Medlem i

12 years 10 months
Indholdselementer
Abstract

INTRODUCTION: The surgical treatment of elderly patients with unstable ankle fractures is challenging. Open reduction and internal fixation with conventional plating technique often yields a poor outcome. However, fracture management with isolated fibular nailing represents an alternative method.

METHODS: We performed a retrospective study of patients treated with isolated fibular nailing at the North Zealand Hospital, Denmark, between 1 January 2012 and 31 December 2016. A total of 58 patients were included. The primary outcome was post-operative function (dependency of a walking aid). Secondary outcomes were pain, radiographic union and complications (infection, fracture displacement and screw migration).

RESULTS: At the last follow-up (mean follow-up of 10.3 months), 84.2% of the patients had returned to their baseline level of function. 18% had persistent pain. The last post-operative radiographic follow-up showed union in 93.7% of fractures of the lateral malleolus and 50% of the medial malleolus. The complication rate was 13.7%.

CONCLUSIONS: Isolated fibular nailing with immediate full weight bearing in plaster yields an acceptable functional outcome in elderly patients with unstable fractures of the malleoli.

FUNDING: none.

TRIAL REGISTRATION: not relevant.

Ombryd tekst
0
Brødtekst

INTRODUCTION: The surgical treatment of elderly patients with unstable ankle fractures is challenging. Open reduction and internal fixation with conventional plating technique often yields a poor outcome. However, fracture management with isolated fibular nailing represents an alternative method.

METHODS: We performed a retrospective study of patients treated with isolated fibular nailing at the North Zealand Hospital, Denmark, between 1 January 2012 and 31 December 2016. A total of 58 patients were included. The primary outcome was post-operative function (dependency of a walking aid). Secondary outcomes were pain, radiographic union and complications (infection, fracture displacement and screw migration).

RESULTS: At the last follow-up (mean follow-up of 10.3 months), 84.2% of the patients had returned to their baseline level of function. 18% had persistent pain. The last post-operative radiographic follow-up showed union in 93.7% of fractures of the lateral malleolus and 50% of the medial malleolus. The complication rate was 13.7%.

CONCLUSIONS: Isolated fibular nailing with immediate full weight bearing in plaster yields an acceptable functional outcome in elderly patients with unstable fractures of the malleoli.

FUNDING: none.

TRIAL REGISTRATION: not relevant.

Unstable fractures of the malleoli often require open reduction and internal fixation [1]. However, severe complications including skin ulceration, infection, loss of fracture reduction and pain are common and complication rates reaching 40% are reported [2]. In elderly patients with poor soft tissue or wounds, open reduction and internal fixation may need to be postponed.

A two-step procedure is often performed instead with external fixation followed by a subsequent definitive open reduction and internal fixation [3]. However, the two-stage procedure is time consuming as the definitive surgery is delayed by an average of eight days [4]. Exploring new ways of treatment is therefore needed.

Traditionally, the treatment of fractures in the medial malleolus has been internal fixation [5]. Some investigators have challenged this approach and good results have been reported with conservative treatment in fractures with less than two mm of dislocation [6]. Non-union may occur, but often without a negative effect on the functional outcome [7, 8].

The intra-medullar fibula nailing method provides relative stability and therefore indirect fracture healing. The goal is a congruent joint obtained by a minimally invasive method, which can be performed regardless of soft tissue swelling [9]. Previous studies have shown that patients older than 65 years have fewer soft tissue complications following fibular nailing than following traditional plating technique [10, 11]. Isolated fibular nailing may be a safe early one-stage procedure in elderly patients in whom traditional osteosynthesis is not possible due to soft tissue problems.

We hypothesised that fibular nailing, as the single internal stabiliser of bi- and tri-malleolar fractures, would provide a stable ankle and allow for immediate weight bearing in a circular cast with a good functional and radiological outcome.

The aim of this study was to compare the level of physical function pre- and post-operatively as a primary outcome in selected patients treated with isolated fibular nailing. The secondary outcomes were pain, radiological union and complications.

METHODS

We conducted a retrospective study at the North Zealand Hospital, Denmark, between 1 January 2012 and 31 December 2016. The inclusion criteria were patients over 65 years of age with ankle fractures who were treated with isolated fibular nailing using a fibula rod system.

The study was reported to the Danish Data Protection Agency and to the Regional Scientific Ethical Committee.

Data collection

The procedure code for intramedullary nailing of ankle fractures identified 139 patients. We included 58 patients (Figure 1). Fracture type was classified according to the Weber classification and differentiated between open or closed fracture (presence or absence of a wound at the time of the primary examination). Post-operative complications (infection, fracture, dislocation) and mortality were included. At the last follow-up, daily physical function (dependency of walking aid), pain and fracture union were evaluated at a minimum follow-up period of three months after primary surgery. Patients who declined follow-up in the outpatient clinic were interviewed by phone.

Sidebar placering
Venstrestillet
Billede
Sidebar placering
Venstrestillet

Outcomes

The primary outcome was self-reported limitations in physical function defined by dependency of a walking aid (no aid, crutches/walker or wheelchair) prior to the injury compared with post-operative follow-up.

The secondary outcomes were pain at the last follow-up, radiological union and post-operative complications (infection, fracture dislocation and loosening of the implant/fixation). All radiographs and complications were validated by senior consultants.

Procedure

All patients selected for fibular nailing were given a single dose of intravenous cefuroxime 1.5 g before surgery. Patients with an open fracture continued with prophylactic antibiotics for three days. To avoid thromboembolic complications, low molecular heparin was administered daily while patients remained admitted.

The fibular nail was inserted through the tip of the lateral malleolus, distal locking screws were set along with at least one syndesmosis screw to enhance stabilisation.

Any dislocation of the medial malleolus was accepted as long as a congruent joint was achieved. Full weight bearing post-operatively was allowed in a circular Scotch cast.

Patients had follow-up with radiographs at the outpatient clinic two and six weeks after their operation. Anteroposterior and lateral radiographs were taken for evaluation of implant position and fracture healing (determined as well-defined callus bridging across the fracture sites or the obliteration of the fracture lines on both views). At six weeks, the cast was replaced with a prefabricated removable hard-shelled boot (controlled ankle motion boot) for an additional four weeks and the patients were referred to physiotherapy. As the final follow-up for this study, patients were invited to our outpatient facilities a minimum of three months after surgery.

Statistics

To describe the primary outcome, descriptive statistics were used. Logistic regression analysis (Cox-regression) was performed to determine a possible significant association between fracture healing on the medial side and pain. These results were expressed using p-value and 95% confidence interval (CI) to determine a significant association. The level of significance was defined as a p-value of < 0.05. Statistical analysis was performed using statistical software.

RESULTS

The demographics, medical comorbidities and fracture specifications are presented in Table 1.

Sidebar placering
Venstrestillet
Billede
Sidebar placering
Venstrestillet

Primary outcome

Limitations in patient-reported functional level pre-injury were compared with limitations in functional level at the last follow-up (mean follow-up: 10.3 months, range: 3-60 months) (Figure 2). At the final clinical follow up, 42 patients (82%) had returned to their baseline level of mobility.

Sidebar placering
Venstrestillet
Billede
Sidebar placering
Venstrestillet

Secondary outcomes

Ten out of 51 patients (19.6%) reported pain at the last follow-up. Post-operative radiological follow-up (at a minimum three-month interval) was available in seven out of these ten patients. In six out of the seven patients, radiological union was not observed in the follow-up period. No significant association between remaining pain and healing of the medial malleolus was found (p = 0.3; 95% CI: 0.6-5.3).

Lost to follow-up

A total of 21 patients declined a three-month follow-up at the outpatient clinic and were therefore not included in the radiographic analysis. However, they were all interviewed by phone. Eighteen patients preserved their pre-traumatic functional level. Radiological follow-up at three months was unavailable for these patients, but they had all a good reduction and consolidation of the lateral malleolus at their last radiograph with no pain reported. The remaining three patients reporting pain were wheelchair users who were unable to attend radiographical follow-up due to their medical condition. However, these patients showed a good reduction of the fracture at the last available radiograph taken between six and ten weeks after the primary surgery.

Radiographic analysis

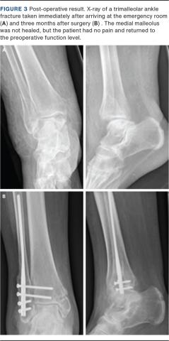
A total of 32 patients were included in this analysis with a mean follow-up period of 8.3 months (range: 3-46 months). Fracture healing (Figure 3) was observed in 93.7% of the lateral malleolus and in 50% of the medial malleolus at the last radiographic follow-up.

Sidebar placering
Venstrestillet
Billede
Sidebar placering
Venstrestillet

Complications

Six out of the 51 patients experienced complications including infection, fracture dislocation and screw migration (total complication rate = 13.7%). Infection occurred in three patients (A, B and C). Patient A required an amputation below the knee due to severe infection three weeks after surgery. Patient B experienced two complications: a fracture displacement three weeks after the primary surgery and a severe infection resulting in removal of the nail three months later. Neither the medial nor the lateral malleolus was consolidated, and persistent pain was reported at the last follow-up three months after primary surgery. Further follow-up was not possible as the patient passed away due to unrelated causes. In patient C, the screws were removed due to infection and soft tissue problems. However, both the medial and lateral fractures were consolidated, and the patient described no pain at the last follow-up.

Two patients experienced loss of reduction within three weeks and were both re-operated. One patient (B) suffered from further complications (see above), the other patient was re-operated with no further complications.

Two patients experienced loosening of the syndesmosis screw, and the screws were removed without any further complications.

DISCUSSION

The main purpose of this study was to investigate the functional outcome in bi- or tri-malleolar ankle fractures after isolated fibular nailing in a selected group of patients unsuited for primary fixation with standard open reduction and internal fixation technique.

An unstable ankle fracture is a severe injury for the elderly patient and it is a challenge for these patients to return to their pre-traumatic daily function. In our study, 82% of our patients preserved their pre-traumatic function in terms of dependency on walking aids, and 80.4% had no remaining pain at the last follow-up. Similar results were reported by Rajeev et al [10], where 87.5% of the patients returned to their pre-traumatic function and remaining pain was reported in 25%. In contrast to our study, patients were allowed only partial weight bearing for six weeks, and in case of a fracture on the medial side, osteosynthesis was performed.

In previous studies, the Olerud-Molander Ankle Score (OMAS), with a range of 57-65, was used to determine functional outcome after fibular nailing [9]. Unfortunately, we were unable to apply this score due to the study design.

In our study, fracture healing was observed in 93.7% of the fractures of the lateral malleolus and in 50% of the fractures of the medial malleolus after 8.3 months (in 32 patients). According to Rajeev et al [10], the average period required for fracture healing was 8.7 weeks after surgery with fibula nail (24 patients) without any non-union in the lateral malleolus being reported. In the largest available study (105 patients), Bugler et al [9] investigated different intramedullary nailing techniques of the fibula, including 21 patients operated with the current fibula rod system. In all 21 patients, good fracture reduction and no secondary displacement were reported. However, fracture healing was not reported. One malunion not requiring reoperation, out of 50 patients, was described by White et al [11]. Challagundla et al [12] described two cases in their study in which the medial malleolus was left without osteosynthesis due to a condition of the skin and the fracture healed in both cases. We have comparable healing results on the lateral malleolus even with a short follow-up period.

It has been reported that non-operative treatment of minimally displaced fractures of the medial malleolus after fixation of the fibula (platting technique) yields satisfactory results [6]. Non-union is often without characteristic symptoms and has a considerable tendency to heal at a later stage [7, 8]. Despite our high non-union rate of the medial malleolus, few of our patients had pain at their last follow-up.

It is reported that conventional osteosynthesis as a one-step procedure is often associated with a high complication rate, up to 40%, in the elderly population [1]. For intramedullary nailing of the fibula, complication rates between 5% and 25% have been reported [9]. Our total complication rate was 13%. We had three patients (4.5%) with infection after surgery. In four previous studies of fibular nailing, an infection rate between 0% and 4.8% was reported [9-12]. In comparison, infection rates between 16% and 24% have been reported after conventional open reduction and internal fixation in the elderly population [13]. Meijer et al [4] observed that infection occurred in 20% of the patients when a two-step procedure (external fixation and osteosynthesis after AO principles) was performed. These findings indicate that fibular nailing may represent a safer technique for early management of unstable ankle fractures in frail elderly patients.

In our study, we report two cases with loss of reduction resulting in a need for re-operation. To our knowledge, reoperation due to secondary fracture displacement after fibular nailing has yet to be reported [9].

White et al [11] described the removal of the distal locking screw in five out of 50 patients. In the study by Challagundla et al [12], the syndesmotic screw had to be removed in two out of 12 patients [12]. Compared with these studies, we found a lower screw-removal rate.

Like most retrospective cohort studies, ours may be criticised for an incomplete and short follow-up period. In all, 22 of 51 patients declined attending the three-month follow up in the outpatient clinic, which introduces a risk of information and selection bias. An average follow-up period of 8.3 months with a wide range (3-60 months) is too short to detect long-term complications such as osteoarthritis, altered gait due to non-anatomically healed fractures or tendon ruptures. We were unable to compare our results with those achieved with other techniques. This cohort represents a small and selected group of patients and therefore potentially lacks generalisability.

Another limitation is the lack of patient-reported outcome measures for standardised reporting of pain (visual analogue scale) and function (OMAS). However, due to the retrospective design, it was not possible to obtain these data.

CONCLUSIONS

Our results suggest that fibular nailing represents an alternative procedure in selected patients and provides a good functional outcome with few complications. Nevertheless, further prospective studies on larger materials should be performed to verify this finding and validate the surgical indication.



Correspondence Veronika Murlasits. E-mail: veronika_murlasits@yahoo.de
Accepted 16 March 2021
Conflicts of interest none. Disclosure forms provided by the authors are available with the article at ugeskriftet.dk/dmj

Sidebar placering
Venstrestillet
Article type
Journal
Magazine
References

References

  1. Holness P, Engebretsen L, Stromsoe K. The influence of perioperative soft tissue complications on the clinical outcome in surgically treated ankle fractures. Foot Ankle Int 2001;22:642-8.

  2. Litchfield JC. The treatment of unstable fractures of the ankle in the elderly. Injury 1987;18:128-32.

  3. Przkora R, Kayser R, Ertel W, Heyde CE. Temporary vertical transarticular-pin fixation of unstable ankle fractures with critical soft tissue conditions. Injury 2006;37:905-8.

  4. Meijer RPJ, Halm JA, Schepers T. The foot unstable fragility fractures of the ankle in the elderly; transarticular Steinmann pin or external fixation. Foot 2017;32:35-8.

  5. Sutter PM, Peltzer J. Principles of operative treatment of malleolar fractures today. Eur J Trauma Emerg Surg 2010;36:505-14.

  6. Hoelsbrekken SE, Kaul-jensen K, Mørch T et al. Nonoperative treatment of the medial malleolus in bimalleolar and trimalleolar ankle fractures: a randomized controlled trial. J Orthop Trauma 2013;27:633-7.

  7. Sneppen O. Long-term course in 119 cases of pseudarthrosis of the medial malleolus. Acta Orthop Scand 1969;40:807-16.

  8. Carter TH, Mackenzie SP, Bell KR et al. Selective fixation of the medial malleolus in unstable ankle fractures. Injury 2019;50:983-9.

  9. Bugler K, Hardie AR, Appleton P et al. The treatment of unstable fractures of the ankle using the Acumed fibular nail. J Bone Joint Surg Br 2012;94:1107-12.

  10. Rajeev A, Senevirathna S, Radha S et al. Functional outcomes after fibula locking nail for fragility fractures of the ankle. J Foot Ankle Surg 2017;50:547-50.

  11. White TO, Bugler KE, Will E. A prospective randomised controlled trial of the fibular nail versus standard open reduction and internal fixation for fixation of ankle fractures in elderly patients. Bone Joint J 2016;98-B:1248-52.

  12. Challagundla SR, Shewale S, Cree C et al. Intramedullary fixation of lateral malleolus using Fibula Rod System in ankle fractures in the elderly. Foot Ankle Surg 2018;24:423-6.

  13. Anderson SA, Li X, Franklin P et al. Ankle fractures in the elderly: initial and long-term outcomes. Foot Ankle Int 2008;29:1184-8.

Woodwing Id
46049
Fil
Conflict of interest
Authors workplaces

1) Department of Orthopaedic Surgery, Zealand University Hospital, Køge, 2) Department of Ortopaedic Surgery, Holbæk Hospital, 3) Department of Orthopaedic Surgery, Copenhagen University Hospital – North Zealand Hospital, Hillerød, Denmark

Dan Med J 2021;68(5):A07200539

Bib ref
Dan Med J 2021;68(5):A07200539
Article number
A07200539
Authors

Veronika Murlasits1, Michelle Fog Andersen2, Andreas E. Bording Hermann3, Lasse Bayer3 & Jesper Sonntag3

0 likes