Medlem i

12 years 10 months
Indholdselementer

Kun de 50-75-årige bør screenes for kolorektal cancer > Ann Intern Med



Sidebar placering
Venstrestillet
Billede
Sidebar placering
Venstrestillet





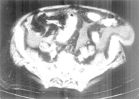
Alle i alderen 50-75 år bør screenes for kolorektal cancer - enten screening af fæces for blod, sigmoideoskopi eller koloskopi med forskellige intervaller, afhængigt af metoden. Ældre patienter bør ikke screenes regelmæssigt.

Dette fremgår af tre relaterede artikler publiceret i oktober i Annals of Internal Medicine.

Ifølge forfatteren Evelyn Whitlock fra Kaiser Permanente Northwest i Portland, USA, har US Preventive Services Task Force (USPSTF) i 2002 anbefalet screening af alle over 50 år. Sammen med kollegaer har hun nu systematisk gennemgået litteraturen mhp. opdatering af anbefalingerne.

De konkluderer bl.a., at fire immunhistokemiske metoder med en bedre sensitivitet (61-91%) og den samme specificitet (97-98%) som konventionelle fæcesundersøgelser for blod er »fornuftige« nye alternativer. Virtuel koloskopi baseret på computertomografi er lige så sensitiv som koloskopi ved store læsioner (> 10 mm).

I den anden artikel anbefaler forfatterne gentagelse af koloskopi hvert tiende år, af sigmoideoskopi hvert femte år eller af konventionelle fæcesundersøgelser for blod hvert år.

I en tredje artikel opsummerer USPSTF anbefalingerne: screening af personer på 50-75 år, ingen screening af personer over 85 år, individuel vurdering af personer i alderen 76-84 år. Der mangler evidens til vurdering af risiciene forbundet med de nyere fæcesundersøgelser for blod og undersøgelser med virtuel koloskopi.

Hans Jørgen Nielsen, Gastroenheden, Hvidovre Hospital, kommenterer: »De amerikanske anbefalinger er i tråd med de af Dansk Colorectal Cancer Gruppe (DCCG) anbefalede retningslinjer: Befolkningsscreening af 50-75-årige personer ved anvendelse af Hemocult-II og med efterfølgende koloskopi ved positiv test. Anbefalingen baseres på resultater, som viser, at man derved kan opnå en reduktion i dødeligheden af kolorektal cancer på 16-30%.«

Whitlock EP, Lin JS, Liles E et al. Screening for Colorectal Cancer. Ann Intern Med 2008, 6. okt. (epub ahead of print).

Zauber AG, Lansdorp-Vogelaar I, Knudsen AB et al. Evaluating test strategies for colorectal cancer screening. Ann Intern Med 2008, 6. okt. (epub ahead of print).

U.S. Preventive Services Task Force. Screening for colorectal cancer. Ann Intern Med 2008, 6. okt. (epub ahead of print).

Olanzapin øger vægten hos anoreksipatienter
> Am J Psychiatry

Behandling med olanzapin øger vægten og reducerer obsessive symptomer hos anoreksipatienter, viser en randomiseret, placebokontrolleret og dobbeltblindet undersøgelse publiceret i oktober i American Journal of Psychiatry.

Hanny Bissada og kollegaer fra University of Ottawa i Canada interviewede i 2000-2006 147 patienter mhp. deltagelse i studiet, hvoraf kun 34 accepterede at deltage.

Alle patienterne blev tilknyttet et daghospital. De blev randomiseret til enten olanzapin eller placebo. Patienterne i interventionsgruppen fik i gennemsnit 6,6 mg olanzapin dagligt.

Efter 13 uger var det gennemsnitlige body mass index (BMI) hos patienterne i olanzapingruppen steget signifikant mere end i kontrolgruppen (fra 16,39 til 20,30 kg/mg2 vs. 15,93 til 19,66 kg/mg2; p = 0,03).

Vurderinger med validerede skalaer viste en signifikant bedring i obsessive symptomer i olanzapingruppen.

Der var dog ikke nogen signifikante forskelle på ændring på depressive symptomer, angstsymptomer eller kompulsive symptomer.

Thomas Brinck, Klinik for Spiseforstyrrelser, Psykiatrisk Center Gentofte, kommenterer: »Der synes at være marginale forskelle til fordel for den gruppe, der fik olanzapin mht. vægtøgningshastighed og tvangssymptomer. Dette støtter den kliniske erfaring, at udvalgte patienter, der er i et struktureret behandlingsforløb og har udtalte tvangssymptomer og ritualisering kan have gavn af nyere antipsykotika som adjuvans i en periode.

Undersøgelsen ændrer ikke ved det forhold, at treatment of choice ved anoreksi fortsat er vægtøgning, adfærdsterapi, psykoterapi og ofte tværfaglig behandlingsindsats m.m., og at der endnu ikke er fundet medicin med specifik effekt på anorexia nervosa«.

Undersøgelsen er økonomisk understøttet af Eli Lilly.

Bissada H, Tasca GA, Barber AM et al. Olanzapine in the treatment of low body weight and obsessive thinking in women with anorexia nervosa. Am J Psychiatry 2008;165:1281-8.

Tidlig parenteral ernæring hos traumepatienter øger risikoen for infektioner
> J Am Coll Surg

Tidlig parenteral ernæring hos patienter med svære traumer og insufficient peroral kalorieindtag er forbundet med øget risiko for infektioner, konkluderes det i en artikel publiceret i oktobernummeret af Journal of the American College of Surgeons.

»Selv om brug af parenteral ernæring er vel undersøgt hos patienter, der gennemgår elektive kirurgier, er der kun lidt evidens, der støtter brugen hos patienter med svære traumer«, skriver førsteforfatteren Mathew Sena fra University of California, Davis Medical Center.

I dette retrospektive studie indgik 567 patienter, som deltog i en prospektiv undersøgelse om traumer og inflammation. Forfatterne sammenlignede effektmålene hos traumepatienter, som fik parenteral ernæring, med effektmålene hos dem, der ikke fik parenteral ernæring, selv om deres enterale ernæring var insufficient i forhold til deres kaloriebehov.

De 249 patienter, som fik både enteral og parenteral ernæring i de første syv dage, havde flere infektioner end dem, der ikke fik parenteral ernæring (relativ risiko: 1,6), især på grund af systemiske infektioner (relativ risiko: 2,8). Selv om forskellen ikke var signifikant, havde mortaliteten en tendens til at være højere blandt de patienter, der fik parenteral ernæring, end blandt dem, der ikke fik parenteral ernæring (relativ risiko: 2,3; p = 0,06).

Lars Heslet, Intensivafdeling, Rigshospitalet, kommenterer: »Undersøgelsen er interessant, fordi det forhøjede kalorietilbud i parenteral ernæring-gruppen tilsyneladende medførte en gunstig effekt målt ved øget albuminkoncentration som udtryk for forbedret ernæringstilstand. Men prisen var en øget infektionsrisiko. En forklaring kunne være lipidinfusionen hos parenteral ernæring-gruppen, fordi intravenøs lipid både reducerer det cellulære immunforsvar og øger risikoen for akut respiratorisk distress-syndrom. Derfor bør tidlig parenteral ernæring undgås hos svært traumatiserede patienter, også selv om enteral ernæring ikke medfører tilstrækkeligt kalorietilbud«.

Sena MJ, Utter GH, Cuschieri J et al. Early supplemental parenteral nutrition is associated with increased infectious complications in critically ill trauma patients. J Am Coll Surg 2008;207:459-67.

B-vitamin forhindrer ikke kognitiv funktionsnedsættelse
> JAMA

Sænkning af plasmahomocystein med B-vitamintilskud hos patienter, der har Alzheimers sygdom og i forvejen normale koncentrationer af B-vitaminer og homocystein, forhindrer ikke kognitiv funktionsnedsættelse, konkluderes det i en randomiseret, dobbeltblindet undersøgelse publiceret i oktober i Journal of the American M edical Association.

Paul Aisen fra University of California i San Diego og kollegaer bag Alzheimer Disease Cooperative Study randomiserede 202 patienter til B-vitamin-behandling og 138 patienter til placebo på 40 centre i USA.

Patienterne havde mild til moderat Alzheimers sygdom og normale værdier for folsyre, B12-vitamin og homocystein. Patienterne i B-vitamin-gruppen blev behandlet med høje doser folat (5 mg/d), B6- og B12-vitaminer (25 mg/d hhv. 1 mg/d).

Efter 18 måneder var der en signifikant større reduktion i homocysteinkoncentrationen hos interventionspatienterne. Men der var ikke nogen signifikant forskel på det primære effektmål - kognitiv funktionsændringsraten målt ved en valideret skala (Alzheimer Disease Assessment Scale). Bivirkningsprofilerne var ens i begge grupper - med undtagelse af depressionsrelaterede symptomer, som var hyppigere i B-vitamin-gruppen (28% vs. 18%; p = 0,2).

Arne Astrup, Klinisk Ernæringsenhed, Gentofte Hospital: »Undersøgelsen er endnu en i en række eksempler, hvor der er stærke holdepunkter fra observationelle epidemiologiske studier og mekanismestudier for, at næringsstofmangel kan spille en kausal rolle for sygdomsudvikling eller -modifikation, men hvor de randomiserede, placebokontrollerede studier klart afkræfter, at sammenhængen er kausal. Undersøgelsen dokumenterer også, at det ikke er ufarligt at ordinere høje doser af vitaminer til sine patienter: Uden at de havde gavn af behandlingen øgedes deres risiko for depressive tilstande signifikant. Alt for mange læger ordinerer kosttilskud i flæng uden at observere, at de reelt skader deres patienter«.

Aisen PS, Schneider LS, Sano M et al. High-dose B vitamin supplementation and cognitive decline in Alzheimer disease. JAMA 2008;300:1774-83.

Sidebar placering
Venstrestillet
Article type
Journal
Magazine
Section
Woodwing Id
211297
Authors

Redigeret af læge Claudio Csillag, claudio@dadlnet.dk

0 likes
Read time
6