Medlem i

12 years 10 months
Indholdselementer


Visse nonpolio-enterovirus (EV) kan give poliomyelitislignende symptomer. De mest kendte EV er EV-D68 og EV-A71. I 2014 observeredes der i USA, Canada og Europa et sammenfald mellem EV-D68-associeret alvorlig luftvejsinfektion og forekomsten af akut slap myelitis/akut slap parese (AFM/AFP) [1]. En kausativ sammenhæng mellem EV-D68 og AFM/AFP vurderes som værende meget sandsynlig [2].

Der er identificeret over 100 humanpatogene EV-subtyper, der hyppigst giver milde infektioner, men også kan være årsag til alvorlig sygdom. Smittevejen er primært fæko-oral, men også dråbe- og kontaktsmitte forekommer. EV-infektioner ses i Danmark mest om sommeren og om efteråret.

Overvågning af poliovirus og andre EV varetages i Danmark af Det Danske WHO Nationale Referencelaboratorium for Poliovirus på Statens Serum Institut (SSI) [3].

SYGEHISTORIER

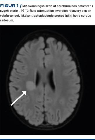
I. En etårig dreng blev indlagt med skelen, feber og opkastning. En uge forinden havde han haft febril luftvejsinfektion, men var restitueret. Objektivt fandtes han at være træt, men ved fuld bevidsthed. Der var skelen pga. venstresidig abducensparese, diskret ataktisk gang, men bevarede dybe senereflekser. Ved lumbalpunktur fandtes mononukleær pleocytose (71 × 106/l leukocytter, 65 monocytære) og normale niveauer af protein og glukose. En MR-skanning af cerebrum viste en 17 × 16 mm velafgrænset, ikkekontrastopladende højsignalforandring i højre del af corpus callosum (Figur 1). Tilstanden blev tolket som mulig viral meningitis eller akut dissemineret encefalomyelitis. Han blev behandlet med ceftriaxon, aciclovir og methylprednisolon.I løbet af fire dage udviklede han slap parese af venstre overekstremitet (OE) og underekstremitet (UE), svær kraftnedsættelse af højre OE og UE samt manglende truncuskontrol. Senereflekserne forsvandt, men abducensparesen bedredes. Drengens perifere sensibilitet var bevaret, og der var udtalte ekstremitetssmerter ved taktil stimulation.Fem døgns behandling med højdosismethylprednisolon og 2 g/kg intravenøst givet immunglobulin var uden effekt. Ni døgn senere fandtes en svælgpodning at være positiv for EV-D68 og adenovirus. Efter påbegyndelse af plasmaferese genvandt han trunkal kontrol og havde langsom motorisk fremgang. Han blev ekstensivt udredt: Cerebrospinalvæsken (CSV) blev fundet polymerasekædereaktions- og dyrkningsnegativ for bakterier og virus, inkl. EV og adenovirus. CSV-flowcytometri, test for autoantistoffer og Borreliaintratekaltest var negative. Fæces EV var ligeledes negativ. En elektrofysiologisk undersøgelse dag 17 var forenelig med akut motorisk aksonal neuropati uden sikre tegn på demyelinisering. Affektion af forhornscellerne kunne ikke udelukkes.Tilstanden blev foreløbigt tolket som Miller Fishers syndrom og svær Guillian-Barrés syndrom, forårsaget af EV-D68.

Sidebar placering
Venstrestillet
Billede
Sidebar placering
Venstrestillet

II. En to år gammel dreng, som havde astmatisk bronkitis og var i forebyggende behandling med inhalationssteroid og leukotrien receptorantagonist blev indlagt efter fire døgns forkølelse og feber. I løbet af fire dage forværredes den respiratoriske tilstand trods kontinuerlige β2-agonistinhalationer, intravenøst givet β2-agonist, continuous positive airway pressure, systemisk givet steroid og ilttilskud. Drengen blev overflyttet intuberet til en intensivafdeling og var intuberet i 13 dage. Han havde kun let påvirkede infektionstal og ingen neurologiske udfaldssymptomer. I luftvejssekretet fandtes EV-D68 og adenovirus.

DISKUSSION

Vi har beskrevet det første danske tilfælde af AFM/AFP forårsaget af EV-D68. Endvidere er der beskrevet et samtidigt indlagt barn med svær respiratorkrævende luftvejsinfektion forårsaget af EV-D68 og adenovirus. Hos barnet i sygehistorie I var sygdomsforløbet klassisk, idet der først var febril luftvejssygdom, herefter bedring og inden for en uge recidiv af feber og akut udvikling af slap parese. Karakteristisk var også paresernes asymmetri, bevaret sensibilitet og ekstremitetssmerter. Radiologiske forandringer ved EV-associeret AFM/AFP er hyppigst solitære eller multiple, velafgrænsede højsignalforandringer i den grå substans i spinalkanalen, men i litteraturen findes beskrivelser af forandringer i hele centralnervesystemet (CNS) [4]. Billedet her adskiller sig således fra det typiske ved forandringen i hvid substans i CNS.

Der findes ingen dokumenteret behandling af AFM/AFP. Behandlingen er primært understøttende, inkl. understøttelse af respirationen, hvis den er afficeret. EV-D68 påvises som oftest i luftvejssekret, men sjældent i CSV, og fæcesprøver er også typisk negative. Som led i EV-/polioovervågningen foretager SSI subtypning af EV. Fremsendelse af luftvejsprøver til SSI er ikke rutine i alle regioner. Det er vigtigt at kende til eksistensen af EV-D68, så man ved svære luftvejsinfektioner og AFM/AFP foretager EV-diagnostik på luftvejssekret og forhindrer smittespredning.



KORRESPONDANCE: Ulla B. Hartling: E-mail: Ullahr@rm.dk
ANTAGET: 27. februar 2020
PUBLICERET PÅ UGESKRIFTET.DK: 13. april 2020
INTERESSEKONFLIKTER: Forfatternes ICMJE-formularer er tilgængelig sammen med artiklen på Ugeskriftet.dk
TAKSIGELSER:Mette Bendixen Thorup og Edvard Marinovskijtakkes for MR-skanningsbilleder af cerebrum samt beskrivelse. EriselaQeramatakkes for nerveledningsundersøgelse/elektromyografi.

Sidebar placering
Venstrestillet
Article type
Journal
Magazine
Section
References

Litteratur

  1. Holm-Hansen CC, Midgley SE, Fischer TK. Global emergence of enterovirus D68: a systematic review. Lancet Infect Dis 2016;16:e64-e75.

  2. Dyda A, Stelzer-Braid S, Adam D et al. The association between acute flaccid myelitis (AFM) and enterovirus D68 (EV-D68) – what is the evidence for causation? Euro Surveill 2018;23:3.

  3. Condell O, Midgley SE, Christiansen CB et al. Evaluation of the enterovirus laboratory surveillance system in Denmark, 2010 to 2013. Euro surveill 2016;5:21.

  4. Maloney JA, Mirsky DM, Messacar K et al. MRI findings in children with acute flaccid paralysis and cranial nerve dysfunction occurring during the 2014 enterovirus D68 outbreak. Am J Neuroradiol 2015;36:245-50.

Woodwing Id
15983
Fil
Conflict of interest
English title
Acute flaccid myelitis associated with enterovirus D68 in a child
English summary

Ulla Birgitte Hartling, Karen Markussen Linnet, Marianne Kragh Thomsen,
Sofie Elisabeth Midgley & Mette Holm:

Ugeskr Læger 2020;182:V10190616

Since the outbreak of enterovirus D68 (EV-D68) in the USA in 2014, the association between infection with EV-D68 and acute flaccid myelitis (AFM) has been well described. EV-D68 has been detected before in Denmark, but this is the first case report of EV-D68 in the respiratory tract of a one-year-old child with AFM. Simultaneously, another child with EV-D68 detected in a respiratory tract sample was admitted, who had a severe respiratory tract infection without AFM, needing two weeks of intensive care treatment.

Authors workplaces

1) Børn og Unge, Aarhus Universitetshospital

2) Klinisk Mikrobiologi, Aarhus Universitetshospital

3) Det Danske WHO Nationale Referencelaboratorium for Poliovirus, Statens Seruminstitut

Ugeskr Læger 2020;182:V10190616

Bib ref
UgeskrLæger 2020;182:V10190616
Article number
V10190616
Authors

Ulla Birgitte Hartling1, Karen Markussen Linnet1, Marianne Kragh Thomsen2, Sofie Elisabeth Midgley3 & Mette Holm1

0 likes