Medlem i

12 years 10 months
Indholdselementer

Pneumoperikardium er forekomsten af fri luft i perikardiet. Tilstanden kan f.eks. ses efter et traume eller ved instrumentering af thorax, som komplikation i forbindelse med mekanisk ventilation eller ved fisteldannelse mellem luftvejene eller gastrointestinalkanalen til perikardiet (f.eks. ved en tumor eller absces) [1]. Pneumoperikardium kan også forekomme som en komplikation i forbindelse med rygning af f.eks. cannabis, kokain og heroin eller ved inhalation af lattergas[2]. Tilstanden ses da typisk med samtidig pneumomediastinum og eventuelt pneumothorax. Tilfælde af ikkehæmodynamisk betydende pneumoperikardium er som oftest selvlimiterende og kræver ikke behandling.

Her beskrives et asymptomatisk pneumoperikardium hos en ung mand med et dagligt forbrug af cannabis.

SYGEHISTORIE

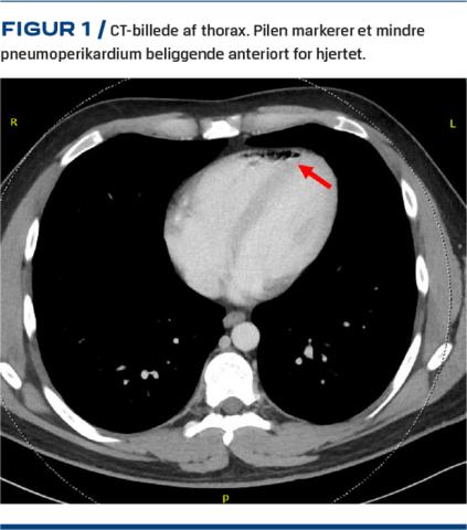
En 27-årig mand henvendte sig i en kirurgisk akutmodtagelse med diffuse mavesmerter, kvalme og opkastninger. Symptomerne var af timers varighed og kom turevis med dages mellemrum.De havde stået på i flere måneder. Det lindrede, når han tog varme badeeller røg cannabis, som han havde haft et dagligt forbrug af i over ti år. Han røg også cigaretter, men benægtede nogensinde at have røget kokain, heroin eller at have taget lattergas. I modtagelsen blev der lavet en CT af abdomen, hvor man fandt normale abdominale forhold, men i den medskannede del af thorax, som nåede til niveau med Th5, sås et mindre, isoleret pneumoperikardium beliggende anteriort over venstre ventrikel (Figur 1). Skanningen viste ingen tegn til pneumomediastinum, pneumothorax eller anden patologi, og patienten havde ingen torakale eller kardiopulmonale gener. Der blev ikke foretaget toksikologisk screening af blod eller urin. Patientens mavesmerter svandt spontant under opholdet i akutmodtagelsen, og han overgik til kardiologisk regi til vurdering. Den indledende vurdering med ekg og transtorakal ekkokardiografi viste normale forhold, og hanvar helt upåvirket.

Sidebar placering
Venstrestillet
Billede
Sidebar placering
Venstrestillet

Ved stuegang næste dag kunne det symptomatiske billede med turevise mavesmerter, kvalme, opkastninger og lindrende effekt af varme bade genkendes som ved cannabinoid hyperemesis-syndrom (CHS), og efterfølgende litteratursøgning bekræftede en mulig sammenhæng med pneumoperikardium. CHS forekommer hos personer med flerårigt kronisk cannabisbrug og er karakteriseret ved cyklisk recidiverende kvalme, opkastninger, diffuse mavesmerter og lindrende effekt af varme bade. De patologiske mekanismer er ikke fuldt afklaret, men tilstanden kan skyldes en paradoks virkning ved kronisk stimulering af cannabisreceptorerne [3]. Patienten blev udskrevet upåvirket efter et døgns observation og blev informeret om, at både mavesmerter og pneumoperikardium formentlig skyldtes rygning af cannabis og ville forsvinde ved ophør hermed. Ved kontrol ti dage senere med røntgenoptagelse af thorax og ekkokardiografi kunne pneumoperikardium eller anden patologi ikke genfindes. Patienten havde reduceret sit cannabisforbrug betydeligt og havde det godt. Han var motiveret for ophør og blev henvist til en kommunal misbrugskonsulent. Ved klinisk kontrol efter yderligere tre måneder havdehan ingen gener, herunder ingen episoder med mavesmerter eller opkastninger, og han angav, at cannabisforbruget var reduceret til et minimum.

DISKUSSION

Pneumoperikardium associeret med cannabisbrug forekommer sjældent, men er formentlig underdiagnosticeret, da det typisk vil være et tilfældigt fund i forbindelse med billeddiagnostik i andet øjemed [2]. Den tilgrundliggende mekanisme menes at være barotraume mod luftvejene forårsaget af kraftig hoste og evt. opkastninger ved rygning af cannabis samt ved Valsalvas manøvre, som udføres med det formål at få større virkning af stoffet ved inhalation [2,4,5]. Det høje intratorakale tryk forårsager skade på alveolerne, så luft kan trænge ind i det interstitielle rum og derfra dissekere langs karskederne af de store kar til hjertet og ind til perikardiet [5]. Tilstanden kan påvises ved CT eller MR-skanning af thorax eller ved konventionel røntgenoptagelse af thorax f.eks. ved continuous diaphragm sign, hvorved diafragmas øvre grænse kan følges under hjerteskyggen. Ved transtorakal ekkokardiografi kan der evt. ses air gap sign eller swirling bubbles sign, som er artefakter, der fremkommer ved ultralydbølgernes refleksion mod luften. Ved auskultation kan der evt. høres bruit de moulin, som er en rytmisk plaskende mislyd, der minder om vandmøllehjuls plask mod vandet, eller Hammans tegn, som er en knitrende mislyd synkron med hjertets slag.


KORRESPONDANCE: Gorm Mørk Hansen. E-mail: gormmh@gmail.com
ANTAGET: 14. februar 2020
PUBLICERET PÅ UGESKRIFTET.DK: 16. marts 2020
INTERESSEKONFLIKTER: ingen. Forfatternes ICMJE-formularer er tilgængelig sammen med artiklen på Ugeskriftet.dk

Sidebar placering
Venstrestillet
Article type
Journal
Magazine
Section
References

Litteratur

  1. Schulte-Hermes M, Klein-Wiele O, Vorpahl M et al. Acute tension pneumopericardium due to perforated gastric ulcer without diagnostic radiographic findings 72 h before perforation. J Cardiol Cases 2018;18:201-3.

  2. Weiss ZF, Gore S, Foderaro A. Pneumomediastinum in marijuana users: a retrospective review of 14 cases. BMJ Open Respir Res 2019;6:e000391.

  3. Nordholm-Carstensen A. Overvej cannabinoid hyperemesis syndrom ved recidiverende opkastninger. Ugeskr Læger 2014;176:V11120661.

  4. Sciencedirect Topics. Pneumopericardium – an overview. Https://www.sciencedirect.com/topics/medicine-and-dentistry/pneumopericardium (18. nov 2019).

  5. Birrer RB, Calderon J. Pneumothorax, pneumomediastinum, and pneumopericardium following Valsalva’s maneuver during marijuana smoking. N Y State J Med 1984;84:619-20.

Woodwing Id
13976
Conflict of interest
English title
Asymptomatic pneumopericardium in a young male cannabis smoker
English summary

Gorm Mørk Hansen:

Ugeskr Læger 2020;182:V12190719

Pneumopericardium is a potential complication to frequent cannabis smoking due to barotrauma of the airways caused by forceful coughing and Valsalva’s manoeuvre. This is a case report of a 27-year-old man, who had a daily consumption of cannabis and presented with abdominal pain and nausea consistent with cannabinoid hyperemesis syndrome. A CT scan revealed an asymptomatic isolated minor pneumopericardium. The patient was observed, and no intervention was needed. At an outpatient control ten days later the pneumopericardium had spontaneously resolved.

Authors workplaces

Hjertemedicinsk Afdeling, Herlev-Gentofte Hospital

Ugeskr Læger 2020;182:V12190719

Bib ref
UgeskrLæger 2020;182:V12190719
Article number
V12190719
Authors

Gorm Mørk Hansen

0 likes