Medlem i

12 years 10 months
Indholdselementer
Sidebar placering
Venstrestillet
Fakta

ABSTRACT

INTRODUCTION: Short-term outcome after hip arthroscopy for femoroacetabular impingement (FAI) has been reported to improve hip function and decrease pain. Only few mid-term and long-term studies have been published. The objective of this study was to report midterm results in a consecutive cohort and to study the relation between cartilage lesions and the conversion rate to total hip arthroplasty (THA).

METHODS: Eighty-four FAI patients were followed retrospectively for 6-8 years. The conversion rate to THA, the peri-operative findings and the patient-reported outcome measures were reported.

RESULTS: Fifteen of 84 (18%) patients were converted to THA. The five-year hip survival rate was 83.9% (confidence interval (CI): 75.1-91.5%).

The THA group was significantly older, with a mean age of 46.9 years (CI: 42.8-50.8 years) compared with 39.0 years (CI: 36.6-41.6 years) in the non-THA group (p = 0.011). In the THA group, 13 of 15 patients were 40 years or older

(p = 0.005). A high-grade acetabular or femoral cartilage lesion was associated with a higher risk of conversion to THA (p = 0.017 and p < 0.0001). Sixty-four of the 69 patients (93%) were willing to repeat their arthroscopy.

CONCLUSIONS: The midterm results for arthroscopic hip-preserving surgery show a high level of patient satisfaction and a good functional outcome. The conversion rate to THA was 18%. High-grade cartilage lesions and age of 40 years and older are risk factors for conversion to THA.

FUNDING: This work was supported by Aleris’ Research Foundation, Box 47134, 100 74 Stockholm, Sweden. Registration number: 2014-24.

TRIAL REGISTRATION: not relevant. 

Ombryd tekst
0
Brødtekst

ABSTRACT

INTRODUCTION: Short-term outcome after hip arthroscopy for femoroacetabular impingement (FAI) has been reported to improve hip function and decrease pain. Only few mid-term and long-term studies have been published. The objective of this study was to report midterm results in a consecutive cohort and to study the relation between cartilage lesions and the conversion rate to total hip arthroplasty (THA).

METHODS: Eighty-four FAI patients were followed retrospectively for 6-8 years. The conversion rate to THA, the peri-operative findings and the patient-reported outcome measures were reported.

RESULTS: Fifteen of 84 (18%) patients were converted to THA. The five-year hip survival rate was 83.9% (confidence interval (CI): 75.1-91.5%).

The THA group was significantly older, with a mean age of 46.9 years (CI: 42.8-50.8 years) compared with 39.0 years (CI: 36.6-41.6 years) in the non-THA group (p = 0.011). In the THA group, 13 of 15 patients were 40 years or older

(p = 0.005). A high-grade acetabular or femoral cartilage lesion was associated with a higher risk of conversion to THA (p = 0.017 and p < 0.0001). Sixty-four of the 69 patients (93%) were willing to repeat their arthroscopy.

CONCLUSIONS: The midterm results for arthroscopic hip-preserving surgery show a high level of patient satisfaction and a good functional outcome. The conversion rate to THA was 18%. High-grade cartilage lesions and age of 40 years and older are risk factors for conversion to THA.

FUNDING: This work was supported by Aleris’ Research Foundation, Box 47134, 100 74 Stockholm, Sweden. Registration number: 2014-24.

TRIAL REGISTRATION: not relevant. 

Several studies have reported good or excellent short-term results for patients undergoing hip arthroscopy

for femoroacetabular impingement (FAI) [1-3]. However, there is a paucity of midterm and long-term follow-up studies, and they report moderate to good results [4-7]. A midterm outcome study by Skendzel et al reported a high failure rate in FAI patients with joint space width (JSW) ≤ 2 mm undergoing hip arthroscopy [7]. A total of 86% of the patients underwent conversion to total hip arthroplasty (THA). The cohort with a JSW of

> 2 mm had a conversion rate to THA of only 16%. Almost identical conversion rates were reported in a newly published ten-year follow-up study by Menge et al [3].

In Denmark arthroscopy of the hip is rarely performed if the JSW is less than 3 mm at the lateral sourcil.

We hypothesise that patients with symptomatic FAI benefit from arthroscopic surgery and that the results are related to age and to the grade of cartilage degeneration in the hip joint.

The primary aim of the study was to report conversion rates to THA in a cohort of patients with FAI who had been operated arthroscopically by the senior author, BL, from 2007 to 2009.

The secondary aims were to report patient-reported outcome measures (PROMs) in the non-THA group, the peri-operative findings and a possible association between conversion rate and THA and the grade of

acetabular cartilage lesion (Beck classification 0-4) [8, 9], and the grade of cartilage lesion on the femoral head (International Cartilage Research Society (ICRS) Classification 0-4) [10].

METHODS

This was a retrospective cohort study with 76-100- month follow-up. Using a hospital database, we identified a total of 127 consecutive patients with FAI who

underwent arthroscopic hip surgery performed by BL from 2007 to 2009 at a private clinic in Denmark.

Inclusion criteria

1. A history of chronic hip pain refractory to conservative treatment

2. Referred for possible arthroscopic surgery

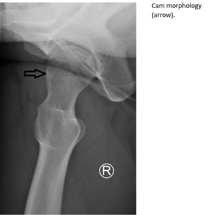
3. X-ray examination of the hip using the antero-posterior view showing the morphology of the cam-

type (alpha-angle > 55 degrees on the head-neck junction), pincer type (cross-over sign at the acetabular rim) or mixed type

4. JSW ≥ 3 mm at the lateral sourcil

5. Positive flexion, adduction and internal rotation (FADIR) test and/or

positive flexion, abduction and external rotation (FABER) test

6. Full hip arthroscopy was performed.

Exclusion criteria

1) Previous hip arthroscopy

2) Periacetabular osteotomy (PAO)

3) Traumatic dislocated hip

4) Necrosis of the femoral head

5) Previous subcapital femoral epiphysiolysis (SCFE)

6) Hip dysplasia

7) Loose bodies in the hip

8) Hip fracture

9) Not responding to the questionnaires and the PROMs.

The patients who had not been converted to THA were contacted by phone and asked to complete the PROMs and to answer whether they would be willing to have arthroscopic surgery again. The questionnaires were completed online. We also collected the Copenhagen Hip and Groin Outcome Score (HAGOS), the European Quality of Life-5 Dimension health questionnaire (EQ-5D) and the Hip Sports Activity Scale (HSAS) as reported by The Danish Hip Arthroscopy Registry [11].

The HAGOS consists of six sub-scales assessing symptoms, pain, function in daily living, function in sports and recreation, participation in physical activities and hip- and/or groin-related quality of life. Each sub-scale is scored separately from 0 to 100 with 100 representing the best outcome [12, 13]. The HAGOS is a questionnaire designed both for young and middle-aged adults undergoing non-surgical treatment or hip arthroscopy and for patients presenting with groin pain. The EQ-5D is a widely used generic health-related quality of life instrument [14, 15]. The HSAS is a validated activity measurement that is useful in FAI patients [16].

Procedure

The patients were operated in the supine position through standard antero-lateral and mid-anterior portals. After a diagnostic round was accomplished from both portals, the relevant pathology was addressed. Before 1 March 2008, labral tears were all debrided. After 1 March 2008, refixation with suture anchors was performed, if possible. The number of anchors used for the repair depended on the quality of the labrum and the size of the tear. In patients with a Beck grade 4 acetabular chondral defect, microfracture was performed in lesions smaller than 2-3 cm², and debridement was performed only in larger lesions [6, 8, 9]. Bony deformities such as pincer and/or cam deformity were addressed by osteoplasty using a motorised burr [17]. Range of movement was assessed under direct vision and under image intensifier control. The postoperative protocol included partial weight bearing not exceeding 20 kg for two weeks. All patients were instructed according to a standardised rehabilitation protocol by the physiotherapist at the hospital.

Statistics

Continuous variables including the PROMs were evaluated for normality and outliers. Normally distributed variables were analysed using the t-test, one-way ANOVA or Pearson’s correlation. The results are presented as means and standard deviation or 95% confidence intervals (CI). Variables with no normal distribution and ordinal variables were analysed using the Mann-Whitney test or Spearman’s correlation, and the median and range are presented. Categorical variables are presented with frequencies and compared using Fisher’s exact test. Time to conversion to THA used censored data and was analysed with Kaplan-Meier statistics. All p-values were two-sided, and p-values below 0.05 were considered significant.

R version 3.2.2 (R Foundation for Statistical Computing, Vienna, Austria) was used for the statistical analyses.

Trial registration: not relevant.

RESULTS

Eighty-four patients were operated between 1 January 2007 and 31 December 2009, and followed until 1 May 2015 (Figure 1)

Sidebar placering
Venstrestillet
Billede
Sidebar placering
Venstrestillet

. The median time to follow up was 82.9 months (interquartile range of 66.6-86.8). Fifteen patients (18%) underwent conversion to THA in the fol-lowup period. The five-year conversion rate was 17.1% (CI: 8.5%-24.9%) (Figure 2)

Sidebar placering
Venstrestillet
Billede
Sidebar placering
Venstrestillet

. Seven patients (8.2%) had a re-arthroscopy within this period. No infections or nerve injuries were reported.

The THA group was significantly older (p = 0.011) than the non-THA group, with a mean age of 46.9 years (CI: 42.8-50.8 years) compared with 39.0 years (CI: 36.6-41.6 years) (Table 1)

Sidebar placering
Venstrestillet
Billede
Sidebar placering
Venstrestillet

. Among those converted to THA, 13 of 15 patients (87%) were older than 40 years compared with 32 of 69 patients (46.4%) (p = 0.005) in the non-THA group. No sex difference for conversion to THA was observed.

A higher grade of acetabular cartilage lesion according to Beck’s classification [11] was associated with a higher risk of conversion to THA (p = 0.017), and a higher grade of cartilage lesion on the femoral head according to the ICRS classification was associated with a higher risk of conversion to THA (p < 0.0001).

Twenty-five patients underwent labral repair using suture anchors. Four of these patients were converted to THA and three had a revision arthroscopy. We observed no significant difference between the two groups regarding procedure (refixation or debridement of the labrum) or no procedure (p = 0.27). The PROMs of the group who had surgery after 1 March 2008 scored lower on the subscale HAGOS symptoms (p = 0.03) and HAGOS-ADL (p = 0.007).

Gender as well as age significantly affected HSAS (Table 2)

Sidebar placering
Venstrestillet
Billede
Sidebar placering
Venstrestillet

.

Of the 69 patients in the non-THA group, 64 patients (92.8%) were willing to have the arthroscopy performed again. No significant association was observed between the peri-operative findings and PROMs in the non-THA group, except for labral injuries. Excluding patients who had re-arthroscopy did not change that. Patients who had a labral injury had a significantly, lower pre-HSAS and a higher reduction in HSAS postoperatively (p = 0.04). Furthermore, the subscale HAGOS-ADL was significantly lower in patients with a labral injury (p = 0.05).

DISCUSSION

We found an association between a high grade of peri-operative osteochondral damage and conversion to THA. The association was related to both acetabular and femoral osteochondral lesions. Fifteen patients (18%) underwent conversion to THA in the follow-up period. Thirteen of those (87%) were older than 40 years compared with 46% (32 of 69) of the survival group. We found age older than 40 years to be a predictor of conversion to THA. Domb et al found hip arthroscopy to be safe in patients aged > 50 years with a conversion rate to THA of 17.3% and a comparable improvement in PROMs compared with a control group of patients aged 30 or younger [18]. The follow-up period was only 32 months (range of 24-54 months). In our cohort, 29% (13 of 45) of the patients who were older than 40 years underwent conversion to THA. This high percentage may be acceptable if the resulting functional outcome and patient satisfaction are high in those not converted as long as the patients are informed about the risks associated with conversion to THA.

The midterm outcomes of this cohort are similar to the results of Skendzel et al, Comba et al, Menge et al, but differed from those of Haefeli et al who only observed two of 50 (4%) patients being converted to THA after 7-9 years [3, 5-7].

Sidebar placering
Venstrestillet
Billede
Sidebar placering
Venstrestillet

Menge et al had a low conversion rate of 15% among patients with JSW > 2 mm. The number of patients with a JSW between 2 and 3 mm who were converted to a THA was not reported in the study by Menge et al [3]. In our study, six patients with JSW < 3 mm were excluded. Five of these patients were converted to THA during the follow-up period. There-fore, we still find no evidence to support arthroscopy in patients with JSW < 3 mm.

Regardless of age, we found that 64 out of 69 (93%) were willing to repeat the surgery in the non-THA group, suggesting a high patient satisfaction. Compared with the study by Sansone et al, who reported a two-year follow-up on 289 patients with a mean age of 37 years using the same PROMs, we found the postoperative EQ-5D to be higher in our cohort (0.84 versus 0.75) [19]. The HAGOS scores were almost identical in the subscales (Symptoms: 69 versus 69; Pain: 77 versus 76; ADL: 78 versus 78; Function in sport and recreation: 61 versus 65; Participation in physical activity: 58 versus 57; and Quality of Life: 62 versus 58). In Sansone et al, HSAS improved from 2.9 to 3.6, whereas we observed a decline from 4 to 3.

In a study based on FAI patients from the Danish Hip Arthroscopy Registry (DHAR), the two-year PROM data were comparable with data from our study [20]. HAGOS scores were almost identical in all subscales. EQ-5D increased to 0.84 compared with 0.78 in the DHAR, and HSAS declined in the present study to 3.0 compared with 3.3 in the DHAR.

A limitation to our study is the missing pre-operative scores, except for the HSAS. Because the inclusion criteria, patient age, peri-operative procedures, cartilage lesion grades and the values of the postoperative PROMs are comparable, it is reasonable to consider that our cohort experienced an improvement in PROMs similar to that experienced by patients in the study by Sansone et al. In that study, the PROMs were significantly improved. The EQ-5D improved from 0.58 to 0.76. and all the HAGOS subscales improved from 18 to 28 points each [19]. It is noteworthy that the highest scores in the HAGOS were achieved in the subscales describing pain, symptoms and ADL. In the more physical activity-related and sports-related subscales, the patients experienced lower scores.

Because the HSAS reflects the level of functional activity, the decline during the follow-up from four to three in our study may appear discouraging. However, such findings can be expected with longer follow-up as many people tend to stop engaging in competitive sports as they get older, for social and job-related reasons. Some people also tend to avoid sports with a high injury rate after they have had surgery.

CONCLUSIONS

This study suggests that arthroscopic hip surgery is a safe procedure and that it may lead to promising midterm results with regard to low conversion rates to THA and a high level of patient satisfaction in patients who are younger than 40 years of age. Arthroscopic surgery may still be performed in patients who are older than 40 years with a high level of patient satisfaction and a good functional outcome. However, peri-operatively identified high-grade cartilage lesions are risk factors for conversion to THA at 6-8 years of follow-up.

CORRESPONDENCE: Niels Christian Kaldau. E-mail: nckaldau@gmail.com

ACCEPTED: 19 March 2018

CONFLICTS OF INTEREST: none. Disclosure forms provided by the authors are available with the full text of this article at www.danmedj.dk

ACKNOWLEDGEMENTS: The authors would like to extend their gratitude

to Tobias Wirenfeldt Klausen, Statistician at Herlev Hospital, for helping with statistical analysis of the data set.

Sidebar placering
Venstrestillet
Article type
Journal
Magazine
References

LITERATURE

Aprato A, Jayasekera N, Villar RN. Does the modified Harris hip score reflect patient satisfaction after hip arthroscopy? Am J Sports Med 2012;40:2557-60.

Bardakos NV, Vasconcelos JC, Villar RN. Early outcome of hip arthroscopy for femoroacetabular impingement: the role of femoral osteoplasty in symptomatic improvement. J Bone Joint Surg Br 2008;90:1570-5.

Menge TJ, Briggs KK, Dornan GJ et al. Survivorship and outcomes 10 years following hip arthroscopy for femoroacetabular impingement. J Bone Jt Surg 2017;99:997-1004.

Nwachukwu BU, Rebolledo BJ, McCormick F et al. Arthroscopic versus open treatment of femoroacetabular impingement: a systematic review of medium- to long-term outcomes. Am J Sports Med 2016;44:1062-8.

Comba F, Yacuzzi C, Ali PJ et al. Joint preservation after hip arthroscopy in patients with FAI. Prospective analysis with a minimum follow-up of seven years. Muscl Ligam Tend J 2016;6:317-23.

Haefeli PC, Albers CE, Steppacher SD et al. What are the risk factors for revision surgery after hip arthroscopy for femoroacetabular impingement at 7-year followup? Clin Orthop Relat Res 2017;475:1169-77.

Skendzel JG, Philippon MJ, Briggs KK et al. The effect of joint space on midterm outcomes after arthroscopic hip surgery for femoroacetabular impingement. Am J Sport Med 2014;42:1127-33.

Konan S, Rayan F, Meermans G et al. Validation of the classification system for acetabular chondral lesions identified at arthroscopy in patients with femoroacetabular impingement. J Bone Joint Surg Br 2011;93:332-6.

Beck M, Kalhor M, Leunig M et al. Hip morphology influences the pattern of damage to the acetabular cartilage: femoroacetabular impingement as a cause of early osteoarthritis of the hip. J Bone Joint Surg Br 2005;87: 1012-8.

van den Borne MPJ, Raijmakers NJH, Vanlauwe J et al. International Cartilage Repair Society (ICRS) and Oswestry macroscopic cartilage evaluation scores validated for use in autologous chondrocyte implantation (ACI) and microfracture. Osteoarthr Cartil 2007;15:1397-402.

Mygind-Klavsen B, Nielsen TG, Maagaard N et al. Danish Hip Arthroscopy Registry: an epidemiologic and perioperative description of the first 2000 procedures. J Hip Preserv Surg 2016;3:138-45.

Thorborg K, Tijssen M, Habets B et al. Patient-reported outcome (PRO) questionnaires for young to middle-aged adults with hip and groin disability: a systematic review of the clinimetric evidence. Br J Sport Med 2015;49:812.

Thorborg K, Hölmich P, Christensen R et al. The Copenhagen Hip and Groin Outcome Score (HAGOS): development and validation according to the COSMIN checklist. Br J Sports Med 2011;45:478-91.

Rabin R, de Charro F. EQ-5D: a measure of health status from the EuroQol Group. Ann Med 2001;33:337-43.

Sørensen J, Davidsen M, Gudex C et al. Danish EQ-5D population norms. Scand J Public Health 2009;37:467-74.

Naal FD, Miozzari HH, Kelly BT et al. The Hip Sports Activity Scale (HSAS) for patients with femoroacetabular impingement. Hip Int 23:204-11.

Lavigne M, Parvizi J, Beck M et al. Anterior femoroacetabular impinge-ment: part I. Techniques of joint preserving surgery. Clin Orthop Relat Res 2004:61-6.

Domb BG, Linder D, Finley Z et al. Outcomes of hip arthroscopy in patients aged 50 years or older compared with a matched-pair controlof patients aged 30 years or younger. Arthroscopy 2015;31:231-8.

Sansone M, Ahldén M, Jónasson P et al. Outcome after hip arthroscopy for femoroacetabular impingement in 289 patients with minimum 2-year follow-up. Scand J Med Sci Sports 2017;27:230-5.

Lund B, Mygind-Klavsen B, Nielsen TG et al. Danish Hip Arthroscopy Registry (DHAR): the outcome of patients with femoroacetabular impingement (FAI). J Hip Preserv Surg 2017;4:170-7.

Woodwing Id
1
Fil
Conflict of interest
Authors workplaces

1) Department of Orthopaedic Surgery, Aleris-Hamlet Hospital Aarhus

2) Department of Orthopaedic Surgery, Zealand University Hospital, Køge

3) Sports Orthopaedic Research Centre –

Copenhagen, Department of Orthopaedic Surgery, Amager & Hvidovre Hospital

4) Department of Orthopaedic Surgery, Horsens Region Hospital, Denmark

Dan Med J 2018;65(6):A5483

Bib ref
Dan Med J 2018;65(6):A5483
Article number
A5483
Authors

Niels Christian Kaldau1, 3, Stig Brorson2, Per Hölmich3 & Bent Lund1, 4

0 likes