Medlem i

12 years 10 months
Indholdselementer
Abstract

Introduction: With the increasing use of cross-sectional imaging, the incidence of non-symptomatic pancreatic cystic neoplasms is increasing. Surgical management of pancreatic cystic neoplasms possess significant risks of perioperative morbidity and mortality. Our aim was to evaluate endoscopic ultrasound (EUS)-guided ablation as a non-operative treatment of pancreatic cystic neoplasms.

Methods: We performed a literature search in MEDLINE, Embase and Scopus. All clinical studies examining the safety and efficacy of EUS-guided pancreatic cyst ablation with radiofrequency, sclerosants, ethanol, chemotherapeutics or a combination hereof were included.

Results: A total of 17 studies were included. We found that EUS-guided pancreatic cyst ablation was feasible with complete resolution in up to 86% of cases after 3-12 months. The modality with the most promising results after 3-12 months was chemoablation with complete resolution rates ranging from 46 to 79% (median 64%). The most appropriate follow-up period was estimated to be 12 months. The risk of serious adverse events including pancreatitis was approximately 16%. Very few cyst recurrences have been documented following complete resolution after cyst ablation.

Conclusions: EUS-guided cyst ablation of pancreatic cystic lesions seems effective and safe as an alternative to surgical resection in patients who are unfit for surgery or who have low-risk pancreatic cystic neoplasms.

Ombryd tekst
0
Brødtekst

Introduction: With the increasing use of cross-sectional imaging, the incidence of non-symptomatic pancreatic cystic neoplasms is increasing. Surgical management of pancreatic cystic neoplasms possess significant risks of perioperative morbidity and mortality. Our aim was to evaluate endoscopic ultrasound (EUS)-guided ablation as a non-operative treatment of pancreatic cystic neoplasms.

Methods: We performed a literature search in MEDLINE, Embase and Scopus. All clinical studies examining the safety and efficacy of EUS-guided pancreatic cyst ablation with radiofrequency, sclerosants, ethanol, chemotherapeutics or a combination hereof were included.

Results: A total of 17 studies were included. We found that EUS-guided pancreatic cyst ablation was feasible with complete resolution in up to 86% of cases after 3-12 months. The modality with the most promising results after 3-12 months was chemoablation with complete resolution rates ranging from 46 to 79% (median 64%). The most appropriate follow-up period was estimated to be 12 months. The risk of serious adverse events including pancreatitis was approximately 16%. Very few cyst recurrences have been documented following complete resolution after cyst ablation.

Conclusions: EUS-guided cyst ablation of pancreatic cystic lesions seems effective and safe as an alternative to surgical resection in patients who are unfit for surgery or who have low-risk pancreatic cystic neoplasms.

Key points

  • Surgical management of pancreatic cystic neoplasms is associated with significant risks of perioperative morbidity and mortality.

  • The improvement in patient-reported function indicated a clinical relevance for hip osteoarthritis patients.

  • Endoscopic ultrasound-guided cyst ablation appears promising as a minimally invasive treatment of pancreatic cystic neoplasms. The treatment seems to be effective and safe with few serious adverse events.

With the increased use of cross-sectional imaging, non-symptomatic pancreatic cystic neoplasms (PCN) are identified in 2.4-13.5% of the adult population [1-3]. PCN include benign lesions such as serous cystic neoplasms (SCN) and pancreatic pseudocysts as well as cystic lesions with malignant potential such as mucinous cystic neoplasms (MCN) and intraductal papillary mucinous neoplasms (IPMN) [4-6]. Surgical management of PCN is associated with significant risks of perioperative morbidity (20-50%) and mortality (2-3%) [7-9]. Current guidelines agree that absolute indications for surgical resection are MCN with a cyst diameter > 40 mm, main-duct IPMN with a pancreatic duct diameter > 10 mm and branch-duct IPMN with a cytology with high-grade dysplasia or presents mural nodules > 5 mm [10, 11]. However, it is challenging to decide on whether to initiate surveillance or perform surgery on patients with pancreatic cysts with limited potential for malignant transformation and in patients who are poor surgical candidate patients. These patients are frequently offered surveillance with either MRI or endoscopic ultrasound (EUS) [10, 11]. Numerous studies have investigated the possibilities of endoscopic ultrasound-guided pancreatic cyst ablation (EUS-PCA) as a minimally invasive alternative to surgery for patients diagnosed with PCN. The purpose of this review was to provide an overview of the various types of ablative agents used in patients with pancreatic cystic lesions and to evaluate EUS-PCA as a possible non-operative treatment of PCN, thus assessing the rate of complete resolutions in ablated cysts, the risk of adverse events as well as the predictors for complete resolution.

Sidebar placering
Venstrestillet
Billede
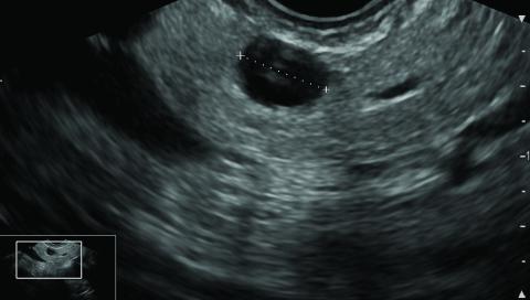
Endoscopic ultrasound showing a suspected 7-mm branch duct intraductal papillary mucinous neoplasm of the pancreas.
Caption
Endoscopic ultrasound showing a suspected 7-mm branch duct intraductal papillary mucinous neoplasm of the pancreas.
Sidebar placering
Venstrestillet

METHODS

A protocol for this review was designed and registered in PROSPERO (CRD42019118930). To identify relevant studies, a literature search was performed in MEDLINE, Embase and Scopus. MEDLINE was also searched by MESH terms (endoscopic ultrasonography, pancreatic cysts and ablation technique). All articles published until 4 November 2019 were included. The search was conducted in all databases and imported for screening on the same date. References of relevant articles found by the primary search were browsed and all relevant studies were included. The search strategy was conducted in accordance with the Preferred Reporting Items for Systematic Reviews and Meta-Analyses (PRISMA) guidelines [12] using the PICOS system (patient/population, intervention, comparison/control, outcomes, and study design). All clinical intervention studies examining the safety and efficacy of EUS-guided pancreatic cyst ablation with radiofrequency, sclerosants, ethanol, chemotherapeutics or a combination of the latter two were included. Retrospective as well as prospective and randomised studies were included.

To identify studies meeting the inclusion criteria of the review, titles and abstracts of the retrieved studies were assessed by two independent reviewers (GO and LA). Next, the full text of all potentially relevant studies was assessed individually by the two reviewers (GO and LA). Any disagreements between the two review team members were resolved through discussion (GO, LA, and JGK). Quality assessment was performed using the modified Downs and Black checklist (D&B)[13]; the only modification being the exclusion of question 27 regarding power calculation. Data extraction and quality assessment were performed independently by both reviewers (GO and LA).

The quality assessment and risk of bias evaluation was divided into four categories: reporting, external validity, internal validity (bias) and internal validity (confounding). The total D&B score of each study is noted at the primary referral of the study (D&B X). Figure 1 presents the categorisation of the scores.

Sidebar placering
Venstrestillet
Billede
Sidebar placering
Venstrestillet

RESULTS

After duplicates were removed, the search provided 368 studies which were screened. A total of 17 studies were included in this review (Figure 2). Seven studies assessed ethanol ablation, seven chemoablation, two radiofrequency ablation (RFA) and one study investigated cyst ablation using a sclerosant (Table 1).

Sidebar placering
Venstrestillet
Billede
Sidebar placering
Venstrestillet
Billede
Sidebar placering
Venstrestillet

Quality assessment and risk of bias

As demonstrated in Figure 1, all studies included in this review were of fair or good quality. Most studies had clear descriptions of aims, methods and outcomes. The patients included in the trials were, in most cases, representative of the entire population from which the study subjects had been derived. Obviously, when evaluating the included studies, it was found that the risk of bias and confounding was higher in the retrospective cohort studies and lower in double-blinded randomised controlled trials.

Ethanol ablation

The earliest study assessing the feasibility and safety of EUS-PCA in humans was published in 2005 using ethanol lavage for ablation (D&B 16) [14]. A correlation between alcohol consumption and acute pancreatitis had already been established [15]; thus, the first ablations were performed using 5% ethanol. After identifying no adverse events in the treated patients, the concentration was gradually increased to 80% ethanol in the following ablations. The trial achieved complete resolution in 32% of the patients. Subsequently, several trials have investigated ethanol for EUS-PCA obtaining complete resolution in 9-86% of the patients (Table 1 and Figure 3) with ethanol concentrations ranging from 80 to 99%. Five out of seven trials reported complete resolution in 25-45% of the ablated cysts [14, 16-19].

Sidebar placering
Venstrestillet
Billede
Sidebar placering
Venstrestillet

One protocol differed from the others as investigators injected a contrast medium into the cysts prior to the ethanol lavage to exclude main duct communication (D&B 18) [20]. This study attained the lowest resolution rate of merely 9%. However, a firm relation between a contrast examination and a reduction of the efficacy of ethanol ablation has yet to be established.

One study reported an impressive complete resolution rate of 86% after ethanol ablation in 14 patients (D&B 12) [21]. Six of the patients included in the study had a fibrosing agent (Lipiodol) injected into the cyst after ethanol lavage was performed. However, it was not specified how this influenced the resolution rates. Moreover, it should be noted that this trial received one of the lowest scores on risk of bias and quality assessment, as presented in Figure 1.

Chemoablation

In 2008, Oh et al(D&B 15) [22] presented a trial supplementing ethanol lavage with Paclitaxel injection and found that it was safe and feasible. Numerous trials assessing the safety and efficacy of chemoablation have since followed (Table 1). The five included studies combining ethanol lavage with Paclitaxel injection reported complete resolution in 46-79% of the patients (Figure 3).

In order to assess whether ethanol was required for efficient EUS-PCA, the Chemotherapy for Ablation and Resolution of Mucinous Pancreatic Cysts (CHARM) trial [23, 24] was initiated in 2011. The authors performed a randomised controlled trial comparing ethanol lavage followed by a combination of Paclitaxel and Gemcitabine injection to saline lavage followed by paclitaxel and gemcitabine injection [23, 24]. After a pilot study (D&B 19) [23] including ten patients (four receiving ethanol lavage and six receiving saline lavage prior to paclitaxel and gemcitabine injection) showing similar results in both study arms (ethanol + paclitaxel and gemcitabine versus saline + paclitaxel and gemcitabine), a total of 39 patients were included (D&B 22) [24]. This trial achieved complete resolution in 61% of the patients in the ethanol + paclitaxel and gemcitabine arm and in 67% of the patients in the saline + paclitaxel and gemcitabine arm, demonstrating no significant difference in complete resolution rate between the two groups. Moreover, the complete resolution rates were within the range of the trials using ethanol + paclitaxel only.

Other ablative agents

In 2017, Linghu et al presented a study using the sclerosant lauromacrogol as an ablative agent in PCN (D&B 16) [25]. They included 29 patients with pancreatic cysts receiving 1-2 ablations with lauromacrogol. Treatment response was evaluated by imaging examination three months after each ablation. Complete resolution was achieved in 11 patients (37.9%). They reported two cases of pancreatitis and one case of fever following a total of 36 procedures performed on the 29 patients.

RFA for EUS-PCA has previously been investigated in ex vivo cyst models created in porcine small intestine [26]. In 2015, a study explored the possibilities in RFA for EUS-PCA in humans including six patients with pancreatic cysts achieving complete resolution in two patients 3-6 months post-procedure (D&B 16) [27]. In 2019, RFA was performed on 17 patients achieving a complete response in 65% at the 12-month follow-up (D&B 15) [28].

Adverse events

EUS-PCA was generally well tolerated; however, both mild and serious adverse events have been reported. All adverse events are presented in Table 1. Adverse events were reported in 0-33% of all EUS-guided cyst ablations. Post-ablation pancreatitis was reported in up to 10% of the ablations. Other less common adverse events included intracystic haemorrhage, pericystic spillage, chemical peritonitis, splenic vein obliteration, gastric wall cyst formation, pseudocyst formation, abscess formation, portal vein thrombosis, small bowel perforation and pancreatic main duct stricture.

Ethanol has been thought to be responsible for a large fraction of the adverse events. Therefore, a randomised controlled trial was performed aiming to determine whether avoiding ethanol from the ablation procedure could improve complication rates thus comparing ethanol lavage and chemo ablation to saline lavage and chemo ablation [24]. In the trial, three patients reported mild abdominal pain after the ablation and a mild case of pancreatitis requiring a 36-hour hospital stay occurred in one patient. All the reported adverse events occurred in patients who had received ethanol lavage prior to chemoablation. No adverse events were reported in the ethanol-free arms of the trial.

RFA was performed in a total of 23 patients [27, 28]. These studies reported two patients experiencing abdominal pain and one instance of small-bowel perforation. No patients who had RFA performed experienced acute post-procedure pancreatitis.

One study reported a single patient diagnosed with pancreatic adenocarcinoma 41 months after receiving ethanol ablation [20]. The ablation had yielded a reduction of the treated cyst but had not produced complete resolution. The pancreatic cancer was assumed to arise from the ablated cyst.

Follow-up period and long-term recurrence

The time from treatment to evaluation of resolution differed tremendously between the included studies, ranging from three months to seven years. Two studies evaluated the response using CT or MRI in 3-6-month intervals noting that several patients had required a full year of surveillance to achieve complete resolution [22, 24]. One study described complete resolution of a pancreatic cyst as late as 82 months after treatment [20].

Choi et al performed long-term follow-up on 114 patients with complete resolution and only observed two patients (1.7%) with cyst recurrence (D&B 17) [29]. The recurrent cysts were identified 36 and 48 months after complete resolution was attained. The median follow-up period was 71 months (interquartile range: 48-81 months), and no malignant transformations were discovered during the follow-up period. No recurrences were found in other smaller trials assessing long-term recurrence [21, 30].

Predictors of complete resolution

No studies found baseline patient demographics that predicted complete resolution. Two trials found a cyst diameter < 35 mm to be associated with a higher resolution rate (D&B 19) [29, 31]. Three studies found statistically significant different complete resolution rates between the pancreatic cyst types [18, 19, 29]. All showed the highest resolution rate in cysts categorised as SCN or MCN, and the lowest complete resolution rate in IPMN.

DISCUSSION

This review found that EUS-PCA is a feasible minimally invasive alternative to surgery in patients with PCN with complete resolution in up to 86%. Furthermore, it is a safe alternative to surgery with an acceptable risk of serious adverse events.

The assessed complete resolution rates of the ethanol ablation studies varied greatly from 9-86% [20, 21]. The studies using chemotherapeutics showed complete resolution rates from 46 to 70% [22, 32]. Only one study investigated the sclerosant lauromacrogol for ablation of PCN [25]. They achieved a complete resolution rate of 37.9%. RFA for cyst ablation was investigated in two studies including a total of 23 patients and producing complete resolution in 33.3-65% [27, 28].

Only a small number of the patients in the included studies had surgery performed after the ablation, and it therefore remains uncertain whether radiologically complete resolution correlates with histologically complete resolution. Although promising results have been presented in terms of long-term recurrence rates, it has not yet been proven that radiologically complete resolution of pancreatic cysts reduces the risk of malignant transformation. Supplementary studies are needed to assess the long-term durability of the response and a possible reduction in the risk of malignant transformation to pancreatic cancer.

The follow-up period of the included studies ranged from three months to several years. According to the findings in the included studies, a follow-up period of at least 12 months is mandatory to assess whether complete resolution has been achieved in the included patients.

Acknowledging the risk of morbidity and mortality in pancreatic surgical resection, identifying a minimally invasive alternative to resolve premalignant pancreatic cysts is of great interest. Adverse events are reported in up to 33% of the ablations. If monosymptomatic fever and mild abdominal pain are excluded, the risk of serious adverse events, including acute pancreatitis, was estimated to approximately 16%. Thus, the risk of adverse events after cyst ablation is substantially lower than that of surgical resection [7-9]. No mortalities related to EUS-PCA have been described. The CHARM study proposed that the risk of post-procedure pancreatitis correlated with the use of ethanol as an ablative agent [23]. They evaluated the efficacy and safety of ethanol-free ablation in a randomised controlled trial finding no statistically significant difference in the complete resolution rate between the patients ablated with ethanol and chemotherapeutics and the patients ablated with only chemotherapeutics. Adverse events occurred in the ethanol arm only. To further investigate the role of ethanol in pancreatic cyst ablation, the large-scale multicentre randomised controlled trial, CHARM II, is currently including patients.

For years, the diagnosis of pancreatic cystic lesions has been debated vividly. Different criteria for diagnosing cyst types were applied in the studies included in this paper. Current guidelines agree that EUS is recommended as an adjunct to MRI and CT when the cyst type is uncertain. Also, EUS can be helpful in identifying mural nodules [33, 34]. EUS fine-needle aspiration and cyst fluid analysis improve the diagnostic accuracy for differentiation between mucinous and non-mucinous cysts and should be considered when the diagnosis is unclear [33, 34]. Cyst fluid analysis, cytology, or KRAS/GNAS mutation analyses should also be considered if the results are likely to alter the management strategy [33, 34]. A few studies have proposed EUS-guided brush cytology and forceps biopsy to improve diagnostic accuracy, showing promising results [35, 36]. However, brush cytology and forceps biopsy are not recommended in current guidelines due to the lack of high-quality evidence [10, 11]. An increased certainty of the type of pancreatic cyst including histological subtypes and dysplasia degree of MCN and IPMN may allow us to reserve surgery for high-risk lesions. EUS-PCA may be integrated into the treatment algorithm for cysts with only a relative indication for surgical resection. Several studies included patients with pancreatic pseudocysts and serous cysts although these are considered benign lesions without malign potential (Table 1) [37]. For this reason, EUS-PCA should not be proposed on SCN and pseudocysts.

No previous systematic review has included all of the investigated modalities for EUS-PCA. Limitations of this review include the wide heterogeneity of the studies included, more specifically, study designs, number of patients and inclusion criteria differ greatly. Cyst diagnosis as well as imaging options have evolved over time. Many different types of pancreatic cystic lesions are included in the studies and the follow-up time varies immensely. The different types of cystic lesions may show different responses to ablation – immediate as well as long-term responses. The paucity of randomised controlled trials and the scarcity of resections with histopathologic evaluation (gold standard) after cyst ablation are also major limitations of the presented data. In January 2019, a systematic review regarding paclitaxel and ethanol for EUS-PCA was published [38]. Critics pointed out that the heterogeneity of the studies hampers comparison [39]. Differences in the definition of complete resolution, follow-up time and ethanol concentrations were focuses of skepticism. Although the heterogeneity is noticeable, and thereby the generalisability limited, all studies used an endpoint defined as cyst resolution on imaging at follow-up after at least three months. Therefore, we find it reasonable to conduct this review, gathering and evaluating the existing results on the subject.

CONCLUSIONS

EUS-guided cyst ablation of pancreatic cystic lesions seems effective and safe with few serious adverse events. Although there are no comparative trials to support this observation, the response rate of chemoablation might be more consistent with a higher response rate than other ablative regimens. We recommend considering EUS-PCA as an alternative to surgical resection in patients who are unfit for surgery or refuse to undergo surgical resection.



CORRESPONDENCE: Gitte Aabye Olsen. E-mail: gitte.aabye.olsen@regionh.dk
ACCEPTED: 25 May 2020
CONFLICTS OF INTEREST: none. Disclosure forms provided by the authors are available with the full text of this article at Ugeskriftet.dk/dmj

Sidebar placering
Venstrestillet
Article type
Journal
Magazine
References

Literature

  1. de Jong K, Nio CY, Hermans JJ et al. High prevalence of pancreatic cysts detected by screening magnetic resonance imaging examinations. Clin Gastroenterol Hepatol 2010;8:806-11.

  2. Lee K, Sekhar A, Rofsky N et al. Prevalence of incidental pancreatic cysts in the adult population on MR imaging. Am J Gastroenterol 2010;105:2079-84.

  3. Pyke C, Heerden JV, Colby T et al. The spectrum of serous cystadenoma of the pancreas clinical, pathologic, and surgical aspects. Ann Surg 1992;215:132-9.

  4. Reddy RP, Smyrk TC, Zapiach M et al. Pancreatic mucinous cystic neoplasm defined by ovarian stroma: Demographics, clinical features, and prevalence of cancer. Clin Gastroenterol Hepatol 2004;2:1026-31.

  5. D’Angelica M, Brennan MF, Suriawinata AA et al. Intraductal papillary mucinous neoplasms of the pancreas. Ann Surg 2004;239:400-8.

  6. Kiely JM, Nakeeb A, Komorowski RA et al. Cystic pancreatic neoplasms: enucleate or resect? J Gastrointest Surg 2003;7:890-7.

  7. Al–Haddad M, Schmidt MC, Sandrasegaran K et al. Diagnosis and treatment of cystic pancreatic tumors. Clin Gastroenterol Hepatol 2011;9:635-48.

  8. Reames BN, Scally CP, Frankel TL et al. National trends in resection of cystic lesions of the pancreas. HPB (Oxford) 2016;18:375-82.

  9. Scheiman JM, Hwang JH, Moayyedi P. American Gastroenterological Association technical review on the diagnosis and management of asymptomatic neoplastic pancreatic cysts. Gastroenterology 2015;148:824-848.e22.

  10. Tanaka M, Fernández-del Castillo C, Kamisawa T et al. Revisions of international consensus Fukuoka guidelines for the management of IPMN of the pancreas. Pancreatology 2017;17:738-53.

  11. Moher D, Liberati A, Tetzlaff J et al. Preferred reporting items for systematic reviews and meta-analyses: the PRISMA statement. J Clin Epidemiol 2009;62:1006-12.

  12. Downs SH, Black N. The feasibility of creating a checklist for the assessment of the methodological quality both of randomised and non-randomised studies of health care interventions. J Epidemiol Community Health 1998;52:377-84.

  13. Gan SI, Thompson CC, Lauwers GY et al. Ethanol lavage of pancreatic cystic lesions: initial pilot study. Gastrointest Endosc 2005;61:746–52.

  14. Durbec JP, Sarles H. Multicenter survey of the etiology of pancreatic diseases. Digestion 1978;18:337-50.

  15. DeWitt J, McGreevy K, Schmidt CM et al. EUS-guided ethanol versus saline solution lavage for pancreatic cysts: a randomized, double-blind study. Gastrointest Endosc 2009;70:710-23.

  16. DiMaio CJ, DeWitt JM, Brugge WR. Ablation of pancreatic cystic lesions: the use of multiple endoscopic ultrasound-guided ethanol lavage sessions. Pancreas 2011;40:664-8.

  17. Park JK, Song BJ, Ryu JK et al. Clinical outcomes of endoscopic ultrasonography-guided pancreatic cyst ablation. Pancreas 2016;45:889-94.

  18. Choi JH, Lee SH, Choi YH et al. Safety of endoscopic ultrasound-guided ethanol ablation for pancreatic cystic lesions: a single-center experience of 214 patients. Hepatobiliary Pancreat Dis Int 2019;18:562-8.

  19. Gómez V, Takahashi N, Levy MJ et al. EUS-guided ethanol lavage does not reliably ablate pancreatic cystic neoplasms (with video). Gastrointest Endosc 2016;83:914-20.

  20. Caillol F, Poincloux L, Bories E et al. Ethanol lavage of 14 mucinous cysts of the pancreas: a retrospective study in two tertiary centers. Endosc Ultrasound 2012;1:48-52.

  21. Oh H-C, Seo DW, Lee TY et al. New treatment for cystic tumors of the pancreas: EUS-guided ethanol lavage with paclitaxel injection. Gastrointest Endosc 2008;67:636-42.

  22. Moyer MT, Dye CE, Sharzehi S et al. Is alcohol required for effective pancreatic cyst ablation? The prospective randomized CHARM trial pilot study. Endosc Int Open 2016;4:E603-E607.

  23. Moyer MT, Sharzehi S, Mathew A et al. The safety and efficacy of an alcohol-free pancreatic cyst ablation protocol. Gastroenterology 2017;153:1295-303.

  24. Linghu E, Du C, Chai N et al. A prospective study on the safety and effectiveness of using lauromacrogol for ablation of pancreatic cystic neoplasms with the aid of EUS. Gastrointest Endosc 2017;86:872-80.

  25. Moris M, Atar M, Kadayifci A et al. Thermal ablation of pancreatic cyst with a prototype endoscopic ultrasound capable radiofrequency needle device: a pilot feasibility study. Endosc Ultrasound 2017;6:123-30.

  26. Pai M, Habib N, Senturk H et al. Endoscopic ultrasound guided radiofrequency ablation, for pancreatic cystic neoplasms and neuroendocrine tumors. World J Gastrointest Surg 2015;7:52-9.

  27. Barthet M, Giovannini M, Lesavre N et al. Endoscopic ultrasound-guided radiofrequency ablation for pancreatic neuroendocrine tumors and pancreatic cystic neoplasms: a prospective multicenter study. Endoscopy 2019;51:836-42.

  28. Choi J-H, Seo DW, Song TJ et al. Long-term outcomes after endoscopic ultrasound-guided ablation of pancreatic cysts. Endoscopy 2017;49:866-73.

  29. DeWitt J, DiMaio CJ, Brugge WR. Long-term follow-up of pancreatic cysts that resolve radiologically after. Gastrointest Endosc 2010;72:862-6.

  30. Oh H, Seo DW, Song TJ et al. Endoscopic ultrasonography-guided ethanol lavage with paclitaxel injection treats patients with pancreatic cysts. Gastroenterology 2011;140:172-9.

  31. DeWitt JM, Al-Haddad M, Sherman S et al. Alterations in cyst fluid genetics following endoscopic ultrasound-guided pancreatic cyst ablation with ethanol and paclitaxel. Endoscopy 2014;46:457-64.

  32. Elta GH, Enestvedt BK, Sauer BG et al. ACG clinical guideline: diagnosis and management of pancreatic cysts. Am J Gastroenterol 2018;113:464-79.

  33. European Study Group on Cystic Tumours of the Pancreas. European evidence-based guidelines on pancreatic cystic neoplasms. Gut 2018;67:789-804.

  34. Kovacevic B, Klausen P, Hasselby JP et al. A novel endoscopic ultrasound-guided through-the-needle microbiopsy procedure improves diagnosis of pancreatic cystic lesions. Endoscopy 2018;50:1105-11.

  35. Lozano MD, Subtil JC, Miravalles TL et al. EchoBrush may be superior to standard EUS-guided FNA in the evaluation of cystic lesions of the pancreas. Cancer Cytopathol 2011;119:209-14.

  36. Strobel O, Z’graggen K, Schmitz-Winnenthal FH et al. Risk of malignancy in serous cystic neoplasms of the pancreas. Digestion 2003;68:24-33.

  37. Attila T, Adsay V, Faigel DO. The efficacy and safety of endoscopic ultrasound-guided ablation of pancreatic cysts with alcohol and paclitaxel: a systematic review. Eur J Gastroenterol Hepatol 2019;31:1-9.

  38. Du C, Chai N, Linghu E. Clinical outcomes of endoscopic ultrasound-guided ablation of pancreatic cysts with alcohol and paclitaxel. Eur J Gastroenterol Hepatol 2019;31:1293-4.

  39. Oh H-C, Seo DW, Kim SC et al. Septated cystic tumors of the pancreas: Is it possible to treat them by endoscopic ultrasonography-guided intervention? Scand J Gastroenterol 2009;44:242-7.

Woodwing Id
25842
Fil
Conflict of interest
Authors workplaces

1) Gastro Unit, Surgical Division, Hvidovre Hospital , 2) PACE – Pancreatitis Centre East, Hvidovre Hospital, Denmark

Dan Med J 2020;67(8):A01200019

Bib ref
Dan Med J 2020;67(8):A01200019
Article number
A01200019
Authors

Gitte Aabye Olsen1, 2, Lisa Aalling1, 2 & John Gásdal Karstensen1, 2

0 likes