Medlem i

13 years 1 month
Indholdselementer

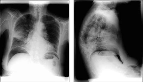
En 86-årig kvinde blev indlagt pga. et døgn varende smerter i nakken, thorax og diffust i abdomen. Hun havde i øvrigt ingen symptomer (Fig. 1).

Klinisk var patienten smertepåvirket, let febril (med en temperatur på 37,8º C) og med stetoskopisk udtalt krepitation på hø. bag- og sideflade. Abdomen var øm, blød, meteoristisk og med normale tarmlyde. Biokemisk fandtes et leukocyttal på 17 mio./l og CRP på 400 mg/l (normalområde <10 mg/l). Røntgen af thorax viste som ventet et stort højresidigt infiltrat, men desuden en anden akut behandlingskrævende tilstand: luft under begge diafragmakupler. Patienten blev samme dag opereret for perforeret ulcus ventriculi.

Ovenstående sygehistorie viser, at ældre patienter kan have en anden symptomatologi og klinisk fremtræden end lærebogen foreskriver, hvorfor der skal udvises skærpet diagnostisk opmærksomhed over for denne patientgruppe.

Ida E. Gjørup & Hanne Hansen, H:S Bispebjerg Hospital, medicinsk afdeling I og røntgenafdelingen


Sidebar placering
Venstrestillet
Billede
Sidebar placering
Venstrestillet
Article type
Journal
Magazine
Section
Woodwing Id
218825
Authors

Månedens billede redigeres af: Margrethe Herning, Jens Otto Lund, Margit Mantoni, Peter Skinhøj og Tove Agner.

0 likes
Read time
1