Medlem i

13 years 1 month
Indholdselementer

Akut hepatitis A (AHA) skyldes infektion med hepatitis A-virus og viser sig ved en akut selvlimiterende infektion i leveren. Sygdommen forekommer med en incidens på 0,9/100.000 pr. år i Danmark og udvikles aldrig til kronisk leversygdom. Autoimmun hepatitis (AIH) er karakteriseret ved autoantistoffer og immunglobulin (Ig) G-forhøjelse samt et histologisk
billede, der er karakteristisk for kronisk hepatitis
[1, 2]. Sygdommen forekommer med en incidens på 2/100.000 pr. år og ses oftest hos kvinder. Ætiologien bag AIH er uafklaret, men sygdommen udløses formentligt af en kombination af genetiske og miljømæssige faktorer [3]. I få tilfælde er AHA beskrevet som udløsende faktor.

SYGEHISTORIE

En 66-årig kvinde havde i fire uger op til indlæggelse været generet af træthed og smerter i bevægeapparatet og under begge kurvaturer. Hun var igennem mange år blevet behandlet for hypertension og myksødem med henholdsvis amlodipin og levothyroxin. Der var forud for indlæggelsen fundet normale forhold ved blodprøver. Ved indlæggelsen blev der påvist overvejende parenkymatøs leverpåvirkning med et alaninaminotransferase (ALAT)-niveau på 2.040 E/l (referenceinterval: 10-35 E/l), basisk fosfatase (BASF)-niveau på 338 E/l (referenceinterval: 35-105 E/l), bilirubin (BILI)-niveau på 223 mikromol/l (referenceinterval: 5-25 mikromol/l) og international normaliseret ratio (INR) på 1,3. Der var et let forhøjet IgM-niveau på 3,0 g/l (referenceinterval: 0,39-2,1 g/l) og positiv anti-hepatitis A-virus (HAV)-IgM. Der var ingen relevant rejseanamnese. Udredning for autoimmun, metabolisk og anden viral leversygdom faldt negativ ud. Tilstanden var forenelig med en AHA-infektion, og patienten blev udskrevet i klinisk bedring med faldende ALAT-niveau og normalisering af BASF-, BILI- og INR-niveauerne. Ved en ambulant kontrol seks uger efter indlæggelsen var ALAT-niveauet faldet til 333 E/l.

Fire uger efter den ambulante kontrol blev patienten genindlagt med smerter under højre kurvatur og kitfarvet afføring. Der var tiltagende leverpåvirkning med flg. niveauer: ALAT 1.689 E/l, BASF 187 E/l, BILI 184 mikromol/l, INR 1,5 og IgG 13,3 g/l. Serologisk blev der påvist anti-HAV-IgG og uændret negativ serologi for hepatitis B og C. Glatmuskelcelleantistofniveauet var moderat positivt. En ultralydskanning af leveren viste kolestase og double duct sign. En endoskopisk retrograd kolangiografi var uden tegn på galdesten, men med tegn på stenose i distale choledochus. Patienten blev udskrevet i velbefindende med aftagende leverpåvirkning.

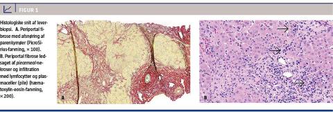
Efter to måneder var BILI-niveauet normaliseret, men pga. vedvarende parenkymatøs leverpåvirkning med et ALAT-niveau på 222 E/l blev der foretaget leverbiopsi. Denne viste kronisk hepatitis med fibrosegrad 3 og moderat inflammatorisk aktivitet, hvilket var foreneligt med AIH (Figur 1). Med baggrund i biopsisvaret blev der iværksat behandling med budesonid 9 mg × 1 dagligt, hvilket normaliserede levertallene i løbet af få uger.

Sidebar placering
Venstrestillet
Billede
Sidebar placering
Venstrestillet


DISKUSSION

AHA er en akut inflammatorisk leversygdom, der histologisk er karakteriseret af lymfoplasmacytær inflammation, periportal nekrose og centrilobulær
hepatocellulær ballooning, kolestase og nekrose.
I sjældne tilfælde ses en fulminant form af AHA med panlobulær nekrose. Ved AHA udvikles der ikke fibrose, og kroniske former kendes ikke. AIH er en kronisk inflammatorisk leversygdom, der histologisk minder om AHA. Den adskiller sig dog ved fibrose i relation til den periportale inflammation og nekrose, og ubehandlet progredierer AIH til cirrose. Patienten i sygehistorien opfyldte de internationale kriterier for diagnosen AIH (autoimmun prædisposition, typisk biokemi, autoimmun serologi og karakteristisk histologisk billede) [2]. Amlodipininduceret medikamentel hepatitis blev udelukket pga. den stabile behandling igennem en årrække.

Patogenesen for AIH er uafklaret, og der er formentligt tale om en kompleks interaktion mellem
genetisk prædisposition og miljømæssige faktorer herunder medikamentelt udløst AIH [3-5]. Der er
tidligere beskrevet ni tilfælde med udvikling af AIH forudgået af en AHA-infektion (Tabel 1) [1, 3-5]. Mekanismen bag associationen er fortsat ufuldstændigt belyst. I et studie af Vento et al [3] beskrives en genetisk defekt i T-hjælper-lymfocytter (CD4+) hos patienter, der var genetisk disponeret for AIH. Disse patienter blev fulgt med systematiske serologiske undersøgelser gennem flere år, og tre fik i studieperioden en subklinisk AHA-infektion. To af disse tre patienter fik efterfølgende AIH, ifølge forfatterne som følge af en forstyrret interaktion mellem defekte T-hjælper-lymfocytter og autoantigener på hepatocytterne. Der er brug for mere viden om patogenesen, før man kan drage konklusioner om kontrol og opfølgning af AHA i forbindelse med AIH.

Sidebar placering
Venstrestillet
Billede
Sidebar placering
Venstrestillet

Korrespondance: Anne Grave, Mech-Sense, Medicinsk Gastroenterologisk
Afdeling, Aalborg Universitetshospital, Mølleparkvej 4, 9000 Aalborg.
E-mail: anne.grave@studmed.au.dk

Antaget: 14. januar 2015

Publiceret på Ugeskriftet.dk:23. marts 2015

Interessekonflikter:

Sidebar placering
Venstrestillet
Article type
Journal
Magazine
Section
References

<h2>Litteratur</h2>
<ol type="d">
<li><p>Grünhage F, Spengler U, Fischer HP et al. Autoimmune hepatitis – sequel of a relapsing hepatitis A in a 75-year-old woman. Digestion 2004;70:187-191.</p></li>
<li><p>Schrumpf E, Seki T, Toda G et al. International Autoimmune Hepatitis Group. Report: review of criteria for diagnosis of autoimmune hepatitis. J Hepatol 1999; 31:929-38.</p></li>
<li><p>Vento S, Garofano T, Di Perri G et al. Identification of hepatitis A virus as a trigger for autoimmune chronic hepatitis type 1 in susceptible individuals. Lancet 1991;337:1183-7. </p></li>
<li><p>Skoog SM, Rivard RE, Batts KPSC. Autoimmune hepatitis preceded by acute hepa-titis A infection. Am J Gastroenterol 2002;97:1568-9.</p></li>
<li><p>Tanaka H, Tujioka H, Ueda H et al. Autoimmune hepatitis triggered by acute hepa-titis A. World J Gastroenterol 2005;11:6069-71.</p></li>
</ol>

Woodwing Id
51964
Fil
Conflict of interest
English title
Autoimmune hepatitis preceded by hepatitis A
English summary

Autoimmune hepatitis is characterized by unresolving inflam&shy;mation and fibrosis of the liver, which untreated may lead to cirrhosis. The pathogenesis remains unclear and reflects a complex interaction between autoantigens, genetic predi&shy;s&shy;position, triggering factors and immune regulation. In rare cases, acute hepatitis A has been suspected as a triggering factor. We describe a case of a 66-year-old woman who two months after a resolving acute hepatitis A presented with fatigue, pale stools and elevated levels of transaminases. A liver biopsy showed histological changes compatible with autoim&shy;mune hepatitis.

Authors workplaces

1) Mech-Sense, Medicinsk Gastroenterologisk Afdeling, Aalborg Universitetshospital
2) Patologisk Institut, Aalborg Universitetshospital
3) Klinisk Institut, Aalborg Universitet

Ugeskr Læger 2015;177:V12140669

Bib ref
Ugeskr Læger 2015;177:V12140669
Article number
V12140669
Authors

Anne Grave1, Jacob Juel1, Mogens Vyberg2, 3, Søren Schou Olesen1 & Jesper Bach Hansen1

0 likes