Medlem i

12 years 10 months
Indholdselementer

Surgical emphysema, subkutant emfysem, pneumothorax og pneumomediastinum er defineret ved forekomst af luft eller anden gas i væv, hvor der normalt ikke forekommer luft/gas. Der er mange årsager til disse tilstande, men de kan også optræde asymptomatisk og som tilfældige fund uden anden oplagt årsag.

SYGEHISTORIE

En 18-årig kvinde, som havde type 1-diabetes mellitus, blev indlagt med svær diabetisk ketoacidose efter dysreguleret insulinbehandling (pH: 6,8, anion gap: 35 mmeq/l, blodsukker: 50 mmol/l, baseoverskud: -28, 3-hydroxybut > 3 mmol/l). De pårørende oplyste, at patientens vejrtrækning havde været »stønnende«, og der havde angiveligt været hoste og enkelte opkastninger.

Ved ankomsten til skadestuen var patienten bevidsthedspåvirket, men vækbar. Hun blev beskrevet som værende vedvarende stønnende. Lungestetoskopi var upåfaldende, og iltsaturationen var høj uden ilttilskud. Arteriel blodgasanalyse-niveauet var med forventelig lav pCO2 (1-2 kPa) og normal oxygenering. Patienten blev overflyttet til et intensivafsnit til fortsat behandling og undergik vanligt ketoacidoseregime. På intensivafdelingen blev patientens vejrtrækning beskrevet som Kussmauls respiration/hyperventilation. Kussmauls respiration betegner en dyb, regelmæssig og hurtig vejrtrækning.

Der var fortsat normal oxygenering og forventelig aftagende kompensatorisk hyperventilation.

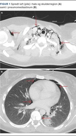
Patienten rettede sig roligt klinisk og paraklinisk de efterfølgende timer, og anion gap var normaliseret efter ca. 12 timer. Patienten var dog fortsat bevidsthedspåvirket, hvorfor der blev udført CT af cerebrum. På dette tidspunkt var patientens respiration upåfaldende. CT af cerebrum var upåfaldende, men der fandtes overraskende luft i halsens strukturer. Dette fund foranledigede CT af hals og thorax, og her blev der fundet:»Luft, der strækker sig opad på begge sider af halsen, anteriort for højre skulder samt i retrofaryngeale og submandibulære rum [Figur 1]. Endvidere luftdissektion langs bronkosvaskulære træ på begge sider samt omkring distale øsofagus og aorta descendens. Lille pneumothorax medialt sin. og små kappepneumothoraces bilateralt«.

Sidebar placering
Venstrestillet
Billede
Sidebar placering
Venstrestillet

Patientens fund konfereredes med thoraxkirurgisk vagthavende, og på det foreliggende anbefaledes røntgenkontrol efter 24 timer. Denne var upåfaldende.

Patienten rettede sig yderligere i løbet af de næste dage og blev udskrevet i habitualtilstand til planlagt yderligere ambulant røntgenkontrol af thorax efter to uger.

DISKUSSION

Surgical emphysema, subkutant emfysem, pneumothorax og pneumomediastinum kan opstå ved forekomst af små bronkiale og alveolære utætheder, hvor luften fra lungerne dissekerer sig frem langs den bronkovaskulære skede centripetalt mod mediastinum, hvor trykket er lavere end intrapulmonalt. Herfra kan luften yderligere spredes via hilum til det omkringliggende subkutane væv i thorax, hals, hoved og overekstremiteter [1, 2].

Spontant opstået subkutant emfysem er tidligere beskrevet som Hammans syndrom [3], og der er også tidligere beskrevet opståen af subkutant emfysem i forbindelse med diabetisk ketoacidose [4].

Aktuelle »tilfældige« og asymptomatiske fund af luft i patientens hals, pneumomediastinum og pneumothorax blev i dette tilfælde således tilskrevet en lille bronkial utæthed, som var opstået i forbindelse med Kussmauls respiration, stønnen og hosten i forbindelse med patientens diabetiske ketoacidose.

I dette tilfælde var tilstanden asymptomatisk og selvlimiterende og krævede ingen anden opfølgning end røntgenkontrol af thorax.



Korrespondance Peter Søe-Jensen. E-mail: peter.soee-jensen@regionh.dk
Antaget 28. juli 2022
Publiceret på ugeskriftet.dk 19. september 2022
Interessekonflikter ingen. Forfatterens ICMJE-formular er tilgængelig sammen med artiklen på ugeskriftet.dk
Referencer findes i artiklen publiceret på ugeskriftet.dk
Artikelreference Ugeskr Læger 2022;184:V03220177

Sidebar placering
Venstrestillet
Article type
Journal
Section
References

Referencer

  1. Macklin CC. Transport of air along sheaths of pulmonic blood vessels from alveoli to mediastinum: clinical implications. Arch Intern Med. 1939;64(5):913-926.

  2. Mason, R. Pneumomediastinum and mediastinitis. I: Murray and Nadel’s textbook of respiratory medicine, 4th ed. Elsevier Health Sciences, 2005:chapter 72.

  3. Hamman LV. Spontaneous mediastinal emphysema. Bulletin of The Johns Hopkins Hospital, Baltimore. 1939;64:1-21.

  4. Pain AR, Pomroy J, Benjamin A. Hamman’s syndrome in diabetic ketoacidosis. Endocrinol Diabetes Metab Case Rep. 2017;2017:17-0135.

Woodwing Id
81524
Fil
Conflict of interest
English title
Asymptomatic mediastinal and neck emphysema after Kussmaul’s respiration and purging
English summary

Peter Søe-Jensen

Ugeskr Læger 2022;184:V03220177

This is a case report of a young woman with diabetes mellitus type 1. She was admitted with severe diabetic ketoacidosis. Asymptomatic “surgical emphysema”, pneumomediastinum and bilateral pneumothoraces were accidently discovered. The emphysema had probably occurred due to laboured breathing and groaning during her diabetic ketoacidosis. No treatment was needed.

Authors workplaces

1) Intensiv Afdeling, Københavns Universitetshospital – Herlev Hospital, 2) Anæstesiologisk Afdeling, Københavns Universitetshospital – Herlev Hospital

Ugeskr Læger 2022;184:V03220177

Bib ref
Ugeskr Læger 2022;184:V03220177
Article number
V03220177
Authors

Peter Søe-Jensen1, 2

0 likes