Medlem i

12 years 10 months
Indholdselementer

Akut hjertesvigt (AHF) omfatter tilstande med akutte, indlæggelseskrævende symptomer på reduceret minutvolumen og/eller øgede intrakardielle tryk [1]. I registerstudier anslås det, at AHF årligt medfører ca. 8.000 akutte indlæggelser i Danmark og 1.000.000 indlæggelser i USA [2] med en etårsmortalitet på 30-40% [3-6]. AHF kan opstå de novo eller som akut forværring af en eksisterende hjertesygdom [1]. Den kliniske tilstand varierer betragteligt og omfatter både nyopstået hypertensivt lungeødem (øget afterload), shock med hypotension og organdysfunktion pga. utilstrækkeligt minutvolumen (nedsat myokardiel kontraktilitet) og kronisk hjertesygdom med akut forværring (overhydrering med øget preload). AHF er således fænotypisk særdeles heterogen [1, 5], og ofte er ætiologien multifaktoriel eller idiopatisk (Tabel 1) [7].

Sidebar placering
Venstrestillet
Hovedbudskaber
  • Akut hjertesvigt er en heterogen tilstand, der hyppigst ses i form af højtrykslungeødem, kardiogent shock eller akut forværring af kronisk hjertesvigt.

  • Den initiale behandling består ofte af vasodilatation og afvanding.

  • Behandlingen beror på meget begrænset evidens.

Ombryd tekst
0
Brødtekst
  • Akut hjertesvigt er en heterogen tilstand, der hyppigst ses i form af højtrykslungeødem, kardiogent shock eller akut forværring af kronisk hjertesvigt.

  • Den initiale behandling består ofte af vasodilatation og afvanding.

  • Behandlingen beror på meget begrænset evidens.

Billede
Sidebar placering
Venstrestillet

AHF-diagnosen stilles ud fra en klinisk vurdering og ekkokardiografi samt evt. plasma-pro-brain-natriuretisk peptid (NT-proBNP), der måles ved patientens ankomst i akutmodtagelsen. NT-proBNP er et protein, som udskilles fra hjertemuskulaturen som respons på øget fyldningstryk i hjertet, og det kan derfor bidrage til skelnen mellem kardiel og nonkardiel dyspnø [1]. I den kliniske undersøgelse er det vigtigt at vurdere patientens mentale tilstand (cerebral perfusion), hudtemperatur og blodtryk samt foretage lunge-hjerte-stetoskopi. Der skal foreligge et elektrokardiogram og en arteriel blodgasanalyse [1, 8, 9]. Afhængig af basisundersøgelserne kan der være behov for at foretage akut koronararteriografi, CT (aortadissektion, lungeemboli), intensivterapi og invasiv hæmodynamisk monitorering. Inotropika og mekanisk kredsløbsstøtte kan hos udvalgte patienter være indiceret for at øge minutvolumen [1, 10].

Ved AHF er det nødvendigt med hurtig diagnostik og behandling, og alle læger, der modtager akutte patienter, bør kende til initial triage og behandlingstiltag. Det er vores håb med denne artikel at udbrede kendskabet til de mest almindelige AHF-fænotyper: højtrykslungeødem, kardiogent shock og akut forværring af kronisk hjertesvigt.

INDDELING

Det kan være gavnligt at underinddele patienter med AHF efter deres initiale kliniske tilstand. Der er foreslået adskillige inddelingssystemer [1], men i praksis afhænger den initiale behandling i høj grad af hydreringsstatus (våd/tør) og organperfusion (varm/kold) [5, 11]. En inddeling med udgangspunkt i disse parametre har vist sig at være klinisk anvendelig [5]. Den bruges i internationale guidelines [1] og gør det muligt at målrette behandlingen til den enkelte patient (Figur 1). Desværre har inddelingen også sine begrænsninger; våd (oversat fra det engelske congestion) henviser til tilstande med forhøjet kardielt fyldningstryk, som medfører stase og væskeophobning i bagvedliggende organer (inkompensation). Patienten med lungeødem er våd pga. lokal væskeophobning i lungerne og er ikke nødvendigvis systemisk overhydreret.

Sidebar placering
Venstrestillet
Billede
Sidebar placering
Venstrestillet

Kold henviser til hypoperfusion af kroppens organer. En hypoperfunderet patient er ofte kold på huden pga. vasokonstriktion, men en patient med højtrykslungeødem kan føles kold og klam trods adækvat perfusion. Kold henviser altså ikke til patientens temperatur, men til graden af organperfusion. Hypoperfusion ses klinisk ved oliguri, nedsat pulstryk, stigende laktatniveau, mental konfusion og kold hud. Hypotension er ikke lig med hypoperfusion, men hypotension kan være associeret med hypoperfusion. Patienter med AHF har ofte bevaret eller forhøjet blodtryk, og 5-8% har hypotension (< 90 mmHg systolisk blodtryk), hvilket er associeret med en markant dårligere prognose [5].

HYPERTENSIVT LUNGEØDEM

Hypertensivt lungeødem er akut opstået og ofte idiopatisk hypertension med bevaret minutvolumen og normal eller kun moderat nedsat systolisk venstre ventrikel-funktion [5, 12]. Der er ofte tegn til koncentrisk remodellering og diastolisk dysfunktion. Tilstanden opstår ofte pga. akut øgning i afterload, hvilket medfører øget fyldningstryk til venstre ventrikel og backward failure. Supraventrikulær takykardi (f.eks. atrieflimren) er en hyppig medvirkende årsag til den dårlige fyldning af ventriklen.

Symptomer og kliniske fund

Symptomer er akut indsættende dyspnø og angst/ubehag. Ved klinisk undersøgelse findes der stetoskopisk lungekrepitation og tredje hjertelyd, takykardi og ofte ingen eller mindre perifere ødemer. Røntgenoptagelser af thorax viser lungestase eller regelret lungeødem med diffuse, vattede infiltrater. Ekkokardiografi viser typisk bevaret eller nærnormal systolisk ventrikelfunktion samt eventuelt diastolisk dysfunktion og tegn til forhøjede fyldningstryk. Patienterne vil have bevaret perfusion (varm og våd).

Behandling

Patienten lejres med eleveret hovedgærde og gives ilttilskud, til iltmætningen er over 90%. Continuos positive airway pressure modvirker lungeødem. Intubation bør overvejes tidligt ved svær respirationsinsufficiens, men er sjældent nødvendig. Initial behandling i øvrigt retter sig mod dels den udløsende årsag, dels at reducere afterload. I guidelines anbefales aggressiv blodtryksreduktion op til 25% i de første timer med intravenøs vasodilatation [1], hvorimod hypotension bør undgås [13]. I et enkelt randomiseret studie har man påvist, at højdosisvasodilatation + lavdosisloopdiuretika havde hurtigere effekt end højdosisloopdiuretika + lavdosisvasodilatation [14]. Således er initialbehandlingen højdosisnitroglycerin (0,5 mg givet sublingvalt eller som infusion) eller isosorbiddinitrat (3 mg givet intravenøst), der kan gentages eller erstattes med kontinuerlig infusion ved behov.

Loopdiuretika (intravenøst givet furosemid 40-80 mg eller bumetanid 1-3 mg) medfører initialt fald i de centrale venøse tryk efterfulgt af en diuretisk effekt efter 30-60 minutter. Effekten af loopdiuretika ved lungeødem er dog omdiskuteret [15]. Hvis patientens tilstand er ustabil, og der er betydende takyarytmi gives der amiodaron 300 mg intravenøst eller synkroniseret DC-stød i anæstesi. Morfika i små refrakte doser kan anvendes ved angst/smerter. Hvis der ikke indtræder behandlingseffekt inden for 15-20 minutter, bør diagnosen revurderes.

KARDIOGENT SHOCK

Kardiogent shock er en sjælden form for AHF og har den dårligste prognose med en etårsmortalitet på 40-50% [6, 16]. Diagnosen stilles klinisk ved tegn på kompromitteret organperfusion pga. primær kardial dysfunktion [17]. Der findes ikke en universel definition, men i tilstanden indgår ofte hypotension, kliniske tegn på nedsat organperfusion, stigende laktatniveau og lavt minutvolumen trods adækvate fyldningstryk (Tabel 2). Diagnosen kan således ikke stilles uden et objektivt mål for nedsat minutvolumen med adækvat fyldning, som i praksis vil blive undersøgt med ekkokardiografi. Patienten har ofte backward failure med øget tryk i venstre atrium og lungekredsløb med lungestase til følge. Patienten er derfor oftest våd og kold [11]. Den hyppigste årsag er akut myokardieinfarkt (AMI), og af patienter, hvor man havde mistanke om ST-elevations-myokardieinfarkt, på to tertiære hjertecentre (Rigshospitalet og Odense Universitetshospital) opfyldte 10% kriterierne for kardiogent shock [18]. Mekaniske komplikationer bør altid overvejes: myokardieruptur i form af frivægsruptur, ventrikelseptumdefekt eller papillærmuskelruptur. Frivægsruptur medfører ofte livstruende perikardietamponade eller død [19]. Papillærmuskel- eller chordaruptur medfører akut mitralinsufficiens og lungeødem. Svær insufficiens af aortaklappen kan ses akut ved infektiøs endokarditis og aortadissektion. Myokarditis og kardiomyopatier er sjældne årsager til kardiogent shock.

Svigtende pumpefunktion og lavt blodtryk medfører kompromitteret koronargennemblødning, myokardieiskæmi og yderligere nedsat pumpefunktion. Uhensigtsmæssig systemisk vasokonstriktion (øget afterload) kan bidrage til den onde cirkel.

Sidebar placering
Venstrestillet
Billede
Sidebar placering
Venstrestillet

Behandling

Behandlingen indebærer korrektion af den/de udløsende årsag(er), mens kredsløbet og organerne understøttes ved sikring af perfusion og mindsket iltforbrug. Uacceptabel hypotension korrigeres med vasopressorbehandling, hvor noradrenalin er førstevalg. Uanset blodtryk skal et pulmonalt/perifert væskeoverskud behandles. Ved høj perifer modstand anvendes inodilation (dobutamin, milrinon eller levosimendan), og yderligere afterloadreduktion opnås ved sedation. Ved bradykardi anvendes intravenøst givet atropin (0,5-1,0 mg), isoprenalin (2-8 µg/min) eller elektrisk pacing. Patienterne vil næsten altid have behov for behandling på en intensivafdeling, og det anbefales tidligt i forløbet at drøfte overflyttelse med et tertiært hjertecenter [1]. Tærsklen for respiratorbehandling er lav, da op imod 20% af minutvolumen bruges til respirationen [20]. Infusion med krystalloider er indiceret ved overvejende højre ventrikel-svigt, men excessiv overhydrering bør undgås (centralt venetryk > 15 mmHg). Inotrope lægemidler kan øge minutvolumen, men er endnu ikke påvist at bedre prognosen ved kardiogent shock. Adrenalin bør om muligt undgås ved AMI [21]. Mekanisk perkutan cirkulationsstøtte i form af en Impella eller ekstrakorporal membranoxygenering kan overvejes [10]. Der foreligger ingen data fra randomiserede studier, hvor man har påvist mortalitetsgevinst af mekanisk cirkulationsstøtte. Der pågår flere danske og europæiske randomiserede undersøgelser, hvor man søger at belyse effekten af mekanisk kredsløbsstøtte ved kardiogent shock [22]. Aortaballonpumpen er udfaset de fleste steder i Danmark, da den ikke bedrer prognosen ved AMI og shock [16]. Behandling af den udløsende årsag er særlig vigtig ved kardiogent shock, hvor akut revaskularisering ved AMI er påvist at reducere mortaliteten [23].

Sidebar placering
Venstrestillet
Billede
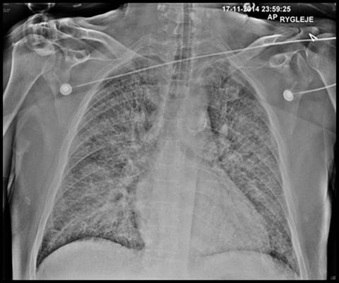
Eksempel på lungeødem. Røntgenbilledet af thorax er taget anterior-posteriort med patienten i rygleje, hvilket næsten altid er tilfældet, da patienter med akut hjertesvigt sjældent kan medvirke til stående optagelser.
Caption
Eksempel på lungeødem. Røntgenbilledet af thorax er taget anterior-posteriort med patienten i rygleje, hvilket næsten altid er tilfældet, da patienter med akut hjertesvigt sjældent kan medvirke til stående optagelser.
Sidebar placering
Venstrestillet

KRONISK HJERTESVIGT MED AKUT FORVÆRRING

Akut forværring af kronisk hjertesvigt er hyppigere end de novo-AHF. Patienter med kronisk hjertesvigt kan i stabil og velbehandlet fase klare hverdagen med få eller moderate symptomer [24]. Akut forværring kan udløses af infektion, medikamentel nonkomplians, stort væske- og saltindtag, forværring af en underliggende hjertesygdom eller arytmi.

Symptomer og kliniske fund

Symptomerne er gradvist indsættende dyspnø og tegn på væskeophobning, men oftest med bevaret organperfusion (varm og våd). De kliniske fund er som ved det hypertensive lungeødem, men ofte er blodtrykket normalt eller lavt, og patienten har perifere ødemer og vægtøgning.

Behandling

Ved systolisk blodtryk > 90 mmHg behandles der primært med intravenøst givet loopdiuretika. Som udgangspunkt skal patientens hjertesvigtsbehandling kun pauseres ved svær nyrepåvirkning eller hypotension.

Ved systolisk blodtryk < 90 mmHg (lavtrykslungeødem) bør man overveje intensivindlæggelse og inotropibehandling som ved det kardiogene shock i tillæg til diuretisk behandling.

EVIDENS

Diuretika- og nitratbehandling er aldrig påvist at reducere mortaliteten [14, 25]. Adskillige andre lægemidler er undersøgt: serelaxin, der er et vasodilatorhormon, som bidrager til hæmodynamisk adaptation under en graviditet [26], det natriuretiske peptid ularitid [27] og det lovende hjertesvigtspræparat empagliflozin [28] var alle uden signifikant effekt på kliniske endepunkter. Inodilatatoren levosimendan forbedrede ikke prognosen i forhold til dobutamin [29]. Ved kendt svært hjertesvigt har et hjemmemonitoreringsapparat, der overvåger pulmonalarterietrykket, mindsket antallet af hjertesvigtsindlæggelser [30], hvilket understreger potentialet og vigtigheden i at forebygge indlæggelseskrævende AHF. Ydermere er der evidens for at påbegynde og optitrere kronisk hjertesvigtsbehandling samt henvise til en hjertesvigtsklinik, efter at den akutte tilstand er afhjulpet [24].

KONKLUSION

AHF kan inddeles på baggrund af organperfusion og hydreringsstatus, hvilket målretter den akutte behandling. Kronisk hjertesvigt med akut forværring, væskeophobning og sufficient perfusion (varm og våd) er den hyppigste tilstand. Akut opstået hypertension med bevaret minutvolumen og lungeødem er den hyppigste form for AHF hos tidligere hjerteraske. Kardiogent shock (kold og våd) er sjældent, men har en høj dødelighed og bør konfereres umiddelbart med et tertiært hjertecenter. Fælles for alle AHF-fænotyper er, at behandlingen er baseret på meget sparsom evidens, og adskillige studier, hvor man har forsøgt at bedre prognosen, har givet neutrale resultater. Derfor er det vigtigste tiltag at forebygge AHF.



KORRESPONDANCE: Johannes Grand. E-mail: johannes.grand@regionh.dk
ANTAGET: 1. september 2020
PUBLICERET PÅ UGESKRIFTET.DK: 5. oktober 2020
INTERESSEKONFLIKTER: ingen. Forfatternes ICMJE-formularer er tilgængelige sammen med artiklen på Ugeskriftet.dk
LITTERATUR: Findes i artiklen publiceret på Ugeskriftet.dk

Sidebar placering
Venstrestillet
Article type
Journal
Magazine
Section
References

Litteratur

  1. Ponikowski P, Voors A, Anker S, et al. 2016 ESC guidelines for the diagnosis and treatment of acute and chronic heart failure: the task force for the diagnosis and treatment of acute and chronic heart failure of the European Society of Cardiology (ESC) developed with the special contribution of the Heart Failure Association (HFA) of the ESC. Eur. Heart J 2016;37:2129-200.

  2. Storrow AB, Jenkins A, Wesley S et al. The burden of acute heart failure on U.S. emergency departments. JACC Heart Fail 2014:2: 269-77.

  3. Parenica J, Jindrich S, Vitovec J et al. Long-term survival following acute heart failure: the Acute Heart Failure Database Main registry (AHEAD Main). Eur J Intern Med 2013;24:151-60.

  4. Taylor CJ, Ordonez-Mena J, Roalfe AK et al. Trends in survival after a diagnosis of heart failure in the United Kingdom 2000-2017: population based cohort study. BMJ 2019;364:l223.

  5. Javaloyes P, Miro O, Gil V et al. Clinical phenotypes of acute heart failure based on signs and symptoms of perfusion and congestion at emergency department presentation and their relationship with patient management and outcomes. Eur J Heart Fail 2019;21:1353-65.

  6. Adams KF, Fonarow GC, Emerman CL et al. Characteristics and outcomes of patients hospitalized for heart failure in the United States: rationale, design, and preliminary observations from the first 100,000 cases in the Acute Decompensated Heart Failure National Registry (ADHERE). Am Heart J 2005:149:209-16.

  7. Fonarow GC, Abraham WT, Albert NM et al. Factors identified as precipitating hospital admissions for heart failure and clinical outcomes: findings from OPTIMIZE-HF. Arch Intern Med 2008;168:847-54.

  8. Shah MR, Hasselblad V, Stinnet SS et al. Hemodynamic profiles of advanced heart failure: association with clinical characteristics and long-term outcomes. J Card Fail 2001;7:105-13.

  9. Yancy CW, Jessup M, Bozkurt B et al. 2013 ACCF/AHA guideline for the management of heart failure: a report of the American College of Cardiology Foundation/American Heart Association Task Force on practice guidelines. Circulation 2013;128:e240-e327.

  10. Lindholm MG, Engstrøm T, Wachtell K et al. Perkutan cirkulationsstøtte ved akut hjertesvigt. Ugeskr Læger 2007;169:3282-6.

  11. Chioncel O, Mebazaa A, Maggioni A et al. Acute heart failure congestion and perfusion status – impact of the clinical classification on in-hospital and long-term outcomes; insights from the ESC-EORP-HFA Heart Failure Long-Term Registry. Eur J Heart Fail 2019;21:1338-52.

  12. Nohria A, Tsang SW, Fang JC et al. Clinical assessment identifies hemodynamic profiles that predict outcomes in patients admitted with heart failure. J Am Coll Cardiol 2003;41:1797-804.

  13. Patel PA, Heizer G, O'Connor CM et al. Hypotension during hospitalization for acute heart failure is independently associated with 30-day mortality: findings from ASCEND-HF. Circ Heart Fail 2014;7:918-25.

  14. Cotter G, Metzkor E, Kaluski E et al. Randomised trial of high-dose isosorbide dinitrate plus low-dose furosemide versus high-dose furosemide plus low-dose isosorbide dinitrate in severe pulmonary oedema. Lancet 1998;351:389-93.

  15. Felker GM, O’Connor CM, Braunwald E. Loop diuretics in acute decompensated heart failure: necessary? Evil? A Necessary Evil? Circ Heart Fail 2009;2:56-62.

  16. Thiele H, Zeymer U, Neumann FJ et al. Intraaortic balloon support for myocardial infarction with cardiogenic shock. N Engl J Med 2012;367:1287-96.

  17. Harmony RR, Hochman JS. Cardiogenic shock. Circulation 2008;117:686-97.

  18. Obling L, Frydland M, Hansen R et al. Risk factors of late cardiogenic shock and mortality in ST-segment elevation myocardial infarction patients. Eur Heart J Acute Cardiovasc Care 2018;7:7-15.

  19. Kjeld T, Hassager C. Hjortdal VE. Ruptur af fri venstre ventrikelvaeg, septum og papillaermuskler ved akut myokardieinfarkt. Ugeskr Læger 2009;171:1925-9.

  20. Harms CA, Wetter TJ, McClaran SR et al. Effects of respiratory muscle work on cardiac output and its distribution during maximal exercise. J Appl Physiol (1985) 1998;85:609-18.

  21. Levy B, Clere-Jehl R, Legras A et al. Epinephrine Versus norepinephrine for cardiogenic shock after acute myocardial infarction. J Am Coll Cardiol 2018;72:173-82.

  22. Udesen NJ, Moeller JE, Lindholm MG et al. Rationale and design of DanGer shock: Danish-German cardiogenic shock trial. Am Heart J 2019;214:60-8.

  23. Hochman JS, Sleeper LA, Webb JG et al. Early revascularization in acute myocardial infarction complicated by cardiogenic shock. N Engl J Med 1999:341:625-34.

  24. Eiskjær H. Hjertesvigtsbehandling til patienter med kronisk nedsat venstre ventrikel-funktion. Ugeskr Læger 2018;180; V06180453.

  25. Kozhuharov N, Goudev A, Flores D et al. Effect of a strategy of comprehensive vasodilation vs usual care on mortality and heart failure rehospitalization among patients with acute heart failure: The GALACTIC Randomized Clinical Trial. JAMA 2019;322:2292-302.

  26. Metra M, Teerlink JR, Cotter G et al. Effects of serelaxin in patients with acute heart failure. N Engl J Med 2019;381:716-26.

  27. Packer M, O'Connor C, McMurray JJ et al. Effect of ularitide on cardiovascular mortality in acute heart failure. N Engl J Med 2017;376:1956-64.

  28. Damman K, Beusekamp JC, Boorsma EM et al. Randomized, double-blind, placebo-controlled, multicentre pilot study on the effects of empagliflozin on clinical outcomes in patients with acute decompensated heart failure (EMPA-RESPONSE-AHF). Eur J Heart Fail 2020;4:713-22.

  29. Mebazaa A, Nieminen MS, Packer M et al. Levosimendan vs dobutamine for patients with acute decompensated heart failure: the SURVIVE Randomized Trial. JAMA 2007;297:1883-91.

  30. Givertz MM, Stvenson LW, Costanzo MR et al. Pulmonary artery pressure-guided management of patients with heart failure and reduced ejection fraction. J Am Coll Cardiol 2017;70:1875-86.

Woodwing Id
31296
Fil
Conflict of interest
English title
Acute heart failure
English summary

Johannes Grand, Jakob Eifer Møller, Søren Boesgaard, Finn Gustafsson, Lars Køber, Jesper Kjærgaard & Christian Hassager

Ugeskr Læger 2020;182:V04200296

Acute heart failure is a common and severe condition in Danish emergency hospitals. Hypertensive pulmonary oedema, cardiogenic shock and congestive heart failure are the most common phenotypes. The aim of this review is to summarise the most recent international guidelines for acute triage and treatment of acute heart failure. Afterload is reduced with nitrates, congestion is treated with intravenous loop-diuretics, and in selected patients, cardiac output could be increased by inotropic drugs or mechanical support devices.

Authors workplaces

1) Hjertemedicinsk Afdeling, Rigshospitalet, 2) Klinisk Institut, Det Sundhedsvidenskabelige Fakultet, Syddansk Universitet

Ugeskr Læger 2020;182:V04200296

Bib ref
UgeskrLæger 2020;182:V04200296
Article number
V04200296
Authors

Johannes Grand1, Jakob Eifer Møller1, 2, Søren Boesgaard1, Finn Gustafsson1, Lars Køber1, Jesper Kjærgaard1 & Christian Hassager1

0 likes