Medlem i

7 years 7 months
Indholdselementer
Fakta

Abstract

Introduction: Non-alcoholic fatty liver disease encompasses a spectrum of histological lesions ranging from steatosis to non-alcoholic steatohepatitis (NASH) and cirrhosis. Simple steatosis is generally benign, while NASH can progress to severe liver disease. The aim of the present study was to quantify the number of patients with NASH and assess the prognosis associated with the condition in a large Danish referral centre for liver disease.

Material and methods: Through the pathology archives at Hvidovre Hospital, 348 patients with steatohepatitis diagnosed during the 1976-1987-period were identified. Data were systematically collected by review of available medical records. These data were supplemented by data from the Danish National Hospital Registry and the Registry of Causes of Death.

Results: A total of 100 patients referred from other hospitals were excluded as their records were missing and 236 patients were excluded, mainly due to a history of alcohol abuse; this left 14 patients to constitute the study population. At the end of the follow-up period which had a median duration of 16.7 years, ten of the patients had died: four of cardiovascular disease, four of extra-hepatic neoplasm and two of unknown causes. There were no liver-related deaths and only one patient developed cirrhosis.

Conclusion: In a specialised referral centre, only few patients were diagnosed with NASH 25-30 years ago and those who were identified had a low risk of progression to cirrhosis and premature death.

Funding: The local research council and the foundation for the study of liver diseases at Hvidovre Hospital provided funding for this study.

Trial registration: not relevant.

Ombryd tekst
0
Brødtekst

Abstract

Introduction: Non-alcoholic fatty liver disease encompasses a spectrum of histological lesions ranging from steatosis to non-alcoholic steatohepatitis (NASH) and cirrhosis. Simple steatosis is generally benign, while NASH can progress to severe liver disease. The aim of the present study was to quantify the number of patients with NASH and assess the prognosis associated with the condition in a large Danish referral centre for liver disease.

Material and methods: Through the pathology archives at Hvidovre Hospital, 348 patients with steatohepatitis diagnosed during the 1976-1987-period were identified. Data were systematically collected by review of available medical records. These data were supplemented by data from the Danish National Hospital Registry and the Registry of Causes of Death.

Results: A total of 100 patients referred from other hospitals were excluded as their records were missing and 236 patients were excluded, mainly due to a history of alcohol abuse; this left 14 patients to constitute the study population. At the end of the follow-up period which had a median duration of 16.7 years, ten of the patients had died: four of cardiovascular disease, four of extra-hepatic neoplasm and two of unknown causes. There were no liver-related deaths and only one patient developed cirrhosis.

Conclusion: In a specialised referral centre, only few patients were diagnosed with NASH 25-30 years ago and those who were identified had a low risk of progression to cirrhosis and premature death.

Funding: The local research council and the foundation for the study of liver diseases at Hvidovre Hospital provided funding for this study.

Trial registration: not relevant.

Non-alcoholic fatty liver disease (NAFLD) is a condition that histologically resembles alcoholic liver disease, but it occurs in the absence of excessive alcohol intake. NAFLD represents a broad spectrum of histological lesions ranging from simple steatosis to steatohepatitis, fibrosis and cirrhosis. The natural history and prognosis of NAFLD seems to be determined by the severity of the histopathological damage [1], where simple steatosis is associated with a benign clinical course without excess mortality compared with the general population [1-6]. Non-alcoholic steatohepatitis (NASH) is defined as the presence of steatosis plus concomitant necroinflammation [7] and it is associated with an increased risk of progress to fibrosis and ultimately cirrhosis with its related complications, including end-stage hepatic failure [4, 8, 9] and hepatocellular carcinoma [10, 11]. In several studies, the mortality from NASH has been shown to exceed that of the general population [6], mostly due to cardiovascular disease [5], but also due to liver-related deaths [1].

NAFLD is closely related to obesity and type 2 diabetes and is considered the hepatic manifestation of the metabolic syndrome [12]. Recent estimates indicate that the prevalence of NAFLD (assessed by ultrasound or magnetic resonance imaging) is approximately 20-30% in the general Western population [13, 14], whereas the prevalence of NASH (based on biopsy series) is thought to be 3-5% [13]. The occurrence is considerably higher in the severely obese part of the population where the prevalence of NAFLD is reported to reach 91% and that of NASH 37% [15], and NAFLD may be the primary cause of chronic liver disease, at least in the Western World.

The aim of the present study was to quantify the number of patients with NASH and to assess the prognosis associated with the condition in a large Danish referral centre for liver disease.

MATERIAL AND METHODS

Patient population and data collection

Using the terms "steatosis", "inflammation" and/or "chronic inflammation", we searched the archives of the Department of Pathology at Hvidovre Hospital, Denmark, for liver biopsy specimens obtained during the 1976-1987-period fulfilling the histological diagnostic criteria for steatohepatitis. The diagnosis of steatohepatitis was not established at the time, but the search was made possible owing to manual, retrospective registration of all histological diagnoses derived from the Department of Pathology since its establishment in 1976 and until an actual computerised registration system was established. Furthermore, all specimens classified as "alcoholic hepatitis" were included to ensure that no biopsies which might have been misclassified as alcoholic in origin were missed.

Patients were identified by the unique personal identification number assigned to all Danish inhabitants and available medical records were reviewed manually with respect to the following exclusion criteria: 1) history of excessive alcohol consumption (defined as a reported daily alcohol intake of more than two units in women and three units in men); 2) presence of acute or chronic liver disease at baseline or during follow- up which could have modified the index liver biopsy; 3) jejunoileal bypass surgery; 4) treatment with drugs associated with secondary NAFLD; 5) total parenteral nutrition; 6) malignant disease.

Additional information concerning the study cohort was extracted from the Danish National Hospital Registry and the Danish Register of Causes of Death. All discharge diagnoses until 1 May 2008 or death were noted, as well as the causes of death, thus allowing a follow-up period of up to 32 years.

Data were systematically collected at baseline (defined as time of index biopsy). Body mass index (BMI) was calculated and defined as weight/height2 (kg/m2). Obesity was defined as a BMI > 30 kg/m2.

The indication for the index biopsy, and history of diabetes, hyperlipidaemia, liver disease, malignant disease and/or other chronic medical conditions as well as information on drug and alcohol intake was recorded at baseline and again noted if present during the follow-up period.

The following laboratory parameters were noted at baseline when available: serum aspartate aminotransferase, serum lactate dehydrogenase, serum alkaline phosphates, serum bilirubin, serum albumin, plasma prothrombin time, blood glucose, urine glucose, serum sodium, serum potassium, serum creatinine, platelet count, serum cholesterol, serum triglycerides and hepatitis B surface antigen. Serum alanine aminotransferase was not measured systematically during the study period.

Surviving patients were contacted and invited to attend a clinical follow-up visit.

Histological assessment/liver histology

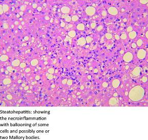
All of the original specimens were found to be in an acceptable state and suitable for re-evaluation. Nevertheless, staining for fibrosis was repeated to improve interpretation. Two experienced hepatopathologists who were blinded to the patient’s clinical and biochemical data re-examined and scored the liver samples. The histological diagnosis of steatohepatitis was defined according to the criteria proposed at the 2002 single topic conference held by The American Association for the Study of Liver Diseases [7]. In short, the diagnosis requires the presence of steatosis plus (mixed) lobular inflammation plus hepatocellular ballooning. All biopsies were also assessed according to a scheme based on the scoring system outlined by Brunt et al [16] and Kleiner et al [17].

Ethical considerations

The Danish Data Protection Agency and the Regional Scientific Ethics Committee approved the study (journal no. H-D-2007-0103).

Trial registration: not relevant.

Results

A total of 357 liver biopsies obtained in 348 patients with the possible histological diagnosis of steatohepatitis were identified through the pathology register. Despite extensive computerised and manual searches in the relevant hospital archives, the medical records of 100 patients referred for liver biopsy from various other hospitals could not be found. These patients were considered lost to follow-up and hence excluded. A total of 230 patients were excluded based on review of hospital records: 193 because of reported excessive alcohol consumption. When reviewing registry data, one patient was excluded due to a discharge diagnosis suggesting chronic alcohol abuse. After histological re-assessment of the index biopsies, an additional three patients were excluded, which left 14 patients to be studied. The number of patients and the reasons for their exclusion are shown in Figure 1.

When reviewing registry data concerning the 100 patients excluded due to lack of hospital records, we found sufficient grounds for excluding 72 of these patients in the information available in the national registries: 66 because of a diagnosis suggestive of alcohol abuse. Hence, only 28 patients with possible NASH were excluded from the study. Registry data concerning 26 of these patients revealed that 24 of them were dead, the majority due to cardiovascular disease. Three patients had a registered diagnosis of cirrhosis without known aetiology and two of them died of possible liver-related causes. For the remaining two patients, registry data were unavailable.

The median age of the studied population was 53 years. Fasting plasma glucose levels were not systematically measured at baseline and the actual prevalence of diabetic patients at the onset of the study is unknown. Information on BMI was available in 11 of 14 patients; in the remaining three, their physical appearance as described by the physician in the medical records was noted. Thus, 93% (13/14) of the patients were overweight. The median BMI was 38 kg/m2 and 69% (9/13) were obese. Seven of the patients were referred to liver biopsy because of elevated liver enzymes, five had their biopsy performed as part of on-going obesity research projects at the hospital [18], one was biopsied in conjunction with abdominal surgery and one because of abdominal discomfort and hepatomegaly. Table 1 shows the clinical and biochemical characteristics of the 14 patients at baseline.

During follow-up, six patients were diagnosed with type 2 diabetes and thus a total of 57% (8/14) had the diagnosis at follow-up. 79% (11/14) were diagnosed with cardiovascular disease. At the end of the follow-up period, ten of the patients had died. The cause of death was cardiovascular in four, extra-hepatic neoplasm in four and in two patients the cause of death was unknown. There were no reported liver-related deaths in the studied population, even though one patient developed NASH-mediated cirrhosis. This patient was overweight and diabetic; she died at the age of 75 due to cardiac failure.

The four surviving patients were contacted and invited to attend a clinical follow-up. One did not want to participate and the three others did not respond. Two of the non-responders had continual contact to Hvidovre Hospital and their medical records were reviewed. One patient was diagnosed with diabetes, hypertension and obesity with a BMI of 35 kg/m2 during follow-up. His liver enzymes had remained normal with no clinical suspicion of liver-related disease. The other patient was similarly diagnosed with diabetes, hypertension and morbid obesity with a BMI > 55 kg/m2. This patient had a slight elevation of his alkaline phosphatases, but other liver function tests remained normal and no clinical signs of liver disease had emerged. The last patient was no longer a patient at the hospital and was untraceable. Table 2 summarizes the findings at follow-up.

DISCUSSION

In an archive of more than 9,000 liver biopsies evaluated at a large referral centre for liver disease and obesity between 1976 and 1987, we found, contrary to expectations, a low frequency of NASH. Of the 14 patients identified, only one subsequently developed NASH-mediated cirrhosis and there were no liver-related deaths. Moreover, the life expectancy of the studied population seemed comparable to that of the Danish background population [19].

There may be several explanations for the low occurrence of NASH.

Firstly, we can exclude the possibility of patients actually having NASH being misclassified as simple steatosis, since all patients with the histological diagnosis of steatosis had their biopsies re-examined as a part of previous studies derived from the unit. These 170 patients with simple steatosis without inflammation have already been described and analysed. They currently constitute the largest described population with this diagnosis followed over a lengthy period of time.

Secondly, we included biopsies originally classified as "alcoholic hepatitis" to ensure that no patients formerly misdiagnosed as "alcoholic" by the pathologist were missed, considering that the non-alcoholic aetiology of fatty liver disease was neither widely recognized nor generally accepted at the time of the first histological assessment.

Thirdly, thanks to the unique Danish national registries, even patients referred to the liver unit from other hospitals and deceased patients could be followed up.

Lastly, we made rigorous attempts to exclude alcohol as an aetiological factor. Traditionally, there has been no generally accepted level of alcohol consumption that reliably distinguishes alcohol-induced hepatitis from non-alcoholic steatohepatitis and various authors have advocated levels ranging from total alcohol abstinence to 20-40 g ethanol/day. Furthermore, in most of the previous studies concerning NAFLD/NASH, the way in which information on alcohol consumption has been obtained is sparsely described. Most studies rely solely on hospital records of patients’ self-reported consumption, which may typically be underreported. It is therefore quite possible that some patients classified as having NAFLD/NASH in previously published articles actually had alcoholic liver disease. In the present study, we have attempted to reduce misclassification by accessing additional information in the registries described. However, as with any study with a retrospective design, there are also several limitations to the study, especially the non-systematic recording of study-specific information in the primary medical records. Additionally, a number of patients had been referred from other hospitals where their medical records could not be found. However, the supplemental registry data ensured that only two patients out of the total number of 348 were completely lost to follow-up.

The true prevalence of NASH in the general population remains unknown. Current estimates of the prevalence vary depending on the methodology used and the population studied. Fatty infiltration of the liver can be diagnosed through non-invasive radiological methods. However, in order to diagnose NASH, a liver biopsy is required. Variation in the reported prevalence of NASH could also reflect non-standardised diagnostic histological criteria given a lack of consensus on the criteria compromising the diagnosis over many years. Especially a lack of histological differentiation between simple steatosis without inflammation and steatohepatitis characterize many previous studies. Sampling error in connection with biopsy is another risk factor for misclassification, as is also inter-rater variability among pathologists.

In conclusion, the present study, conducted in a specialised Danish referral centre, identified an unexpectedly low proportion of patients with NASH 25-30 years ago, and the few patients with the diagnosis seemed to have a low risk of progression to cirrhosis and premature death. The discrepancy in prevalence compared with other studies may be accounted for by the availability of complementary population registries and other sources of data enabling the exclusion of alcoholic steatohepatitis patients. Other possible factors could be regional differences in dietary composition and genetic variations. These issues need to be investigated further.

Correspondence: Synne Semb , Gastroenheden – Medicinsk Sektion, Hvidovre Hospital, 2650 Hvidovre, Denmark. E-mail: synnesemb@hotmail.com

Accepted: 11 October 2011

Conflicts of interest:Disclosure forms provided by the authors are available with the full text of this article at danmedj.dk

Sidebar placering
Venstrestillet
Billede
Sidebar placering
Venstrestillet
Sidebar placering
Venstrestillet
Billede
Sidebar placering
Venstrestillet
Sidebar placering
Venstrestillet
Billede
Sidebar placering
Venstrestillet
Sidebar placering
Venstrestillet
Billede
Sidebar placering
Venstrestillet
Article type
Journal
Magazine
References

REFERENCES

  1. Matteoni CA, Younossi ZM, Gramlich T et al. Non-alcoholic fatty liver disease: a spectrum of clinical and pathological severity. Gastroenterology 1999;116:1413-9.

  2. Dam-Larsen S, Franzmann M, Andersen IB et al. Long term prognosis of fatty liver: risk of chronic liver disease and death. Gut 2004;53:750-5.

  3. Dam-Larsen S, Becker U, Franzmann MB et al. Final results of a long-term, clinical follow-up in fatty liver patients. Scand J Gastroenterol 2009;44:1236-43.

  4. Adams LA, Sanderson S, Lindor KD et al. The histological course of nonalcoholic fatty liver disease: a longitudinal study of 103 patients with sequential liver biopsies. J Hepatol 2005;42:132-8.

  5. Ekstedt M, Franzen LE, Mathiesen UL et al. Long-term follow-up of patients with NAFLD and elevated liver enzymes. Hepatology 2006;44:865-73.

  6. Soderberg C, Stal P, Askling J et al. Decreased survival of subjects with elevated liver function tests during a 28-year follow-up. Hepatology 2010;51:595-602.

  7. Neuschwander-Tetri BA, Caldwell SH. Nonalcoholic steatohepatitis: summary of an AASLD Single Topic Conference. Hepatology 2003;37:1202-19.

  8. Harrison SA, Torgerson S, Hayashi PH. The natural history of nonalcoholic fatty liver disease: a clinical histopathological study. Am J Gastroenterol 2003;98:2042-7.

  9. Fassio E, Alvarez E, Dominguez N et al. Natural history of nonalcoholic steatohepatitis: a longitudinal study of repeat liver biopsies. Hepatology 2004;40:820-6.

  10. Marrero JA, Fontana RJ, Su GL et al. NAFLD may be a common underlying liver disease in patients with hepatocellular carcinoma in the United States. Hepatology 2002;36:1349-54.

  11. Bugianesi E, Leone N, Vanni E et al. Expanding the natural history of nonalcoholic steatohepatitis: from cryptogenic cirrhosis to hepatocellular carcinoma. Gastroenterology 2002;123:134-40.

  12. Marchesini G, Brizi M, Bianchi G et al. Nonalcoholic fatty liver disease: a feature of the metabolic syndrome. Diabetes 2001;50:1844-50.

  13. Vernon G, Baranova A, Younossi ZM. Systematic review: the epidemiology and natural history of non-alcoholic fatty liver disease and non-alcoholic steatohepatitis in adults. Aliment Pharmacol Ther 2011;34:274-85.

  14. Day CP. Non-alcoholic fatty liver disease: a massive problem. Clin Med 2011;11:176-8.

  15. Machado M, Marques-Vidal P, Cortez-Pinto H. Hepatic histology in obese patients undergoing bariatric surgery. J Hepatol 2006;45:600-6.

  16. Brunt EM, Janney CG, Di Bisceglie AM et al. Nonalcoholic steatohepatitis: a proposal for grading and staging the histological lesions. Am J Gastroenterol 1999;94:2467-74.

  17. Kleiner DE, Brunt EM, Van NM et al. Design and validation of a histological scoring system for nonalcoholic fatty liver disease. Hepatology 2005;41:1313-21.

  18. Andersen T, Christoffersen P, Gluud C. The liver in consecutive patients with morbid obesity: a clinical, morphological, and biochemical study. Int J Obes 1984;8:107-15.

  19. Christensen K. [The Danish average length of life – what do we do?] Ugeskr Læger 2008 11;170:2421.

Woodwing Id
1
Fil
Conflict of interest
Authors workplaces
1) Department of Medical Gastroenterology, Hvidovre Hospital2) Department of Medicine, Glostrup Hospital3) Department of Pathology, Hvidovre Hospital
Bib ref
Dan Med J 2012;59(1):A4354
Article number
A4354
Authors

Synne Semb1, Sanne Dam-Larsen2, Anne Mellon Mogensen3, Jens Albrectsen3 & Flemming Bendtsen1,

0 likes