Medlem i

12 years 10 months
Indholdselementer
Abstract

INTRODUCTION: Tools to quickly triage and evaluate patients with suspected COVID-19 in an emergency department (ED) can improve patient care and reduce risk of overcrowding. The aim of this study was to evaluate if lung ultrasound (LUS) may provide valuable prognostic information in adult patients suspected of COVID-19.

METHODS: A prospective cohort study of adult patients in an ED was conducted. LUS was performed within one hour of the patients’ arrival; COVID-19 was defined by a respiratory syndrome coronavirus 2 RNA positive test. The primary outcome was the proportion of patients suspected of COVID-19 and normal LUS with critical outcomes during follow-up, defined as one or more of the following: need of non-invasive ventilation (NIV), invasive mechanical ventilation, intensive care unit (ICU) stay or death. Follow-up was 14 days.

RESULTS: A total of 83 patients were included between 9 March and 12 April 2020. In all, 47 (57%; 95% confidence interval (CI): 45.3-67.5%) had a normal LUS, 46 (98%; 95% CI: 88.7-99.9%) of whom had no critical outcomes. A total of 36 (43%; 95% CI: 32.5-54.7%) had an abnormal LUS, eight of whom (22%; 95% CI: 10.1-39.2%) had critical outcomes. Nine (11%; 95%: CI 5.1-19.6%) had one or more critical outcomes: three on NIV, five in ICUs, four on invasive mechanical ventilation and two died. Among the 12 patients (14%; 95% CI: 7.7-23.9%) tested positive for COVID-19, 11 (92%; 95% CI: 61.5-99.8%) had an abnormal LUS.

CONCLUSIONS: Among adult ED patients suspected of COVID-19, a normal LUS is associated with a low risk of critical outcomes. LUS might be considered for routine use as a prognostic tool in patients suspected of COVID-19.

FUNDING: none.

TRIAL REGISTRATION: not relevant.

Ombryd tekst
0
Brødtekst

INTRODUCTION: Tools to quickly triage and evaluate patients with suspected COVID-19 in an emergency department (ED) can improve patient care and reduce risk of overcrowding. The aim of this study was to evaluate if lung ultrasound (LUS) may provide valuable prognostic information in adult patients suspected of COVID-19.

METHODS: A prospective cohort study of adult patients in an ED was conducted. LUS was performed within one hour of the patients’ arrival; COVID-19 was defined by a respiratory syndrome coronavirus 2 RNA positive test. The primary outcome was the proportion of patients suspected of COVID-19 and normal LUS with critical outcomes during follow-up, defined as one or more of the following: need of non-invasive ventilation (NIV), invasive mechanical ventilation, intensive care unit (ICU) stay or death. Follow-up was 14 days.

RESULTS: A total of 83 patients were included between 9 March and 12 April 2020. In all, 47 (57%; 95% confidence interval (CI): 45.3-67.5%) had a normal LUS, 46 (98%; 95% CI: 88.7-99.9%) of whom had no critical outcomes. A total of 36 (43%; 95% CI: 32.5-54.7%) had an abnormal LUS, eight of whom (22%; 95% CI: 10.1-39.2%) had critical outcomes. Nine (11%; 95%: CI 5.1-19.6%) had one or more critical outcomes: three on NIV, five in ICUs, four on invasive mechanical ventilation and two died. Among the 12 patients (14%; 95% CI: 7.7-23.9%) tested positive for COVID-19, 11 (92%; 95% CI: 61.5-99.8%) had an abnormal LUS.

CONCLUSIONS: Among adult ED patients suspected of COVID-19, a normal LUS is associated with a low risk of critical outcomes. LUS might be considered for routine use as a prognostic tool in patients suspected of COVID-19.

FUNDING: none.

TRIAL REGISTRATION: not relevant.

During the ongoing COVID-19 pandemic, emergency departments (EDs) are under extreme pressure because of the high number of patients at risk of severe respiratory failure [1, 2]. ED physicians currently lack the tools to quickly triage and evaluate acute patients suspected of COVID-19. Because severe acute respiratory syndrome coronavirus 2 (SARS-CoV-2) appears to create severe damage to lung tissue, early diagnostic imaging is important to accelerate evaluation in order to direct accurate therapy and treatment [3, 4]. To help clinicians identify COVID-19 patients with a poor prognosis at an early stage and thus improve their outcomes, studies on clinical and epidemiological characteristics and potential risk factors for mortality have been conducted [5]. More than 80% of patients admitted with COVID-19 present abnormal chest radiology [6] and lesions identified by lung ultrasound (LUS) seem highly consistent with lung CT findings [7].

In many countries, CT is the gold standard for identifying and triaging COVID-19 patients. However, CTs and chest X-rays demand more personnel, are time-consuming, expensive and unavailable in some acute settings, result in substantial radiation and carry a risk of contamination [6, 8]. To improve patient outcomes, the diagnostic accuracy and prognostic value of other imaging modalities are essential. One alternative, LUS, is easy to use, easily accessible, not associated with radiation and can be operated by the treating physician, potentially yielding in a more rapid plan for treatment, which may potentially benefit patients [7, 9]. LUS is promising in an outpatient setting or in triage, and may, if used correctly, decrease the risk of contamination, especially if handheld devices can be used [10, 11]. It has proved to be a non-inferior diagnostic tool compared with chest X-rays [12], and it remains unclear whether a chest X-ray offers additional information in patients suspected of COVID-19.

The aim of this study was to evaluate if a LUS, performed within one hour of a patient’s arrival, may provide valuable prognostic information in adult ED patients (≥ 18 years) clinically suspected of COVID-19 regarding critical outcomes (need of non-invasive ventilation (NIV), invasive mechanical ventilation, stay in an intensive care unit (ICU) or death). The primary outcome of the study was the proportion of patients with suspected COVID-19 and a normal LUS who had one or more critical outcomes during the 14-day follow-up. Secondary outcomes were the proportion of patients with an abnormal LUS who had critical outcomes, the proportion of patients with an abnormal LUS who were diagnosed with SARS-CoV-2, specific LUS findings and the diagnostic accuracy of LUS compared with that of SARS-CoV-2 RNA as a reference test.

METHODS

This prospective, observational, single-centre cohort study was conducted in an ED that provides 24-hour emergency care and has 65,000 adult patient (≥ 18 years) admissions annually.

A convenience sample of adult patients (≥ 18 years) with suspected COVID-19 at admission was collected from 9 March to 12 April 2020. Suspected COVID-19 was defined by one or more of the following criteria: body temperature > 37.5, dyspnoea, chest pain, dry cough, productive cough, rhinitis, chest distress, gastrointestinal symptoms (diarrhoea or vomiting), headache, anosmia, ageusia and/or musculoskeletal pain. Patients were included after written consent was obtained. Trauma patients, patients triaged to the Department of Cardiology on suspicion of acute heart disease and patients unable to give signed informed consent were excluded.

Data were collected using Research Electronic Data Capture (REDCap) hosted by the Open Patient data Explorative Network in pursuance of Danish laws and with approval from the regional data processing record [13]. The study was conducted according to the Helsinki Declaration and approved by a National Scientific Ethics Committee (identification number S-20190188).

Lung ultrasound, definitions and follow-up

LUS was performed within one hour of the patient’s arrival using a C1-5-D broad-spectrum convex transducer ultrasound system. A 14-zone LUS scanning protocol was performed systematically on anterior, lateral and posterior surfaces on both sides of the chest following the principles described by Laursen et al [14]. The transducer was oriented vertically across intercostal spaces with the patient in a supine position and the head of the bed elevated 45 degrees.

A LUS was performed to determine the presence of the following predefined conditions: focal B-lines, interstitial syndrome, lung consolidation, pleural effusion and pneumothorax. In all 14 zones, it was noted whether lung sliding, lung pulse, lung point, multiple B-lines (≥ 3 per intercostal space), or thickened or fragmented visceral pleura were present. The protocol, diagnostic criteria and definitions of LUS findings are provided in Appendix https://ugeskriftet.dk/files/a07200551_-_supplementary.pdf. A normal LUS was defined as sufficient LUS investigation with none of the above-mentioned findings.

All sonographic examinations were performed by the same principal investigator (AB), who obtained a qualification in LUS use (training courses, 25 supervised practice examinations by certified LUS experts, > 100 LUS examinations) before inclusion to ensure sufficient competency. AB was blinded to COVID-19 status and X-ray results but not blinded to symptoms and clinical findings. Clinical characteristics, laboratory values and LUS findings were prospectively registered blinded to COVID-19 status, which was available several hours after inclusion.

Follow-up was conducted 14 days post-admission based on patient files. All critical outcomes, defined as one or more of the following events - need of NIV, invasive mechanical ventilation or ICU or death - were registered as a combined event outcome. COVID-19 status was determined by a SARS-CoV-2 RNA positive test, considered the gold standard. A swabbing of the posterior pharynx and both tonsils for SARS-CoV-2 RNA was performed on all patients and in some cases supplemented by tracheal suctioning. Both methods of obtaining RNA material were accepted as they are regionally accepted test methods. This research was reported according to the Standards for Reporting of Diagnostic Accuracy Studies 2015 guidelines [15].

Outcomes

The primary outcome was the proportion of patients with suspected COVID-19 and a normal LUS who had one or more critical outcomes during the 14-day follow-up. Secondary outcomes were the proportion of patients and abnormal LUS with critical outcomes, the proportion of patients with abnormal LUS who were diagnosed with SARS-CoV-2, specific LUS findings in all included patients and the diagnostic accuracy of LUS. We present a flowchart based on a discussion of our findings and consensus between three ED physicians and experts in clinical decision-making to assist ED physicians in the assessment of patients with suspected COVID-19.

Statistical analysis

Data are presented as numbers and proportions with 95% confidence intervals (CI) based on a binomial distribution. The basic characteristics are tested with a χ2-test or Mann-Whitney U test, as appropriate. Abnormal LUS findings were evaluated according to COVID-19 status and reported as sensitivity, specificity, positive and negative predictive values. Data analysis was conducted with Stata (version 16.0).

Trial registration:not relevant.

RESULTS

A total of 84 patients were assessed for eligibility. One patient was excluded because LUS could not be performed within one hour; thus, 83 patients were included. Their age ranged from 19 to 94 years with a median age of 68 years (interquartile range: 51-74 years), and 43 patients (52%) were female. Later, 12 patients (14%) tested positive for SARS-CoV-2. The patients’ baseline characteristics are presented in Table 1.

Sidebar placering
Venstrestillet
Billede
Sidebar placering
Venstrestillet

The vital signs of SARS-CoV-2-positive and -negative patients were similar. SARS-CoV-2-positive patients, however, more often presented with dry cough, anosmia, ageusia or musculoskeletal pain. The duration of clinical symptoms that patients reported was longer among SARS-CoV-2-positive than -negative patients, but other clinical characteristics were similar (Table 1). Most laboratory values showed no significant difference between the two groups, except for the fact that SARS-CoV-2-positive patients had lower levels of lymphocytes, pO2, pCO2 and lactate dehydrogenase, as well as higher C-reactive protein level (Table 1).

All patients had LUS performed within a median of 26 minutes after their arrival. The median time used to perform LUS was five minutes, whereas the median time to chest X-rays was 140 minutes.

A total of 47 (57%) of the 83 patients had a normal LUS, 46 (98%) of whom had no critical outcomes. During follow-up, only one patient with a normal LUS had a critical outcome, which was due to a lung embolism and subarachnoid haemorrhage. This patient was SARS-CoV-2 negative. In all, 36 (43%) patients had an abnormal LUS, eight (22%) of whom had one or more critical outcomes. Nine (11%) of the included patients had one or more critical outcomes during follow-up: three with NIV, five admitted to the ICU, four needed invasive mechanical ventilation and two died.

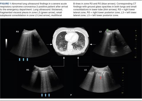
Of the 12 SARS-CoV-2-positive patients, 11 (92%) had an abnormal LUS, and four (33%) had one or more critical outcomes (Table 2). Specific LUS findings are presented in Table 2 and Figure 1. More than half of the COVID-19-infected patients had interstitial syndrome, multifocal small consolidations, pleural visceral thickening or a fragmented pleura line. All four COVID-19-infected patients admitted to the ICU had an abnormal LUS and interstitial syndrome at arrival.

Sidebar placering
Venstrestillet
Billede
Sidebar placering
Venstrestillet
Billede
Sidebar placering
Venstrestillet

Abnormal LUS results for identification of COVID-19 had a sensitivity of 91.7% (95% CI: 61.5-99.8%), a specificity of 64.8% (95% CI: 52.5-75.8%), a positive predictive value of 30.6% (95% CI:16.3-48.1%) and a negative predictive value of 97.9% (95% CI: 88.7-99.9%).

DISCUSSION

In a population with a relatively low COVID-19 prevalence, LUS may have potential as a valuable prognostic tool for use in triaging patients in EDs with suspected or confirmed COVID-19. However, its role as a diagnostic tool for COVID-19 seems limited. This study aimed to evaluate whether a LUS gives valuable prognostic information in adult patients suspected of COVID-19 and whether an abnormal LUS is associated with a critical outcome. LUS as a tool to obtain diagnostic imaging of the lungs may speed up bedside triage and evaluation and direct accurate therapy and treatment in patients at risk of severe respiratory failure, which may improve patient outcomes. To study patients suspected of COVID-19, blinding to COVID-19 status was essential, because COVID-19 status is unknown at the initial assessment in the vast majority of patients admitted to an ED.

LUS findings such as interstitial syndrome or focal B-lines, pleural thickening, multifocal small consolidations, fragmented pleural line and small pleural effusion seem to be common in COVID-19-infected patients and are highly consistent with CT findings [6, 16]. These findings were also present in this study, and most of them were significantly higher in SARS-CoV-2-positive patients (Table 2 and Figure 1). During the 14-day follow-up, no COVID-19-positive patients died, whereas two COVID-19-negative patients died. Both were older, with multiple co-morbidities and a no-resuscitation order.

We suggest that LUS has an important role in clinical decision-making in the ED and may provide valuable prognostic information. Patients possibly infected with COVID-19 presenting with abnormal LUS findings have a significantly higher risk of a critical outcome; hence, ED physicians need to strongly consider hospital admission and observation.

Based on our findings, we suggest a flowchart to assist ED physicians involved in the assessment, diagnosis and treatment of suspected COVID-19 patients (Figure 2). Furthermore, LUS may possibly help to limit the resources needed (CT, number of staff and protective equipment) if used as part of a pre-ED assessment.

Sidebar placering
Venstrestillet
Billede
Sidebar placering
Venstrestillet

This study carries some limitations. Interpretation of our findings may be limited by the small sample size, the single-centre design and the fact that one physician did all LUS examinations. Complete blinding was impossible for practical reasons. The convenience sampling creates a risk of sampling bias and may threaten the internal validity of the study. Moreover, not all laboratory tests were performed on all patients, as the investigator (AB) was not the treating physician. We collected data on co-morbidities only from hospital records, and co-morbidities treated by ED physicians only might not be registered in the hospital data. A LUS was insufficient in four COVID-19-negative patients who had no posterior scan performed because they were unable to sit up. Furthermore, the SARS-CoV-2 RNA test was a new test without a fully diagnostically proven value, and only 12 patients tested positive. Depending on the prevalence in our study population, this may be an undercounting of positive cases as the false negative test rate may be high. Finally, the relatively low incidence of critical outcomes may limit the conclusions concerning the prognostic power of LUS.

Several questions remain unanswered. Does LUS help our understanding of COVID-19 presentation in EDs, as well as in other settings, with different patterns of existing ultrasound pathologies in patients from different regions with different COVID-19 prevalences? Is abnormal LUS generally linked to a severe outcome? Is LUS as good as or even superior to chest X-ray in the assessment of suspected COVID-19 patients? Only a portion of those with abnormal LUS findings and critical outcomes had COVID-19. Our study findings may possibly be explained by an abnormal LUS alone serving as a negative prognostic indicator.

CONCLUSIONS

LUS seems to be a valuable tool for the upfront ED evaluation of adult patients clinically suspected of COVID-19 as a normal LUS is associated with a low risk of critical outcomes over the next 14 days. LUS might be considered in the future for routine use as a prognostic tool for patients in whom COVID-19 is suspected.



CORRESPONDENCE: Ask Bock. E-mail: askbock@gmail.com
ACCEPTED: 26 November 2020
CONFLICTS OF INTEREST: none. Disclosure forms provided by the authors are available with the full text of this article at Ugeskriftet.dk/dmj
ACKNOWLEDGEMENTS: The authors would like to express their gratitude to all participating patients and to the staff at the Emergency Department, Odense University Hospital, for invaluable efforts, support and help with this study. Furthermore, we thank the Open Patient data Explorative Network (OPEN), Odense, University Hospital, Region of Southern Denmark (OPEN Registry, OPEN Storage and OPEN Statistics) for statistical support, data management, project administration and counselling throughout the study process.

Sidebar placering
Venstrestillet
Article type
Journal
Magazine
References

Literature

  1. Wu Z, McGoogan JM. Characteristics of and important lessons from the coronavirus disease 2019 (COVID-19) outbreak in China: summary of a report of 72,314 cases from the Chinese Center for Disease Control and Prevention. J Am Med Assoc 2020;323:1239-42.

  2. Guan W-J, Ni Z-Y, Hu Y et al. Clinical characteristics of coronavirus disease 2019 in China. N Engl J Med 2020:382;1708-20.

  3. Carsana L, Sonzogni A, Nasr A et al. Pulmonary post-mortem findings in a series of COVID-19 cases from northern Italy: a two-centre descriptive study. Lancet Infect Dis 2020;20:1135-40.

  4. Grasselli G, Tonetti T, Protti A et al. Pathophysiology of COVID-19-associated acute respiratory distress syndrome: a multicentre prospective observational study. Lancet Respir Med 2020;8:1201-8.

  5. Zhou F, Yu T, Du R et al. Clinical course and risk factors for mortality of adult inpatients with COVID-19 in Wuhan, China: a retrospective cohort study. Lancet 2020;395:1054-62.

  6. Bernheim A, Mei X, Huang M et al. Chest CT findings in coronavirus disease-19 (COVID-19): relationship to duration of infection. Radiology 2020;295:685-91.

  7. Huang Y, Wang S, Liu Y et al. A preliminary study on the ultrasonic manifestations of peripulmonary lesions of non-critical novel coronavirus pneumonia (COVID-19). SSRN Electron J (online first 2020).

  8. Soldati G, Smargiassi A, Inchingolo R et al. Is there a role for lung ultrasound during the COVID-19 pandemic? J Ultrasound Med 2020;39:1459-62.

  9. Laursen CB, Sloth E, Lassen AT et al. Point-of-care ultrasonography in patients admitted with respiratory symptoms: a single-blind, randomised controlled trial. Lancet Respir Med 2014;2:638-46.

  10. Buonsenso D, Pata D, Chiaretti A. COVID-19 outbreak: less stethoscope, more ultrasound. Lancet Respir 2020;8:e27.

  11. Nielsen M, Cantisani V, Sidhu P et al. The use of handheld ultrasound devices – an EFSUMB position paper. Ultraschall Med 2019;40:30-9.

  12. Zanobetti M, Ospedaliero A, Careggi U et al. Can chest ultrasonography replace standard chest radiography for evaluation of acute dyspnea in the ED? Chest 2011;139:1140-7.

  13. Harris PA, Taylor R, Thielke R et al. Research electronic data capture (REDCap) - a metadata-driven methodology and workflow process for providing translational research informatics support. J Biomed Inform 2009;42:377-81.

  14. Laursen CB, Sloth E, Lambrechtsen J et al. Focused sonography of the heart, lungs, and deep veins identifies missed life-threatening conditions in admitted patients with acute respiratory symptoms. Chest 2013;144:1868-75.

  15. Bossuyt PM, Reitsma JB, Bruns DE et al. STARD 2015: an updated list of essential items for reporting diagnostic accuracy studies. BMJ 2015;351:h5527.

  16. Peng QY, Wang XT, Zhang LN. Findings of lung ultrasonography of novel corona virus pneumonia during the 2019-2020 epidemic. Intens Care Med 2020;46:849-50.

Woodwing Id
38053
Fil
Conflict of interest
Authors workplaces

1) Department of Emergency Medicine, Odense University Hospital, 2) Department of Clinical Research, Faculty of Health Science, University of Southern Denmark, 3) Department of Respiratory Medicine, Odense University Hospital, Denmark

Dan Med J 2021;68(2):A07200551

Bib ref
Dan Med J 2021;68(2):A07200551
Article number
A07200551
Authors

Ask Bock1, Annmarie Touborg Lassen1, 2, Christian B. Laursen2, 3 & Stefan Posth1, 2

0 likes