Medlem i

7 years 7 months
Indholdselementer
Fakta

Abstract

Introduction: The incidence of cutaneous melanoma is increasing in Denmark and worldwide. However, the prevalence of distant metastases at the time of diagnosis has decreased to 1%. We therefore questioned the value of routine preoperative chest X-ray (CXR) for staging asymptomatic melanoma patients and hypothesised that routine CXR is not justified.

Methods: A retrospective study was conducted on patients undergoing wide local excision and sentinel lymph node biopsy for cutaneous melanoma in the period from 2010 to 2014.

Results: A total of 603 patients were included. The mean time of follow-up was 34 months (range: 13-75 months).
Of the 603 patients, 25 (4%) had a positive CXR and 578 (96%) had a negative CXR. Four (0.7%) patients had lung metastases of whom two had a true positive and two a false negative CXR, respectively. The sensitivity was 50%, specificity was 96%, the positive predictive value was 8% and the negative predictive value was 100%.

Conclusion: Our results suggest that CXR cannot be justified in the initial staging of cutaneous melanoma patients. The guideline for the treatment of melanoma in Denmark is under revision: The use of CXR has been omitted.

Funding: This study received funding from the Department of Plastic Surgery, the Research Council at Herlev Gentofte Hospital and the Danish Cancer Society.

Trial registration: The Danish Regional Committee on Biomedical Research Ethics (r. no.: H-4-2014-127), the Danish Data Protection Agency (2012-58-0004, local record no.: HEH-2015-003, I-Suite no.: 03436) and the Danish Melanoma Group.

Ombryd tekst
0
Brødtekst

Abstract

Introduction: The incidence of cutaneous melanoma is increasing in Denmark and worldwide. However, the prevalence of distant metastases at the time of diagnosis has decreased to 1%. We therefore questioned the value of routine preoperative chest X-ray (CXR) for staging asymptomatic melanoma patients and hypothesised that routine CXR is not justified.

Methods: A retrospective study was conducted on patients undergoing wide local excision and sentinel lymph node biopsy for cutaneous melanoma in the period from 2010 to 2014.

Results: A total of 603 patients were included. The mean time of follow-up was 34 months (range: 13-75 months).
Of the 603 patients, 25 (4%) had a positive CXR and 578 (96%) had a negative CXR. Four (0.7%) patients had lung metastases of whom two had a true positive and two a false negative CXR, respectively. The sensitivity was 50%, specificity was 96%, the positive predictive value was 8% and the negative predictive value was 100%.

Conclusion: Our results suggest that CXR cannot be justified in the initial staging of cutaneous melanoma patients. The guideline for the treatment of melanoma in Denmark is under revision: The use of CXR has been omitted.

Funding: This study received funding from the Department of Plastic Surgery, the Research Council at Herlev Gentofte Hospital and the Danish Cancer Society.

Trial registration: The Danish Regional Committee on Biomedical Research Ethics (r. no.: H-4-2014-127), the Danish Data Protection Agency (2012-58-0004, local record no.: HEH-2015-003, I-Suite no.: 03436) and the Danish Melanoma Group.

The incidence of cutaneous melanoma is increasing in Denmark as well as worldwide, resulting in approximately 2,600 new annual melanoma cases in Denmark, corresponding to an incidence of 29.5 and 31.7 per 100,000 person-years for men and women, respectively [1, 2]. However, the proportion of melanoma patients in Denmark with distant metastases at diagnosis has decreased to about 1% [1].

The most common site of distant metastasis is the lymph nodes, skin, subcutaneous tissue and lungs [3]. Treatment of lung metastasis includes surgery in selected cases; otherwise, systemic treatment is usually indicated, with the new era of systemic immunotherapy allowing for potentially curative treatment [4-6]. It is therefore important to diagnose lung metastases as
early as possible [4, 5].

Current recommendations by the Danish Melanoma Group recommend staging of patients with T4 tumours with use of a chest X-ray (CXR) prior to surgical treatment in order to detect occult lung metastasis at the time of diagnosis. However, most departments have used CXR for all patients prior to wide local excision (WLE) and sentinel lymph node biopsy (SLNB) even though the evidence suggests that CXR is associated with a low yield, a low sensitivity and a high rate of false-positive tests [7-9]. However, recent years have seen growing use of fluordeoxyglucose positron emission tomography (FDG-PET) computed tomography (CT) for staging of patients with T4 tumours. We therefore questioned the value of our routine CXR for staging of asymptomatic melanoma patients and hypothesised that routine CXR is not justified.

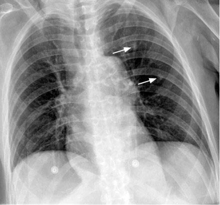
Chest X-ray of a 76-year-old woman with melanoma showing two pulmonary nodules in her left upper lung lobe consistent with metastatic disease.

METHODS

In an effort to analyse the value of routine CXR as a preoperative method for detecting occult lung metastases in asymptomatic patients undergoing WLE and SLNB for cutaneous melanoma, we conducted a retrospective study including patients treated over a five-year period with a minimum of one year of follow-up. Our primary outcome was detection of lung metastases at the time of diagnosis with CXR, and the secondary outcomes were sensitivity, specificity, and the positive and negative predictive values of CXR.

All patients undergoing SLNB of the axilla and/or groin at our department from January 2010 through December 2014 were identified from our patient register system using the procedure codes for SLNB. The patient cohort was cross-checked with the national Danish Melanoma Database (DMD) for patients who were scheduled for SLNB, but did not have the procedure performed due to metastatic disease at the time of their
diagnosis. Data were extracted from the prospectively registered DMD and cross-checked with the Danish Pathology Register and our hospital’s and collaborating hospitals’ electronic medical notes, which contain clinical data and also imaging and imaging reports.

The exclusion criteria included lack of preoperative CXR (n = 75), loss to follow-up within one year (n = 7), melanocytic tumours of uncertain malignant potential (n = 19), SNB omitted due to non-adherence to recommended surgical treatment or failure of technique (n = 6), or multiple concurrent cancers treated simultaneously (n = 1). In total, 108 patients were excluded, leaving 603 for analysis. Of the study population, 122 (20%) had more than one melanoma, either previously or during the study period. In case of multiple melanomas treated with WLE and SLNB simultaneously (n = 10) or on two or more occasions within the study period (n = 9), data from the tumour with the highest pathological stage were included in this study.

Following surgery, all patients entered a five-year surveillance programme at our unit with routine clinical follow-up; quarterly the first two years and half-yearly the following three years. No laboratory tests or imaging were performed routinely. If a patient developed symptoms or presented with clinical signs that raised suspicion of recurrence, he or she underwent further relevant examination, mostly whole body 18F-FDG PET/CT (PET/CT) and/or lymph node sonography. We applied a low threshold for PET/CT, which is readily available at our unit. A follow-up period of minimum 12 months was obtained for all patients as it was expected that any lung metastasis present at diagnosis would become clinically evident within this time frame.

The electronic CXR reports were categorised into negative, or, positive if lung metastases could not be ruled out. The medical notes were reviewed for evidence of lung metastases. If the CXR was positive and the patient developed lung metastasis, all further imaging findings, mostly PET/CT, were reanalysed by an
onco-radiologist for correlation of the findings, and if present, the CXR was defined as a true positive. If no correlation was found, the CXR was defined as a false positive. If the CXR was negative, but the patient developed lung metastasis, imaging was similarly reanalysed. If a normal PET/CT had been performed within the period of the initial diagnosis and the development of lung metastases, the preoperative CXR was categorised as a true negative. If lung metastases were suspected on the first post-operative PET/CT, regardless of time since diagnoses, the CXR was reanalysed by an onco-radiologist and defined as either a true or a false negative.

The reference standard for diagnosis of lung metastases was based on clinical notes, histopathological
examination (when available) and reading of PET/CT or CT within the follow-up period of a minimum of one year. The lung lesions that had raised suspicion of metastasis were considered to be malignant if confirmed histologically, or if PET/CT or CT results were suggestive of lung metastasis in a patient with either other histologically confirmed melanoma metastases or in a patient who progressed to dying of metastatic disease.

Statistical analyses

The statistical software package SAS 9.4 for Windows was used for all analyses. Point estimates for sensitivity, specificity, positive predictive value (PPV) and negative predictive value (NPV) were calculated. The sensitivity was the proportion of patients with lung metastases who were correctly identified by preoperative CXR. This was calculated as: true positives/(true positives + false negatives). The specificity was the proportion of patients without lung metastases who were correctly identified by the preoperative CXR. This was calculated as: true negatives/(true negatives + false positives). The PPV, which indicated the likelihood that the patient had lung metastases if the CXR was positive, was calculated as: true positives/(true positives + false positives). The NPV, which indicated the likelihood that the patient did not have lung metastases if the CXR was negative, was calculated as: true negatives/(true negatives + false negatives). Results were given as percentages and exact 95% confidence intervals (CIs).

Trial registration: The study was approved by the Danish Regional Committee on Biomedical Research Ethics
(r. no.: H-4-2014-127), the Danish Data Protection Agency (2012-58-0004, local r. no.: HEH-2015-003, I-Suite no.: 03436) and by the Danish Melanoma Group.

RESULTS

A total of 603 patients were included in the study (Table 1). The mean time of follow-up was 34 months, range: 13-75 months. Of the 603 patients, 25 (4%) had a positive CXR and 578 (96%) had a negative CXR (Table 2). Four (0.7%) patients had lung metastases confirmed.
Of these, three patients had T3 tumours with Breslow thicknesses of 2.62 mm, 2.50 mm and 2.20 mm, respectively, and one patient had a T4 tumour with a Breslow thickness of 11.37 mm. However, as the sensitivity of 50% (95% CI: 7%-93%) in Table 3 shows, only half met our primary outcome of having lung metastasis detected by CXR. The specificity was 96% (95% CI: 94-98%), the PPV was 8% (95% CI: 1-26%) and the NPV was 100% (95% CI: 99-100%) (Table 3).

Two patients (0.3%) were upstaged and management was altered in one patient (0.1%). The upstaged patients both proceeded with WLE and SLNB, and one patient underwent pulmonary metastasectomy, but progressed and died of metastatic melanoma within four months. The other patient was diagnosed with widely disseminated metastases not amenable to treatment and died within five months.

DISCUSSION

Staging of cutaneous melanoma is important in managing treatment. As part of staging, CXR has been used in order to detect asymptomatic lung metastases, which could affect treatment decisions in terms of omitting or allowing for further surgery and/or systemic therapy. However, very few patients present with occult lung
metastases at the time of diagnosis [8-10]. The overall occurrence of lung metastases at the time of diagnoses in our study was low (4/603, 0.7%). Management was altered in one patient, but with no improvement in survival. A high sensitivity is important if the use of CXR should continue to be used to identify lung metastases. However, we found a low sensitivity of only 50%. The false positive CXR rate was 4% and with the low percentage of true-positives (0.3%), the PPV was 8%. Our results are in accordance with those reported in recent studies, which have documented low detection rates, high false positive rates, a low sensitivity and a lack of significant impact on survival of staging with CXR [7-11].

Among the strengths of our study are the large number of patients, comprehensive data available on patient characteristics, follow-up data and further imaging, mostly PET/CT. All patients were treated in accordance with the national protocol from the Danish Melanoma Group [12]. Availability of the DMD, electronic medical notes from all collaborating departments and a nationwide pathology register provided any missing data. Also, all CXR suspicious of lung metastasis in patients who developed lung metastasis and all further diagnostic imaging performed on them were scrutinised by an experienced onco-radiologist for correlation. Previous studies with similar findings have been performed on smaller numbers, lacking patient characteristics or long-term follow-up or have been conducted with inhomogeneous patient groups, or evaluation of both patients in the initial phase and at subsequent follow-up visits [8, 9].

A limitation of this study was the relatively low number of patients (n = 50, 8%) with tumours thicker than 4.00 mm, who have a poorer prognosis [13]. Furthermore, we excluded 75 patients, who did not have a CXRs performed. We also only reanalysed positive CXRs and subsequent imaging of patients who developed lung metastasis.

In this study, two patients (0.3%) had false negative CXRs. However, the aggressive course of these two cases would presumably have led to the diagnosis soon hereafter, regardless of CXR, and we did not find that these cases added significantly to the diagnostic value of the routine CXRs in this study. Two patients had a true positive CXR and management was altered in one patient; however, with no improvement in survival.

A larger group of 23 (4%) patients had false positive CXRs and did undergo further examination and/or imaging. The psychological distress that these patients may undergo does not seem justified, taking into account the low prevalence of lung metastasis and the low sensitivity of CXR. The argument of having a baseline CXR on these patients does not alter this.

Despite accumulating evidence, not all centres/countries have implemented these findings, and like our own centre, they have routinely examined patients with CXR.

Lung metastases can be treated surgically or with systemic treatment that improves survival, and it is therefore important to detect lung and other metastases at an early stage [4-6, 14].

CONCLUSION

Even though CXR is an inexpensive and a readily available modality, its low diagnostic value outdates its use. Based on our results and existing evidence we conclude, in line with various international and national guidelines [15-20], that the use of routine CXR cannot be justified for initial staging of cutaneous melanoma patients. The guideline on treatment of melanoma in Denmark is
under revision: The use of CXR has been omitted and most centres in Denmark now use PET/CT for staging in patients with T4 tumours, or with clinical metastases at the time of diagnosis. Additional indications may be included in the future.

Correspondence: Caroline Asirvatham Gjørup. E-mail: caroline@gjorup.com

Accepted: 3 November 2016

Conflicts of interest:Disclosure forms provided by the authors are available with the full text of this article at www.danmedj.dk

Sidebar placering
Venstrestillet
Billede
Sidebar placering
Venstrestillet
Sidebar placering
Venstrestillet
Billede
Sidebar placering
Venstrestillet
Sidebar placering
Venstrestillet
Billede
Sidebar placering
Venstrestillet
Sidebar placering
Venstrestillet
Billede
Sidebar placering
Venstrestillet
Article type
Journal
Magazine
References

REFERENCES

  1. The Danish Melanoma Database. Annual quality report. 2014. 2015. http://melanoma.dk/.

  2. Helvind NM, Hölmich LR, Smith S et al. Incidence of in situ and invasive melanoma in Denmark from 1985 through 2012. A national database study of 24 059 melanoma cases. JAMA Dermatol 2015;151:1087-95.

  3. Dalal K, Patel A, Brady M et al. Patterns of first-recurrence and post-recurrence survival in patients with primary cutaneous melanoma after sentinel lymph node biopsy. Ann Surg Oncol 2007;14:1934-1976.

  4. Hodi FS, O’Day SJ, McDermott DF et al. Improved survival with ipilimumab in patients with metastatic melanoma. N Engl J Med 2010;363:711-23.

  5. Sosman JA, Kim KB, Schuchter L et al. Survival in BRAF V600-mutant advanced melanoma treated with vemurafenib. N Engl J Med 2012;366:707-14.

  6. Andersen R, Donia M, Ellebæk E et al. Long-lasting complete responses in patients with metastatic melanoma after adoptive cell therapy with tumor-infiltrating lymphocytes and an attenuated IL-2 regimen. Clin Cancer Res 2016;22:3734-45.

  7. Wang TS, Johnson TM, Cascade PN et al. Evaluation of staging chest radiographs and serum lactate dehydrogenase for localized melanoma.
    J Am Acad Dermatol 2004;51:399-405.

  8. Breitenbauch MTW, Holm J, Rødgaard JC et al. Utility of chest X-ray and abdominal ultrasound for stage III cutaneous malignant melanoma. Eur J Plast Surg 2015;38:189-92.

  9. Vermeeren L, Van Der Ent FW, Hulsewé KW. Is there an indication for routine chest x-ray in initial staging of melanoma? J Surg Res 2011;166:
    114-9.

  10. Haddad D, Garvey EM, Mihalik L et al. Preoperative imaging for early-stage cutaneous melanoma: Predictors, usage, and utility at a single institution. Am J Surg 2013;206:979-85,discussion 985-6.

  11. Terhune MH, Swanson N, Johnson TM. Use of chest radiography in the initial evaluation of patients with localized melanoma. Arch Dermatol 1998;134:569-72.

  12. Hölmich LR, Klausen S, Spaun E et al. The Danish Melanoma Database. Clin Epidemiol 2016;8:543-8.

  13. Balch CM, Gershenwald JE, Soong SJ et al. Final version of 2009 AJCC melanoma staging and classification. J Clin Oncol 2009;27:6199-206.

  14. Petersen RP, Hanish SI, Haney JC et al. Improved survival with pulmonary metastasectomy: an analysis of 1720 patients with pulmonary metastatic melanoma. J Thorac Cardiovasc Surg 2007;133:104-10.

  15. Coit DG, Andtbacka R, Anker CJ et al. Clinical practice guidelines in oncology. J Natl Compr Canc Netw 2012;10:366-400.

  16. Australian Cancer Network Melanoma Guidelines Revision Working Party. Clinical practice guidelines for the management of melanoma in Australia and New Zealand. Cancer Council Australia and Australian Cancer Network, Sydney and New Zealand Guidelines Group, 2008.

  17. Marsden JR, Newton-Bishop JA, Burrows L et al. Revised UK guidelines for the management of cutaneous melanoma 2010. J Plast Reconstr Aesthetic Surg 2010;63:1401-19.

  18. Mohr P, Eggermont AMM, Hauschild A et al. Staging of cutaneous melanoma. Ann Oncol 2009;20:14-21.

  19. Geisler J, Bachmann IM, Nyakas M et al. Malignant melanoma – diagnosis, treatment and follow-up in Norway. Tidsskr Den Nor lægefor 2013;133:
    2154-9.

  20. Malignt melanom Nationellt vårdprogram, Landstingens och regionernas nationella samverkansgrupp inom cancervården. 2014. https://www.cancercentrum.se/globalassets/cancerdiagnoser/hud/vardprogram/natvp_malignt_melanom_rev.2015-01-19lang.pdf (5 Nov 2016).

Woodwing Id
1
Fil
Conflict of interest
Authors workplaces
1) Department of Plastic Surgery, Herlev Hospital2) Department of Clinical Physiology and Nuclear Medicine, Herlev Hospital3) Department of Radiology, Herlev Hospital, Denmark
Bib ref
Dan Med J 2016;63(12):A5317
Article number
A5317
Authors

Caroline Asirvatham Gjørup1, Helle Westergren Hendel2, Rita Kaae Pilegaard3, Cecilie Balslev Willert1 & Lisbet Rosenkrantz Hölmich1,

0 likes