Medlem i

7 years 7 months
Indholdselementer
Fakta

Abstract

Introduction: Large simple liver cysts often tend to be symptomatic with pain being the most common symptom.

Material and methods: This was a retrospective study of patients who had intended laparoscopic surgery for liver cysts between December 2007 and December 2012 at a single institution.

Results: A total of 31 patients (27 women, four men) had surgery. The median age was 61 years (range 27-81 years). The diagnosis was based on the findings at computed tomography (CT) in 15 patients (49%), at ultrasonography in 11 (35%), at both CT and ultrasound in four (13%) and at magnetic resonance imaging (MRI) in one (3%). Indication for surgery was upper abdominal pain (n = 27) and abdominal discomfort (n = 4). The laparoscopic approach was successful in 29 patients (94%). The two conversions to open surgery were necessary due to peritoneal adherences. The median postoperative hospital stay was one day (range 1-14 days). Histological evaluation revealed 29 non-neoplastic cysts (94%) and two cyst adenomas (6%). Two patients had minor postoperative complications, but none needed re-operation. There was no 30-day mortality. The median follow-up time was 28 months (range 1-60 months). At follow-up, 26 patients (84%) were symptom-free. Of the five patients with re-occurrence of symptoms, three had a re-operation. The remaining two refrained from new surgery.

Conclusion: Laparoscopic marsupialisation of simple liver cysts has a high success rate in terms of pain relief, and it is a safe procedure with a short postoperative hospital stay.

Funding: not relevant.

Trial registration: Study reported to Danish Data Protection Agency via Region of Southern Denmark (case no. 13/8542).

Ombryd tekst
0
Brødtekst

Abstract

Introduction: Large simple liver cysts often tend to be symptomatic with pain being the most common symptom.

Material and methods: This was a retrospective study of patients who had intended laparoscopic surgery for liver cysts between December 2007 and December 2012 at a single institution.

Results: A total of 31 patients (27 women, four men) had surgery. The median age was 61 years (range 27-81 years). The diagnosis was based on the findings at computed tomography (CT) in 15 patients (49%), at ultrasonography in 11 (35%), at both CT and ultrasound in four (13%) and at magnetic resonance imaging (MRI) in one (3%). Indication for surgery was upper abdominal pain (n = 27) and abdominal discomfort (n = 4). The laparoscopic approach was successful in 29 patients (94%). The two conversions to open surgery were necessary due to peritoneal adherences. The median postoperative hospital stay was one day (range 1-14 days). Histological evaluation revealed 29 non-neoplastic cysts (94%) and two cyst adenomas (6%). Two patients had minor postoperative complications, but none needed re-operation. There was no 30-day mortality. The median follow-up time was 28 months (range 1-60 months). At follow-up, 26 patients (84%) were symptom-free. Of the five patients with re-occurrence of symptoms, three had a re-operation. The remaining two refrained from new surgery.

Conclusion: Laparoscopic marsupialisation of simple liver cysts has a high success rate in terms of pain relief, and it is a safe procedure with a short postoperative hospital stay.

Funding: not relevant.

Trial registration: Study reported to Danish Data Protection Agency via Region of Southern Denmark (case no. 13/8542).

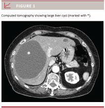
Cysts in the liver are present in approximately 5% of the population. The majority of patients have so-called simple cysts which are non-neoplastic and non-infectious cysts [1, 2]. Most patients are asymptomatic, but for those with symptoms, pain is the predominant complaint. On diagnostic imaging, for example computed tomography (CT), simple cysts are thin-walled with no septations (Figure 1), whereas infectious cysts are typically thick-walled, and neoplastic cysts often have nodules in the wall [1].

The treatment options for symptomatic simple liver cysts are percutaneous aspiration with or without sclerotherapy, marsupialisation (de-roofing) of the cyst(s) or liver resection. Percutaneous aspiration is often considered as initial treatment owing to its relative non-invasiveness, but half of the patients seem to get recurrence of symptoms [3, 4]. Bearing this in mind, other treatment options must be considered though these are more invasive. Laparoscopic marsupialisation was first described in 1991 [5]. With the increasing experience in laparoscopically performed surgical procedures, these are now used as the treatment of choice for simple liver cysts in many institutions.

The aim of this study was to evaluate our department’s experience with laparoscopic marsupialisation of simple liver cysts.

MATERIAL AND METHODS

This was a retrospective study of the records of patients who had undergone intended laparoscopic surgery for liver cysts (International Classification of Diseases (ICD)-10 codes KJJA 30-31 and KJJA 96-97) between December 2007 and December 2012 at the Department of Surgery, Odense University Hospital, Denmark. Age, gender, pre-operative imaging procedures, symptoms, preoperative treatment, anatomic cyst location, surgical procedure, postoperative complications, postoperative stay and histological diagnosis were noted from the records. In addition, the records were searched for re-admission/re-operation. Patients with no further contact to the department following discharge were contacted by telephone by one of the investigators (CLN) in March 2013 with questions regarding present symptoms and/or referral for re-treatment at another hospital. The study was reported to the Danish Data Protection Agency via Region of Southern Denmark (case no. 13/8542).

Surgical procedure

Laparoscopic marsupialisation was performed in general anaesthesia. After having established pneumoperitoneum, and the three trocars (two 12 mm and one 5 mm) had been introduced, the procedure was initiated by doing a laparoscopic ultrasonography of the liver in order to localise the optimal puncture spot and to look for other potential pathological conditions. Following this, the cyst was punctured, and the lid of the cyst was resected down to the margin of liver surface with ultrasound scissors. The resected tissue was sent for pathology, and the cyst cavity in the liver was left open. Rinsing and suction was done and the procedure was repeated in cases of more than one large superficially located cyst. After desufflation of CO2, the trocars were removed and the wounds were closed with resorbable intracutaneous suture. Local anaesthesia was applied in the wounds. Antibiotics were only used in cases converted to open surgery.

Trial registration: The study was reported to Danish Data Protection Agency via Region of Southern Denmark (case no. 13/8542).

RESULTS

A total of 31 patients (27 women, four men) underwent intended laparoscopic surgery for benign liver cysts. The median age was 61 years (range 27 to 81 years). Prior to the studied surgical procedure, 13 patients (42%) had cyst aspiration done and four patients (13%) have had surgery for their liver cyst(s). The pre-operative imaging procedures performed are shown in Table 1. In more than half of the patients, a CT was done. The indication for surgery was upper abdominal pain in 27 patients (87%) and abdominal discomfort in four patients (13%).

Laparoscopic marsupialisation was successful in 29 patients (94%). Thus, two conversions (6%) to open surgery were necessary. Both were due to peritoneal adherences (one from previous surgery and one from previous cyst punctures). The resected cysts were located in the right liver lobe in 17 patients (55%), in the left in eight patients (26%) and in both liver lobes in three patients (10%). In three patients (10%), the anatomic location of the cyst was not recorded. Histological evaluation revealed 29 non-neoplastic cysts (94%) and two cyst adenomas (6%) (none of which required further therapy). The median postoperative hospital stay was one day (range 1-14 days).

Two minor postoperative complications occurred. One patient was re-admitted two weeks postoperatively with abdominal pain and fever. A CT revealed bleeding into the cyst cavity. A drain was inserted producing haemorrhagic fluid. The patient received intravenous antibiotics and the following stay was uneventful. In the other patient in whom conversion to open surgery had been necessary due to adhesions, a perioperatively placed drain contained bile in the postoperative period. A subsequent biliary scintigraphy showed no bile leakage and no further treatment was necessary. There was no 30-day mortality.

The median follow-up time was 28 months (range 1-60 months). The status at follow-up can be seen in Figure 2. A total of 26 patients (84%) were without symptoms. All five of the patients who did experience symptoms (i.e. pain) were offered re-operation/re-puncture, but two of these refrained from additional therapy.

DISCUSSION

The present study aimed to evaluate laparoscopic marsupialisation of simple liver cysts at our department. Compared with other studies, we found similar figures in terms of technical and therapeutic success rates although comparison between studies can be difficult because of different definitions of therapeutic success [6-10]. Thus, some studies define therapeutic failure as recurrence of the cyst based on radiology [6, 10] and others based on recurrence of clinical symptoms [7-9]. Because the purpose of surgery is pain relief, we find it most relevant to consider absence of pain as the relevant success criterion. Hence, imaging procedures are not performed routinely in our patients. Still, it is noteworthy that four patients, who for some reason had imaging procedures performed after surgery, proved to have re-occurrence of their cysts, but these were asymptomatic.

Our study differs from comparable studies as we had only a very short postoperative stay at our department. Thus, the median postoperative stay was one day, whereas in a newly published Italian study, it was five days [6]. One reason for this could be that our study only included patients treated in the period from 2007 to 2012, whereas other studies also included patients from the beginning of the 1990s. Thus, increasing experience with postoperative recovery following laparoscopic procedures could lead to a shorter postoperative stay.

It remains unknown whether symptoms recur because of re-development of the resected cyst or because of development of a new cyst. The present study does not give an answer to this question because the location of the cyst was not always noted, radiology was not performed systematically afterwards and very few patients had re-operation. It must also be noted that it is not known whether a simple liver cyst, in fact, causes pain. Thus, when you look at cholecystectomy for symptomatic gallbladder stones, it is generally accepted that up to 10% of the patients will still have abdominal complaints after surgery [11]. This makes you wonder what the exact cause of right upper quadrant pain is. Still, almost 90% of the patients who had de-roofing of their liver cysts were asymptomatic afterwards and with a short postoperative stay and few complications, laparoscopic marsupialisation seems to be a better option than cyst aspiration [3, 4]. It has to be stated, though, that no randomised controlled trial have yet compared the two treatment modalities.

It has been advocated that liver cysts should be evaluated thoroughly with cross-sectional imaging procedures like computed tomography (CT) or magnetic resonance imaging (MRI) and discussion at a multidisciplinary team meeting before referring the patient for surgery because of the risk of the cyst not being a simple one [1]. In one third of the patients in our study, external ultrasonography was the only imaging procedure performed, and the indication for surgery was based on the findings at this together with the clinical symptoms. This reflects our general approach to the handling of patients with liver cysts which is to offer surgery if imaging procedures (CT, MRI or external ultrasound) give no suspicion of neoplasia, relevant clinical symptoms (pain, abdominal discomfort) are present, and an infectious condition is not suspected. Of course, we only looked at those patients in whom laparoscopic de-roofing was intended, and patients with a potentially infectious or a neoplastic cyst who were scheduled for other treatment were consequently not included. The number of these patients is, however, very low. Thus, in the observed period, 27 patients had liver resections for benign conditions and only two of these were cystic lesions.

Two of the 31 patients proved to have a neoplastic lesion (cystadenoma) rather than a simple cyst. This figure is very much in line with the one found in the study by Gall et al who, among 102 patients operated for non-infectious cysts, found three cystadenomas and one cystadenocarcinoma [7]. It has been speculated whether marsupialisation of a cyst is sufficient treatment if histology shows cystadenoma because of its potential risk of transforming into a malignant tumour. The exact risk of this is unknown, but it seems to be low [12], and we do not perform re-resection at our institution on a routine basis. However, it should be mentioned that of the two patients in our study with cystadenomas, one had enucleation of the cyst because the laparoscopic procedure had been converted to open surgery due to adhesions from previous cyst punctures. The other patient had a CT after one year of showing no progression and was without symptoms at follow up (33 months after surgery).

CONCLUSION

Laparoscopic marsupialisation of simple liver cysts has a high success rate in terms of pain relief, and it is a safe procedure associated with a short postoperative hospital stay. However, some patients suffer from recurrent symptoms and need re-therapy. It is not known whether this re-occurrence of symptoms is due to recurrence of the cyst, development of a new cyst or the fact that other reasons for pain were present.

Correspondence: Alan Patrick Ainsworth, Department of Surgery, Odense University Hospital, 5000 Odense C, Denmark. E-mail: alan.ainsworth@dadlnet.dk

Accepted: 15 April 2014

Conflicts of interest:Disclosure forms provided by the authors are available with the full text of this article at www.danmedj.dk

Sidebar placering
Venstrestillet
Billede
Sidebar placering
Venstrestillet
Sidebar placering
Venstrestillet
Billede
Sidebar placering
Venstrestillet
Sidebar placering
Venstrestillet
Billede
Sidebar placering
Venstrestillet
Article type
Journal
Magazine
References

REFERENCES

  1. Garcea G, Rajesh A, Dennison AR. Surgical management of cystic lesions in the liver. ANZ J Surg 2013;83:516-22.

  2. Macedo FI. Current management of noninfectious hepatic cystic lesions: a review of the literature. World J Hepatol 2013;5:462-9.

  3. Jusufovic R, Zerem E. Percutaneous treatment of symptomatic non-parasitic benign liver cysts with 20% NaCl solution. Med Arh 2011;65:35-7.

  4. Poźniczek M, Wysocki A, Bobrzyński A. Sclerosant therapy as first-line treatment for solitary liver cysts. Dig Surg 2004;21:452-4.

  5. Z’graggen K, Metzger A, Klaiber C Symptomatic simple cysts of the liver: treatment by laparoscopic surgery. Surg Endosc 1991;5:224–5.

  6. Ardito F, Bianco G, Vellone M et al. Long-term outcome after laparoscopic fenestration of simple liver cysts. Surg Endosc 2013;27:4670-4.

  7. Gall TM, Oniscu GC, Madhavan K et al. Surgical management and long-term follow-up of non-parasitic hepatic cysts. HPB (Oxford) 2009;11:235-41.

  8. Kamphues C, Rather M, Engel S et al. Laparoscopic fenestration of non-parasitic liver cysts and health-related quality of life assessment. Updates Surg 2011;63:243-7.

  9. Loehe F, Globke B, Marnoto R et al. Long-term results after surgical treatment of non-parasitic hepatic cysts. Am J Surg 2010;200:23-31.

  10. Wahba R, Kleinert R, Prenzel K et al. Laparoscopic deroofing of non-parasitic liver cysts with or without greater omentum flap. Surg Laparosc Endosc Percutan Tech. 2011;21:54-8.

  11. Jaunoo SS, Mohandas S, Almond LM. Postcholecystectomy syndrome (PCS). Int J Surg 2010;8:15-7.

  12. Martel G, Alsharif J, Aubin JM et al. The management of hepatobiliary cystadenomas: lessons learned. HPB 2013;15:617-22.

Woodwing Id
1
Fil
Conflict of interest
Authors workplaces
Department of Surgery, Odense University Hospital
Bib ref
Dan Med J 2014;61(6):A4866
Article number
A4866
Authors

Christian Lolle Noerregaard & Alan Patrick Ainswort,

0 likes