Medlem i

7 years 7 months
Indholdselementer
Fakta

Abstract

Introduction: The aim of this study was to report our results with open transgastric necrosectomy for walled-off necrosis in acute pancreatitis over a period of ten years.

Methods: Patients operated at the department from 2003 until 2012 were studied retrospectively.

Results: A total of 50 patients had surgery. The median age was 55 years (range: 17-79 years). The presumed aetiologies were: gallstones (n = 28), alcohol (n = 8) and other causes (n = 14). The median preoperative stay at hospital was 50 days (range: 2-150 days). Bacterial culture from the necrotic tissue was positive in 26 patients (52%), negative in 15 patients (30%); and in nine patients, no information on this was available. In all, 22 patients (44%) had one or more incidents (i.e. abdominal compartment syndrome, bleeding, new abscess, pleural effusion or delayed gastric emptying) where additional invasive therapy was needed. Ten patients (20%) died during their admission to our department. In total, 18 (45%) patients developed late complications defined as endocrine and/or exocrine malfunction of the pancreas (diabetes (n = 10), exocrine insufficiency (n = 4), both diabetes and exocrine insufficiency (n = 4)).

Conclusion: Acute pancreatitis with walled-off necrosis has a high mortality rate. Need for additional therapy following necrosectomy was associated with fatal outcome. Endocrine and exocrine insufficiency was often seen at follow-up.

Funding: none.

Trial registration: The study was approved by the Danish Data Protection Agency via Region of Southern Denmark (case no. 13/29319).

Ombryd tekst
0
Brødtekst

Abstract

Introduction: The aim of this study was to report our results with open transgastric necrosectomy for walled-off necrosis in acute pancreatitis over a period of ten years.

Methods: Patients operated at the department from 2003 until 2012 were studied retrospectively.

Results: A total of 50 patients had surgery. The median age was 55 years (range: 17-79 years). The presumed aetiologies were: gallstones (n = 28), alcohol (n = 8) and other causes (n = 14). The median preoperative stay at hospital was 50 days (range: 2-150 days). Bacterial culture from the necrotic tissue was positive in 26 patients (52%), negative in 15 patients (30%); and in nine patients, no information on this was available. In all, 22 patients (44%) had one or more incidents (i.e. abdominal compartment syndrome, bleeding, new abscess, pleural effusion or delayed gastric emptying) where additional invasive therapy was needed. Ten patients (20%) died during their admission to our department. In total, 18 (45%) patients developed late complications defined as endocrine and/or exocrine malfunction of the pancreas (diabetes (n = 10), exocrine insufficiency (n = 4), both diabetes and exocrine insufficiency (n = 4)).

Conclusion: Acute pancreatitis with walled-off necrosis has a high mortality rate. Need for additional therapy following necrosectomy was associated with fatal outcome. Endocrine and exocrine insufficiency was often seen at follow-up.

Funding: none.

Trial registration: The study was approved by the Danish Data Protection Agency via Region of Southern Denmark (case no. 13/29319).

Most patients with acute pancreatitis have a mild course with a short hospital stay. However, 10-20% of the patients have severe acute pancreatitis characterised by multiple organ failure and necrosis of the pancreas. The mortality of this latter group can reach 50% [1].

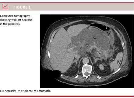
The corner stone in the treatment of severe acute pancreatitis is supportive care, which can include ventilator therapy, dialysis and parenteral nutrition. Necrosis of the pancreas/peripancreatic tissue is often seen in these severe cases (Figure 1). There is consensus
that infected necrosis should be removed by drainage/necrosectomy, but intervention on sterile collections is also recommended if the patient has ongoing organ failure, abdominal compartment syndrome, ongoing gastric/intestinal/biliary outlet obstruction, persistent symptoms or disconnected duct syndrome with persisting symptomatic collection(s) [2]. The methods and the timing of drainage/necrosectomy have changed over the years. Thus, laparotomy with subsequent continuous rinsing via drains or laparostomy with repeat necrosectomy used to be the dominant methods. Currently, intervention is often sought accomplished by less invasive procedures such as external ultrasound-guided drainage. In case of therapeutic failure this can then be followed by transgastric necrosectomy performed either by endoscopy or by laparoscopy/-tomy (the step-up approach) [3]. Regardless of the procedure chosen, it should not be performed within four weeks after the onset of the disease in order to make the necrosis encapsulate.

By the beginning of the new millennium, we started treating those patients with acute pancreatitis who had organised necrosis, now referred to as walled-off necrosis by the newest Atlanta classification [4], with transgastric necrosectomy and marsupialisation done via an open procedure. Our initial experience with this procedure has been published previously [5]. The aim of this study was to report our results over a period of ten years after getting more familiar with this technique.

METHODS

Patients

Patients operated (operation codes JLC50, JLC 96 or JLD10) at the Department of Surgery, Odense University Hospital, Denmark, from 1 January 2003 to 31 December 2012 due to walled-off necrosis following an episode of acute pancreatitis were studied retrospectively by reviewing their hospital records. We registered gender, age, aetiology, days of stay in hospital before operation, infection of the necrosis, post-operative incidents requiring therapy, length of post-operative stay, post-operative pancreatic failure and mortality. The study was approved by the Danish Data Protection Agency via the Region of Southern Denmark (case no. 13/29319).

Surgical procedure

Indication for surgery was based on the patient’s clinical condition and the laboratory tests (primarily white blood cell count and C-reactive protein) combined with the findings at computed tomography (CT). A systematic description of the CT finding by, e.g., the modified CT severity index [6] was not used at our institution. In addition, our approach on these patients was to avoid pre-operative puncture/drainage of the fluid collection and, thus, preoperative culture was not done. Patients were operated via either an upper midline or a transversal subcostal incision. Intraoperative ultrasonography was used to decide the site of incision of both the anterior and the posterior wall of the stomach (Figure 2). After taking a sample for bacterial culture, necrosectomy was performed digitally or using a sponge forceps. The aim was to remove all loose dead tissue. Repeat peri-operative ultrasound and flushing of the cavity with saline water were done in order to accomplish this. An approximately 3-cm anastomosis between the cavity wall and the posterior stomach was made by interrupted sutures so that non-demarked dead tissue could later pass through to the stomach and additional intervention should be unnecessary. A tube was left in the stomach and the incision of the anterior stomach was closed in one or two layers according to the surgeon’s preference. Preoperative antibiotics (cefuroxime/meropenem and metronidazole) were administered and this treatment was continued post-operatively and changed according to the found bacteriology. Liquids were allowed the following day, and patients started solid food intake on an individual judgment. Patients discharged alive were seen in the outpatient clinic after one and three months. If
no problems related to the performed surgical procedure were present, no further control was performed.

Trial registration: The study was approved by the Danish Data Protection Agency via the Region of Southern
Denmark (case no. 13/29319).

RESULTS

A total of 50 patients (31 men, 19 women) had transgastric necrosectomy for walled-off necrosis in the ten-year period. Twenty-two procedures were performed in the first five years and 28 in the last five years. The median age was 55 years (range: 17-79 years). The presumed aetiology was gallstones in 28 patients and alcohol in eight patients. The remaining 14 patients had other specified causes or no known aetiology. Fifteen patients were treated at our own department from the onset of the disease until surgery, and 35 were referred from other departments for surgery. The median total preoperative stay at hospital was 50 days (range: 2-150 days). Ten patients had a stay at the intensive care unit before surgery. In four patients, endoscopic ultrasound-guided drainage of the fluid collection had been performed before surgery. All these procedures were done in the last five-year period.

Bacterial culture from the necrotic tissue was positive in 26 patients (52%), negative in 15 patients (30%) and in nine patients, no information on this was available. Nine patients had concomitant cholecystectomy.
In total, 22 patients (44%) had one or more incidents (i.e. abdominal compartment syndrome, bleeding, new abscess, pleural effusion or delayed gastric emptying) where additional therapy was needed (Table 1).

Forty patients (80%) were discharged alive, and ten patients (20%) died during their admission to the department. The median post-operative stay for patients discharged alive was 20 days (range: 4-65 days), whereas the time from surgery to death was 14 days (range: 6-135 days). A comparison between those with a fatal outcome and those who survived is shown in Table 2. 90% of the ten patients who died had one or more incidents requiring therapy. In six of the patients who died, the cause of death was multiple organ failure. Of the remaining four patients, one died of several intestinal fistulas following a long period with open abdomen due to abdominal compartment syndrome, one died of severe bleeding despite repeat coiling and one died of liver failure due to liver vein thrombosis. The last patient died of aspiration pneumonia the day before discharge from the department had otherwise been planned.

In total, 18 patients were observed at follow-up to have developed late complications defined as endocrine and/or exocrine malfunction of the pancreas. Of these, ten had developed diabetes, four were treated with pancreas enzymes for exocrine pancreatic insufficiency and four had both endocrine and pancreatic insufficiency malfunction. No case with pancreato-cutaneous fistula was observed.

DISCUSSION

Severe acute pancreatitis is a potentially lethal disease. In this series with patients who had open necrosectomy for wall-off necrosis, the in-hospital mortality was 20%. This figure is slightly higher than the one observed if other less invasive techniques are performed. Thus, systematic reviews on percutaneous drainage and on endoscopic transluminal necrosectomy in necrotising pancreatitis have shown mortality rates of 17% and 6%, respectively [7, 8]. However, it could be that less invasive strategies are used in selected patients with a relatively mild disease. Thus, a non-systematic review of studies each including more than 100 patients operated with open necrosectomy showed mortality rates between 11% and 39% [9]. This high mortality rate observed in older studies might be the reason why some advocate that less invasive strategies like ultrasound-guided drainage should be tried initially. However, this modality can stand alone in only one third of the patients [3], and the vast majority of patients still needs to have an active necrosectomy performed either via an endoscope, via laparotomy/laparoscopy or via a retroperitoneal approach. Thus, the discussion on how to do remove fluid collections/infected necrosis is still ongoing.

To the authors’ knowledge, only one randomised trial has compared endoscopic transluminal versus surgical necrosectomy [10]. No difference in mortality was observed, but patients with surgical necrosectomy had more complications and needed fewer re-interventions. However, the study was very limited in size (only included 22 patients) and surgical necrosectomy could be performed in different ways. An ongoing Dutch multi-centre trial is comparing endoscopic transluminal approach with a surgical step-up approach in order to identify the best strategy [11], and the results are awaited. One big problem in dealing with severe acute pancreatitis with organised necrosis is that it is a very seldom disease. Thus, our department with a catchment population of 1.2 million inhabitants had 50 patients in ten years. This means that there are around 20-25 patients per year in Denmark with severe pancreatitis requiring necrosectomy. Hence, the Dutch multi-centre study expects to include 98 patients in a four-year period as the Dutch population is three times larger than the Danish population. As a Danish multi-centre study comparing different approaches for necrosectomy would be almost impossible to perform, it is very important for the single departments which deal with these patients to register their chosen strategy and make their results public.

Late complications like diabetes and/or exocrine pancreatic insufficiency are also seen. In the present study, 18 of the surviving 40 patients were observed to be treated for these conditions at follow-up. This figure corresponds well to other series on late complications following necrosectomy for acute pancreatitis [12, 13]. Compared with these studies, no cases of pancreatico-cutaneous fistulas were noted in our series because the drainage approach is via the stomach and not through the skin.

CONCLUSION

Acute pancreatitis with walled-off necrosis had a high mortality rate and need for additional therapy because incidents following necrosectomy were associated with a fatal outcome. Late complications (diabetes and/or exocrine pancreatic insufficiency) are often observed.

Correspondence: Alan Patrick Ainsworth, Kirurgisk Afdeling A, Sdr. Boulevard 29, Odense Universitetshospital, 5000 Odense C, Denmark.
E-mail: alan.ainsworth@dadlnet.dk

Accepted: 16 June 2015

Conflicts of interest:Disclosure forms provided by the authors are available with the full text of this article at www.danmedj.dk

Sidebar placering
Venstrestillet
Billede
Sidebar placering
Venstrestillet
Sidebar placering
Venstrestillet
Billede
Sidebar placering
Venstrestillet
Sidebar placering
Venstrestillet
Billede
Sidebar placering
Venstrestillet
Sidebar placering
Venstrestillet
Billede
Sidebar placering
Venstrestillet
Article type
Journal
Magazine
References

REFERENCES

  1. Aitken EL, Gough V, Jones A et al. Observational study of intra-abdominal pressure monitoring in acute pancreatitis. Surgery 2014;155:910-8.

  2. Working Group IPA/APA Acute Pancreatitis Guidelines. IPA/APA evidence-based guidelines for the management of acute pancreatitis. Pancreatology 2013;13(suppl 2):e1-e15.

  3. van Santvoort HC1, Besselink MG, Bakker OJ et al. A step-up approach or open necrosectomy for necrotizing pancreatitis. N Engl J Med 2010;362:1491-502.

  4. Banks PA, Bollen TL, Dervenis C et al. Classification of acute pancreatitis – 2012: revision of the Atlanta classification and definitions by international consensus. Gut 2013;62:102-11.

  5. Ainsworth AP, Nielsen HO, Mortensen MB. Transgastric necrosectomy by open surgery in necrotising acute pancreatitis. Ugeskr Læger 2007;169:126-8.

  6. Mortele KJ, Wiesner W, Intriere L et al. A modified CT severity index for evaluating acute pancreatitis: improved correlation with patient outcome. AJR Am J Roentgenol 2004;183:1261-5.

  7. van Baal MC, van Santvoort HC, Bollen TL et al. Systematic review of percutaneous catheter drainage as primary treatment for necrotizing pancreatitis. Br J Surg 2011;98:18-27.

  8. van Brunschot S, Fockens P, Bakker OJ et al. Endoscopic transluminal necrosectomy in necrotising pancreatitis: a systematic review. Surg Endosc 2014;28:1425-38.

  9. Raraty MG, Halloran CM, Dodd S et al. Minimal access retroperitoneal pancreatic necrosectomy: improvement in morbidity and mortality with a less invasive approach. Ann Surg 2010;251:787-93.

  10. Bakker OJ, van Santvoort HC, van Brunschot S et al. Endoscopic transgastric vs surgical necrosectomy for infected necrotizing pancreatitis: a randomized trial. JAMA 2012;307:1053-61.

  11. van Brunschot S, van Grinsven J, Voermans RP et al. Transluminal endoscopic step-up approach versus minimally invasive surgical step-up approach in patients with infected necrotising pancreatitis (TENSION trial): design and rationale of a randomised controlled multicenter trial. BMC Gastroenterol 2013;13:161.

  12. Connor S, Alexakis N, Raraty MG at al. Early and late complications after pancreatic necrosectomy. Surgery 2005;137:499-505.

  13. Tzovaras G, Parks RW, Diamond T et al. Early and long-term results of surgery for severe necrotising pancreatitis. Dig Surg 2004;21:41-6.

Woodwing Id
1
Fil
Conflict of interest
Authors workplaces
Department of Surgery, Odense University Hospital, Denmark
Bib ref
Dan Med J 2015;62(9):A5131
Article number
A5131
Authors

Malene Just Busse & Alan Patrick Ainsworth

0 likes