Medlem i

12 years 10 months
Indholdselementer

Hoste, åndenød, ekstrem træthed, koncentrationsbesvær, depression og påvirkning af smags- og lugtesans samt hjerte-kar- og nervesystem.

Listen over senfølger efter COVID-19 er lang, og patienter med de mest komplekse senfølger, hvor de ikke kan vende tilbage til deres normale hverdag, og hvor lungerne i nogle tilfælde er fulde af arvævsforandringer, kan nu se frem til at blive behandlet i senfølgeklinikker.

Ifølge Sundhedsstyrelsens »Anbefalinger til organisering og faglige indsatser« skal hver region oprette specialiserede tværfaglige team, og der kan f.eks. etableres afsnit for senfølger af COVID-19. Der er tale om murstensløse centre, og de skal oprettes på tværs af specialer og fagligheder, lyder det.

Sundhedsstyrelsen skriver, at der ikke findes en officiel definition på senfølger af COVID-19, hverken i Danmark eller internationalt, så man kan afgøre, hvornår symptomer er senfølger. De betragter senfølger som helbredsproblemer, der opstår under eller i tiden lige efter, at den akutte virusinfektion er overstået, og er vedvarende i minimum seks uger i forlængelse af sygdommen.

Nogle regioner har allerede oprettet de murstensløse klinikker, andre er godt på vej. Fælles er, at lægerne står over for en stor lægefaglig opgave med at koordinere, indsamle og dele data om senfølger med resten af landet og resten af verden, hvor forskning i senfølger også foregår i lyntempo.

En undersøgelse fra England viser f.eks., at omkring en ud af ti patienter i forskellig gradhar senfølger efter COVID-19. Nogle er påvirket i flere måneder efter, viser studiet, der er lavet blandt mere end 8.000 tidligere positive COVID-19-smittede.

Bygger flyet, imens det letter

I Region Nordjylland blev senfølgeklinikken oprettet fra 1. december, og ledende overlæge på Infektionsmedicinsk Afdeling på Aalborg Universitetshospital, Michael Dalager-Pedersen har blot ventet på det sidste grønne lys fra regionen til at begynde arbejdet. Herfra vil de få bedre data, så de præcist kan afdække de hyppigste senfølger, siger han.

Michael Dalager-Pedersen peger på, at det er ukendte faktorer, lægerne står overfor, fordi der er tale om en helt ny infektionssygdom.

»Den er først lige ved at blive beskrevet, og senfølger og deres varighed er først lige ved at blive klarlagt. Derfor er det lidt som at bygge flyet, imens det er ved at lette, at få senfølgeklinikkerne i gang. Når det er sagt, så er der allerede en del data, og vi genkender noget af det billede, som vi ser ved andre infektionssygdomme. Vi ser det f.eks. ved influenza og sepsis, hvor der kan være senfølger, som svarer til det her«.

LÆS OGSÅ: Er senfølgeklinikker til COVID-19-patienter den rigtige prioritering?

Selvom de murstensløse klinikker først lige er oprettet i Region Nordjylland, har Infektionsmedicinsk Afdeling fået patienterne henvist siden august, siger Michael Dalager-Pedersen.

»Vi har ambulatorier i infektions- og lungemedicinsk regi, så hvis nogen døjer med hoste eller åndenød, og man ikke kan håndtere det i almen praksis, bliver de henvist til vores ambulatorier«.

Han peger på, at COVID-19 typisk giver pneumoni, så der er en vis andel af patienterne, der klager over hoste og åndenød i uger og måneder efter en COVID-19-infektion. Det er også kendt fra andre årsager til lungebetændelser, også for influenza eller bakteriel lungebetændelse, siger han.

Det anderledes er ifølge Michael Dalager-Pedersen, at COVID-19 er kommet som en stor bølge i mange af verdens lande. Heldigvis har Danmark ikke været ramt så hårdt som andre lande – endnu, påpeger han.

»Men det er en ny sygdom, og vi forventer, at der kommer et vist antal patienter med COVID-19-senfølger, som vi skal se. Derfor har vi også i Region Nordjylland planlagt en senfølgeklinik«.

Parløb med lungemedicinere

Klinikken er tværfaglig og forankret i de to kernespecialer, der har håndteret meget af COVID-19-situationen i Nordjylland, nemlig lungemedicin og infektionsmedicin.

Afdelingerne kører et parløb og har efter Sundhedsstyrelsens retningslinjer planlagt en murstensløs klinik, hvor de anvender lokaler i infektionsmedicinsk regi i Aalborg og lokaler i Hobro til de COVID-19-senfølger, som er af mere lungemedicinsk karakter.

Planen er, at lungemedicinerne modtager alle henvisninger centralt, så der er én vej ind til sygehuset. Hvis den enkelte borger har luftvejsproblemer, bliver vedkommende indkaldt til vurdering primært i lungemedicinsk regi for at udelukke, at der skulle være tale om en anden alvorlig lungemedicinsk sygdom som f.eks. kræft, siger Michael Dalager-Pedersen.

Sidebar placering
Venstrestillet

»Hvis der ikke er tegn på lungesygdom eller nogen historik om luftvejsgener, så kommer patienterne til infektionsmedicinsk vurdering. Der har vi en holistisk og individualiseret tilgang til den enkelte patient«.

Stor forskningsindsats i gang

Sundhedsstyrelsen beskriver i alt 21 symptomer på senfølger, og det videre forløb vil afhænge af, hvordan den enkelte patient har det, og hvad de er plaget af, forklarer Michael Dalager-Pedersen.

Ifølge Michael Dalager-Pedersen findes der allerede en del international forskning om senfølger, og indsamling af data er også en del af Michael Dalager-Pedersens arbejde med de nye senfølgeklinikker.

»Vi kigger blandt andet på hjerte-kar-påvirkning og blodpropdannelse i forbindelse med og efter COVID-19. Både her i Aalborg og tværregionalt arbejder man med at karakterisere senfølger«.

Han uddyber:

»Enhver infektion giver anledning til inflammation, og det inflammatoriske system og koagulationssystemet taler meget sammen. Ved COVID-19 som ved andre infektioner ser vi en påvirkning af koagulationssystemet og en øget tilbøjelighed til blodpropdannelse under infektionen og kort derefter. Og det er også noget, der er beskrevet i international litteratur«.

Du siger, at flyet skal bygges, imens det letter, hvordan er det at samarbejde på tværs midt i det?

»Jeg synes egentlig, at samarbejdet er godt, men COVID-19 har været lettere kaotisk, og tingene går hurtigt«.

Kan du sammenligne med noget, du har prøvet før i dit lægeliv?

»Nej, denne situation er ny. Set med infektionsmedicinske briller er det på mange punkter en spændende tid, men også en hård tid for specialet og for vores afdelinger, der mange steder har været under pres på grund af de mange COVID-19-patienter, der er kommet i foråret og efteråret«.

Hvad tænker du om, at I så også skal huse senfølgeklinikker, når I har været igennem det pres?

»Som det er indtil videre, er det mit indtryk, at vi har kapacitet. Men vi må tales ved om nogle måneder, når vi har et bedre billede af, hvem der bliver henvist. Vi har en rigtig god primærsektor, der kan håndtere de lettere senfølger efter COVID-19 og andre infektioner. Hvor mange der ender med at blive henvist pga. svære, komplekse senfølger, vil tiden vise«.

Hvide lunger

Sidebar placering
Venstrestillet
Billede
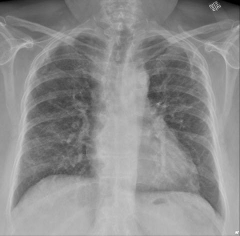
På billedet ses spredte lungeforandringer hos en patient med COVID-19. Billedet er taget 6 uger efter udskrivelsen. Kilde: Infektionsmedicinsk afdeling, OUH.  
Caption
På billedet ses spredte lungeforandringer hos en patient med COVID-19. Billedet er taget 6 uger efter udskrivelsen. Kilde: Infektionsmedicinsk afdeling, OUH.  
Sidebar placering
Venstrestillet
Billede
På billedet ses spredte lungeforandringer hos en patient med COVID-19. Billedet er taget 6 uger efter udskrivelsen. Kilde: Infektionsmedicinsk afdeling, OUH.  
Caption
På billedet ses spredte lungeforandringer hos en patient med COVID-19. Billedet er taget 6 uger efter udskrivelsen. Kilde: Infektionsmedicinsk afdeling, OUH.  
Sidebar placering
Venstrestillet

Samarbejdet skal ske med Steffen Helmer Eg Kristensen, ledende overlæge på Lungemedicinsk Afdeling på Aalborg Universitetshospital.

Han siger i tråd med Michael Dalager-Pedersen, at mange infektionssygdomme kan give senfølger, men at der ikke tidligere har været nogen systematisk opfølgning.

»Det betyder meget for os, at vi ikke får puttet patienter i en senfølgekasse og senere finder ud af, at de fejler noget andet. Mange symptomer, som vi hører om efter COVID-19, er uspecifikke og kan principielt også være alt muligt andet – både ondartede ting og bindevævssygdomme. Derfor er der en vigtig opgave i at finde ud af, om det drejer sig om noget andet«.

Steffen Helmer Eg Kristensen forklarer, at patienter med svære lungeforandringer er hyppige blandt COVID-19-patienter med senfølger.

»Umiddelbart ligner det, hvad vi kender fra andre virale lungepåvirkninger. Vi kender det fra influenza, hvor man kan

få hvide, dårlige lunger og arvævsforandringer. Det er bare meget hyppigere ved COVID-19 end ved influenza«.

Det anderledes er desuden, at lægerne ser symptomer fra rigtige mange forskellige organsystemer, forklarer Steffen Helmer Eg Kristensen.

»Vi oplever, at symptomer fra nogle organsystemer forsvinder og dukker op igen. Det er et andet mønster end det, vi er vant til. Vi skal have samlet sammen, så vi får erfaring med, hvor meget der går over af sig selv, og hvad der ikke gør. Lige nu har vi ikke nogen egentlig overordnet behandling. Før vi kan få det, skal vi samle sammen og have erfaring. Hvis alle regioner samler sammen, vil vi få overblik«.

Fuld sving på Odense Universitetshospital

På Odense Universitetshospital er lægerne lidt længere i processen.

Her åbnede senfølgeklinikken den 1. november, og lægerne har set patienter med senfølger længe, siger specialeansvarlig overlæge på Infektionsmedicinsk Afdeling, Isik Somuncu Johansen.

Hun er en af de læger, der ser patienterne i senfølgeklinikken på Odense Universitetshospital.

»De, der har været indlagt og udskrevet, har vi fulgt meget standardiseret efter program siden foråret«, siger Isik Somuncu Johansen.

Hun peger på, at lægerne allerede fra starten kunne se, at nogle patienter havde svære lungeforandringer, som krævede længere opfølgning.

Senere i løbet af sommeren kom der flere henvendelser med senfølger, hvor patienterne havde haft symptomer på eller bekræftet COVID-19-infektion.

»Patienterne klagede over voldsom træthed og koncentrationsbesvær, og de kunne ikke gennemføre de ting, de kunne, før de blev ramt af sygdommen. Der er et komplekst symptombillede, efter at den akutte infektion er overstået. Og det er nemt at tilgå, når det er lungesymptomer, men de andre diffuse symptomer kræver mere struktureret gennemgang og håndtering«, siger Isik Somuncu Johansen.

Ledende overlæge på Infektionsmedicinsk Afdeling på Odense Universitetshospital, Anne Øvrehus, peger på, at patienterne har været der, også før begrebet senfølgeklinikker opstod.

»Men vi har siden 1. november visiteret patienterne ind til det mere strukturerede tilbud. Hvor de først får taget blodprøver

og røntgenbilleder og besvarer en række spørgeskemaer, der skal afdække, hvilke nye gener de har fået efter deres COVID-19«.

På spørgsmålet om, hvorfor COVID-19 er en sygdom, der kræver senfølgeklinikker, svarer hun, at behovet er drevet af manglende viden om senfølger og omfanget af, hvad lægerne kan forvente.

»Når vi ikke ved nok om det, er det en god idé at samle i klinikker på færre hænder, så man kan lave erfaringsopsamling og sidenhen rådgive om, hvad der er forventeligt, og hvad vi kan gøre ved det. Alternativet var, at de komplekse tilfælde lå hos alle landets praktiserende læger, og så ville det måske tage længere tid, før vi fik den nødvendige viden og erfaring«, siger Anne Øvrehus.

Tovholderfunktion

Anne Øvrehus forklarer, at lægerne lægger bådeen udredningsplan og en genoptræningsplan, så de får en systematisk tilgang og afdækker problemer ved hjælp af spørgeskemaer, test og undersøgelser.

»På den måde har vi i senfølgeklinikken under COVID-19-ambulatoriet på Odense Universitetshospital en tovholderfunktion, hvor vi prøver at finde ud af, hvad det lige er med denne patient. Vi lægger en plan for, hvordan vi bliver klogere. Hvis der er brug for noget rehabilitering, træning eller afklaring af neurologiske symptomer eller lungesymptomer, så sørger vi for, at patienten kommer det rigtige sted hen«.

Klinikken samarbejder med regionale sygehuse og interne samarbejdspartnere på Odense Universitetshospital, forklarer Anne Øvrehus.

»Ved hjælp af samarbejdet ved vi, at når vi sender patienter til hjerteafdelingen, er det præcis de patienter, de gerne vil se, og når vi sender patienter til lungeafdelingen, er det de patienter, de gerne vil se. Vi tilpasser patientforløbene til den viden, vi har nu om følger efter COVID-19«.

Hvordan samler I op?

»Indtil videre laver vi et program, der er det samme for alle, og data samles sammen. Indtil videre i vores egen database, som vi lige knap har oprettet. Fra regionernes side er det et krav, at der bliver lavet en kvalitetsdatabase, hvor vi også kan samle data. De patienter, vi har haft indlagt, har vi i foråret fulgt op systematisk og har viden. Det er samme værktøjer, vi tager i brug. Vores fokus er på det deskriptive. Det gælder om at få fokus på, hvad det er for data på patienter. Lige nu har vi i danske opgørelser ikke meget andet end det, vi kan læse i dagspressen«.

Sidebar placering
Venstrestillet
500 og 600 patienter i senfølgeklinikkerne

Michael Dalager-Pedersen og Steffen Helmer Eg Kristensen har vurderet behov

til en kapacitet på op til 600 patienter med COVID-19-senfølger pr. år, men det reelle behov er usikkert.

Deres vurdering bygger bl.a. på data fra udlandet, hvor omkring 10% er beskrevet med senfølger i seks uger, og de kender endnu ikke til det fulde omfang i Danmark.

De forventer, at omkring 100.000 danskere har haft COVID-19 inden udgangen af 2020. Meget vil afhænge af pandemiens videre forløb og COVID-19-spredningen i Danmark i de kommende måneder.

Region Syddanmark har dimensioneret efter, at de skal se ca. 500 patienter i senfølgeklinikken, og det er inkl. dem, der har været indlagt og udskrevet. De 125 vil ligge i Sygehus Lillebælt, som har deres tilpassede program.

Ombryd tekst
0
Brødtekst

Michael Dalager-Pedersen og Steffen Helmer Eg Kristensen har vurderet behov

til en kapacitet på op til 600 patienter med COVID-19-senfølger pr. år, men det reelle behov er usikkert.

Deres vurdering bygger bl.a. på data fra udlandet, hvor omkring 10% er beskrevet med senfølger i seks uger, og de kender endnu ikke til det fulde omfang i Danmark.

De forventer, at omkring 100.000 danskere har haft COVID-19 inden udgangen af 2020. Meget vil afhænge af pandemiens videre forløb og COVID-19-spredningen i Danmark i de kommende måneder.

Region Syddanmark har dimensioneret efter, at de skal se ca. 500 patienter i senfølgeklinikken, og det er inkl. dem, der har været indlagt og udskrevet. De 125 vil ligge i Sygehus Lillebælt, som har deres tilpassede program.

Article type
Journal
Magazine
Section
Woodwing Id
36813
Images
c0483211-lungs_affected_by_covid-19_atypical_pneumonia_3d_ct_s.jpg
Subtitle

Sundhedsstyrelsen har sat gang i oprettelsen af nye klinikker til patienter med senfølger efter COVID-19 i de fem regioner. Nogle klinikker er stadig under konstruktion, andre er oprettet og ser patienter. Vi bygger flyet, imens det letter, lyder det.

Authors

Ditte Damsgaard, dd@dadl.dk

Temaer
0 likes