Medlem i

7 years 7 months
Indholdselementer
Fakta

ABSTRACT

Introduction: Stoma-site incisional hernia is a common complication. Besides decreasing affected patients’ quality of life, it may lead to emergency surgery due to incarceration. If stoma sites lead to an incisional hernia analogous to other abdominal incisions, considerable underreporting may be present in the literature.

Methods: This was a single-centre, retrospective cohort study comprising consecutive patients undergoing laparoscopic rectal resection for rectal carcinoma with temporary diverting stoma and subsequent stoma reversal. CTs were reviewed to identify stoma-site incisional hernia, and potential confounders for development of a hernia were assessed.

Results: A total of 91 patients underwent stoma reversal and subsequent CT. In all, 72 of the 91 included patients had a transverse colostomy, among whom 19 (26%) developed a hernia. Among the remaining 19 patients treated with an ileostomy, four (21%) developed stoma-site incisional hernia. The mean time from stoma reversal to follow-up CT was 47.6 months (range: 28.5-66.7 months). No significant associations between stoma-site hernia and the included potential risk factors were observed.

Conclusions: 25% developed reversal-site incisional hernia. We were unable to find any predictors for development of stoma reversal-site hernia. If hernias occur as frequently as this study shows, investigation of potential ways to decrease their occurrence is warranted.

Funding: none.

Trial registration: The study was approved by the Danish Data Protection Agency (R. no. 2012-58-0004).

 

Ombryd tekst
0
Brødtekst

ABSTRACT

Introduction: Stoma-site incisional hernia is a common complication. Besides decreasing affected patients’ quality of life, it may lead to emergency surgery due to incarceration. If stoma sites lead to an incisional hernia analogous to other abdominal incisions, considerable underreporting may be present in the literature.

Methods: This was a single-centre, retrospective cohort study comprising consecutive patients undergoing laparoscopic rectal resection for rectal carcinoma with temporary diverting stoma and subsequent stoma reversal. CTs were reviewed to identify stoma-site incisional hernia, and potential confounders for development of a hernia were assessed.

Results: A total of 91 patients underwent stoma reversal and subsequent CT. In all, 72 of the 91 included patients had a transverse colostomy, among whom 19 (26%) developed a hernia. Among the remaining 19 patients treated with an ileostomy, four (21%) developed stoma-site incisional hernia. The mean time from stoma reversal to follow-up CT was 47.6 months (range: 28.5-66.7 months). No significant associations between stoma-site hernia and the included potential risk factors were observed.

Conclusions: 25% developed reversal-site incisional hernia. We were unable to find any predictors for development of stoma reversal-site hernia. If hernias occur as frequently as this study shows, investigation of potential ways to decrease their occurrence is warranted.

Funding: none.

Trial registration: The study was approved by the Danish Data Protection Agency (R. no. 2012-58-0004).

 

Stoma reversal is a common procedure, particularly following rectal resection with primary anastomosis and temporary diverting stoma. Stoma-site incisional hernia is a common complication to stoma takedown. In a systematic review from 2012, the pooled incisional hernia rate following stoma takedown was 7.4% with wide variation across the studies ranging 0-48% [1]729 closed stomas. Median follow-up time was 36 months but was only described in seven studies. Closure of loop ileostomies was the most commonly performed procedure (48%. In most centres, ileostomies are more common, and most publications focus on ileostomies. Thus, only limited data are available on incisional herniation of transverse colostomies. Midline incisional hernia is common, occurring in 20-30% of patients undergoing laparotomy [2]where ultrasound yields a significant number of additional hernias compared to clinical examination alone. Not many studies have evaluated the value of computed tomography (CT. Besides reducing the quality of life of the affected patients, incisional hernia reduces the abdominal wall function and the respiratory function and may lead to emergency surgery due to hernia incarceration [3]. If stoma sites lead to an incisional hernia analogous to other abdominal incisions, considerable underreporting may be present in the literature.

The aim of this study was to identify the incisional hernia rate following reversal of a temporary diverting stoma by evaluating CTs as part of standard rectal carcinoma follow-up. In addition, potential risk factors involved in the development of incisional herniation were evaluated.

Methods

This was a single-centre, retrospective cohort study comprising consecutive patients undergoing laparoscopic rectal resection for rectal carcinoma with temporary diverting stoma and subsequent stoma reversal. Patients eligible for the study underwent laparoscopic rectal resection with diverting stoma from January 2008 to January 2016 at a university hospital and subsequently underwent stoma reversal.

As the aim of the study was to identify the incidence of stoma-site incisional hernia, only patients with a CT following their stoma reversal were included, as CT is considered the optimal method for diagnosing incisional hernia [4]. CTs to look for signs of cancer recurrence are performed every two years.

The demographic data included in the study were gender, age, BMI, comorbidities, and smoking status. The intraoperative data collected were type and location of the stoma, reversal technique (intra-abdominal access through stoma-site incision or incision elsewhere), adjuvant chemotherapy, time between initial operation and stoma reversal, and suturing technique used for abdominal-wall closure (type of suture, interrupted/running). Post-operatively, 30-day complications to the stoma reversal procedure were registered.

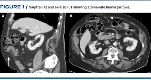
The review of CTs took place between March and April 2018. The latest CT was reviewed on all included patients in order to identify whether any incisional hernia was present at the former stoma site. All CTs were performed while the patient was in a supine position and receiving intravenous contrast fluid (Figure 1). Since the CTs were performed to look for recurrence of malignancy, a standard hernia CT protocol with patients performing the Valsalva manoeuvre was not used.

Sidebar placering
Venstrestillet
Billede
Sidebar placering
Venstrestillet

A hernia was defined as “Any abdominal wall gap with or without a bulge in the area of a post-operative scar perceptible or palpable by clinical examination or imaging” as proposed by Korenkov et al [5] and later adopted by the European Hernia Society [6]. However, in our definition, hernia also included a protrusion of intra-abdominal contents.

The study was approved by the Danish Data Protection Agency (R. no. 2012-58-0004) and the management of the Digestive Disease Center, Bispebjerg Hospital, Denmark, as part of a quality assurance project.

Statistics

Continuous data were reported as mean ± standard deviation and compared between the groups using Student’s T-test. Categorised data were reported as n/N (%) and compared between the groups using the χ2-test. Time to follow-up was reported as mean and range. The incidence of incisional hernia was given as both crude incidence, n/N (%) and cumulative incidence. The statistical software used for all analyses was R 3.3.1 (Foundation for Statistical Computing, Vienna, Austria).

Trial registration: The study was approved by the Danish Data Protection Agency (R. no. 2012-58-0004).

Results

A total of 168 patients underwent laparoscopic rectal resection with diverting stomas in the study period. Exclusions are presented in Figure 2. Among the 62 excluded patients with no medical records, 55 were deceased and had no medical records transferred to the new medical platform. The remaining seven patients had moved to another region and had no CT follow-up in our region. Eleven patients never had their stoma reversed. Two patients received a permanent stoma shortly after reversal due to complications. Thus, a total of 91 patients were included in this study (Figure 1).

Sidebar placering
Venstrestillet
Billede
Sidebar placering
Venstrestillet

The descriptive baseline data of the 91 included patients are shown in Table 1.

The majority (93.4%) of patients had their stoma reversed by peri-stomal incision only and no laparotomy. The preferred stoma-site wall closure technique was performed with running suture, but overall there were no significant differences between patients who developed a stoma-site hernia (Table 2).

The type of diverting stoma was transverse colostomy in 72 (79.1%) patients and ileostomy in 19 patients. The mean time between primary operation and stoma-reversal surgery was 137 days (range: 10-652 days). For all stoma reversals, a certified colorectal surgeon participated in the procedure.

Sidebar placering
Venstrestillet
Billede
Sidebar placering
Venstrestillet
Billede
Sidebar placering
Venstrestillet

The mean time from stoma reversal to follow-up CT was 47.6 months (range: 28.5-66.7 months), during which 23 patients developed a stoma-site hernia. The cumulative three-year incidence of CT verified stoma-site hernia in 24.4% (95% confidence interval: 12.1-36.6). During follow-up, only one of the included patients underwent stoma-site hernia repair.

Eleven patients were re-operated due to complications to the reversal surgery. Among these, seven patients underwent a new laparotomy due to mechanical bowel obstruction (n = 4), removal of metastasis (n = 1), colon perforation (n = 1) and abdominal fascial rupture (n = 1). Four patients had minor re-surgery (not laparotomy) due to wound infection.

There were no significant differences in baseline data between patients who developed a stoma-site hernia and those who did not (Table 2).

Discussion

In the present study, CT follow-up of patients undergoing stoma reversal revealed a 25.3% incidence of stoma-site wall insufficiency with no difference regarding ileostomy or transverse colostomy. Compared to the current literature, this is a worryingly high rate. A recent meta-analysis found a pooled stoma-site hernia rate of 7%; however, the studies included showed great heterogeneity [1]. Similarly, a recent study on the stoma-site hernia rate after ileostomy reversal utilising CT at follow-up found an incidence of 11% [7]. The reasons for the higher incidence in the present study remain unclear, but they may be due to the broader definition of hernias used in our study. As development of hernias is generally seen at accumulating frequency during the postoperative years, we find it very likely that the high incidence in our study may reflect a clinical result seen after many years of observation. Also, the risk of incisional hernia appears to be higher after colostomy reversal as shown by other studies that include both ileostomies and colostomies [8, 9]. Whereas temporary colostomy carries a higher risk of prolapse and may increase the risk of subsequent incisional hernia compared with an ileostomy, the latter leads to a higher incidence of high-output stoma [10]. Thus, the findings of the present study contrast with the most recent meta-analysis comparing diverting ileostomy and colostomy in regard to late complications [11]. As there is no clear consensus with respect to the choice of either type of diverting stoma, the type of stoma is currently chosen at the surgeons’ discretion at our department.

We re-analysed all the CT scans with the specific aim of discovering all hernias, whereas some studies used the original radiologist description. This might lead to an underestimation of the incidence, since hernias might not be the primary focus of description [12]. Claes et al [2] found that CT assessed by a radiologist with a focus on finding incisional hernias showed a significantly higher number of incisional hernias than routine CT assessment or routine clinical examination did. However, their focus was on incisional laparotomy hernias after colorectal resection and not on hernias at the stoma reversal site. Furthermore, all CTs reviewed in this study were done without the Valsalva procedure, which has been shown to improve the hernia detection rate [13].

It remains unclear which factors predict the development of an incisional hernia after stoma reversal. Sharp et al [14] have defined age, diabetes, end colostomies, loop colostomies, BMI > 30 kg/m2, and undergoing urgent surgery to be significant risk factors. Brook et al [15] also found evidence that BMI and essential hypertension are major determinants for incisional herniation, and the authors concluded that the surgical procedures used for abdominal-wall closure and the type of suture had no impact on the development of incisional hernia. In our study, there were no statistically significant differences in baseline characteristics when comparing patients with stoma-site hernia to those without. However, we observed a trend toward an association between hernia formation and obesity and smoking, which is in accordance with previously reported risk factors for incisional hernia [16].

The number of patients in the present study is probably too limited to show whether differences in baseline characteristics such as age, BMI, diabetes and suture-technique were present or not.

Only limited data were available in the patient records concerning type of suture and closure technique. In three cases, these data were completely lacking from the patient records. Furthermore, surgeons likely had their own variants of suture techniques, which are not described in patient records. The lack of basic but important information about the applied technical procedures limits retrospective studies such as the present.

Stoma reversal is associated with significant morbidity, the most common being herniation and infection, with a complication rate ranging 11-43% [17]. Until now, placing a prophylactic mesh during the reversal operation has not been a common practice. However, a new study has shown that a mesh seems to be effective in preventing incisional herniation without increasing the risk of surgical complications such as infections [18]. Another study has demonstrated that the use of a prophylactic mesh reduces the occurrence of stoma-site hernia from 36% to 6% [19]. These studies were, however, retrospective observational studies with a low level of evidence. The results of an ongoing RCT to assess the effect of placing a biological mesh at the site of the stoma closure on clinical hernia rate will report soon and the results should be interesting [20].

An incisional hernia might decrease affected patients’ quality of life. It has negative health consequences since a hernia may reduce abdominal-wall function and respiratory function. The present study shows that 25% of the patients developed a stoma-site incisional hernia. The hernias were rarely described at follow-up CT, and only one patient underwent incisional hernia repair. This may indicate that the majority of stoma-reversal site incisional hernias are of little clinical significance. However, we have no data regarding the quality of life of those among our patients who developed a hernia. The missing clinical descriptions indicate that we place too little focus on the physical and psychological effects of living with a hernia.

It is a limitation that this study is retrospective.
The lack of medical records of the 62 excluded patients might introduce significant selection bias, for which we cannot account. The strength of the study is that the patients included were homogeneous as they had only one well-defined intestinal disease. Furthermore, the study includes CTs for all patients and a long follow-up time of 47.6 months.

Twenty-five percent of the patients developed a reversal-site incisional hernia. We were unable to find any predictors for the development of stoma-reversal site incisional hernia due to the small size of the cohort. If hernias occur as frequently as this study shows, we need to investigate in greater detail what the implications are for patients and how to decrease the occurrence of incisional hernias.

CORRESPONDENCE: Kristian Mongelard. E-mail: Kristian@mongelard.dk

ACCEPTED: 13 January 2020

CONFLICTS OF INTEREST: none. Disclosure forms provided by the authors are available with the full text of this article at Ugeskriftet.dk/dmj

Data sharing statement: The datasets generated during and/or analysed during the present study are available from the corresponding author on request.

Sidebar placering
Venstrestillet
Article type
Journal
Magazine
References

LITERATURE

  1. Bhangu A, Nepogodiev D, Futaba K. Systematic review and meta-analysis of the incidence of incisional hernia at the site of stoma closure. World J. Surg 2012;36:973-83.

  2. Claes K, Beckers R, Heindryckx E et al. Retrospective observational study on the incidence of incisional hernias after colorectal carcinoma resection with follow-up CT scan. Hernia 2014;18:797-802.

  3. Jensen KK, Munim K, Kjaer M et al. Abdominal wall reconstruction for incisional hernia optimizes truncal function and quality of life: a prospective controlled study. Ann Surg 2017;265:1235-40.

  4. Baucom RB, Beck WC, Holzman MD et al. Prospective evaluation of surgeon physical examination for detection of incisional hernias. J Am Coll Surg 2014;218:363-6.

  5. Korenkov M, Neugebauer E. Classification and surgical treatment of incisional hernia: results of an experts’ meeting. Langenbeck’s Arch Surg 2001;386:65-73.

  6. Muysoms FE, Miserez M, Berrevoet F et al. Classification of primary and incisional abdominal wall hernias. Hernia 2009;13:40-14.

  7. De Keersmaecker G, Beckers R, Heindryckx E et al. Retrospective observational study on the incidence of incisional hernias after reversal of a temporary diverting ileostomy following rectal carcinoma resection with follow-up CT scans. Hernia 2016;20:271-7.

  8. Bhangu A, Fletcher L, Kingdon S et al. A clinical and radiological assessment of incisional hernias following closure of temporary stomas. Surgeon 2012;10:321-5.

  9. Guzmán-Valdivia G. Incisional hernia at the site of a stoma. Hernia 2008;12:471-4.

  10. Chen J, Wang DR, Zhang JR et al. Meta-analysis of temporary ileostomy versus colostomy for colorectal anastomoses. Acta Chir Belg 2013;113:330-9.

  11. Gavriilidis P, Azoulay D, Taflampas P. Loop transverse colostomy versus loop ileostomy for defunctioning of colorectal anastomosis: a
    systematic review, updated conventional meta-analysis, and cumulative meta-analysis. Surg Today 2019;49:108-17.

  12. Fazekas B, Fazekas B, Hendricks J et al. The incidence of incisional hernias following ileostomy reversal in colorectal cancer patients
    treated with anterior resection. Ann R Coll Surg Engl 2017;99:319-24.

  13. Jaffe TA, O’Connell MJ, Harris JP et al. MDCT of abdominal wall hernias: is there a role for Valsalva’s maneuver? Am J Roentgenol 2005;184:847-51.

  14. Sharp SP, Francis JK, Valerian BT et al. Incidence of ostomy site incisional hernias after stoma closure. Am Surg 2015;81:1244-8.

  15. Brook AJ, Mansfield SD, Daniels IR et al. Incisional hernia following closure of loop ileostomy: the main predictor is the patient, not the surgeon. Surgeon 2018;16:20-6.

  16. Sørensen LT, Hemmingsen UB, Kirkeby LT et al. Smoking is a risk factor for incisional hernia. Arch Surg 2005;140:119-23.

  17. Wong KS, Remzi FH, Gorgun E et al. Loop ileostomy closure after restorative proctocolectomy: outcome in 1,504 patients. Dis Colon Rectum 2005;48:243-50.

  18. Warren JA, Beffa LR, Carbonell AM et al. Prophylactic placement of permanent synthetic mesh at the time of ostomy closure prevents formation of incisional hernias. Surgery 2018;163:839-46.

  19. Liu DSH, Banham E, Yellapu S. Prophylactic mesh reinforcement reduces stomal site incisional hernia after ileostomy closure. World J Surg 2013;37:2039-45.

  20. Pinkney T. Randomized controlled trial of standard closure of a stoma site vs biological mesh reinforcement: study protocol of the ROCSS trial. Color Dis 2018;20:O46-O54

Woodwing Id
1
Fil
Conflict of interest
Authors workplaces
Digestive Disease Center, Bispebjerg Hospital, Denmark

Dan Med J 2020;67(3):A06190353
Bib ref
Dan Med J 2020;67(3):A06190353
Article number
A06190353
Authors

Kristian Mongelard, Tommie Mynster & Kristian Kiim Jensen

0 likes