Medlem i

13 years 1 month
Indholdselementer
Billede
Sidebar placering
Venstrestillet


Der findes et antal artikler i litteraturen, som beskriver forbindelsen mellem bilaterale binyreblødninger, systemisk lupus erythematosus (SLE) og antifosfolipidsyndromet (APS) [1-5]. Der ses stort set ingen forbindelse mellem bilaterale binyreblødninger og SLE-diagnosen alene, hvorfor denne komplikation formodes hovedsageligt at have relation til APS, såvel det primære som det sekundære [4].

De diagnostiske kriterier for APS er baseret på kliniske og laboratoriemæssige data. Klinisk skal patienten have haft vaskulære tromboser eller graviditetskomplikationer, og laboratoriemæssigt skal patienten have antikardiolipin immunglobulin G (IgG)- eller immunglobulin M (IgM)-antistoffer eller lupus antikoagulansantistoffer af IgG- eller IgM-type målt i blodet ved mere end to lejligheder og med mindst seks ugers mellemrum [3]. En forlænget aktiveret partiel tromboplastintid er en god koagulationsscreening ved mistanke om APS, idet den ofte forekommer forlænget [3].

Vi omtaler her en patient med SLE og sekundært APS, som fik en akut Addisonkrise på grund af blødninger i begge binyrer. Denne komplikation i forbindelse med APS blev i dette tilfælde visualiseret ved en computertomografi (CT) og er ifølge Espinosa et al [4] ikke en sjælden komplikation hos patienter med APS, idet den kan ses med en frekvens på helt op til 26% ved såkaldt catastrophic APS og tilmed kan være syndromets første kliniske manifestation. Catastrophic APS defineres som APS, hvor multiple okklusioner af de små kar til organerne optræder over en kort tidsperiode [5]. I andre nyere og større materialer har man dog fundet en væsentlig lavere hyppighed ( < 1%), måske på grund af den mere udbredte brug af antikoagulansbehandling [3, 5].

Sygehistorie

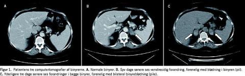
En 57-årig kvinde, der havde SLE og sekundært APS, blev indlagt på kirurgisk afdeling med diagnosen abdominalia. Patienten havde forud for indlæggelsen haft diffuse mave-smerter i tre uger med temperaturforhøjelse og kvalme. Ved indlæggelsen havde hun smerter i venstre fossa iliaca, et blodtryk på 141/93 mmHg og en temperatur på 37,7 °C. Patientens tilstand blev opfattet som forårsaget af en diverticulitis og antibiotisk behandling med metronidazol, gentamicin og penicillin blev iværksat. Patienten blev undersøgt med CT (Figur 1 ), men man fandt normale forhold, herunder også normale binyrer. Efter en initial bedring, forværredes almentilstanden på ottendedagen, og en ny CT dagen efter viste en affektion af venstre binyre, som i første omgang tolkedes som en absces. På tiendedagen fik patienten hypotension, og en tredje CT blev foretaget. Den viste let isodense områder i begge binyrer, hvilket tyder på blødninger. På dette tidspunkt havde patienten et blodtryk på 88/59 mmHg og blev tiltagende træt, mat og konfus.

Det kliniske billede i form af abdominalia, træthed og kvalme sammenholdt med patientens hypotension og hyponatriæmi pegede stærkt på en akut binyrebarkinsufficiens, hvorfor hun blev sat i intravenøs hydrokortisonbehandling med hurtig og markant bedring til følge.

Patienten var forud for indlæggelsen i behandling med prednison 2,5 mg dagligt for sin SLE. Hun havde tidligere været i antikoagulansbehandling på grund af alvorlige, recidiverende tromboemboliske tilfælde, men havde ikke ønsket at fortsætte behandlingen grundet en tidligere overdosering af medicinen. Af denne årsag havde hun ikke været i antikoagulansbehandling i fem år op til indlæggelsen. Patienten havde desuden tidligere fået konstateret en faktor V Leiden -koagulationsdefekt.

Blodprøverne viste faldende hæmoglobin, serum-Na + og albumin samt stigning i leukocytter, aspartataminotransferaser, C-reaktivt protein og en forlænget aktiveret partiel tromboplastintid (112 s). Trombocytter var i normalområdet. Kalium lå stationært lavt på 3,1-3,3.

Forinden var der blevet taget blodprøver, som viste umålelige lave kortisolværdier. I efterforløbet blev patienten undersøgt for binyrebarkantistoffer i blodet, men de kunne ikke påvises. Desuden fandtes S-aldosteron lav, hvorfor patienten blev sat i behandling med flurocortison. Antikardiolipinantistoffer (IgM) og lupus antikoagulansantistoffer var som ved tidligere lejligheder positive.

Diskussion

Det menes, at binyreinsufficiensen ved APS skyldes trombosering med efterfølgende infarcering og blødning [2]. Binyrernes blodforsyning er meget sårbar over for tromboser på grund af den anatomiske arkitektur [1, 2]. Binyrerne har en arteriel gennemblødning, som danner et subkapsulært pleksus. Dette pleksus dræneres til de medullære sinusoider via nogle få venoler, og drænagen er yderst følsom over for bl.a. hypotension, sepsis, tromboembolisk sygdom og koagulopatier [1]. I dette tilfælde kan patientens divertikulitis meget vel have været den præcipiterende faktor for de tromboemboliske komplikationer. Ligeledes havde patienten en faktor V Leiden -defekt, som kan have øget trombosetendensen. Det er nærliggende at tolke den første forværring som forårsaget af blødning i den venstre binyre, mens den yderligere forværring med hypotension er forenelig med svigt af også den højre binyre. Den lille prednisondosis på 2,5 mg dagligt, hvilket er mindre end den sædvanlige substitutionsdosis ved binyrebarkinsufficiens, var ikke nok til at forhindre en Addisonkrise.

Serumkalium ses typisk forhøjet ved Addisonkrise. Dette var ikke tilfældet hos denne patient, formentlig på grund af den væsketerapi, der var givet under indlæggelsen.

Mistanken om blødning i binyrerne bør være høj hos patienter med APS og abdominalia, feber, faldende hæmoglobin, elektrolytforstyrrelser og hypovolæmi, da disse patienter har en høj dødelighed, specielt hvis den er led i catastrophic APS [4]. Akut binyreinsufficiens er en svær diagnose at stille hos patienter med APS, da de kliniske fund sløres af deres underliggende sygdom. Vi har ønsket at gøre opmærksom på denne alvorlige komplikation ved en relativt sjælden sygdom som APS, da korrekt diagnostik og behandling ofte vil være livsreddende.


Summary

Acute Addisonian Crisis due to bilateral adrenal haemorrhage in a patient with systemic lupus erythematosus (SLE) and secondary Antiphospholipid syndrome (APS)

Ugeskr Læger 2007;169(23):2224-2225

This article describes a 57-year-old woman with SLE and positive antiphospholipid and lupus anticoagulant antibodies (Ig type M) who developed an acute Addisonian crisis due to bilateral adrenal haemorrhage. It is important to recognise that bilateral adrenal haemorrhage can be part of the thrombo-embolic complications that are seen in both the primary and the secondary APS. Since there have been a number of similar cases, we suggest that APS with adrenal haemorrhage should be taken into consideration in SLE patients with abdominal pain, fever, nausea, hypotension and hyponatremia.


Anna Svarre Jakobsen, Holger Danskes Vej 12A, 1. th., DK-2000 Frederiksberg.

E-mail: annasvarre@stud.ku.dk

Antaget: 23. april 2006

Interessekonflikter: Ingen angivet



Sidebar placering
Venstrestillet
Article type
Journal
Magazine
Section
References

<ol class="Litt-list">
<li>Lenaerts J, Vanneste S, Knockaert D et al. SLE and acute Addison crisis due to bilateral adrenal hemorrhage: association with the antiphopholipid syndrome. Clin Exp Rheumatol 1991;9:407-9.</li>
<li>Böber E, Kovanlikaya A, Büyükgebiz A. Primary antiphospholipid syndrome: an unusual cause of adrenal insufficiency. Horm Res 2001;56:140-4.</li>
<li>Presotto F, Fornasini F, Betterle C et al. Acute adrenal failure as the heralding symptom of primary antiphospholipid syndrome: report of a case and review of the litterature. Eur J Endocrin 2005;153:507-14.</li>
<li>Espinosa G, Cervera R, Font J et al. Adrenal involvement in the antiphospholipid syndrome. Lupus 2003;12:569-72.</li>
<li>Cervera R, Piette JC, Font J et al. Antiphospholipid syndrome. Arthrit Rheum 2002;46:1019-27.</li>
</ol>

Woodwing Id
242112
Fil
Bib ref
Ugeskr Læger 2007;169(23):2224-2225
Authors

Stud.med. Anna Svarre Jakobsen, reservelæge Veronica Basile Cvitanich & overlæge Bent Carsten Kirkegaard Nordsjællands Hospital i Hillerød, Endokrinologisk Klinik E, Medicinsk Funktionsenhed 1 og Billeddiagnostisk Afdeling

0 likes