012;174:930-3.</p></li>
<li><p>Sejersen HM, Nielsen HK, Thyssen JP et al. Dyb venetrombose – epidemiologi, diagnose og behandling. Ugeskr Læger 2007;169:109.</p></li>
<li><p>Bramante RM, Raio CC. Near-miss in focused lower-extremity ultrasound for deep venous thrombosis. J Emerg Med 2013;45:236-9.</p></li>
</ol>
</h2>

Woodwing Id
51026
Fil
Conflict of interest
English title
Pelvic vein thrombosis with elevated D-dimer level and normal ultrasound scan of the femoral vein
English summary

A 17-year-old female presented with an isolated pelvic vein thrombosis (PVT) which was not visualised at the first compression ultrasound scan of the femoral vein. Isolated PVT should be suspected when the patient demonstrates the possible symptoms of a deep vein thrombosis with unilateral leg swelling extending to the groin and a negative compression ultrasound scan of the femoral vein. Supplemental ultrasound scan with Doppler flow, computed tomography or magnetic resonance venography are alternative diagnostic modalities if PVT is suspected.

Authors workplaces

Medicinsk Afdeling, Odense Universitetshospital, Svendborg Sygehus

Ugeskr Læger 201
4
;176
:V05130306

Bib ref
Ugeskr Læger 2015;177:V05130306
Article number
V05130306
Authors

Morten Roos Stenberg & Claus Tveskov

0 likes