Medlem i

7 years 7 months
Indholdselementer
Fakta

Abstract

Introduction: Even in low-incidence countries, tuberculosis (TB) is common among socially marginalised people. Latent tuberculosis infection (LTBI) comprises a reservoir for future disease, and screening for LTBI and TB in these groups aid in the prevention and early detection of TB.

Methods: We performed a screening for LTBI with interferon gamma release assay (IGRA) testing, and TB screening with sputum smear examination at four shelters and four additional locations in a Danish urban area. Additionally, shelter volunteers were offered examination.

Results: A total of 145 subjects were tested; 124 with sputum smear and 100 with IGRA. Overall, 13 (13%) had LTBI, and one (0.8%) had smear-negative, culture-positive, non-cavitating TB. Among 107 socially marginalised citizens, persons of Greenlandic origin had significantly more LTBI (40.0%) than Danish subjects (9.1%) (odds ratio (OR) = 6.67 (range: 1.55-28.63)), and other ethnicities had an intermediate prevalence of LTBI (18.2%) (OR versus Danish subjects = 2.22 (range: 0.35-14.06)). A total of 38 shelter volunteers were also included; IGRA was performed in 30 of those and one (3.33%) had LTBI.

Conclusion: Our results confirm that a screening approach may reveal early cases of active TB. LTBI is common among the socially marginalised people, but varies substantially with ethnic origin.

Funding: T-spot.TB kits were provided by Oxford Immunotec.

Trial registration: not relevant.

Ombryd tekst
0
Brødtekst

Abstract

Introduction: Even in low-incidence countries, tuberculosis (TB) is common among socially marginalised people. Latent tuberculosis infection (LTBI) comprises a reservoir for future disease, and screening for LTBI and TB in these groups aid in the prevention and early detection of TB.

Methods: We performed a screening for LTBI with interferon gamma release assay (IGRA) testing, and TB screening with sputum smear examination at four shelters and four additional locations in a Danish urban area. Additionally, shelter volunteers were offered examination.

Results: A total of 145 subjects were tested; 124 with sputum smear and 100 with IGRA. Overall, 13 (13%) had LTBI, and one (0.8%) had smear-negative, culture-positive, non-cavitating TB. Among 107 socially marginalised citizens, persons of Greenlandic origin had significantly more LTBI (40.0%) than Danish subjects (9.1%) (odds ratio (OR) = 6.67 (range: 1.55-28.63)), and other ethnicities had an intermediate prevalence of LTBI (18.2%) (OR versus Danish subjects = 2.22 (range: 0.35-14.06)). A total of 38 shelter volunteers were also included; IGRA was performed in 30 of those and one (3.33%) had LTBI.

Conclusion: Our results confirm that a screening approach may reveal early cases of active TB. LTBI is common among the socially marginalised people, but varies substantially with ethnic origin.

Funding: T-spot.TB kits were provided by Oxford Immunotec.

Trial registration: not relevant.

Tuberculosis (TB) remains a major global health threat with nine million new cases and 1.5 million TB deaths in 2013 [1] which makes TB control a global priority. In Denmark, the TB incidence saw a drastic fall from the 1950s up to the mid 1980s, after which the incidence rose again due to immigration from high-incidence countries [2]. In recent years, the incidence has remained stable, but a growing number of cases possibly being infected in Denmark have been reported indicating substantial ongoing disease transmission [3]. In Denmark, as in other low-incidence countries, TB is found mostly in certain high-risk groups, including immigrants from high-incidence countries, drug addicts, alcoholics and socially marginalised people [4, 5]. Socially marginalised people of Greenlandic origin are a specific risk group in Denmark [2, 4, 6]. Focus on these groups in active TB tracing and disease prevention has been recognised as an important part of fighting TB in low-incidence settings [5-7], and a simpler measure for detection of TB at an early stage is needed. The aim of this study was to assess the utility of a combination of interferon gamma release assay (IGRA) and a single sputum sample to detect active TB and latent Mycobacterium tuberculosis infection (LTBI), using a screening approach in high-risk groups [8, 9]. Secondarily, we aimed to gain knowledge about the prevalence of LTBI among socially marginalised people in a Danish urban area.

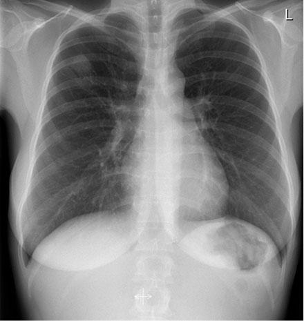
Chest X-ray of a smear-negative, culture-positive TB case detected from screening. A small,
opa-que infiltrate is observed in the right upper lobe. It resolved completely during treatment and may represent early-
stage TB.

METHODS

A total of four shelters/drop-in centres were identified
in Aarhus by contact to the municipality and local non-governmental organisations. All four shelters were visited at least once. In addition, we visited two temporary residences for socially marginalised people, one common house and one particular street corner where socially marginalised frequently gather. Screening visits were announced beforehand at the sites. Everyone present at the sites, both users and staff, were offered testing. All subjects were offered IGRA testing (T-spot.TB. Oxford Immunotec, Abingdon, UK) and examination of a sputum sample. Subjects were individually instructed in delivering the sputum sample by a health professional. Additionally, a simple questionnaire was completed covering experience of night sweats, prolonged cough or weight loss in the preceding three months. Sputum samples were analysed at the International Reference Laboratory of Mycobacteriology, Statens Serum Institut, Denmark using auramine-rhodamine fluorescence smear microscopy, and cultured for mycobacteria on liquid and solid media.

T-spot.TB samples were analysed by trained staff from the laboratory at the Department of Respiratory Diseases, Aarhus University Hospital.

Individuals with positive IGRA test were offered further assessment, including physical examination and chest X-ray. The assessment resulted in either further follow-up with X-ray, prophylactic chemotherapy, or no further action in case of evidence of prior TB or prior documentation of LTBI and no signs of active disease.

Individuals with a positive smear or culture were referred for regular TB treatment.

The study was approved by the ethics committee of the Central Danish Region.

Trial registration: not relevant.

RESULTS

From October 2013 to December 2014, 145 people were tested for TB and/or LTBI; 84 men and 61 women, with
a mean age of 46.6 years (range: 20-83 years). Two individuals were tested twice. A total of 79 people were tested by both sputum sampling and IGRA, 45 had only the sputum test done and 21 only the IGRA. We included 107 socially marginalised citizens and 38 shelter volunteers (Table 1).

Of 100 IGRA tests, 13 were positive and three were borderline positive. One person had an IGRA test done twice at a 12-month interval, and converted from negative to positive. Of 30 volunteers, only one (3.3%) had LTBI compared with 12 out of 70 (17.1%) socially marginalised people. IGRA results are outlines by gender, risk groups, housing status and ethnicity in Table 2. Overall, being of Greenlandic origin was the strongest risk factor for LTBI.

Among the 70 socially marginalised subjects tested by IGRA, 15/70 (21.4%) were of Greenlandic origin, 44/70 (62.9%) were of Danish origin and 11 (15.7%) were of other origin than Greenlandic and Danish origin. Of these, six of 15 (40.0%) Greenlandic subjects had LTBI, four of 44 (9.1%) Danish subjects had LTBI, and 2/11 (18.2%) subjects of other origin had LTBI. Also, in the subgroup analysis, Greenlandic origin was associated with a significantly higher risk of LTBI than Danish origin (mean odds ratio (OR) = 6.67 (range: 1.55-28.63)), whereas subjects of other than Danish or Greenlandic origin had a trend towards an intermediate risk, mean OR = 2.8 (range: 0.47-16.64).

Incidence of LTBI varied considerably between locations: 27.7% (5/18) at one shelter and 60% (3/5) at a common house outside the city centre; 14.6% (7/48) and 3.4% (1/29) at two other shelters. The incidence of LTBI by location generally reflected the ethnicity of the subjects, being mainly Greenlandic at the two high-incidence locations. Of the 124 sputum samples collected, none were smear-positive, but one was culture-positive for M. tuberculosis: a 36-year-old woman of Greenlandic origin (Figure 1).

A total of 16 subjects had positive or borderline IGRA; among them were the single active TB case. Of the remaining 15 with positive/borderline IGRA, nine were seen in the local hospital’s out-patient department for X-ray and clinical examination, none revealing signs of active TB. Hereof, five were scheduled for further X-ray follow-up, and two of these (40%) were lost to follow-up. In four cases, the attending physician did not find that further follow-up was necessary. Six patients were not seen in the out-patient department; five were lost to follow-up, and one had known LTBI and further evaluation was judged not to be necessary (Figure 1).

DISCUSSION

This study reveals some important points for further control of TB in low-incidence countries: Firstly, the prevalence of LTBI varies with both social status and ethnicity; and secondly, active TB cases may be detected using a single sputum sample, possibly at an earlier stage than when relying on passive case finding.

In the present study, we found that the LTBI prevalence was 17% among socially marginalised people
compared with 3.3% among shelter staff. A few studies have previously investigated the prevalence of LTBI in Western countries; a British study [10] including 149 subjects from hospital wards with a median age of 71 years found 8.7% positive IGRA tests. A Danish study [11] investigated the results of IGRA tests of 517 patients prior to anti-TNF-α therapy finding 4.6% positive tests; and a multi-centre study [12] with centres in both high- and low-incidence countries found a positive IGRA test prevalence of 7.0% in 2,282 patients (median age = 49 years) with inflammatory diseases prior to anti-TNF-α therapy. Although the difference in LTBI prevalence between shelter staff and socially marginalised is not statistically significant, we find that our results and the results of the above-mentioned studies support the notion that LTBI is more prevalent among socially marginalised than in the background population. 21% of the socially marginalised tested people were Greenlandic, and in this group the prevalence of LTBI was 40%, while the prevalence in the group of Danish marginalised persons was 9%. This difference reflects the higher prevalence of TB in Greenland compared with Denmark, but may also indicate a higher degree of ongoing disease transmission. Of 95 sputum samples from socially marginalised subjects, one was culture-positive for M. tuberculosis. This positive rate of 1.05% is lower than what was found by Jensen et al in a screening among homeless people in the city of Copenhagen (3.35%) [9], although not statistically significantly so as our study has low absolute numbers. The overall incidence of TB is higher in Copenhagen than in Aarhus [13], and the incidence may therefore also be higher among homeless people in Copenhagen. Another explanation could be the sampling process. Contrary to Jensen et al, the participants in our study were not systematically supervised while delivering the sputum sample. This might cause low quality samples in some cases, yielding a lower detection rate. Jensen et al did not report the ethnicity of the screened population. A high rate of participants from high-incidence countries in the Copenhagen study could also explain the trend of higher numbers of TB cases in Copenhagen.

The participant with TB had discrete symptoms, no pathology on the chest X-ray, and was smear-negative. The culture turned positive after several weeks. We therefore assume that she was at an early stage of disease, and it seems likely that she would not have presented herself for examination until several months later in a passive case-finding setting. As active disease transmission is ongoing in this environment, early detection of a few TB cases most likely contributes to improved TB control by preventing secondary cases.

We experienced significant challenges in re-locating patients scheduled for follow-up for LTBI, and many were lost. Some had no telephone or no address. Many did not show up for planned consultations. Follow-up was performed from an outpatient clinic, and resources were not sufficient to individually trace persons who did not show up although efforts were made through contact to the shelters and street nurses. Current Danish guidelines recommend prophylactic chemotherapy in cases of recent exposure [2], which is generally considered to be less than two years after known exposure to contagious TB. In the present study population, the exposure profile was generally not obvious. For example, the high rate of LTBI among Greenlanders may be due to exposure in early life, or it may be due to active disease transmission within this well-defined population group. Due to the difficulties in evaluating the exposure profile and due to fear of poor compliance, our experience is that LTBI subjects from socially marginalised groups are rarely offered prophylactic treatment. Importantly, though, these population groups have a high prevalence of conditions associated with risk of progression to active TB, including alcoholism, tobacco smoking and a poor nutritional status – as well as ongoing disease transmission. Keeping the high loss rate during X-ray follow-up in mind, immediate treatment initiation could be cost-effective and appropriate. The newly described 12-dose once weekly or a one-month regimen [13, 14] may very well improve success rates from prophylactic treatment in this group, reducing the risk of missed TB cases due to loss to follow-up [15, 16].

Our study has some limitations; firstly, we have no data on the subpopulation that declined screening; non-participation bias might have made the study population less representative of the target population. This is also true for an important prior study in a similar population [9], and including data on non-participants should be considered in future studies. Though we do not have data to support it, the investigators feel that the main reasons for non-participation were recent testing in contact investigation, inability to produce sputum samples and failure to obtain blood samples due to destructed veins (substance abusers).

Secondly, including more questions regarding the participants’ health and specific TB risk factors in the questionnaire would have allowed us to elaborate on specific risk factors related to LTBI in this high-risk population. We refrained from this due to a fear that too many questions would lead to fewer participants, but studies of particular patient-related risk factors among socially marginalised citizens would certainly improve our understanding of the ongoing disease transmission in these populations.

CONCLUSIONS

Using an IGRA as an in-field screening tool for LTBI is possible, but following a one-year follow-up schedule
requires a time-consuming effort from clinicians.

Screening with single-sputum samples revealed a low incidence of active TB compared with similar
studies, but this could be caused by lower-quality samples or difference in the ethnicity composition of the populations studied, and our findings show that screening in high-risk groups facilitates early diagnosis and hence reduced transmission.

Correspondence: Nina Breinholt Stærke. E-mail: ninabreinholt@gmail.com

Accepted: 12 April 2016

Conflicts of interest:Disclosure forms provided by the authors are available with the full text of this article at www.danmedj.dk

Acknowledgements: The authors would like to thank Oxford Immunotec for providing T-spot.TB kits for this study. Also, we thank the laboratory staff at Aarhus University Hospital, Department of Respiratory Diseases, who analysed the tests, and the nurses, doctors and medical students who assisted in shelter visits and sample collection.

Sidebar placering
Venstrestillet
Billede
Sidebar placering
Venstrestillet
Sidebar placering
Venstrestillet
Billede
Sidebar placering
Venstrestillet
Sidebar placering
Venstrestillet
Billede
Sidebar placering
Venstrestillet
Sidebar placering
Venstrestillet
Billede
Sidebar placering
Venstrestillet
Article type
Journal
Magazine
References

REFERENCES

  1. WHO. Global tuberculosis report 2014. 2014;19.

  2. Poulsen S, Ronne T, Kok-Jensen A et al. Tuberculosis in Denmark 1972-1996. Ugeskr Læger 1999;161:3452-7.

  3. Statens Serum Institut. EpiNyt 4, 2014. 2014;4.

  4. ECDC, WHO. Tuberculosis surveillance and monitoring in Europe 2014. 2014;6.

  5. Lillebaek T, Andersen AB, Seersholm NJ et al. Continued problems with tuberculosis among Danes and Greenlanders in Denmark and the need for reinforced control – a systematic review. Ugeskr Læger 2012;174:2696-701.

  6. Seersholm N, Andersen PH, Andersen AB et al. Tuberkulosebekæmpelse i Danmark. Et nationalt tuberkuloseprogram. Statens Serum Institut, 2010. www.ssi.dk/Aktuelt/Nyheder/2010/~/media/Indhold/DK%20-%20dansk/Aktuelt/Nyheder/NTP_DK_2010.ashx.

  7. Lonnroth K, Migliori GB, Abubakar I et al. Towards tuberculosis elimination: an action framework for low-incidence countries. Eur Respir J 2015;45:928-52.

  8. Belknap R, Daley CL. Interferon-gamma release assays. Clin Lab Med 2014;
    34:337-49.

  9. Jensen SG, Olsen NW, Seersholm N et al. Screening for TB by sputum culture in high-risk groups in Copenhagen, Denmark: a novel and promising approach. Thorax 2015;70:979-83.

  10. Hinks TS, Varsani N, Godsiff DT et al. High background rates of positive tuberculosis-specific interferon-gamma release assays in a low prevalence region of UK: a surveillance study. BMC Infect Dis 2012;12:339.

  11. Danielsen AV, Floe A, Lillebaek T et al. An interferon-gamma release assay test performs well in routine screening for tuberculosis. Dan Med J 2014;
    61(6):A4856.

  12. Hsia EC, Schluger N, Cush JJ et al. Interferon-gamma release assay versus tuberculin skin test prior to treatment with golimumab, a human anti-tumor necrosis factor antibody, in patients with rheumatoid arthritis, psoriatic arthritis, or ankylosing spondylitis. Arthritis Rheum 2012;64:
    2068-77.

  13. Sterling TR, Villarino ME, Borisov AS et al. Three months of rifapentine and isoniazid for latent tuberculosis infection. N Engl J Med 2011;365:2155-66.

  14. Gupta V, Sugg N, Butners M et al. Tuberculosis among the homeless-preventing another outbreak through community action. N Engl J Med 2015;372:1483-5.

  15. Holland DP, Sanders GD, Hamilton CD et al. Costs and cost-effectiveness of four treatment regimens for latent tuberculosis infection. Am J Respir Crit Care Med 2009;179:1055-60.

  16. Holland DP, Sanders GD, Hamilton CD et al. Potential economic viability of two proposed rifapentine-based regimens for treatment of latent tuberculosis infection. PLoS One 2011;6:e22276.

Woodwing Id
1
Fil
Conflict of interest
Authors workplaces
1) Department of Infectious Diseases, Aarhus University Hospital2) Department of Respiratory Diseases, Aarhus University Hospital, Denmark
Bib ref
Dan Med J 2016;63(7):A5249
Article number
A5249
Authors

Nina Breinholt Stærke1, Ole Hilberg2, Christian Wejse1, Hans Jürgen Hoffmann2 & Andreas Fløe2,

0 likes