Medlem i

12 years 10 months
Indholdselementer
Billede
Sidebar placering
Venstrestillet


Avaskulær knoglenekrose i trochlea humeri er en sjældent forekommende lidelse hos børn. Nedenfor beskrives fundet af avaskulær knoglenekrose i trochlea humeri efter et mindre albuetraume.

Sygehistorie

Ved et fald på strakt arm pådrog en 12-årig dreng sig et mindre traume i venstre albue. Drengen havde som niårig pådraget sig et traume i samme albue efter fald under rulleskøjteløb. Dengang blev der ikke påvist nogen frakturer ved røntgen, og patienten var i den mellemliggende periode symptomfri. Der foreligger ingen sportsanamnese for perioden op til traumet.

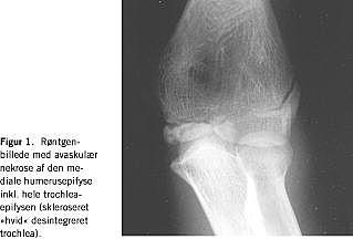
Ved den kliniske undersøgelse efter det aktuelle traume fandt man i forhold til den raske albue en let aktiv bevægeindskrænkning på fem grader grundet smerter. Den passive bevægelighed var normal, men med let ømhed ved fuld supination. En røntgenundersøgelse viste et mindre intraartikulært hæmatom og ingen frakturer, men avaskulær nekrose af den mediale humerusepifyse inkl. hele trochlea-epifysen (skleroseret »hvid« desintegreret trochlea) (Figur 1 ).

Han blev behandlet med en collar-n-cuff i tre dage, og derefter blev der påbegyndt såvel aktiv som passiv mobilisering med tiltagende belastning.

Ved en followupundersøgelse tre uger senere var der ingen bevægeindskrænkning eller ømhed. Patienten havde en valgusvinkel på otte grader i begge albuer. Bevægeudstrækningen var minus 10 (hyperekstension) til 130 grader. Supination og pronation var normal og smertefri. En røntgenundersøgelse viste uændret isoleret avaskulær nekrose af trochlea. En røntgenundersøgelse af den kontralaterale albue viste normale forhold.

Ved en followupundersøgelse 6 mdr. senere var alle tegn på røntgenologisk avaskulær knoglenekrose forsvundet.

Diskussion

Avaskulær nekrose af trochlea humeri er en meget sjælden lidelse. Den er beskrevet bl.a. som komplikation til distale humerusfrakturer hos børn [1, 2] og som komplikation ved kombinationskemoterapi hos børn med akut lymfoblastær leukæmi [3].

Isoleret avaskulær nekrose eller osteokondrose af capitulum humeri som en komplikation efter et mindre albuetraumer uden frakturer opstået uger til måneder efter traumet er beskrevet af Panner i 1929 [4]. Han beskrev tilstanden som idiopatisk, nogle gange bilateral, og enten asymptomatisk eller symptomgivende i form af smerter, bevægeindskrænkning og aflåsningstilfælde. Dog sjældent, om overhovedet nogensinde, medførende fejlvækst af epifyserne.

Blodforsyningen til trochlea humeri-epifysen sker via to små arterier. Den ene passerer gennem den ikkeartikulerende brusk medialt og forsyner denne del af trochlea. Den anden løber gennem den bageste del af metafysen og forsyner den laterale trochlea og den mediale del af capitulum. Disse arterier er funktionelle endearterier i hvert fald indtil lukningen af epifyseskiverne, hvor man ofte ser, at de anastomoserer med de metafysale arterier [1, 2]. Afbrydelse af begge arterier fører til fuldstændig trochleanekrose [5] og efterfølgende bevægeindskrænkning [2].

Den normale trochleaossifikation udgår fra en knoglekerne. Som en normalvariant findes der trochleaossifikation med ossificering udgående fra flere kerner. Dette giver epifysen en ujævn fremtræden. Der er dog så vidt vides aldrig beskrevet en normalvariant både med ossificering udgående fra flere kerner og med den intense hvide sklerosering, som typisk ses ved avaskulær nekrose [1].

Konklusion

Den avaskulære nekrose af trochlea humeri-epifysen kan være forårsaget af det initiale traume: et kraftigt slag mod den ikkeossificerede trochleaepifyse, der fører til afrivning af arterierne direkte ved faldet eller aflukning af blodforsyningen som følge af kompression fra et efterfølgende hæmatom. I sygehistorien kan begge dele være forekommet, da der røntgenologisk påvistes et stort intraartikulært hæmatom.

En kompressionsfraktur af Salter-Harris type 5 af den endnu ikke ossificerede trochleaepifyse kunne også have forårsaget den avaskulære nekrose, men en meget smertefuld albue og en vis vækstforstyrrelse ville være forventelig efter en sådan skade, hvilket ikke var tilfældet her.

En tredje mulighed er en idiopatisk isoleret avaskulær nekrose af trochlea uden en klar relation til traumet. Hvis dette skal kunne påvises, kræver det imidlertid en røntgenundersøgelse foretaget kort forinden et eventuelt traume finder sted.

Endelig kunne den uregelmæssige intenst hvide epifyse på røntgenbilledet skyldes en normalvariant med et usædvanligt vækstmønster. Denne mulighed skal ses i lyset af, hvor få symptomer patienten havde, og af, at albuen helede uden tegn på tidligere traume.


Iben Jørgensen, Onkologisk Afdeling, H:S Rigshospitalet, DK-2100 København Ø. E-mail: Iben@dadlnet.dk

Antaget: 12. maj 2004

Interessekonflikter: Ingen angivet



Sidebar placering
Venstrestillet
Article type
Journal
Magazine
Section
References

<ol class="Litt-list">
<li>Haraldsson S. On osteochondroses deformans juvenilis capituli humeri including investigation of theintra-osseous vasculature in distal humerus. Acta Orthop Scand Suppl 1959 (suppl 38).</li>
<li>Huurman W. Dislocation of the elbow and fractures of the medial humeral epicondyle and condyle. I: Letts RM, ed. Management of pediatric fractures. New York: Churchill Livingstone, 1994:211-39</li>
<li>Chan BK, Bell SN. Bilateral avascular necrosis of the humeral trochlea after chemotherapy. J Bone Joint Surgery (Br) 2000;82-B:670-2.</li>
<li>Panner HJ. A peculiar affection of the capitulum humeri, resembling Calvé-Perthes' disease of the hip. Acta Radiol 1929;10:234-42.</li>
<li>Yang Z, Wang Y, Gilula LA et al. Microcirculation of the distal humeral epiphyseal cartilage: implications for post-traumatic growth deformities. J Hand Surg 1998;23A:165-72.</li>
</ol>

Woodwing Id
265690
Fil
English summary

Summary Avascular necrosis of the trochlea humeri epiphysis Ugeskr L&aelig;ger 2004;166:3507-3508 Avascular necrosis of the trochlea humeri epiphysis in children is seen very rarely. A case of avascular necrosis of the medial humeral epiphysis after trauma to the elbow of a 12-year-old boy is described. Remission of the clinical symptoms was obtained within weeks of treatment with collar-n-cuff and careful mobilisation. After half a year, there were no radiological signs of avascular necrosis left. Various theories regarding the etiology of avascular necrosis of the trochlea humeri are discussed.

Bib ref
Ugeskr Læger 2004;166(40):3507-3508
Authors

Læge Iben Jørgensen, 1. reservelæge Michael B. Nielsen & sektorchef Svend Erik Østgaard H:S Bispebjerg Hospital, Ortopædkirurgisk Afdeling, og H:S Rigshospitalet, Ortopædkirurgisk Afdeling

0 likes
Read time
4