Medlem i

12 years 10 months
Indholdselementer
Billede
Sidebar placering
Venstrestillet


Angiosarkomer er maligne tumorer, der udgår fra endotelceller. De forekommer meget sjældent, og udgør mindre end 1% af alle sarkomer, og sarkomer i sig selv omfatter mindre end 1% af alle cancertyper. Angiosarkomer udgår hyppigst fra mindre kar, og har prædilektion for hud og superficielle bløddelsvæv (1).

I det følgende beskrives et tilfælde af angiosarkom i binyren.

Sygehistorie

En 71-årig mand indlagdes pga. øvre abdominalsmerter. Paraklinisk viste blodprøver normale forhold fraset basisk fosfatase 823 E/l (100-400). UL-scanning og efterfølgende CT viste en 10 cm stor velafgrænset, overvejende cystisk proces med papillifære ekskrescenser ved øvre hø. nyrepol samt små cyster i leveren. UL-vejledt finnålsbiopsi af processen viste ikke malignitetssuspekte celler.

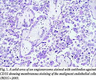
Derefter blev der foretaget eksplorativ laparatomi, hvor man fandt en 10 $ 10 cm stor cystisk tumor over hø. nyre. Der var palpable intumescenser i hø. nyre, men ingen tegn på metastaser i leveren, hvorfor både tumoren og hø. nyre blev fjernet. Histologisk undersøgelse af binyren viste blodfyldte områder med anastomoserede trabekler, beklædt med store lyse tumorceller med mange mitoser. Immumohistokemi viste samme positivitet for faktor VIII og CD31 (platelet-endothelial cell adhesion molecule) som for et angiosarkom (Fig. 1 ). Ved histologisk undersøgelse af nyren fandt man ingen tegn på malignitet.

Postoperativt havde patienten fluktuerende forhøjelse af basisk fosfatase op til 4.000 E/l. Ved fornyet ultralyd fandt man ud over små simple cyster i leveren nu også flere metastasesuspekte solide processer, der blev grovnålsbiopteret. Mikroskopi viste metastaser, der var forenelige med diagnosen angiosarkom. Patienten ønskede ikke yderligere behandling, sløjede af og gik ad mortem tre måneder efter indlæggelsen.

Diskussion

Angiosarkomer i binyren forekommer yderst sjældent; Wenig et al fandt ni patienter med angiosarkom i binyren registreret ved Armed Forces Institute of Pathology. Kirurgisk resektion af binyren var den primære behandling. Ved artiklens publicering var tre patienter stadig i live henholdsvis 13, 11 og 6 år efter diagnosen, tre var døde pga. metastaser, og tre døde af andre årsager (2).

En dansk histopatologisk journalgennemgang for patienter, der var henvist til Finsen Instituttet, Rigshospitalet med henblik på behandling i perioden 1968-1985, afslørede 23 patienter med angiosarkomer, hvoraf ti var lokaliseret i hud eller mucosa og resten i viscera. Medianoverlevelsen var 11 måneder (3).

Ætiologisk synes kronisk lymfødem at være den hyppigste og mest velkendte prædisponerende faktor for angiosarkomer i hud og bløddelsvæv. Typisk forekommer lymfødemassocierede angiosarkomer hos kvinder, som har gennemgået radikal mastektomi. Patogenesen er ukendt. Det er blevet antydet, at kronisk lymfatisk obstruktion resulterer i abortiv kollateralisering, som i sidste instans løber løbsk (4). Andre disponerende faktorer synes at være stråleterapi, implanterede fremmedlegemer og udsættelse for thoriumdioxyd (5-8).

Til den patologiske diagnostik anvendes elektronmikroskopiske og immunohistokemiske undersøgelser. Immunohistokemisk antages CD31 i høj grad at være et sensitivt og specifikt antigen for endotelialdifferentiering, mens faktor VIII-associeret antigen påvises i mindre end 25% af tilfældene (9).

Angiosarkomer bør behandles som andre bløddelssarkomer. Den primære behandling er radikal kirugi. Effekten af adjuverende kemoterapi og strålebehandling er endnu ikke tilstrækkeligt belyst, hvilket hovedsageligt skyldes sjældenheden af disse tumorer (2).


Hamid R. Tousi-Sadr , Flintehøjen 20, DK-3600 Frederikssund.

Antaget den 8. august 2001.

Amtssygehuset Roskilde, kirurgisk afdeling.

Patologisk afdeling takkes for den patoanatomiske vurdering samt hjælp med billedmateriale.

Litteratur

Sidebar placering
Venstrestillet
Article type
Journal
Magazine
Section
References

<ol class="Litt-list">
<li>Enzinger FM, Weiss SW. Soft tissue tumors. St. Louis: Mosby, 1995.</li>
<li>Wenig BM, Abbondanzo SL, Heffess CS. Epithelioid angiosarcoma of the adrenal glands. Am J Surg Pathol 1994; 18: 62-73.</li>
<li>Daugaard S, Hultberg BM, Hou-Jensen K, Mouridsen HT. Clinical features of malignant haemangiopericytomas and haemangioendotheliosarcomas. Acta Oncologica 1988; 27: 209-13.</li>
<li>Schreiber H, Barry FM, Russell WC, Macon WL 4th, Ponsky JL, Pories WJ. Stewart-Trevers syndrome: a lethal complication of postmastectomy lymphedema and regional immune deficiency. Arch Surg 1979; 114: 82-5.</li>
<li>Maddox JC, Evans HL. Angiosarcoma of skin and soft tissue: a study of 44 cases. Cancer 1981; 48: 1907-21.</li>
<li>Jennings TA, Peterson L, Axiotis CA, Friedlaender GE, Cooke RA, Rosai J. Angiosarcoma associated with foreign body material: a report of three cases. Cancer 1988; 62: 2436-44.</li>
<li>Alrenga DP. Primary angiosarcoma of the liver. Int Surg 1975; 60: 198-203.</li>
<li>Popper H, Thomas LB, Telles NC, Falk H, Selikoff IJ. Development of hepatic angiosarcoma in man induced by vinyl chloride, thorotrast, and arsenic. Am J Pathol 1978; 92: 349-69.</li>
<li>De Young BR, Wick MR, Fitzgibbon JF, Swanson PE. CD31: an immunospecific marker for endothelial differentiation in human neoplasms. Appl Immunohistochem 1993; 1: 97-100.</li>
</ol>

Woodwing Id
272943
English summary

Summary Angiosarcoma of the adrenal gland. Ugeskr L&aelig;ger 2002; 164: 911-12. We describe a case of angiosarcoma of the adrenal gland in a 71-year-old man. Angiosarcomas are collectively one of the rarest forms of soft tissue neoplasms. They comprise less than 1% of all sarcomas. The primary treatment of choice is radical surgery.

Bib ref
Ugeskr Læger 2002;164(07): 911-12.
Authors

Hamid R. Tousi-Sadr & Gitte W. Lam

0 likes
Read time
4