Medlem i

12 years 10 months
Indholdselementer
Billede
Sidebar placering
Venstrestillet


Abdominalt aortaaneurisme (AAA) er oftest asymptomatisk og tilfældigt verificeret, men kan udvikle sig til en akut livstruende tilstand, hvis aneurismet rumperer. AAA med komplicerende rumpering udgør 1,3% af årsagerne til død hos mænd i alderen 65-85 år i den vestlige verden [1]. Trods akut intervention er 30-dages-mortaliteten på 39-48% [2]. Komplicerende aortokaval fistel (ACF) ses i 0,22-6% af tilfældene [3]. Tilstanden kan opereres, men har som de øvrige AAA høj mortalitet.

Vi bringer her en kasuistik om en ACF-komplikation i forbindelse med et infrarenalt rumperet AAA (rAAA).

SYGEHISTORIE

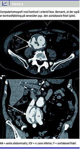
En 84-årig mand, der havde velreguleret, lettere hypertension, men i øvrigt i det væsentligste var rask, blev indlagt akut under diagnosen obs. akut koronart syndrom, da han havde haft kvalme og svære smerter i thorax og epigastriet med udstråling til ryggen. Ved ankomsten var patienten upåvirket, men to timer senere recidiverede symptomerne i svær grad, og parallelt hermed blev han akut påvirket, klamtsvedende, takypnøisk og hæmodynamisk ustabil med blodtryk på 70/40 mmHg. En elektrokardiogrammåling viste nu takykardi og ST-depression i afledninger V5-6. En akut bedside -ekkokardiografi viste normale forhold. Akut computertomografi af thorax og abdomen viste et 8 × 10 cm stort infrarenalt AAA. Dette havde en 10 mm stor fistel imellem aorta abdominalis og vena cava inferior. Det drejede om en arterie-venøs fistel med retrograd fyldning af det venøse system (Figur 1 ).

Efter stabilisering på en intensivafdeling blev patienten akut flyttet til en karkirurgisk afdeling på et andet sygehus, hvor der blev foretaget bilateral iliacabypass og indlæggelse af aortaprotese samt lukning af fistlen uden komplikationer. Proceduren blev foretaget initialt med tang på aorta over aneurismet og på begge arteriae communes ved midtlinjelaparotomi. Ved en efterfølgende aortotomi blev fistlen mellem aorta og vena cava lukket via suturering med væggen fra aortaaneurismet. En protese på 16/8 mm blev herefter påsyet end-to-side til aorta. Der blev anlagt proteseanastomose med højre arteria iliaca communis efter klipning af denne end-to-side og proteseanastomose mellem venstre arteria iliaca communis og venstre arteria iliaca externa end-to-side . Peroperativt var der god puls i begge lysker, og fødderne var velvaskulariserede.

Patienten fik tre dage postoperativt kritisk iskæmi i venstre underekstremitet fra knæniveau og distalt pga. trombedannelse med okklusion af venstre arteria femoralis. Det var nødvendigt at foretage femuramputation, og patienten havde midlertidigt dialysekrævende nyresvigt (akut tubulointerstitiel nefropati) i otte dage. Han blev herefter overflyttet til nyremedicinsk afdeling på et lokalsygehus og efterfølgende udskrevet til ambulant opfølgning i et nyremedicinsk ambulatorium.

DISKUSSION

Denne sygehistorie illustrerer, at patienter med rAAA og ACF trods postoperative komplikationer kan opereres succesfuldt, selv ældre patienter. I modsætning til andre patienter med rAAA havde den her omtalte patient dog ingen tegn på akut ekstravaskulær blødning. Dette og hurtig billeddiagnostik har formentlig været medvirkende til det prognostiske forløb.

ACF ses primært som komplikation i forbindelse med AAA, men kan i endnu sjældnere tilfælde ses ved traumer mod abdomen og iatrogent betinget ved kirurgiske indgreb som f.eks. endovaskulær kateterisation [4].

Det kliniske billede ved en ACF er beskrevet i litteraturen som varierende grader af pulserende abdominal masse, akut indsættende abdominale smerter og/eller rygsmerter, ofte med udstråling til lyske eller lår, hjertesvigt ( high output ), svære underekstremitetsødemer, mislyd over abdomen og hæmaturi [3, 4]. Hurtig diagnostik og behandling er af afgørende prognostisk betydning. Endelig er korrekt præoperativ diagnosticering væsentlig for den præoperative planlægning, stabilisering af patienten, den kirurgiske intervention og det postoperative forløb.

src="/LF/images_ufl/ufl_bla.gif">
Jens Peter Provstgaard Schmidt-Holm, Medicinsk Afdeling, Fredericia Sygehus, 7000 Fredericia. E-mail: Jenspeterholm@hotmail.com

ANTAGET: 7. juni 2011

FØRST PÅ NETTET: 1. august 2011

INTERESSEKONFLIKTER: ingen



Sidebar placering
Venstrestillet
Article type
Journal
Magazine
Section
References

<ol class="Litt-list">
<li>Sakalihasan N, Limet R, Defawe OD. Abdominal aortic aneurysm. Lancet 2005;365:1577-89.</li>
<li>Banke ABS, Andersen JS, Johansson PI et al. Mortalitet og morbiditet ved operation for rumperet abdominalt aortaaneurisme. Ugeskr læger 2008;170:3430-4.</li>
<li>Matsubara J, Nagaske M, Nakatoni B et al. Aorto-caval fistula resulting from rupture of an abdominal aortic aneurysm: report and review of Japanese reported cases. Eur J Vasc Surg 1991;5:601-4.</li>
<li>Cinara IS, Davidivic LB, Kostic DM et al. Aorto-caval fistulas: a review of eighteen years experience. Acta Chir Belg 2005;105: 616-20.</li>
</ol>

Woodwing Id
265494
Fil
Conflict of interest
English summary

Summary Aorta-caval fistula as a complication to abdominal aorta aneurysm Ugeskr L&aelig;ger 2012;174(9):580-581 An 84 year-old man with a history of mild well-controlled hypertension was admitted acute with severe chest and epigastrial pains, radiation to the back and nausea lasting one hour under the diagnosis acute coronary syndrome. Acute computed tomography of the thorax and abdomen showed an 8 x 10 cm infrarenal abdominal aorta aneurysm with a 10 mm fistula through the wall of the aorta into the inferior caval vein.

Bib ref
Ugeskr Læger 2012;174(9):580-581
Authors

Jens Peter Provstgaard Schmidt-Holm 1 & Vibeke Brogaard Hansen 2 1) Medicinsk Afdeling, Fredericia Sygehus 2) Hjertemedicinsk Afdeling, Vejle Sygehus

0 likes
Read time
4