Medlem i

7 years 7 months
Indholdselementer
Fakta

Abstract

Introduction: The treatment strategy for appendiceal mass is controversial, ranging from operation or image-guided drainage to conservative treatment with or without antibiotics. The aim of this study was to assess the various treatment modalities with respect to complications and treatment failure.

Methods: The analysis was based on the principles of a qualitative systematic review. The literature was searched in PubMed for the period from 1966 to March 2014. The articles were reviewed with respect to complications, treatment failure and hospital stay. Papers on post-operative intra-abdominal abscesses and abscesses of any cause other than appendicitis were excluded as were also studies only describing recurrent appendicitis and/or interval appendectomy. Sub-analyses were performed in children, adults, and in mixed populations.

Results: A total of 48 studies were found eligible; they included in total 3,772 patients. Operation for appendiceal mass was beset with a moderate to high risk of complications of up to 57% and a risk of intestinal resection of up to 25%. Major complications were observed in up to 18% of cases. Conservative treatment with or without antibiotics was associated with a treatment failure rate of 8-15%. Drainage was beset with a risk of complications of 2-15% and a risk of treatment failure of 2-13%.

Conclusion: Operation with appendectomy for appendiceal mass carries a high risk of complications compared with conservative treatment or drainage. Drainage may lower the risk of treatment failure but entails a risk of complications. Based on the best evidence, we propose a step-down treatment strategy.

Funding: not relevant.

Trial registration: not relevant.

Ombryd tekst
0
Brødtekst

Abstract

Introduction: The treatment strategy for appendiceal mass is controversial, ranging from operation or image-guided drainage to conservative treatment with or without antibiotics. The aim of this study was to assess the various treatment modalities with respect to complications and treatment failure.

Methods: The analysis was based on the principles of a qualitative systematic review. The literature was searched in PubMed for the period from 1966 to March 2014. The articles were reviewed with respect to complications, treatment failure and hospital stay. Papers on post-operative intra-abdominal abscesses and abscesses of any cause other than appendicitis were excluded as were also studies only describing recurrent appendicitis and/or interval appendectomy. Sub-analyses were performed in children, adults, and in mixed populations.

Results: A total of 48 studies were found eligible; they included in total 3,772 patients. Operation for appendiceal mass was beset with a moderate to high risk of complications of up to 57% and a risk of intestinal resection of up to 25%. Major complications were observed in up to 18% of cases. Conservative treatment with or without antibiotics was associated with a treatment failure rate of 8-15%. Drainage was beset with a risk of complications of 2-15% and a risk of treatment failure of 2-13%.

Conclusion: Operation with appendectomy for appendiceal mass carries a high risk of complications compared with conservative treatment or drainage. Drainage may lower the risk of treatment failure but entails a risk of complications. Based on the best evidence, we propose a step-down treatment strategy.

Funding: not relevant.

Trial registration: not relevant.

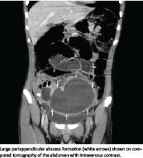
Suspicion of acute appendicitis is one of the most common reasons for hospital admittance and emergency operations [1, 2]. In patients suffering from acute appendicitis, up to 7% will present with an appendiceal mass [3-5]. The pathological spectrum may range from discrete phlegmone to abscess formation [1, 2].

The optimal treatment of patients with an appendiceal mass is controversial and treatment strategies are based on sparse evidence [6, 7]. The different treatment strategies include conservative treatment with or without antibiotics, percutaneous, trans-rectal or trans-vaginal drainage and surgical treatment [1]. Conservative treatment may prolong hospital stay and convalescence, and surgical treatment carries a risk of intestinal resection and major complications. Drainage may carry a risk of both treatment failure and complications [2, 8].

This systematic review was undertaken to perform a critical analysis of outcome after conservative treatment with or without antibiotics, percutaneous drainage, and surgical treatment of appendiceal mass in children and adults. The primary outcome was treatment failure and complications, and the secondary outcome was duration of hospital stay. This review does not address treatment for recurrent appendicitis and interval appendectomy (“cold” appendicitis).

METHODS

The present analysis was based on the principles for qualitative systematic reviews as described by PRISMA [9, 10]. The search strategy and PICOS (Population, Interventions, Comparators, Outcomes, Study designs of interest) were made as described below. The heterogeneity of studies and the fact that the majority of the studies were uncontrolled retrospective series precluded a statistical meta-analysis.

Search strategy

The literature was searched through PubMed from 1966 to March 2014 using the following MeSH terms (and free text terms on a combination of these): “Appendicitis” [MeSH] AND (“abscess” [MeSH] OR “mass” [All Fields] OR “appendiceal” [All Fields] OR “conservative” [All Fields] OR “phlegmone” [All Fields] OR “interval” [All Fields]) AND (“humans” [MeSH Terms] AND English [lang]). A “free text term” search on combinations of the above terms was also performed in the Embase and Cochrane Library and included cross-reference to the referenced articles.

Study exclusion criteria

Only English language articles were included. Only original articles were included, thus reviews and meta-analysis were excluded. Papers on post-operative intra-abdominal abscesses/mass and abscesses of any cause other than appendicitis were excluded, as was papers including poorly defined subpopulations of patients with appendiceal mass. Furthermore, studies only describing recurrent appendicitis and/or interval appendectomy were excluded from the analysis. Finally, we excluded non-randomised studies including less than 20 patients (Figure 1).

Definitions and outcomes

We defined an appendiceal mass as an inflammatory mass consisting of an inflamed appendix and adjacent viscera, ranging from phlegmone to well-defined abscess [1-3, 11]. Diagnosis of appendiceal mass was based on clinical examination, computed tomography (CT), trans-abdominal ultrasound (US) or peroperative findings. Treatment failure with conservative treatment or percutaneous drainage was defined as unsuccessful in case of operation during the same hospital admission or shortly after discharge (less than one week). Surgical treatment was defined as attempted operative appendectomy either with laparotomy or laparoscopy. Treatment outcome for phlegmone and abscess was noted separately whenever possible. Complications after drainage and surgical treatment were divided into major and minor complications [12]. Major complications were defined as severe and potentially fatal complications comprising death and those requiring reoperation, except for wound opening due to infection [12]. All other complications were defined as minor complications. Both surgical and medical complications were included. As almost all included studies, rarely mentioned complications due to surgery after treatment failure, it was not possible to summarise these systematically. In several papers, it was not possible to distinguish between the total number of complications and complications per patient, and the analysis therefore included total numbers of complications. Clinical presentation and mean hospital stay were noted whenever these had been reported. Children ≤ 15 years and adult patients were analysed separately when possible. Studies reporting a mixture of paediatric and adult patients were classified as mixed.

Trial registration: not relevant.

RESULTS

If possible and for reasons of clarity (see methods above), we report results separately for children and adults. From a pool of 2,496 potentially relevant studies, we included 48 studies (three prospective randomised studies (RCT), four prospective non-randomised studies, and 41 retrospective studies) with a total of 3,772 patients (Figure 1). Results from the literature are summarised in Table 1. On the basis of the analysis, we have proposed a treatment algorithm for the management of the appendiceal mass (Figure 2), and evidence-based recommendations are summarised (Table 2). Finally, a brief overview of the overall incidence failure rate and complications after treatment with antibiotics, percutaneous drainage, and surgery is provided in Table 3.

Conservative treatment with or without antibiotics

Children

We identified four uncontrolled retrospective studies (Table 1). Treatment failure was reported in 8/77, 65/411, 5/59 and 7/37 (8-19%) of cases [13-16] with a conservative regimen (with or without antibiotics). Unfortunately, the clinical presentation of the patients was only described sporadically.

Based on weak evidence, up to 19% of children presenting with appendiceal mass may experience treatment failure with conservative treatment.

Adults

Two uncontrolled retrospective studies were included (Table 1). One study (n = 67) found that 10/10 patients with phlegmone (no abscess on CT) responded on antibiotics alone [17]. Similar results were found in the other study (n = 40) where 9/9 of the patients with phlegmone responded to antibiotics [18].

Thus, weak evidence suggests that most adult patients with periappendicular phlegmone can be successfully treated using antibiotics alone.

Mixed

Two retrospective studies (Table 1) found that treatment failure with antibiotic treatment occurred in 23/193 and 9/40 (12-23%) [19, 20]. Treatment failure was defined as lack of clinical improvement, mechanical ileus, sepsis and persistent abscess. One patient died during hospitalisation, but the cause of death was not reported [19]. The clinical presentation of the patients was not described.

Conclusively, weak evidence from mixed patients with appendiceal mass suggests that treatment failure after using conservative treatment with antibiotics may reach 23%.

Percutaneous drainage

Children

Seven retrospective studies were included (Table 1). These studies reported data from patients treated with antibiotics and percutaneous drainage. Overall, treatment failure was seen in 19/73, 3/32, 0/36, 6/96, 1/42, 2/105 (0-26%) [21-26] of cases. In one small study, a high risk of treatment failure was observed in 10/23 (43%) in the subgroup of patients who underwent percutaneous drainage [21]. In another study, the risk of major complications related to drainage was 4/37 (11%) and in another study 0/42 [25, 27]. Drain-related complications were not reported in the remaining studies. In two studies, the clinical presentation was pain and fever and no clinical signs of generalised peritonitis [21, 22], whereas no information was provided in the remaining four studies.

In summary, percutaneous drainage may carry a risk of major complications of up to 11% and risk of treatment failure in up to 43% of cases.

Adults

Four retrospective studies were included (Table 1). One of the retrospective studies reported results for drainage after lack of clinical improvement with antibiotic treatment for at least 72 hours [17]. Clinical presentation was fever and leucocytosis. On this regimen, 30/66 patients (45%) had a drainage procedure performed and 4/30 (13%) underwent surgery after drainage due to lack of clinical improvement. No complications were reported in the patients who received antibiotics alone. One infection at a drain site was observed. The other three retrospective studies found treatment failure in 3/40, 5/94 and 4/41 (5-15%) for antibiotics and CT- or US-guided drainage, but not all included patients received a drainage procedure [18, 28, 29]. Complications to drainage in these studies were abscess perforation to the peritoneal cavity (1/17 patients) and small-bowel obstruction (1/41 and 1/94 patients) [18, 28, 29]. The clinical presentation of the patients was not described.

Thus, treatment failure with drainage may reach 15%. Major complications may appear in up to 6% of cases.

Mixed

We identified one RCT, one prospective non-randomised and one retrospective study (Table 1). The prospective randomised study (n = 50) compared intravenous antibiotics with a combination US-guided percutaneous drainage and antibiotics [30]. Treatment failure was significantly higher with 8/25 (32%) in the antibiotic group compared with 1/25 (4%) in the drainage group. Hospital stay was significantly longer for the drainage group than for the antibiotic group. Inclusion criteria were appendiceal abscess larger than 3 cm in diameter, and the clinical presentation was fever and leucocytosis. The prospective non-randomised study (n = 70) showed treatment failure in 4/32 (12.5%) on antibiotics alone [31]. Thirteen of 28 patients (46%) treated with drainage developed fistulas, and one patient underwent emergency operation due to diffuse peritonitis. The clinical presentation was fever, leucocytosis and pain in the right lower quadrant. In the retrospective study, no treatment failure was reported but two patients had an ileocecal resection performed due to entero-cutaneous fistulas (8%) [32]. The clinical presentation in this study included right lower quadrant pain, diffuse abdominal pain and/or fever and leucocytosis.

Thus, drainage may lower the risk of treatment failure compared with conservative treatment. However, drainage may be associated with a moderate risk of complications.

Surgical treatment

Children

One RCT, two prospective non-randomised studies and four retrospective studies were included (Table 1). In the prospective randomised study (n = 40) comparing surgical treatment and percutaneous drainage, 4/20 patients (20%) had treatment failure after drainage and subsequently underwent surgical intervention [33]. There was no significant difference in number of complications between drainage and surgery. Clinical presentation included fever and leucocytosis. In one of the prospective non-randomised studies (n = 22), no complications were reported after laparoscopic surgery [34]. In another non-randomised prospective study (n = 82) and in the four retrospective studies comparing conservative treatment or drainage with surgery, there were treatment failure in 10/48, 0/32, 6/29, 3/31 and 0/21 (0-21%) [35-39]. Minor complications were reported in 4/34, 6/60, 12/36, 9/16 and 2/19 (10-56%) [35–39] and major complications in 4/36, 3/16 and 2/19 (10.5-19%) [37-39]. The clinical presentation in these studies was pain, fever vomiting and for some patients rebound and guarding.

In conclusion, surgical treatment in children proably carries a high risk of minor complications in up to 56% of cases and a risk of major complications in up to 19% of cases.

Adults

A total of 13 retrospective studies were included (Table 1). Ten of these studies compared a conservative regimen or drainage with surgery. Thus minor and major complications were found in 12/21, 30/36, 34/67, 0/13, 10/40, 27/43, 6/15, 34/104, 22/78 and 30/95 (0-57%) [4, 40-48]. Three uncontrolled retrospective studies assessed complications after surgical intervention without comparison with other treatment modalities and found overall complications in 10/34, 12/114 and 18/47 (10.5-38%) [49–51]. Complications were mostly minor, but in five studies the frequency of major complications was 4/68, 13/67, 2/40, 7/43, 7/78, 5/95 and 4/47 (5-19%) [40, 41, 43, 44, 47, 48, 51]. Ileocecal resections were performed in 1/21, 2/13, 10/40, 5/43, 6/95 and 5/47 (5-25%) [4, 42-44, 48, 51]. Complication rates in patients receiving additional antibiotic treatment and/or drainage were found in 7/68, 15/88, 0/16, 0/43 0/15 (0-17%) with major complications in 1/68, 5/88 [40, 41, 43-45]. The rate of treatment failure was 3/68, 0/16, 1/43 and 0/15 (0-5%) for the regimes with antibiotics and drainage [40, 43-45], whereas treatment failure was 6/27, 3/30, 0/17, 6/69 and 3/101 (0-22%) in the groups treated with antibiotics alone [4, 42, 46-48]. In two of the studies, patients with signs of generalised peritonitis and severe sepsis were excluded [41, 45]. The clinical presentation in four of the studies was right lower quadrant pain, fever, raised c-reactive protein and leucocytosis [40, 44, 46, 47], whereas there was no information on clinical presentation in the other studies [4, 42, 43].

In conclusion, surgical treatment in adults carries a risk of complications in up to 57% and major complications in up to 19% of cases. In adult patients, the risk of intestinal resection may be 5-25%.

Mixed

We found one RCT, three prospective non-randomised studies and four retrospective studies (Table 1). In the prospective randomised study (n = 60) 6/20 minor complications were reported after surgical intervention compared with 0/40 after conservative treatment [52]. The clinical presentation was right lower quadrant pain, whereas the exclusion criteria were free air or pus collection in the pelvis on x-ray/US. The three non-randomised prospective studies and three of the retrospective studies found the complication rates due to surgery in 5/30, 10/19, 19/88, 5/15, 15/42 and 15/46 (17-52%) of cases, most of these were minor [53-58], whereas treatment failure was 4/29, 0/28 and 13/88 (0-15%) in the conservative regime/drainage groups [53-55]. The clinical presentation was only reported in two studies (right lower quadrant pain, fever and leucocytosis) [57, 58]. The last retrospective study (n = 92) reported outcomes from ileocecal resections as the primary treatment modality of appendiceal mass [59]. A total of 59% had a primary anastomosis. Complications were seen in 25/92 (27%) of which 5/92 (5%) were major complications.

In summary, the risk of minor complications in mixed patients after surgical treatment may be up to 52%, and the risk of major complications may reach 5%.

Sidebar placering
Venstrestillet
Billede
Sidebar placering
Venstrestillet
Billede
Sidebar placering
Venstrestillet
Billede
Sidebar placering
Venstrestillet
Billede
Sidebar placering
Venstrestillet
Billede
Sidebar placering
Venstrestillet
Billede
Sidebar placering
Venstrestillet
Billede
Sidebar placering
Venstrestillet
Article type
Journal
Magazine
References

LITERATURE

1. Nitecki S, Assalia A, Schein M. Contemporary management of the appendiceal

mass. Br J Surg 1993;80:18-20.

2. Meshikhes A-WN. Management of appendiceal mass: controversial issues

revisited. J Gastrointest Surg 2008;12:767-75.

3. Andersson RE, Petzold MG. Nonsurgical treatment of appendiceal abscess

or phlegmon: a systematic review and meta-analysis. Ann Surg

2007;246:741-8.

4. Arnbjörnsson E. Management of appendiceal abscess. Curr Surg

1984;41:4-9.

5. Kaminski A, Liu I-LA, Applebaum H et al. Routine interval appendectomy is

not justified after initial nonoperative treatment of acute appendicitis.

Arch Surg 2005;140:897-901.

6. Corfield L. Interval appendicectomy after appendiceal mass or abscess in

adults: what is “best practice”? Surg Today 2007;37:1-4.

7. Ahmed I, Deakin D, Parsons SL. Appendix mass: do we know how to treat

it? Ann R Coll Surg Engl 2005;87:191-5.

8. Vargas HI, Averbook A, Stamos MJ. Appendiceal mass: conservative

therapy followed by interval laparoscopic appendectomy. Am Surg

1994;60:753-8.

9. Liberati A, Altman DG, Tetzlaff J et al. The PRISMA statement for reporting

systematic reviews and meta-analyses of studies that evaluate healthcare

interventions: explanation and elaboration. BMJ 2009;339:b2700.

10. Wille-Jørgensen P, Renehan AG. Systematic reviews and meta-analyses in

coloproctology: interpretation and potential pitfalls. Colorectal Dis

2008;10:21-32.

11. Simillis C, Symeonides P, Shorthouse AJ et al. A meta-analysis comparing

conservative treatment versus acute appendectomy for complicated

appendicitis (abscess or phlegmon). Surgery 2010;147:818-29.

12. Bisgaard T, Kehlet H, Bay-Nielsen MB et al. Nationwide study of early

outcomes after incisional hernia repair. Br J Surg 2009;96:1452-7.

13. Shipsey MR, O’Donnell B. Conservative management of appendix mass in

children. Ann R Coll Surg Engl 1985;67:23-4.

14. Gillick J, Velayudham M, Puri P. Conservative management of appendix

mass in children. Br J Surg 2001;88:1539-42.

15. Gahukamble DB, Gahukamble LD. Surgical and pathological basis for

interval appendicectomy after resolution of appendicular mass in children.

J Pediatr Surg 2000;35:424-7.

16. Janik JS, Ein SH, Shandling B et al. Nonsurgical management of appendiceal

mass in late presenting children. J Pediatr Surg 1980;15:574-6.

17. Yamini D, Vargas H, Bongard F et al. Perforated appendicitis: is it truly a

surgical urgency? Am Surg 1998;64:970-5.

18. Bagi P, Dueholm S. Nonoperative management of the ultrasonically

evaluated appendiceal mass. Surgery 1987;101:602-5.

19. Skoubo-Kristensen E, Hvid I. The appendiceal mass: results of conservative

management. Ann Surg 1982;196:584-7.

20. Thomas DR. Conservative management of the appendix mass. Surgery

1973;73:677-80.

21. Nadler EP, Reblock KK, Vaughan KG et al. Predictors of outcome for

children with perforated appendicitis initially treated with non-operative

management. Surg Infect (Larchmt) 2004;5:349-56.

22. Emil S, Duong S. Antibiotic therapy and interval appendectomy for

perforated appendicitis in children: a selective approach. Am Surg

2007;73:917-22.

23. Owen A, Moore O, Marven S et al. Interval laparoscopic appendectomy in

children. J Laparoendosc Adv Surg Tech A 2006;16:308-11.

24. Ein SH, Langer JC, Daneman A. Nonoperative management of pediatric

ruptured appendix with inflammatory mass or abscess: presence of an

appendicolith predicts recurrent appendicitis. J Pediatr Surg

2005;40:1612-5.

25. McCann JW, Maroo S, Wales P et al. Image-guided drainage of multiple

intraabdominal abscesses in children with perforated appendicitis: an

alternative to laparotomy. Pediatr Radiol 2008;38:661-8.

26. Zhang H-L, Bai Y-Z, Zhou X et al. Nonoperative management of

appendiceal phlegmon or abscess with an appendicolith in children.

J Gastrointest Surg 2013;17:766-70.

27. Keckler SJ, Tsao K, Sharp SW et al. Resource utilization and outcomes from percutaneous drainage and interval appendectomy for perforated

appendicitis with abscess. J Pediatr Surg 2008;43:977-80.

28. Tekin A, Kurtoğlu HC, Can I et al. Routine interval appendectomy is

unnecessary after conservative treatment of appendiceal mass. Colorectal

Dis 2008;10:465-8.

29. Marin D, Ho LM, Barnhart H et al. Percutaneous abscess drainage in

patients with perforated acute appendicitis: effectiveness, safety, and

prediction of outcome. AJR Am J Roentgenol 2010;194:422-9.

30. Zerem E, Salkic N, Imamovic G et al. Comparison of therapeutic

effectiveness of percutaneous drainage with antibiotics versus antibiotics

alone in the treatment of periappendiceal abscess: is appendectomy

always necessary after perforation of appendix? Surg Endosc 2007;21:

461-6.

31. Jeffrey RB, Federle MP, Tolentino CS. Periappendiceal inflammatory

masses: CT-directed management and clinical outcome in 70 patients.

Radiology 1988;167:13-6.

32. Lasson A, Lundagårds J, Lorén I et al. Appendiceal abscesses: primary

percutaneous drainage and selective interval appendicectomy. Eur J Surg

2002;168:264-9.

33. St Peter SD, Aguayo P, Fraser JD et al. Initial laparoscopic appendectomy

versus initial nonoperative management and interval appendectomy for

perforated appendicitis with abscess: a prospective, randomized trial.

J Pediatr Surg 2010;45:236-40.

34. Goh BKP, Chui C-H, Yap T-L et al. Is early laparoscopic appendectomy

feasible in children with acute appendicitis presenting with an appendiceal

mass? A prospective study. J Pediatr Surg 2005;40:1134-7.

35. Samuel M, Hosie G, Holmes K. Prospective evaluation of nonsurgical

versus surgical management of appendiceal mass. J Pediatr Surg

2002;37:882-6.

36. Roach JP, Partrick DA, Bruny JL et al. Complicated appendicitis in children:

a clear role for drainage and delayed appendectomy. Am J Surg

2007;194:769-72, discussion 772-3.

37. Gästrin U, Josephson S. Appendiceal abscess-acute appendectomy or

conservative treatment. Acta Chir Scand 1969;135:539-42.

38. Puri P, Boyd E, Guiney EJ et al. Appendix mass in the very young child.

J Pediatr Surg 1981;16:55-7.

39. Erdoğan D, Karaman I, Narci A et al. Comparison of two methods for the

management of appendicular mass in children. Pediatr Surg Int

2005;21:81-3.

40. Brown CVR, Abrishami M, Muller M et al. Appendiceal abscess: immediate

operation or percutaneous drainage? Am Surg 2003;69:829-32.

41. Oliak D, Yamini D, Udani VM et al. Initial nonoperative management for

periappendiceal abscess. Dis Colon Rectum 2001;44:936-41.

42. Foran B, Berne TV, Rosoff L. Management of the appendiceal mass. Arch

Surg 1978;113:1144-5.

43. Balzarotti R, Smadja C, Saint Yves G et al. Elective versus urgent

laparoscopic appendectomy for complicated appendicitis. Minerva Chir

2009;64:9-16.

44. Tingstedt B, Bexe-Lindskog E, Ekelund M et al. Management of

appendiceal masses. Eur J Surg 2002;168:579-82.

45. Aranda-Narváez JM, González-Sánchez AJ, Marín-Camero N et al.

Conservative approach versus urgent appendectomy in surgical

management of acute appendicitis with abscess or phlegmon. Rev Esp

Enferm Dig 2010;102:648-52.

46. Liu Z-F, Yu J-C, Hsieh H-F et al. Perforated appendicitis: urgency or interval

surgery? Zentralbl Chir 2007;132:539-41.

47. Hurme T, Nylamo E. Conservative versus operative treatment of

appendicular abscess. Experience of 147 consecutive patients. Ann Chir

Gynaecol 1995;84:33-6.

48. Lewin J, Fenyö G, Engström L. Treatment of appendiceal abscess. Acta Chir

Scand 1988;154:123-5.

49. Vakili C. Operative treatment of appendix mass. Am J Surg 1976;131:

312-4.

50. Cunnigaiper ND, Raj P, Ganeshram P, Venkatesan V. Does Ochsner-Sherren

regimen still hold true in the management of appendicular mass? Ulus

Travma Acil Cerrahi Derg 2010;16:43-6.

51. Kaya B, Sana B, Eris C et al. Immediate appendectomy for appendiceal

mass. Turkish J Trauma Emerg Surg 2012;18:71-4.

52. Kumar S, Jain S. Treatment of appendiceal mass: prospective, randomized

clinical trial. Indian J Gastroenterol 2004;23:165-7.

53. Marya SK, Garg P, Singh M et al. Is a long delay necessary before

appendectomy after appendiceal mass formation? A preliminary report.

Can J Surg 1993;36:268-70.

54. Hoffmann J, Rolff M, Lomborg V et al. Ultraconservative management of

appendiceal abscess. J R Coll Surg Edinb 1991;36:18-20.

55. Arshad M, Aziz LA, Qasim M et al. Early appendicectomy in appendicular

mass – a Liaquat University Hospital experience. J Ayub Med Coll

Abbottabad 2008;20:70-2.

56. Gibeily GJ, Ross MN, Manning DB et al. Late-presenting appendicitis:

a laparoscopic approach to a complicated problem. Surg Endosc

2003;17:725-9.

57. Jordan JS, Kovalcik PJ, Schwab CW. Appendicitis with a palpable mass. Ann

Surg 1981;193:227-9.

58. Bahram M. Evaluation of early surgical management of complicated

appendicitis by appendicular mass. Int J Surg 2011;9:101-3.

59. Lane JS, Schmit PJ, Chandler CF et al. Ileocecectomy is definitive treatment

for advanced appendicitis. Am Surg 2001;67:1117-22.

60. Tzivanakis A, Singh JC, Guy RJ et al. Influence of risk factors on the safety

of ileocolic anastomosis in Crohn’s disease surgery. Dis Colon Rectum

2012;55:558-62.

61. Ambrosetti P, Chautems R, Soravia C et al. Long-term outcome of

mesocolic and pelvic diverticular abscesses of the left colon: a prospective

study of 73 cases. Dis Colon Rectum 2005;48:787-91.

62. Kumar RR, Kim JT, Haukoos JS et al. Factors affecting the successful

management of intra-abdominal abscesses with antibiotics and the need

for percutaneous drainage. Dis Colon Rectum 2006;49:183-9.

Woodwing Id
1
Fil
Conflict of interest
Authors workplaces
1) Department of Surgery, Køge-Roskilde Hospital2) Department of Surgery, Odense University Hospital3) Department of Surgery, Hvidovre Hospital
Bib ref
Dan Med J 2014;61(8):A4881
Article number
A4881
Authors

Jesper Olsen1, Jan Skovdal1, Niels Qvist2 & Thue Bisgaard3,

0 likes